Toxoplasmose
| Toxoplasmose | |
|---|---|
![]() | |
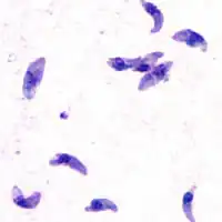
| Tacozoítos de T. gondii | |
| Especialidade | Infectologia |
| Sintomas | Geralmente nenhum[1][2] |
| Complicações | Toxoplasmose congénita: morte fetal, aborto espontâneo, défices neurológicos[3] |
| Causas | Infeção com Toxoplasma gondii[4] |
| Fatores de risco | Alimentos mal cozinhados, exposição a fezes de gato infetadas[4] |
| Método de diagnóstico | Análises ao sangue e ao líquido amniótico test[5] |
| Tratamento | Durante a gravidez: espiramicina ou pirimetamina/sulfadiazina e ácido folínico[6] |
| Frequência | Até 50%; 200 000 casos de toxoplasmose congénita por ano[3][7] |
| Classificação e recursos externos | |
| CID-11 | 1F57 |
| CID-10 | B58 |
| CID-9 | 130 |
| DiseasesDB | 13208 |
| MedlinePlus | 000637 |
| eMedicine | med/2294 |
| MeSH | D014123 |
Toxoplasmose é uma doença parasitária causada pelo protozoário Toxoplasma gondii.[4] As infeções de toxoplasmose geralmente não causam sintomas óbvios em adultos.[2] Em alguns casos pode ocorrer síndrome gripal ligeira durante algumas semanas ou meses, com sintomas como dor muscular e sensibilidade nos gânglios linfáticos.[1] Numa pequena percentagem de pessoas podem-se desenvolver problemas de visão.[1] No sul do Brasil, segundo estudos iniciados na década de 1990, uma parcela significativa da população teve contato com o Toxoplasma gondii (cerca de 80 %), causando lesões oculares que podem causar a cegueira em um grande número de pessoas (17,7 %)[8]. Em pessoas imunossuprimidas, podem ocorrer sintomas graves, como crise epilépticas ou falta de coordenação motora.[1] Quando a primeira infeção ocorre durante a gravidez, a doença pode ser transmitida de mãe para filho pela placenta, uma condição denominada toxoplasmose congénita.[1] A toxoplasmose congénita está associada a morte fetal e aborto espontâneo e, em crianças, está associada a déficits neurológicos, neurocognitivos e corioretinite.[3]
A toxoplasmose é geralmente transmitida por via da ingestão de alimentos mal cozinhados que contenham quistos do parasita, exposição a fezes de gato infetadas ou de mãe para filho durante a gravidez se a mãe contrair a primeira infeção durante a gravidez.[4] São raros os casos em que a doença é transmitida por via de transfusão de sangue.[4] Não existem outras formas de contaminação entre pessoas.[4] O único local conhecido de reprodução do parasita é entre os felinos.[9] No entanto, o parasita pode infetar a maior parte dos animais de sangue quente, incluindo o ser humano.[9] O diagnóstico é geralmente feito com análises ao sangue para detectar a presença de anticorpos ou da análise ao líquido amniótico para detectar o ADN do parasita.[5] Estão disponíveis exames rápidos para determinar se a pessoa já foi exposta anteriormente ao parasita e, consequentemente, se está imune durante a gravidez.[3]
A prevenção consiste em preparar e cozinhar adequadamente os alimentos.[10] As grávidas devem evitar tocar em carne crua, evitar beber leite não pasteurizado e não comer carne mal cozinhada de qualquer tipo.[11] Recomenda-se ainda evitar a exposição a fazes de gato, como acontece ao limpar caixas de areia, e evitar atividades de jardinagem ou, pelo menos, usar luvas.[11][10] Em pessoas de outra forma saudáveis geralmente não é necessário tratamento.[6] Durante a gravidez o tratamento podem consistir em espiramicina ou pirimetamina/sulfadiazina e ácido folínico.[6]
Até 50% da população mundial encontra-se infetada com toxoplasmose latente sem manifestar sintomas.[7][12] Em algumas regiões a percentagem é de até 95%.[4] Em cada ano ocorrem cerca de 200 000 casos de toxoplasmose congénita.[3] Os primeiros a descrever o organismo foram Charles Nicolle e Louis Manceaux em 1908.[13] Em 1941 foi confirmada a transmissão de mãe para filho durante a gravidez.[13]
Transmissão
A toxoplasmose pode ser adquirida pela ingestão de água e/ou alimentos contaminados com os oocistos esporulados, presentes nas fezes de gatos e outros felídeos, por carnes cruas ou mal passadas, principalmente de porco e de carneiro, que abriguem os cistos do protozoário Toxoplasma gondii. A ingestão de leite cru contendo taquizoítos do parasito, principalmente de cabras, pode ser uma forma de infecção, mas provavelmente rara, pois a cabra tem de se infectar durante a lactação para que exista a possibilidade de passagem de taquizoítos para o leite. A toxoplasmose pode também ser transmitida de mãe para filho, fenômeno denominado de toxoplasmose congênita.
