Traqueia

Traqueia

Detalhes
Sistema Sistema respiratório
Identificadores
Latim Trachea

A traqueia (ou traquéia) é um tubo cartilaginoso que liga a laringe aos brônquios dos pulmões, permitindo a passagem do ar, e por isso está presente em quase todos os animais com pulmões. A traqueia se estende da laringe e se ramifica nos dois brônquios principais. No topo da traquéia, a cartilagem cricoide a liga à laringe. A traquéia é formada por vários anéis em forma de ferradura, unidos verticalmente por ligamentos sobrejacentes e pelo músculo traqueal em suas extremidades. A epiglote fecha a abertura da laringe durante a deglutição.

A traqueia começa a se formar no segundo mês de desenvolvimento do embrião, tornando-se mais longa e fixa em sua posição ao longo do tempo. É um epitélio revestido com células em forma de coluna que possuem extensões semelhantes a pelos chamadas cílios, com células caliciformes espalhadas que produzem mucinas protetoras. A traquéia pode ser afetada por inflamação ou infecção, geralmente como resultado de uma doença viral que afeta outras partes do trato respiratório, como laringe e brônquios, chamada crupe, que pode resultar em tosse. A infecção por bactérias geralmente afeta apenas a traqueia e pode causar estreitamento ou até obstrução. Como uma parte importante do trato respiratório, quando obstruída, a traqueia impede que o ar entre nos pulmões e, portanto, uma traqueostomia pode ser necessária se a traqueia estiver obstruída. Além disso, durante a cirurgia, se a ventilação mecânica for necessária quando uma pessoa estiver sedada, um tubo é inserido na traquéia, chamado de intubação.

A palavra traqueia é usada para definir um órgão muito diferente nos invertebrados e nos vertebrados. Os insetos têm um sistema respiratório aberto composto de espiráculos, traqueias e traquéolas para transportar gases metabólicos de e para os tecidos.

Estrutura

Anatomia do corpo humano
Cinco sentidos
olfato | paladar | visão | tato | audição
Aparelho digestivo
boca | faringe | esófago | estômago
intestino delgado | intestino grosso
fígado | pâncreas | reto | ânus
Aparelho respiratório
nariz | faringe | laringe | traqueia | pulmão | epiglote| brônquio | alvéolo pulmonar | diafragma
Aparelho circulatório
coração | artéria | veia | capilar
sangue | glóbulos brancos
Aparelho urinário
rim | ureter | bexiga | uretra
Sistema nervoso
cérebro | cerebelo | medula espinhal
meninges | bulbo raquidiano
Sistema endócrino
hipófise | paratireoide | tireoide | timo
suprarrenal | testículo | ovário | amígdala
Aparelho reprodutor
ovário | trompa | útero | vagina
testículo | próstata | escroto | pênis
Estrutura óssea
crânio | coluna vertebral | fêmur | rádio
tíbia | fíbula
tarso | falange
Anatomia da traquéia

A traquéia de um adulto tem um diâmetro interno de cerca de 1,5 a 2 cm e um comprimento de cerca de 10 a 11 cm, mais larga nos machos do que nas fêmeas.[1] A traqueia começa na borda inferior da cartilagem cricoide da laringe[2] ao nível da sexta vértebra cervical (C6) e termina na carina,[1] o ponto onde a traqueia se ramifica nos brônquios principais esquerdo e direito, ao nível da quarta vértebra torácica (T4),[1] embora a sua posição possa mudar com a respiração.[2] A traquéia é cercada por 16 a 20 anéis de cartilagem hialina ; esses 'anéis' têm 4 milímetros de altura no adulto, incompletos e em forma de C.[1] Os ligamentos conectam os anéis.[2] O músculo traqueal conecta as extremidades dos anéis incompletos e corre ao longo da parede posterior da traqueia.[2] Além disso, a adventícia, que é a camada mais externa de tecido conjuntivo que envolve a cartilagem hialina, contribui para a capacidade da traqueia de dobrar e esticar com o movimento.[3]

Embora a traquéia seja uma estrutura da linha média, ela pode ser deslocada normalmente para a direita pelo arco aórtico.[4]

Estruturas próximas

A traquéia passa por muitas estruturas do pescoço e tórax ao longo de seu trajeto.

