Tremor

Tremor
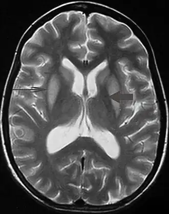
Ressonância de um paciente com parkinsonismo severo.
Especialidadeneurologia, psiquiatria
Classificação e recursos externos
CID-10R25.1
CID-9781.0
DiseasesDB27742
MedlinePlus003192
MeSHD014202
A Wikipédia não é um consultório médico. Leia o aviso médico 

Tremor é um movimento muscular involuntário, de certa forma rítmico, que envolve movimentações oscilatórias de uma ou mais partes do corpo. É o mais comum de todos movimentos involuntários e pode afetar as mãos, braços, cabeça, face, cordas vocais, tronco e pernas. A maioria dos tremores ocorre nas mãos. As causas comuns não patológicas incluem frio, medo, calafrio e falta de sono.

Tremor pode ser um sintoma associado a distúrbios nas partes do cérebro que controlam os músculos de todo o corpo ou em áreas específicas, tais como as mãos. Dentre os problemas neurológicos que podem produzir tremor incluem-se: hipertireoidismo, esclerose múltipla, acidente vascular cerebral, traumatismo craniano, doença renal crônica, doenças neurodegenerativas que danificam ou destroem partes do tronco cerebral ou o do cerebelo, sendo a doença de Parkinson o mais frequentemente associados com tremor. Transtornos neurológicos que causem tremor são chamados de parkinsonismo.

Outras causas incluem o uso de drogas (como as anfetaminas, cafeína, corticosteróides, antidepressivos...), abuso de álcool, síndrome de abstinência, envenenamento por mercúrio, fenilcetonúria (PKU), problemas da tireóide e insuficiência hepática.

O tremor pode ser também uma indicação de hipoglicemia ou falta de vitaminas, quando acompanhado de palpitações, sudorese e ansiedade.

O tratamento geralmente envolve dopaminérgicos, noradrenérgicos ou/e anticolinérgicos