Estudos realizados no Sul do Brasil indicam que a transmissão adquirida após o nascimento costuma ser maior do que as infecções congênitas. Estudos realizados inicialmente em Erechim modificaram os conceitos tradicionais sobre a epidemiologia e a patogênese da toxoplasmose ocular[8]. Nessa região encontram-se várias famílias em que muitos irmãos não gêmeos apresentam toxoplasmose ocular, indicando doença ocular relacionada com a infecção adquirida[14][15]. Os estudos constataram que a taxa de transmissão congênita na região era menor do que 1%. Nessa região o consumo de carnes cruas, principalmente embutidos de porco, parte do hábito alimentar da região, é o principal fator de contaminação do parasita. Segundo levantamento epidemiológico realizado em 1990, mais de 70% da população já teve contato com o toxoplasma gondii e desses 10 a 17% desenvolveram lesões oculares. As lesões variam desde lesões periféricas até lesões centrais, que praticamente levam a cegueira, com visão <0,1 em um ou nos dois olhos (de acordo com a escala de Wecker 1,0 representa uma visão de 100%).
A toxoplasmose pode ser transmitida de mãe para filho, mas não se transmite de uma pessoa para outra apesar de que já foi constatado a transmissão por transfusão sanguínea e transplante de órgãos de pessoas infectadas. Seu diagnóstico é feito levando em conta exames clínicos e exames laboratoriais de sangue, onde serão pesquisadas imunoglobulinas como a IgM e IgG.
Toxoplasma gondii
O Toxoplasma gondii é um protozoário parasita intracelular obrigatório do grupo dos Apicomplexa, como outros parasitas como o Plasmodium. Há pouca variação entre os toxoplasmas presentes em diferentes partes do globo, podendo-se dizer que há, basicamente, três estirpes. A cepa 1 é altamente virulenta e responsável pelos casos de encefalite grave em imunodeprimidos e passagem transplacentária. As cepas 2 e 3 são avirulentas. As cepas 1, 2 e 3 são comuns na Europa e nos Estados Unidos. Mesmo a cepa 1, a mais agressiva das três, não causa tanto problemas oculares como as cepas atípicas, encontradas no sul do Brasil. Estas cepas atípicas são mais agressivas e causam lesões oculares em um grande número de pessoas. O surgimento destas cepas ocorreu possivelmente devido a essa região ter uma alta taxa de contaminação do meio ambiente, propiciando que ocorram recombinações genéticas do parasita[16][17][18]. O ciclo do toxoplasma é bastante flexível, posto que todas as suas formas são infectantes. Assim, ele pode reproduzir-se se as formas excretadas nas fezes dos gatos forem ingeridas por mamíferos ou outros felídeos por contaminação de água e alimentos, por exemplo, e também infectar o homem pelo mesmo modo, que, por sua vez, também pode infectar-se pela ingestão da carne de mamíferos contendo cistos com bradizoítas. Somente os gatos liberam estruturas infectantes nas fezes.
Ciclo da toxoplasmose
O T.gondii assume diferentes formas em diferentes estágios do seu ciclo.
