Síndrome de Wernicke-Korsakoff
| Síndrome de Wernicke-Korsakoff | |
|---|---|
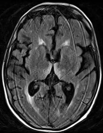
![]() | |
| Lesão no diencéfalo, especificamente no núcleo dorsomedial do tálamo e nos corpos mamilares. | |
| Especialidade | neurologia |
| Classificação e recursos externos | |
| CID-11 | 5B5A.1 |
| CID-10 | E51.2, F10.6 |
| CID-9 | 291.1, 294.0 |
| OMIM | 277730 |
| DiseasesDB | 14107 |
| MedlinePlus | 000771 |
| eMedicine | med/2405 |
| MeSH | D020915 |
Síndrome de Wernicke-Korsakoff é uma grave síndrome neuropsiquiátrica associada à carência de vitamina B1 (tiamina), frequentemente causada por consumo excessivo de álcool e má alimentação.
Causas
Síndrome de Wernicke-Korsakoff é uma combinação da encefalopatia de Wernicke, causada pela deficiência severa de tiamina (vitamina B1), com a psicose de Korsakoff, uma sequela neurológica de encefalopatia de Wernicke crônica. A forma metabolicamente ativa da tiamina é o pirofosfato de tiamina, que desempenha um papel importante como um co-fator como coenzima no metabolismo da glicose. As enzimas que são dependentes de pirofosfato de tiamina estão associadas com o ciclo do ácido cítrico (também conhecido como ciclo de Krebs), que catalisam a oxidação do piruvato, α-cetoglutarato e aminoácidos de cadeia ramificada. Assim, qualquer coisa que estimular o metabolismo da glicose vai agravar essa deficiência de tiamina clínica ou sub-clínica existente.
A encefalopatia de Wernicke e a síndrome de Wernicke-Korsakoff são mais comuns em pessoas com transtorno por uso de álcool (TUA). Quando a encefalopatia de Wernicke não é diagnosticada e tratada a tempo, cerca de 20% dos pacientes vão a óbito, e aproximadamente 75% desenvolvem danos cerebrais permanentes relacionados à síndrome de Wernicke-Korsakoff.[1] Cerca de 25% das pessoas afetadas precisam de tratamento intensivo de longo prazo para receber cuidados adequados.[1][2]
Outras possíveis causas incluem:[3]
- Mal-absorção da B1 (beribéri; especialmente por alcoolismo);
- Deficiência nutricional;
- encefalite herpética;
- Hiperemese gravídica;
- Cirurgia bariátrica;
- Internação prolongada sem reposição de vitaminas;
- AIDS, tuberculose e outras doenças sistêmicas crônicas.
Fisiopatologia
A vitamina B1 está associada à transformação do ácido pirúvico, que por sua vez realiza transformações bioquímicas de proteínas, gorduras e especialmente hidratos de carbono, sendo que em sua ausência as células nervosas são as mais afetadas.
A memória é função do sistema límbico e se compreende um circuito que se inicia em sua face aferente, onde os estímulos percebidos pelo organismo seguem para o tálamo e depois até o córtex cerebral. Nas regiões de associação neocorticais (no córtex) ocorre o armazenamento da memória, que quando evocada passa à sua porção eferente, envolvendo áreas conscientes e funções motoras.
O tálamo tem a função de integrar as várias percepções sensoriais. No hipocampo ocorre a triagem ou classificação dessas percepções para uma devida organização do armazenamento no córtex. Os corpos mamilares, o fórnix e o cíngulo têm a função de reforçar os traços mnemônicos, criando facilitações sinápticas e duplicando as memórias em outras regiões do córtex. Pode-se entender essa função como a de transformar a memória imediata (consciente, logo após o fato ocorrido) em permanente.
