Síndrome de Stevens-Johnson
| Síndrome de Stevens–Johnson | |
|---|---|
![]() | |
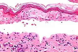
| Lesões características da síndrome de Stevens–Johnson | |
| Especialidade | Dermatologia |
| Sintomas | Febre, bolhas, exfoliação e descolamento da pele, dor na pele, olhos vermelhos[1] |
| Complicações | Desidratação, sepse, pneumonia, múltipla falência de órgãos.[1] |
| Início habitual | Idade < 30[2] |
| Causas | Determinados medicamentos, determinadas infeções, desconhecidas[2][1] |
| Fatores de risco | VIH]/SIDA, lúpus eritematoso sistémico, genética[1] |
| Método de diagnóstico | <10% da pele envolvida, biópsia da pele[2] |
| Condições semelhantes | Varicela, epidermólise estafilocócica, síndrome da pele escaldada estafilocócica, dermatose bolhosa autoimune[3] |
| Tratamento | Hospitalização, interromper a causa[2] |
| Medicação | Analgésicos, anti-histamínicos, antibióticos, corticosteroides, imunoglobulina intravenosa[2] |
| Prognóstico | Mortalidade ~7,5%[1][4] |
| Frequência | 1–2 por milhão por ano (em conjunto com NET)[1] |
| Classificação e recursos externos | |
| CID-11 | EB13.0 |
| CID-10 | L51.1 |
| CID-9 | 695.13 |
| OMIM | 608579 |
| DiseasesDB | 4450 |
| MedlinePlus | 000851 |
| eMedicine | 1197450, 1124127 |
| MeSH | D013262 |
Síndrome de Stevens–Johnson (SSJ) é uma reação adversa grave da pele a medicamentos ou infeções.[1] A SSJ e a necrólise epidérmica tóxica (NET) são duas formas da mesma doença, sendo a SSJ a menos grave.[1][3] Os sintomas iniciais de SSJ são febre e sintomas semelhantes aos da gripe.[1] Alguns dias mais tarde, a pele começa a ganhar bolhas, exfoliar e descolar, dando origem a áreas de carne viva dolorosas.[1] Geralmente a doença também afetas as mucosas, como a boca.[1] Entre as possíveis complicações estão desidratação, sepse, pneumonia e múltipla falência de órgãos.[1]
A causa mais comum é uma reação adversa a medicamentos como a lamotrigina, carbamazepina, alopurinol, sulfonamidas e nevirapina.[1] Entre outras possíveis causas estão infeções por Mycoplasma pneumoniae e citomegalovírus, embora em muitos casos as causas permaneçam por desvendar.[2][1] Entre os fatores de risco estão ser portador de VIH/SIDA ou lúpus eritematoso sistémico.[1]
Para o diagnóstico de SSJ é necessário que a área de pele afetada seja inferior a 10% da superfície do corpo.[2] Quando mais de 30% da pele é afetada considera-se NET, e entre 10 e 30% considera-se forma intermédia.[3] Acredita-se que as reações SJS/TEN seguem um mecanismo de hipersensibilidade do tipo IV (não imediata).[5] A SSJ/NET faz parte de um grupo de doenças denominado reações adversas cutâneas graves (SCAR), do qual também fazem parte a síndrome induzida por fármacos com eosinofilia e sintomas sistémicos (síndrome DRESS) e a pustulose exantemática generalizada aguda (PEGA).[6] O eritema multiforme (EM) é geralmente considerado uma doença distinta.[7]
O tratamento geralmente é realizado no hospital em unidades de queimados ou unidades de cuidados intensivos.[2] Entre as medidas de tratamento estão a interrupção da causa e administração de analgésicos, anti-histamínicos, antibióticos, corticosteroides ou imunoglobulina intravenosa.[2] As SSJ e TEN afetam anualmente 1 a 2 em cada milhão de pessoas.[1] A doença é mais frequente em idades inferiores a 30 anos.[2] Na maior parte dos casos a pele regenera-se ao fim de duas ou três semanas, embora a recuperação completa possa levar vários meses.[2] O risco de morte por SSJ é de 5 a 10%.[1][4]
Causas
A reação alérgica pode ser causada por estímulos como fármacos, infecções virais e neoplasias, embora em grande parte dos casos a etiologia específica não seja facilmente identificável. As drogas mais freqüentemente suspeitas são a penicilina, os antibióticos contendo sulfamidas, os barbitúricos, os anticonvulsivantes, os analgésicos, os anti-inflamatórios não-esteróides ou o alopurinol além dos anti-virais como Nevirapina e Delavirdina. Em alguns casos, ocorre juntamente com uma outra doença grave, complicando o diagnóstico. Os fármacos e as neoplasias estão associadas frequentemente aos adultos. Em relação as crianças se relaciona com infecções.[8]
Sintomas

As lesões cutâneas são máculas eritematosas, bolhas sero-hemorrágicas, e púrpura. O início é geralmente abrupto, podendo ocorrer: febre, mal-estar, dores musculares e artralgia.[9]
As lesões são extensas, envolvem várias áreas do corpo com erupções cutâneas, podendo haver também lesão da íris. A reação é facilmente observada nas mucosas bucais e conjuntivas, além de úlceras genitais.[9]
A patologia pode evoluir para um quadro de toxémia com alterações do sistema gastrintestinal, sistema nervoso central, rins e coração (arritmias e pericardite). O prognóstico torna-se grave principalmente em pessoas idosas e quando ocorre infecção secundária. Pode evoluir para uma forma mais grave, a Necrólise Epidérmica Tóxica (NET), na qual a camada superior da pele desprende-se em camadas. São consideradas espectros de uma mesma doença, apresentando, inclusive, fases intermediárias.[9] A destruição cutânea provoca a perda importante de líquidos e eletrólitos e torna estes pacientes vulneráveis a infeções que complicam ainda mais o quadro clínico. Nesta fase o paciente assemelha-se muito a um grande queimado e necessita dos mesmos cuidados.