O ciclo inicia-se pela ingestão de cistos presentes em carne (por exemplo, de porco, rato ou coelho), pelos felídeos. A parede do cisto é dissolvida por enzimas proteolíticas do estômago e intestino delgado, o parasito é liberado do cisto, penetra nos enterócitos (células da mucosa intestinal) do animal e replica-se assexuadamente dando origem a várias gerações de Toxoplasma (taquizoítos) através da reprodução assexuada. Após cinco dias dessa infecção, inicia-se o processo de reprodução sexuada, em que os merozoítos formados na reprodução assexuada dão origem aos gametas. Os gâmetas masculino (microgameta) e feminino (macrogameta), descendentes do mesmo parasita ou de dois diferentes, fundem-se dando origem ao ovo ou zigoto, que após segregar a parede cística dá origem ao oocisto. Este é expulso com as fezes dos animais após nove dias (cada gato expulsa mais de 500 milhões de oocistos em cada defecação).
.jpg)
Já no exterior, sofre divisão meiótica (esporulação) após 1 a 5 dias dependendo da temperatura e disponibilidade de oxigênio, formando-se dois esporocistos cada um com quatro esporozoítos. Uma forma altamente resistente a desinfectante pode durar cinco anos em condições úmidas. Estes são activados em taquizoítos se forem ingeridos por outro animal, chamado hospedeiro intermediário: por exemplo, um rato ou coelho que coma erva em que algum gato ou outro felídeo tenha defecado ou uma criança ou adulto que mexa com os dedos em material contaminado com fezes e depois leve-os à boca. Os taquizoítos podem se infectar e replicar em todas as células dos mamíferos, exceto nas hemácias. Uma vez ligados a uma célula do hospedeiro, o parasito penetra na célula e forma um vacúolo parasitóforo, dentro do qual se divide. A replicação do parasito continua até que seu número no interior da célula atinja uma massa crítica que provoca a ruptura da célula, liberando parasitos que irão infectar outras células adjacentes. A maior parte dos taquizoítos é eliminada pelas respostas imunes humoral e celular do hospedeiro. Algumas dessas formas produzem cistos, contendo muitos bradizoítos, ocorrendo em vários órgãos do hospedeiro, mas persistem no SNC e nos músculos. A formação de cistos é uma forma de evasão ao sistema imunológico do hospedeiro. Se o animal for caçado e devorado por um felídeo, os cistos libertam os parasitas dentro do seu intestino, infectando o novo hóspede definitivo.
Epidemiologia
Existe em todo o mundo. Mais de metade da população, mesmo em países desenvolvidos, tem anticorpos específicos contra o parasita, o que significa que está ou já esteve infectada (o que não significa que tenha tido a sintomatologia da doença, pode ter tido a infecção assintomática). O ser humano é infectado após ingerir oocistos expelidos com as fezes por gatos infectados, ou ao comer carne mal cozida de um animal que tenha ingerido o parasita de fezes de felídeos (ovelhas, vacas e porcos, tal como os humanos são infectados).
Levando em conta também, que o modo de contaminação mais comum é ingerindo carne mal cozida e contaminada.
É importante que as mulheres grávidas façam o exame que detecta se elas são imunes a toxoplasmose.
A toxoplasmose está presente em todo o mundo. A percentagem de adultos que tiveram a doença ao longo da vida é muito elevada, cerca de 50%, dependendo da região, dos hábitos de higiene e das condições de saúde.[7] Na maioria dos casos, os sintomas são pouco presentes ou ligeiros, pelo que a população geralmente desconhece ter sofrido da infecção, o que só pode ser confirmado por uma análise ao sangue que mostre positividade para anticorpos específicos do tipo IgG ou IgM.