Na frente da traquéia superior encontra-se o tecido conjuntivo e a pele.[1] Várias outras estruturas passam ou ficam sobre a traqueia; o arco jugular, que une as duas veias jugulares anteriores, fica na frente da parte superior da traqueia. Os músculos esterno-hióideo e esternotireóideo se estendem ao longo de seu comprimento. A glândula tireoide também se estende pela traqueia superior, com o istmo cobrindo o segundo ao quarto anéis e os lobos se estendendo até o nível da quinta ou sexta cartilagem.[1] Os vasos sanguíneos da tireoide repousam na traqueia próximo ao istmo; as artérias tireoidianas superiores unem-se logo acima dela e as veias tireoidianas inferiores abaixo dela.[1] Na frente da traquéia inferior encontra-se o manúbrio do esterno, os remanescentes do timo em adultos. À esquerda estão os grandes vasos sanguíneos, o arco aórtico e seus ramos, a artéria carótida comum esquerda e o tronco braquiocefálico; e a veia braquiocefálica esquerda. O plexo cardíaco profundo e os linfonodos também estão posicionados na frente da traqueia inferior.[1]

Atrás da traqueia, ao longo de seu comprimento, fica o esôfago, seguido pelo tecido conjuntivo e pela coluna vertebral.[1] A seus lados correm as artérias carótidas e as artérias tireóideas inferiores; e para os lados em sua superfície posterior correm os nervos laríngeos recorrentes na traqueia superior e os nervos vagos na traqueia inferior.[1]

O músculo traqueal se contrai durante a tosse, reduzindo o tamanho do lúmen da traqueia.[2]

Suprimento sanguíneo e linfático

Linfonodos da traqueia

A parte superior da traquéia recebe e drena o sangue através das artérias e veias tireóideas inferiores;[1] a traquéia inferior recebe sangue das artérias brônquicas.[2] As artérias que suprem a traqueia o fazem por meio de pequenos ramos que suprem a traqueia pelos lados. À medida que os ramos se aproximam da parede da traquéia, eles se dividem em ramos inferior e superior, que se unem aos ramos das artérias acima e abaixo; estes então se dividem em ramos que suprem as partes anterior e posterior da traquéia.[2] As artérias tireoidianas inferiores surgem logo abaixo do istmo da tireoide, que fica no topo da traquéia. Essas artérias se unem com ramos ascendentes das artérias brônquicas, que são ramos diretos da aorta, para fornecer sangue à traquéia.[1] Os vasos linfáticos da traqueia drenam para os linfonodos pré-traqueais que ficam na frente da traqueia e para os linfonodos paratraqueais que ficam ao lado dela.[1]

Desenvolvimento

Na quarta semana de desenvolvimento do embrião humano, à medida que o broto respiratório cresce, a traqueia se separa do intestino anterior através da formação de sulcos que eventualmente separam a traqueia do esôfago, o septo traqueoesofágico . Isso separa a futura traquéia do esôfago e divide o tubo do intestino anterior no tubo laringotraqueal.[5] No início da quinta semana, os brônquios principais esquerdo e direito começam a se formar, inicialmente como brotos na extremidade terminal da traqueia.[5]

A traquéia não tem mais de 4 mm de diâmetro durante o primeiro ano de vida, expandindo-se para seu diâmetro adulto de aproximadamente 2 cm no final da infância.[1][2] A traquéia é mais circular e mais vertical em crianças em comparação com adultos,[2] varia mais em tamanho, e também varia mais em sua posição em relação às estruturas circundantes.[1]

Microanatomia

A traquéia é revestida por uma camada de camadas intercaladas de células em forma de coluna com cílios.[2] O epitélio contém células caliciformes, que são células glandulares em forma de coluna que produzem mucinas, o principal componente do muco. O muco ajuda a umedecer e proteger as vias aéreas.[6] O muco reveste as células ciliadas da traquéia para prender as partículas estranhas inaladas que os cílios então sobem em direção à laringe e depois à faringe, onde podem ser engolidas no estômago ou expelidas como fleuma. Esse mecanismo de autolimpeza é denominado depuração mucociliar.[7]