A síndrome de Korsakoff é atribuída a uma lesão no diencéfalo, especificamente no núcleo dorsomedial do tálamo e nos corpos mamilares, que, como vistos, são essenciais na construção da memória, o que causaria a amnésia anterógrada. Para agravar esse quadro ocorre também atrofia cortical generalizada, afetando especialmente o lobo frontal e temporal. Essa lesão no córtex cerebral seria a responsável pela amnésia retrógrada e até mesmo uma complicação à já existente questão da identidade, sendo que o lobo frontal tem enorme importância na formação da personalidade e na integração de inúmeras informações corticais.[4]
Sinais e sintomas
Os sintomas da encefalopatia de Wernicke incluem[5]:
- Confusão mental;
- Perda de coordenação muscular e tremores (ataxia);
- Alterações na visão como movimentos anormais dos olhos (nistagmo), visão dupla e queda da pálpebra;
- Síndrome de abstinência alcoólica.
Os sintomas da síndrome de Korsakoff[5]:
- Amnésia anterógrada;
- Amnésia retrógrada;
- Inventar histórias (confabulação)
- Alucinações
Complicações
Muitas vezes a vítima não tem consciência de sua condição. A amnésia anterógrada está relacionada com o comprometimento da memória de curto prazo, ou seja, o doente se torna incapaz de formar novas memórias a partir do momento em que desenvolve a doença, e a amnésia retrógrada está relacionada à memória de longo prazo, assim o doente perde grande parte da memória que havia se formado antes da doença.
É baseado nessa severa condição que o neurologista Oliver Sacks (em "O homem que confundiu sua mulher com um chapéu") relaciona a síndrome de Korsakoff à perda da identidade, pois vítima de uma amnésia retro-anterógrada o doente perde por inteiro sua linha biográfica, sua história, e permanece incapaz de construir outra, sendo obrigado a viver como uma pessoa sem história de vida. A memória é fundamental para a formação do senso de identidade na consciência.
Como consequência desse severo quadro é que ocorre a confabulação, que seria uma tentativa do doente de preencher suas lacunas mnemônicas com imaginações e ficções aparentemente verossímeis, nas quais ele próprio poderia acreditar. Outra consequência seria a desorientação temporoespacial, claramente causada pela incapacidade da pessoa de medir sua existência no tempo.[6]
Com o tempo, o declínio de atividade mental pode evoluir para demência, coma e morte. É uma causa comum de morte de moradores de rua e pacientes psiquiátricos internados.
Diagnóstico

O exame do sistema nervoso e muscular pode mostrar muitos danos[5]:
- Movimento ocular anormal;
- Reflexos diminuídos ou anormais;
- Pulso acelerado;
- Pressão arterial baixa;
- Baixa temperatura corporal;
- Fraqueza e perda de massa muscular;
- Problemas de marcha e coordenação.
Prevalência
Em estudo com necrópsia abrangendo um amplo espectro de padrões socioeconômicos e culturais, a prevalência da síndrome de Wernicke-Korsakoff em adultos no Brasil foi de 2,2%. Esse resultado é similar ao resto do mundo com 0,8 a 3% de prevalência ao morrer. Os valores sobem para 15% entre a população psiquiátrica internada e para 24% entre mendigos. É muito sub-diagnosticada em todo o mundo, sendo apenas 20% das vítimas são diagnosticados a tempo.[7]
Tratamento
A administração de tiamina para pacientes quando aparecem os primeiros sintomas de encefalopatia de Wernicke ou de alcoolismo é a melhor forma de prevenir o desenvolvimento da síndrome de Wernicke-Korsakoff, ou ao menos reduzir a sua gravidade. A administração imediata de tiamina pode salvar a vida do paciente sem risco de hipervitaminose, pois o excesso é eliminado rapidamente na urina.
