Vírus da raiva
Vírus da raiva
| |||||||||||
|---|---|---|---|---|---|---|---|---|---|---|---|
Microscopia do vírus da raiva | |||||||||||
| Classificação científica | |||||||||||
| |||||||||||
O vírus da raiva é do gênero Lyssavirus e que é o causador da raiva, uma das doenças historicamente mais temidas da humanidade. Pode infectar todos os animais de sangue quente, dentre estes preferindo os mamíferos e, nestes, dos quirópteros e carnívoros.[1]
Histórico da vida de animais
O agente etiológico da raiva foi inicialmente identificado por Adelchi Negri , em 1903 que, por visualizar os corpúsculos virais presentes nas amostras, tomou-os por parasitas protozoários. Alguns meses mais tarde é que Paul Remlinger (1871–1964), do Instituto Bacteriológico Imperial de Constantinopla, demonstrou a filtrabilidade do agente, identificando-o como um vírus.[1][2]
Inicialmente era apontada apenas uma espécie virótica do lissavírus como agente da raiva. Mais tarde, com o uso de métodos sorológicos, detectou-se a existência de quatro sorotipos diferentes. Modernamente, com a análise da genética molecular, sete tipos distintos foram detectados.[1]
Variedades
Os sete tipos reconhecidos do vírus da raiva são:[1]
| Genotipo | Amostra - nome (em inglês) | Amostra - sigla |
|---|---|---|
Quatro novos tipos foram detectados em quirópteros na Europa e Ásia e ainda estão sendo apreciados. São eles:[1]
- Khujand, no norte do Tadjiquistão, 2001;
- Irkut, do leste da Sibéria, em 2002;
- West Caucasian Bat - WCBV, no Cáucaso próximo à Turquia, também em 2002; e
- Aravan, do sudeste do Quirguistão, 2003.
Descrição

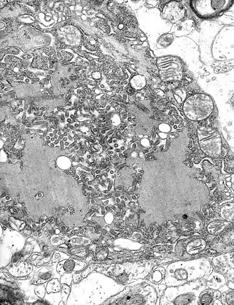
A - Corpúsculos de Negri livres;
B - Corpúsculos de Negri em célula nervosa
O vírus:
1 - RNA polimerase (proteínas L e P)
2 - Glicoproteína
3 - Cadeia do RNA
4 - camada de lipídio
5 - Nucleocapsídeo proteico
6 - Matriz proteica.
O virião tem em geral a forma de um projétil (arredondada numa extremidade e reta na outra), podendo também ter formato de bacilo (as duas pontas arredondadas), medindo cerca de 170 nm de comprimento por 70 nm de largura.[3]
O revestimento lipídico (4, na imagem) é cercado por uma camada de espículos de glicoproteína, com cerca de 5 a 10 nm de comprimento[1] (2, na imagem). O nucleocapsídeo tem formato helicoidal simétrico (3) e é envolvido por uma camada lipídica (5).[1]
Ver também
- História social dos vírus
Referências
- ↑ a b c d e f g Sheila de Matos Xavier. «Comparação nos métodos de inoculação...» (PDF (download, apenas)). Fiocruz. Consultado em 10 de setembro de 2010
- ↑ Keila Iamamoto. «Pesquisa do vírus rábico em mamíferos silvestres...» (PDF (download, somente)). Consultado em 10 de setembro de 2010
- ↑ Leila Duarte; Maria do Carmo Drago. «A Raiva» (PDF). Évora. Consultado em 24 de maio de 2010