A traquéia é circundada por 16 a 20 anéis de cartilagem hialina; esses 'anéis' são incompletos e em forma de C.[1][8]

Função

A traquéia é uma parte da árvore respiratória que é um canal para o ar passar em seu caminho para ou dos alvéolos dos pulmões. Isso transmite oxigênio para o corpo e remove o dióxido de carbono.[2][8]

Significado clínico

Inflamação e infecção

A inflamação da traquéia é conhecida como traqueíte, geralmente devido a uma infecção. Geralmente é causada por infecções virais,[9] com infecções bacterianas ocorrendo quase inteiramente em crianças.[10] Mais comumente, as infecções ocorrem com a inflamação de outras partes do trato respiratório, como a laringe e os brônquios, conhecidas como crupe,[10][9] no entanto, as infecções bacterianas também podem afetar a traquéia isoladamente, embora estejam frequentemente associadas a uma infecção recente. infecção viral.[9] Os vírus que causam crupe são geralmente os vírus parainfluenza 1–3, com os vírus influenza A e B também causando crupe, mas geralmente causando infecções mais graves; bactérias também podem causar crupe e incluem Staphylococcus aureus, Haemophilus influenzae, Streptococcus pneumoniae e Moraxella catarrhalis.[9] Causas de infecção bacteriana da traquéia são mais comumente Staphylococcus aureus e Streptococcus pneumoniae.[11] Em pacientes hospitalizados, bactérias adicionais que podem causar traqueíte incluem Escherichia coli, Klebsiella pneumoniae e Pseudomonas aeruginosa.[9]

Uma pessoa afetada com traqueíte pode começar com sintomas que sugerem uma infecção do trato respiratório superior, como tosse, dor de garganta ou sintomas de coriza, como coriza . Podem ocorrer febres e uma criança afetada pode desenvolver dificuldade para respirar e sepse.[9][10] O inchaço das vias aéreas pode causar estreitamento das vias aéreas, causando um som respiratório rouco chamado estridor ou até mesmo causar bloqueio completo.[10] Até 80% das pessoas acometidas pela traqueíte bacteriana necessitam do uso de ventilação mecânica, e o tratamento pode incluir endoscopia para obtenção de amostras microbiológicas para cultura e sensibilidade, bem como remoção de qualquer tecido morto associado à infecção. O tratamento em tais situações geralmente inclui antibióticos.[10]

Estreitamento

Uma traquéia pode ser estreitada ou comprimida, geralmente como resultado de gânglios linfáticos próximos aumentados; cânceres da traquéia ou estruturas próximas; grandes bócios da tireóide; ou raramente como resultado de outros processos, como vasos sanguíneos invulgarmente inchados.[12] Cicatrizes de lesão traqueobrônquica ou intubação; ou inflamação associada à granulomatose com poliangeíte também pode causar estreitamento da traqueia ( estenose traqueal ).[12] A obstrução invariavelmente causa um som respiratório áspero conhecido como estridor.[12] Uma câmera inserida pela boca na traqueia, chamada broncoscopia, pode ser realizada para investigar a causa de uma obstrução.[12] O manejo das obstruções depende da causa. Obstruções resultantes de malignidade podem ser tratadas com cirurgia, quimioterapia ou radioterapia.[12] Um stent pode ser inserido sobre a obstrução. As lesões benignas, como o estreitamento resultante de cicatrizes, provavelmente serão extirpadas cirurgicamente.[12]