O tratamento é voltado a reduzir a progressão dos déficits cognitivos causados por essa síndrome, não sendo capaz de reverter completamente os déficits já existentes. Mesmo com tratamento a síndrome persiste, pelo menos parcialmente, em 80% dos pacientes. Uma dose mínima de 500 mg de cloridrato de tiamina, deve ser administrada por infusão por 30 minutos por três dias.[9]
Em pacientes que não respondem ao tratamento, a dose deve ser aumentada para 250 mg e feita por via intravenosa ou intramuscular por três a cinco dias, até o paciente melhorar. A mortalidade em casos diagnosticados e tratados é de 15% e de 77% sem tratamento.[10]
Ver também
- Beribéri
- Neurociência
- Afasia de Wernicke
- Psicose
- Delirium tremens
- Memória
- Esquecimento
Referências
- ↑ a b Thomson, Allan D.; Marshall, E. Jane (2006). «The natural history and pathophysiology of Wernicke's Encephalopathy and Korsakoff's Psychosis». Alcohol and Alcoholism. 41 (2): 151–8. PMID 16384871. doi:10.1093/alcalc/agh249
- ↑ Dam, Mirjam Johanna; Meijel, Berno; Postma, Albert; Oudman, Erik (15 de janeiro de 2020). «Health problems and care needs in patients with Korsakoff's syndrome: A systematic review». Journal of Psychiatric and Mental Health Nursing (em inglês). 27 (4): 460–481. ISSN 1351-0126. PMID 31876326. doi:10.1111/jpm.12587
- ↑ http://emedicine.medscape.com/article/288379-overview#aw2aab6b2b2
- ↑ DALGALARRONDO, Paulo. A memória e suas alterações. In:___. Psicopatologia e semiologia dos transtornos mentais. Porto Alegre: Artmed, 2000. Cap. 15, p. 91—99.
- ↑ a b c http://www.nlm.nih.gov/medlineplus/ency/article/000771.htm
- ↑ http://emedicine.medscape.com/article/288379-overview#a0104
- ↑ ZUBARAN, Carlos et al. Aspectos clínicos e neuropatológicos da síndrome de Wernicke-Korsakoff. Rev. Saúde Pública [online]. 1996, vol.30, n.6 [cited 2014-06-09], pp. 602—608 . Available from: <http://www.scielo.br/scielo.php?script=sci_arttext&pid=S0034-89101996000600015&lng=en&nrm=iso>. ISSN 0034-8910. http://dx.doi.org/10.1590/S0034-89101996000600015.
- ↑ http://emedicine.medscape.com/article/288379-overview#aw2aab6b2b6
- ↑ Sechi, G., & Serra, A. (2007). Wernicke's encephalopathy: new clinical settings and recent advances in diagnosis and management. Lancet Neurol, 6, 442-455.
- ↑ http://emedicine.medscape.com/article/288379-overview#aw2aab6b2b5
Bibliografia
- DALGALARRONDO, Paulo. A memória e suas alterações. In:___. Psicopatologia e semiologia dos transtornos mentais. Porto Alegre: Artmed, 2000. Cap. 15, p. 91-99.
- CABRAL, R. J. Para compreender a psicopatologia geral. Belo Horizonte: Santa Edwiges, S.D.
- YUDOFSKY, Stuart C.; HALES, Robert. E. Aspectos neuropisiquiátricos da memória e amnésia. In:___. Compêndio de Neuropsiquiatria. Porto Alegre: Artes Médicas, 1996. Cap.13, p. 201-212.
- ROCA, M. P. Características del síndrome de Korsakov. Mèdica de Tarragona. Barcelona, 2004. Disponível on-line: Acesso em: 23 mar. 2006.
- SCHLINDWEIN-ZANINI, R; Almeida, G.M.F; COLOGNESE, L; FERNANDES, K.C. WERNICKE KORSAKOFF SYNDROME, SUBSTANCE USE AND ABUSE: Neuropsychological and psychomotor effects.The FIEP Bulletin, v. 84, p. 369-372, 2014. Disponível em: http://www.fiepbulletin.net/index.php/fiepbulletin/article/view/4462.