Nos Estados Unidos, cerca de 23% da população é afetada.[12] e em algumas zonas do mundo é superior a 95%.[4] Ocorrem a cada ano cerca de 200.000 casos de toxoplasmose congénita.[19] Charles Nicolle e Louis Manceaux descreveram o organismo pela primeira vez em 1908,[13] e a sua transmissão durante a gravidez da mãe para o filho foi confirmada em 1941.[13]
A toxoplasmose é muito prevalente na Europa, provavelmente devido ao elevado consumo de carne crua.[20] A elevada incidência na África Ocidental é conhecida pelos estudos epidemiológicos com imigrantes daquela zona do continente.[21]
Foi encontrada uma elevada prevalência na América Hispânica: México, América Central e América do Sul com exceção das ilhas das Caraíbas devido ao número de adultos que são seropositivos, ou seja, que têm anticorpos no sangue que comprovam que o indivíduo teve contacto com o parasita.[22] Mesmo dentro destas grandes áreas geográficas, existe uma variação considerável na seroprevalência, dependendo da região, idade, sexo, grupo étnico e condições socioeconómicas e de saúde, especialmente o contacto com gatos e solo. Por exemplo, em comunidades com baixa saúde pública na região andina de Cuzco, Peru, criadores de camelídeos, foi encontrada uma seroprevalência de Toxoplasma gondii em alpacas de 35%, quando a doença em humanos nessa região é rara.[23]
Na Colômbia, de acordo com o Estudo Nacional de Saúde realizado em 1982, a prevalência na população em geral é de 47 %. Da mesma forma, de acordo com estudos realizados em diferentes regiões daquele país, as frequências na gravidez variam entre 0,6 a 3,0%. Atualmente, o Ministério da Proteção Social da Colômbia não dispõe de regulamentos para a realização de testes de toxoplasmose durante a gravidez, existindo a mesma situação noutros países da América Latina. Na cidade de Arménia (Quindío), foi estabelecido um programa pelo Ministério da Saúde da Arménia para a população vinculada que abrange cerca de 900 mulheres grávidas e entre dois a cinco casos são detectados a cada ano. Nesta cidade, a mortalidade neonatal ocorreu na população não abrangida pelo programa, mas não nas crianças cujas mães foram detectadas e tratadas. No resto do país, na ausência de intervenção terapêutica, nascem infectados entre 800 e 3.000 recém-nascidos por ano. Em Sincelejo (departamento de Sucre, Colômbia), foram encontradas duas seroconversões em 100 grávidas e ocorreu um nado-morto entre os filhos destas mães.[24]
No Brasil, foram encontradas prevalências na população geral de 50 a 76%. A frequência da toxoplasmose congénita varia entre 0,2 a 2,0%.
As formas mais graves podem levar à morte intrauterina ou causar sequelas graves se a infeção da mãe ocorrer na primeira metade da gestação. Um estudo numa população do Brasil mostrou um maior número (13,9%) de grávidas com toxoplasmose ativa (devido à presença de anticorpos IgM) do que com sífilis e doença de Chagas.[25]
Progressão e sintomas
Se a infecção se der durante a gravidez (o que ocorre em 0,5% das gestações), os parasitas podem atravessar a placenta e infectar o feto, o que pode levar a abortos e a malformações em um terço dos casos, malformações como hidrocefalia, podendo também ocorrer neuropatias e oftalmopatias na criança como défices neurológicos e cegueira, mas se a infecção tiver sido antes do início da gravidez não há qualquer perigo, mesmo que existam cistos.[26]
Os cistos contêm uma forma infectante do parasito, que é o bradizoíto, e em vez de se reproduzir rapidamente, formaram antes estruturas derivadas da célula que infectou, forte e resistente, cheia de liquido e onde o parasita se reproduz lentamente. Os cistos crescem e podem afetar negativamente as estruturas em que se situam, mais frequentemente músculos, o cérebro, no coração ou na retina, podendo levar a alterações neurológicas, problemas cardíacos ou cegueira, mas geralmente sem efeitos nefastos. Os cistos permanecem viáveis por muitos anos, mas não se disseminam devido à imunidade eficaz ganha pelo portador, inclusive contra mais oocitos que possam ser ingeridos. Se o indivíduo desenvolver ou for medicado para imunodeficiência, como após transplantes de órgãos, doenças auto-imunes ou na SIDA/AIDS, as formas ativas podem ser reativadas a partir dos cistos, dando origem a problemas sérios, com sintomas como exantemas (pele vermelha), pneumonia, meningoencefalite com danos no cérebro e miocardite, com mortalidade alta.
Diagnóstico

O diagnóstico é pela sorologia, ou seja, detecção dos anticorpos específicos contra o parasita, como as imunoglobulinas IgM, que só existem nas fases agudas, e IgG que está aumentada na fase crônica da doença.
Na maioria dos casos não é necessário tratamento já que o sistema imunitário geralmente resolve o problema. Na gravidez ou em imunodeprimidos usa-se espiramicina, pirimetamina e sulfadiazina, para controlar a multiplicação do Toxoplasma gondii.