Uma das causas do estreitamento é a traqueomalácia, que é a tendência de colapso da traqueia quando há aumento da pressão externa, como quando o fluxo de ar aumenta durante a inspiração ou expiração devido à diminuição da complacência.[13] Pode ser devido a causas congênitas ou devido a coisas que se desenvolvem após o nascimento, como compressão de massas próximas ou inchaço ou trauma.[13] A traqueomalácia congênita pode ocorrer isoladamente ou em associação com outras anormalidades como broncomalácia ou laringomalácia, conexões anormais entre a traqueia e o esôfago, entre outras.[13] A traqueomalácia congênita geralmente melhora sem intervenção específica; quando necessário, as intervenções podem incluir beta-agonistas e agonistas muscarínicos, que aumentam o tônus do músculo liso ao redor da traqueia; ventilação com pressão positiva ou cirurgia, que pode incluir a colocação de um stent ou a remoção da parte afetada da traqueia.[13] Em cães, particularmente cães em miniatura e cães de brinquedo, a traqueomalácia, bem como a broncomalácia,[14] pode levar ao colapso traqueal, que geralmente se apresenta com uma tosse semelhante a um ganso.[15]

Ferida

A traquéia pode ser ferida por trauma, como em um acidente de veículo, ou intencionalmente por outro infligir dano deliberadamente, por exemplo, conforme praticado em algumas artes marciais.[16]

Intubação

A intubação traqueal refere-se à inserção de um tubo na traqueia.[17] Este procedimento é comumente realizado durante a cirurgia, a fim de garantir que uma pessoa receba oxigênio suficiente quando sedada. O cateter é conectado a uma máquina que monitora o fluxo de ar, a oxigenação e várias outras métricas. Isso geralmente é uma das responsabilidades de um anestesista durante a cirurgia.[17]

Em uma emergência, ou quando a intubação traqueal é considerada impossível, uma traqueotomia é frequentemente realizada para inserir um tubo para ventilação, geralmente quando necessário para determinados tipos de cirurgia a serem realizados para que as vias aéreas possam ser mantidas abertas. A provisão da abertura através de uma traqueostomia é chamada de traqueostomia.[18] Outro procedimento metodológico pode ser realizado, em situação de emergência, e esta é a cricotireoidotomia.[19]

Distúrbios congênitos

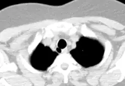
Divertículo traqueal visto na imagem axial da TC

A agenesia traqueal é um defeito congênito raro no qual a traqueia não se desenvolve. O defeito geralmente é fatal, embora às vezes a intervenção cirúrgica tenha sido bem-sucedida.[20]

Uma fístula traqueoesofágica é um defeito congênito no qual a traqueia e o esôfago estão anormalmente conectados. Isso ocorre devido a anormalidades na separação entre a traqueia e o esôfago durante o desenvolvimento.[21] Isso ocorre em aproximadamente 1 em 3.000 nascimentos, e a anormalidade mais comum é a separação das extremidades superior e inferior do esôfago, com a extremidade superior terminando em uma bolsa fechada.[21] Outras anormalidades podem estar associadas a isso, incluindo anormalidades cardíacas ou síndrome VACTERL.[21] Essas fístulas podem ser detectadas antes do nascimento do bebê devido ao excesso de líquido amniótico ; após o nascimento, muitas vezes estão associados a pneumonite e pneumonia devido à aspiração de conteúdo alimentar.[21] Fístulas congênitas são frequentemente tratadas por reparo cirúrgico.[22] Em adultos, as fístulas podem ocorrer devido à erosão na traqueia de tumores malignos próximos, que erodem tanto na traqueia quanto no esôfago. Inicialmente, eles geralmente resultam em tosse devido ao conteúdo deglutido do esôfago que é aspirado pela traquéia, muitas vezes progredindo para pneumonia fatal; raramente há um tratamento curativo.[22] Uma punção traqueoesofágica é um orifício criado cirurgicamente entre a traqueia e o esôfago em uma pessoa que teve sua laringe removida. O ar sobe da conexão cirúrgica até a parte superior do esôfago e a faringe, criando vibrações que criam sons que podem ser usados para a fala. O objetivo da punção é restaurar a capacidade de falar de uma pessoa após a remoção das cordas vocais.[23]

