Síndrome hemolítico-urêmica

Síndrome hemolítico-urémica
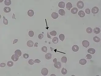
Esquizocitos num esfregaço sanguíneo de um doente com síndrome hemolítico-urémica
Especialidadehematologia
Classificação e recursos externos
CID-113A21.2
CID-10D59.3
CID-9283.11
OMIM235400
DiseasesDB13052
MedlinePlus000510
eMedicineped/960
MeSHD006463
A Wikipédia não é um consultório médico. Leia o aviso médico 

Síndrome hemolítico-urêmica (português brasileiro) ou síndrome hemolítica-urémica (português europeu) (SHU) é uma síndrome caracterizada por insuficiência renal progressiva, anemia hemolítica (destruição dos glóbulos vermelhos e plaquetas) e lesão das paredes dos vasos sanguíneos. É causada pela verotoxina (toxina shiga e similares) produzida por uma infecção bacteriana.

Não confundir com síndrome urêmica (ou uremia), um sintoma da insuficiência renal envolvendo aumento da ureia e ácido úrico no sangue por desidratação.

Causa

Geralmente atinge crianças infectadas com E. coli (Escherichia coli O157H7) após vários dias de Intoxicação alimentar com diarreia com ou sem sangue. Também pode ser causada por Salmonella ou Shigella e bactérias similares. Surtos grandes foram associados ao consumo de carne mal cozida. [1]

Em adultos pode ser favorecida por fatores genéticas, infecções virais, gravidez e medicamentos como quinina (um remédio para cãibras musculares), algumas drogas quimioterápicas, a ciclosporina, medicamentos imunossupressores e medicamentos anti-plaquetários.[2]

Transmissão

O E. coli, a salmonella e o shigella são zoonoses encontradas em animais domésticos e selvagens e transmitidos por[3]:

  • Consumo de carne moída, crua ou mal cozida;
  • Consumo de laticínios não-pasteurizados;
  • Ingestão de água infectada com as fezes de animais.

Sinais e sintomas

Antes da síndrome os sintomas típicos são os de gastroenterite como[4]:

Após alguns dias, os sintomas da síndrome começam[4]:

Epidemiologia

É mais comum em crianças pequenas e em países com alto consumo de carne e pouco controle de qualidade. Em países com bom controle a incidência é de apenas de 1 ou 2 casos para cada 100.000 habitantes, mas é 6 vezes mais comum em crianças.[5] Na Argentina houve um surto de 500 casos em 2010, com redução para 300 casos em 2013, quase todos associados a carne mal cozida.[6]

Tratamento

O tratamento pode incluir dependendo dos sintomas ou da gravidade[7]:

Ver também

Referências