Clinicamente é difícil fazer o diagnóstico porque os casos agudos podem levar à morte ou evoluir para a forma crônica. Esta pode assemelhar a outras doenças (mononucleose, por exemplo).
Prevenção
As gestantes devem evitar o contato com fezes de gatos, pois estas podem conter oocistos, não ingerir água de origem desconhecida e sem estar fervida, nem carne crua ou mal cozida durante a gravidez. No caso dos gatos, lavar as caixas com água e sabão, e trocar a areia das caixas com frequência, pois as fezes deixadas muito tempo na caixa tem um poder contaminante maior.
Deve-se sempre usar luvas ou lavar bem as mãos e passar alcool 70% após manipular a areia. Alimentar os gatos com comida enlatada, ração, água fervida ou filtrada, não lhes permitir caçar animais também reduz o risco e nunca alimentá-los com carne crua ou mal passada.
Referências
- ↑ a b c d e «Parasites – Toxoplasmosis (Toxoplasma infection) Disease». 10 de julho de 2014. Consultado em 22 de agosto de 2015. Cópia arquivada em 22 de agosto de 2015
- ↑ a b Hunter, CA; Sibley, LD (novembro de 2012). «Modulation of innate immunity by Toxoplasma gondii virulence effectors». Nature Reviews Microbiology. 10 (11): 766–78. PMC 3689224
. PMID 23070557. doi:10.1038/nrmicro2858
- ↑ a b c d e Torgerson, Paul R; Mastroiacovo, Pierpaolo (2013). «The global burden of congenital toxoplasmosis: a systematic review». Bulletin of the World Health Organization. 91 (7): 501–508. ISSN 0042-9686. PMC 3699792
. PMID 23825877. doi:10.2471/BLT.12.111732
- ↑ a b c d e f g h «Parasites – Toxoplasmosis (Toxoplasma infection) Epidemiology & Risk Factors». 26 de março de 2015. Consultado em 22 de agosto de 2015. Cópia arquivada em 23 de agosto de 2015
- ↑ a b «Parasites – Toxoplasmosis (Toxoplasma infection) Diagnosis». 10 de janeiro de 2013. Consultado em 22 de agosto de 2015. Cópia arquivada em 22 de agosto de 2015
- ↑ a b c «Parasites – Toxoplasmosis (Toxoplasma infection) Resources for Health Professionals». 14 de abril de 2014. Consultado em 22 de agosto de 2015. Cópia arquivada em 13 de setembro de 2015
- ↑ a b c Flegr J, Prandota J, Sovičková M, Israili ZH (março de 2014). «Toxoplasmosis—a global threat. Correlation of latent toxoplasmosis with specific disease burden in a set of 88 countries». PLoS ONE. 9 (3): e90203. PMC 3963851
. PMID 24662942. doi:10.1371/journal.pone.0090203. Toxoplasmosis is becoming a global health hazard as it infects 30–50% of the world human population.
- ↑ a b Glasner, Peter David (15 de agosto de 1992). «An unusually high prevalence of ocular toxoplasmosis in southern Brazil». Elsevier Inc. American Journal of Ophthalmology. 114 (2): 136-144. Consultado em 2 de fevereiro de 2025
- ↑ a b «Parasites – Toxoplasmosis (Toxoplasma infection) Biology». 17 de março de 2015. Consultado em 22 de agosto de 2015. Cópia arquivada em 28 de agosto de 2015
- ↑ a b «Parasites – Toxoplasmosis (Toxoplasma infection) Prevention & Control». 10 de janeiro de 2013. Consultado em 22 de agosto de 2015. Cópia arquivada em 22 de agosto de 2015
- ↑ a b Kapperud, Georg; Jenum, Pal A.; Stray-Pedersen, Babill; Melby, Kjetil K.; Eskild, Anne; Eng, Jan (1996). «Risk factors for Toxoplasma gondii infection in pregnancy. Results of a prospective case-control study in Norway». American Journal of Epidemiology. 144 (4): 405–412. PMID 8712198. doi:10.1093/oxfordjournals.aje.a008942