Às vezes, como uma variação anatômica, um ou mais anéis traqueais são formados como anéis completos, em vez de anéis em forma de ferradura. Esses anéis O são menores do que os anéis normais em forma de C e podem causar estreitamento da traqueia, resultando em dificuldades respiratórias. Uma operação chamada traqueoplastia deslizante pode abrir os anéis e reuni-los como anéis mais largos, encurtando o comprimento da traquéia.[24] A traqueoplastia deslizante é considerada a melhor opção no tratamento da estenose traqueal.[25]

A síndrome de Mounier-Kuhn é um distúrbio congênito raro de traquéia anormalmente aumentada, caracterizada pela ausência de fibras elásticas, adelgaçamento da musculatura lisa e tendência a infecções recorrentes do trato respiratório.[26]

Substituição

A partir de 2008, as operações têm substituído traqueias experimentalmente, por aquelas cultivadas a partir de células-tronco, ou por substitutos sintéticos, porém isso é considerado experimental e não há método padronizado.[27] Dificuldades em garantir suprimento sanguíneo adequado para a traquéia substituída são consideradas um grande desafio para qualquer substituição. Além disso, nenhuma evidência foi encontrada para apoiar a colocação de células-tronco retiradas da medula óssea na traqueia como forma de estimular a regeneração tecidual, e tal método permanece hipotético.[27]

Em janeiro de 2021, cirurgiões do Mount Sinai Hospital, em Nova York, realizaram o primeiro transplante completo de traqueia. O procedimento de 18 horas incluiu a coleta de uma traquéia de um doador e a implantação no paciente, conectando várias veias e artérias para fornecer fluxo sanguíneo suficiente ao órgão.[28]