As cicatrizes decorrentes da necrose podem levar à perda de funções orgânicas. Quando atinge os brônquios, pode levar à insuficiência respiratória. Outras conseqüências: cegueira, complicações renais, complicações pulmonares, perfuração do globo ocular, hemorragia gastrointestinal, hepatite, nefrite, artralgia, artrite, febre, mialgia, entre outros.[10]
Diagnóstico e Tratamento

O diagnóstico geralmente é através da caracterização das erupções cutâneas, que surgem após 1 a 3 semanas da exposição ao estímulo.
Diagnóstico diferencial
No início pode ser confundida com sarampo, eritema multiforme, síndrome DRESS, varicela, mas com a evolução o diagnóstico diferencial é feito pelo caráter da lesão cutânea e as inúmeras necroses.
Tratamento
Deve-se interromper imediatamente o uso de medicamentos suspeitos. O paciente deve ser hospitalizado e monitorado. O doente deve ser tratado na unidade de queimados, com cuidados rigorosos para evitar infecções. É feita a reposição endovenosa dos líquidos e sais minerais perdidos devido à lesão. Devem ser utilizados colírios específicos, e uma avaliação oftalmológica diária é necessária. O uso de corticóides deve ser criterioso, pois podem aumentar o risco de morte desses pacientes.[11]
Prognóstico
A prática médica tem observado que 3 a 5 por cento dos casos são letais. As lesões, nas formas menos graves, começam de 2 a 3 semanas após o início da reação.[11]
Referências
- ↑ a b c d e f g h i j k l m n o p q «Stevens-Johnson syndrome/toxic epidermal necrolysis». Genetics Home Reference (em inglês). Julho de 2015. Consultado em 26 de abril de 2017. Cópia arquivada em 27 de abril de 2017
- ↑ a b c d e f g h i j k «Stevens-Johnson syndrome». GARD. Consultado em 26 de agosto de 2016. Cópia arquivada em 28 de agosto de 2016
- ↑ a b c «Orphanet: Toxic epidermal necrolysis». Orphanet (em inglês). Novembro de 2008. Consultado em 26 de abril de 2017. Cópia arquivada em 27 de abril de 2017
- ↑ a b Lerch M, Mainetti C, Terziroli Beretta-Piccoli B, Harr T (2017). «Current Perspectives on Stevens-Johnson Syndrome and Toxic Epidermal Necrolysis». Clinical Reviews in Allergy & Immunology. 54 (1): 147–176. PMID 29188475. doi:10.1007/s12016-017-8654-z
- ↑ Hyzy, Robert C. (2017). Evidence-Based Critical Care: A Case Study Approach (em inglês). [S.l.]: Springer. p. 761. ISBN 9783319433417
- ↑ Adler NR, Aung AK, Ergen EN, Trubiano J, Goh MS, Phillips EJ (2017). «Recent advances in the understanding of severe cutaneous adverse reactions». The British Journal of Dermatology. 177 (5): 1234–1247. PMC 5582023
. PMID 28256714. doi:10.1111/bjd.15423
- ↑ Schwartz, RA; McDonough, PH; Lee, BW (agosto de 2013). «Toxic epidermal necrolysis: Part I. Introduction, history, classification, clinical features, systemic manifestations, etiology, and immunopathogenesis.». Journal of the American Academy of Dermatology. 69 (2): 173.e1–13; quiz 185–6. PMID 23866878. doi:10.1016/j.jaad.2013.05.003
- ↑ VÁRIOS (1994). Cirurgia de urgência, v. II. on line. [S.l.: s.n.]
- ↑ a b c Tua Saúde. «Síndrome de Stevens-Johnson». Consultado em 13 de novembro de 2012
- ↑ BERKOW, Robert; et al. (2008). Manual Merck. on line. [S.l.: s.n.] ISBN In http://www.msd-brazil.com/msdbrazil/patients/manual_Merck/editorial.html Verifique
|isbn=(ajuda) - ↑ a b Tua Saúde. «Tratamento para a Síndrome de Stevens-Johnson». Consultado em 13 de novembro de 2012