- ↑ a b Jones JL, Parise ME, Fiore AE (2014). «Neglected parasitic infections in the United States: toxoplasmosis». American Journal of Tropical Medicine and Hygiene. 90 (5): 794–9. PMC 4015566
. PMID 24808246. doi:10.4269/ajtmh.13-0722
- ↑ a b c d Ferguson DJ (2009). «Toxoplasma gondii: 1908–2008, homage to Nicolle, Manceaux and Splendore». Memórias do Instituto Oswaldo Cruz. 104 (2): 133–48. PMID 19430635. doi:10.1590/S0074-02762009000200003
- ↑ Silveira, Cláudio (1987). «Toxoplasmose ocular. Identificação de cistos de Toxoplasma gondil na retina de imãos não gêmeos com diagnóstico de toxoplasmose ocular reddivante: primeiro caso mundial». Conselho Brasileiro de Oftalmologia. Arquivos brasileiros de oftalmologia. 50 (6): 215-218. Consultado em 2 de fevereiro de 2025
- ↑ Silveira, Cláudio (1992). «Familial or ocular toxoplasmosis in 30 siblings – Identification of retinal toxoplasmic cysts in non-twin siblings and pseudo unilateral retinitis pigmentosa secondary to ocular toxoplasmosis». ARVO. Supplement to Investigative Ophthalmology and Visual Science. 28 (3): 104
- ↑ Khan, Asis (2006). «Genetic divergence of Toxoplasma gondii strains associated with ocular toxoplasmosis, Brazil». Centers for disease control and prevention (CDC). Emerging infectious diseases (12): 942-949. Consultado em 2 de fevereiro de 2025
- ↑ Grigg, Michael (1 de setembro de 2001). «Unusual Abundance of Atypical Strains Associated with Human Ocular Toxoplasmosis». Oxford University Press. The Journal of Infectious Diseases. 184 (5): 633–639. Consultado em 2 de fevereiro de 2025
- ↑ Cortés, Diana (2020). «Severe acute multi-systemic failure with bilateral ocular toxoplasmosis in immunocompetent patients from urban settings in Colombia: Case reports». Elsevier Inc. American Journal of Ophthalmology (18): 1-4. Consultado em 2 de fevereiro de 2025
- ↑ Torgerson, PR; Mastroiacovo, P (1 de julho de 2013). «The global burden of congenital toxoplasmosis: a systematic review.». Bulletin of the World Health Organization. 91 (7): 501-8. PMID 23825877. doi:10.2471/blt.12.111732
- ↑ OTISpregnancy.org - Especialistas en Información de la Organización de Teratología. [1] Arquivado em 6 de fevereiro de 2009, no Wayback Machine. Último acceso: 26 de octubre de 2007.
- ↑ Chesterton, J. R. y E. S. Perkins. «Ocular toxoplasmosis among Negro immigrants in London.» Br J Ophthalmol. 1967 September; 51(9): 617-621. [2]
- ↑ CHACIN-BONILLA, Leonor, SÁNCHEZ-CHÁVEZ, Yulaicy, ESTÉVEZ, Jesús et al. «Prevalence of human toxoplasmosis in San Carlos Island, Venezuela.» INCI. [online] ago. 2003, v. 28, n.º 8 [citado em 26 de Outubro de 2007], pp. 457-462. Disponível em [3]. ISSN 0378-1844.
- ↑ RAMÍREZ R., Julia, CHÁVEZ V., Amanda, CASAS A. Eva et al. «Soroprevalência de Toxoplasma gondii em alpacas de comunidades da província de Canchis, Cusco.» Rev. pesquisar. veterinário. Peru. [on-line]. Julho/Dezembro de 2005, v. 16, n.º 2 [citado em 26 de Outubro de 2007], pp. 169-174. Em [4]. ISSN 1609-9117.
- ↑ Gómez Marín, J. E., Castaño, J. C., Montoya, M. T. «Toxoplasmosis congénita en Colombia: Un problema subestimado de salud pública.» Colombia Médica 26: 66-70, 1995 en [5]ISSN 1657-9534.
- ↑ VAZ, Adelaide José, GUERRA, Elvira Maria, FERRATTO, Luzia Cristina Contim et al. «Positive sorology of syphilis, toxoplasmosis and Chagas' disease in pregnant women on their first visit to State Health Centes in a metropolitan area, Brazil.» Rev. Saúde Pública [en línea]. 1990, v. 24, n.º 5 [citado el 26 de octubre de 2007], pp. 373-379. En [6]. ISSN 0034-8910.
- ↑ [7]