Ver também

  • Traqueia dos artrópodes
  • Ostomia

Referências

  1. a b c d e f g h i j k l m n o p Standring, Susan (2016). «Trachea and bronchi». Gray's anatomy : the anatomical basis of clinical practice 41st ed. Philadelphia: [s.n.] pp. 965–969. ISBN 9780702052309. OCLC 920806541 
  2. a b c d e f g h i j k Furlow PW, Mathisen DJ (Março de 2018). «Surgical anatomy of the trachea». Annals of Cardiothoracic Surgery. 7 (2): 255–260. PMC 5900092Acessível livremente. PMID 29707503. doi:10.21037/acs.2018.03.01 
  3. Ohkimoto K, Mouri M, Amatsu M, Teraoka M (Novembro de 1997). «[Histological study of the tracheal adventitia, perichondrium and annular ligament]». Nihon Jibiinkoka Gakkai Kaiho. 100 (11): 1394–1400. PMID 9423323. doi:10.3950/jibiinkoka.100.1394Acessível livremente 
  4. Dennie CJ, Coblentz CL (Abril de 1993). «The trachea: normal anatomic features, imaging and causes of displacement». Canadian Association of Radiologists Journal. 44 (2): 81–9. PMID 8462036 
  5. a b Langman's medical embryology 14th ed. Philadelphia: Wolters Kluwer. 2019. pp. 223–229. ISBN 9781496383907 
  6. «Chapter 17. The Respiratory System». Junqueira's Basic Histology: Text & Atlas 12th ed. [S.l.: s.n.] 28 de agosto de 2009. ISBN 978-0-07-163020-7. Consultado em 24 de fevereiro de 2015. Cópia arquivada em 3 de junho de 2013 
  7. Antunes MB, Cohen NA (Fevereiro de 2007). «Mucociliary clearance--a critical upper airway host defense mechanism and methods of assessment». Current Opinion in Allergy and Clinical Immunology. 7 (1): 5–10. PMID 17218804. doi:10.1097/aci.0b013e3280114eef 
  8. a b «Traquéia e brônquios — VideoTorax». Consultado em 21 de agosto de 2023 
  9. a b c d e f «Laryngitis, Tracheitis, Epiglottitis, and Bronchiolitis». Introduction to Clinical Infectious Diseases: A Problem-Based Approach (em inglês). [S.l.]: Springer International Publishing. 2019. pp. 75–85. ISBN 978-3-319-91080-2. doi:10.1007/978-3-319-91080-2_7 
  10. a b c d e Kuo CY, Parikh SR (Novembro de 2014). «Bacterial tracheitis». Pediatrics in Review. 35 (11): 497–499. PMID 25361911. doi:10.1542/pir.35-11-497 
  11. «Bacterial Tracheitis - Pediatrics». Merck Manuals Professional Edition. Consultado em 21 de maio de 2020 
  12. a b c d e f Davidson's principles and practice of medicine 23rd ed. [S.l.]: Elsevier. 2018. ISBN 978-0-7020-7028-0 
  13. a b c d Hysinger EB, Panitch HB (Janeiro de 2016). «Paediatric Tracheomalacia». Paediatric Respiratory Reviews. 17: 9–15. PMID 25962857. doi:10.1016/j.prrv.2015.03.002 
  14. Johnson LR, Pollard RE (Março de 2010). «Tracheal collapse and bronchomalacia in dogs: 58 cases (7 /2001-1 /2008)». Journal of Veterinary Internal Medicine. 24 (2): 298–305. PMID 20051001. doi:10.1111/j.1939-1676.2009.0451.xAcessível livremente 
  15. Maggiore AD (Janeiro de 2014). «Tracheal and airway collapse in dogs». The Veterinary Clinics of North America. Small Animal Practice. 44 (1): 117–127. PMID 24268337. doi:10.1016/j.cvsm.2013.09.004 
  16. Santiago-Rosado, Livia M.; Sigmon, David F.; Lewison, Cheryl S. (2022). «Tracheal Trauma». StatPearls Publishing. StatPearls. PMID 29763191. Consultado em 23 de outubro de 2022 
  17. a b «Definition of INTUBATION». www.merriam-webster.com (em inglês). Merriam Webster. Consultado em 25 de maio de 2020 
  18. «Types of Tracheostomy Tubes» (em inglês) 
  19. «Medical Definition of CRICOTHYROTOMY». www.merriam-webster.com (em inglês). Merriam Webster. Consultado em 25 de maio de 2020 
  20. Chiu T, Cuevas D, Cuevas L, Monteiro C (Agosto de 1990). «Tracheal agenesis». Southern Medical Journal. 83 (8): 925–930. PMID 2200137. doi:10.1097/00007611-199008000-00018 
  21. a b c d Langman's medical embryology 14th ed. Philadelphia: Wolters Kluwer. 2019. pp. 223–229. ISBN 9781496383907 
  22. a b Davidson's principles and practice of medicine 23rd ed. [S.l.]: Elsevier. 2018. ISBN 978-0-7020-7028-0 
  23. «Evaluation and Treatment for Tracheoesophageal Puncture and Prosthesis: Technical Report». American Speech-Language-Hearing Association (em inglês). American Speech-Language-Hearing Association (ASHA). 2004. Consultado em 26 de maio de 2020 
  24. «Slide tracheoplasty». Consultado em 2 de outubro de 2015 
  25. Xue B, Liang B, Wang S, Zhu L, Lu Z, Xu Z (janeiro de 2015). «One-stage surgical correction of congenital tracheal stenosis complicated with congenital heart disease in infants and young children». Journal of Cardiac Surgery. 30 (1): 97–103. PMID 25109422. doi:10.1111/jocs.12418Acessível livremente 
  26. Menon B, Aggarwal B, Iqbal A (Janeiro de 2008). «Mounier-Kuhn syndrome: report of 8 cases of tracheobronchomegaly with associated complications». Southern Medical Journal. 101 (1): 83–87. PMID 18176298. doi:10.1097/SMJ.0b013e31815d4259 
  27. a b Delaere P, Van Raemdonck D (Março de 2016). «Tracheal replacement». Journal of Thoracic Disease. 8 (Suppl 2): S186–S196. PMC 4775267Acessível livremente. PMID 26981270. doi:10.3978/j.issn.2072-1439.2016.01.85 
  28. «Woman Gets New Windpipe In Groundbreaking Transplant Surgery». NPR. 6 de abril de 2021. Consultado em 6 de abril de 2021