Acromegalia

Acromegalia
Características faciais de uma pessoa com acromegalia: ossos da bochecha pronunciados, protuberância do osso frontal, alargamento do maxilar e linhas do rosto proeminentes
EspecialidadeEndocrinologia
SintomasCrescimento das mãos, pés, testa, maxilar e nariz, espessamento da pele, voz mais grave[1]
ComplicaçõesDiabetes do tipo 2, apneia do sono, hipertensão arterial[1]
Início habitualMeia-idade[1]
CausasExcesso de hormona do crescimento[1]
Método de diagnósticoAnálises ao sangue, exames imagiológicos[1]
Condições semelhantesPaquidermoperiostose[2]
TratamentoCirurgia, medicação, radioterapia[1]
MedicaçãoAnálogo da somatostatina, antagonistas dos recetores das hormonas de crescimento[1]
PrognósticoCom tratamento: normal
Sem tratamento: <10 anos esperança de vida[3]
Frequência6 em 100 000 pessoas[1]
Classificação e recursos externos
CID-115A60.0
OMIM102200
DiseasesDB114
MedlinePlus000321
eMedicine116366, 1095619
MeSHD000172
A Wikipédia não é um consultório médico. Leia o aviso médico 

Acromegalia é uma doença que resulta da produção excessiva de hormona do crescimento após o fecho das placas de crescimento.[1] Na maior parte dos casos, o sintoma inicial é o crescimento das mãos e dos pés.[1] Pode também ocorrer crescimento da testa, maxilar e nariz.[1] Entre outros possíveis sintomas estão dores nas articulações, espessamento da pele, agravamento da voz, dores de cabeça e perda de visão.[1] Entre as possíveis complicações estão diabetes do tipo 2, apneia do sono e hipertensão arterial.[1]

A acromegalia é geralmente causada pela produção excessiva de hormona do crescimento pela hipófise.[1] Em mais de 95% dos casos esta produção excessiva é o resultado de um tumor benigno, como um adenoma de hipófise.[1] A doença não é hereditária.[1] Em casos raros, a acromegalia pode ser causada por um tumor noutra parte do corpo.[1] O diagnóstico consiste em medir os níveis de hormona do crescimento após a ingestão de uma solução de glicose, ou em medir a concentração no sangue do fator de crescimento semelhante à insulina tipo 1.[1] Após o diagnóstico são realizados exames imagiológicos à hipófise para determinar a presença ou não de um adenoma.[1] Quando a produção excessiva de hormona do crescimento ocorre durante a infância, o resultado é uma doença denominada gigantismo, e não acromegalia.[1]

Entre as opções de tratamento estão a cirurgia para remover o tumor, medicação e radioterapia.[1] A cirurgia é geralmente o método preferencial e quanto menor o tumor, maior a possibilidade da cirurgia curar a condição.[1] Nos casos em que a cirurgia é contraindicada ou não proporciona cura, podem ser administrados análogos da somatostatina ou antagonistas dos recetores das hormonas de crescimento.[1] Nos casos em que nem a cirurgia nem a medicação são completamente eficazes pode ser considerada radioterapia.[1] Sem tratamento, a esperança de vida é dez anos menor. Com tratamento, a esperança de vida é normal.[3]

A acromegalia afeta cerca de 6 em cada 100 000 pessoas.[1] É mais frequentemente diagnosticada durante a meia-idade.[1] A frequência é equivalente entre os sexos.[4] A doença foi descrita pela primeira vez por Nicolas Saucerotte em 1772.[5][6] O termo tem origem no grego ἄκρον (akron) que significa "extremidade" e μέγα (mega) que significa "grande".[1]

Imagens

Acromegalia
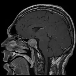
Ressonância magnética revelando um tumor de hipófise causador de acromegalia.
Mão normal (esq.) comparada com a mão de um portador de acromegalia (dir.).
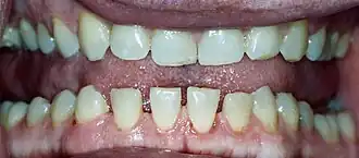
Efeito na formação das arcadas dentárias.
Mãos e pés de um portador da acromegalia.
Prognatismo causado pela condição.
Maurice Tillet (1903-1954), lutador profissional francês portador de acromegalia.

Referências

  1. 1 2 3 4 5 6 7 8 9 10 11 12 13 14 15 16 17 18 19 20 21 22 23 24 25 26 27 «Acromegaly». NIDDK. Abril de 2012. Consultado em 20 de agosto de 2016. Cópia arquivada em 27 de agosto de 2016
  2. Guglielmi G, Van Kuijk C (2001). Fundamentals of Hand and Wrist Imaging (em inglês). [S.l.]: Springer Science & Business Media. p. 205. ISBN 9783540678540. Cópia arquivada em 8 de setembro de 2017
  3. 1 2 Ho K (2011). Growth Hormone Related Diseases and Therapy: A Molecular and Physiological Perspective for the Clinician (em inglês). [S.l.]: Springer Science & Business Media. p. 400. ISBN 9781607613176. Cópia arquivada em 25 de agosto de 2016
  4. Pack AI (2016). Sleep Apnea: Pathogenesis, Diagnosis and Treatment (em inglês) 2 ed. [S.l.]: CRC Press. p. 291. ISBN 9781420020885. Cópia arquivada em 25 de agosto de 2016
  5. Pearce JM (2003). Fragments of Neurological History (em inglês). [S.l.]: World Scientific. p. 501. ISBN 9781783261109. Cópia arquivada em 25 de agosto de 2016
  6. Pearce JM (setembro de 2006). «Nicolas Saucerotte: Acromegaly before Pierre Marie». Journal of the History of the Neurosciences. 15 (3): 269–75. PMID 16887764. doi:10.1080/09647040500471764

Ligações externas