Glioblastoma multiforme
| Glioblastoma multiforme | |
|---|---|
![]() | |
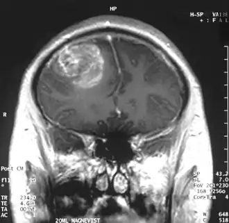
| Glioblastoma observado em ressonância magnética | |
| Especialidade | Neurooncologia |
| Classificação e recursos externos | |
| CID-11 | XH7F82 |
| CID-10 | C71 |
| CID-9 | 191 |
| CID-CID-O | 9440/3 |
| OMIM | 137800 |
| DiseasesDB | 29448 |
| eMedicine | 1156220, 283252 |
| MeSH | D005909 |
O glioblastoma multiforme (GBM), também conhecido como glioblastoma e astrocitoma grau IV, é o tipo mais comum e agressivo de tumor maligno cerebral que acomete os seres humanos.[1] Os sinais e sintomas iniciais são inespecíficos e podem incluir cefaleia, alterações de personalidade, náuseas e sintomas similares aos de um acidente vascular cerebral.[2] O agravamento dos sintomas é geralmente rápido, podendo evoluir para um quadro de inconsciência.[3]
A etiologia desses tumores é desconhecida, mas os fatores de risco incluem anomalias genéticas - como a neurofibromatose e a síndrome de Li-Fraumeni - e radioterapia prévia.[3][4] Os glioblastomas representam cerca de 15% dos tumores cerebrais e podem desenvolver-se a partir de células da glia normais ou de um astrocitoma de baixo grau já existente.[2][5] O diagnóstico é confirmado através de exames de tomografia computadorizada, ressonância magnética e biopsia da lesão.[2]
Não existe forma conhecida de prevenção para essa tipo de tumor. O tratamento é baseado em ressecção cirúrgica do tumor ou de parte dele, quimioterapia e radioterapia.[4][6] A temozolomida é o agente mais utilizado na terapia adjuvante do glioblastoma multiforme.[4][6][7][8] Doses elevadas de esteroides podem ser empregadas para ajudar a reduzir o edema e aliviar os sintomas.[2] Não há comprovação de que a ressecção total do tumor seja mais benéfica do que a ressecção subtotal pois,[9] a despeito do tratamento, o gliobastoma multiforme é geralmente recidivante.[4] Estudos recentes tem demonstrado resultados promissores com o uso da imunoterapia no tratamento do tumor.[10]
O prognóstico para portadores desse tipo de tumor é reservado e o tempo de sobrevida médio após o diagnóstico é de 12 a 15 meses (somente 3 a 5% dos pacientes sobrevivem mais de cinco anos) e a doença é sempre fatal.[3][4] Sem tratamento, a sobrevida é de cerca de 3 meses.[11] Estima-se que entre 3.000 a 100.000 pessoas desenvolvam a doença anualmente.[4] A doença manifesta-se principalmente em pacientes com mais de 60 anos de idade e é mais frequente na população masculina.[3][4]
Sinais e sintomas
Embora os sintomas comuns da doença incluem convulsões, náusea e vômitos, dor de cabeça e hemiparesia, o sintoma único mais prevalente é um déficit de memória, personalidade ou neurológico progressivo devido ao envolvimento do lobo frontal ou do temporal. Os tipos de sintomas produzidos dependem muito da localização do tumor, mais do que de suas propriedades patológicas. O tumor pode começar a produzir sintomas rapidamente, mas ocasionalmente ele é uma doença assintomática até que atinja um tamanho significativo.
Diagnóstico

.jpg)
Quando visto através da ressonância magnética, os glioblastomas frequentemente aparecem como lesões com realce em anel. No entanto, esta aparência não é específica, já que outras lesões como abscessos, metástases e esclerose múltipla tumefativa podem ter uma aparência similar.[12]
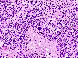
O diagnóstico definitivo do glioblastoma multiforme requer uma biópsia estereotática ou uma craniotomia com ressecção do tumor e confirmação patológica.
Patogênese
O glioblastoma surge no próprio cérebro, mais especificamente dos astrócitos, que são células responsáveis por algumas funções desta área nobre do ser humano. Quando um tumor tem sua origem definida pelos astrócitos, diz-se que é um astrocitoma. Um glioblastoma é um tipo de astrocitoma e seu grau de malignidade é o mais avançado (grau IV), ou seja, extremamente agressivo. É mais frequente em adultos entre os 35 e os 70 anos de idade, mas não é incomum ocorrer em outras idades.
O grande problema deste tipo de tumor é o seu rápido crescimento, e mesmo após a cirurgia, um novo aumento é esperado. Além disso há infiltração de células tumorais isoladas no tecido cerebral aparente normal a 7 cm de profundidade além da periferia da lesão. Mesmo que a operação remova 99,99% do tecido neoplásico, o restante infiltrado no tecido ou mínimo resíduo local é capaz de se multiplicar e dependendo do caso, volta ao tamanho inicial em até 30 dias.
Tratamento
Há diversas substâncias que de certa forma inibem ou "atrapalham" o crescimento tumoral, e partindo deste princípio é que se aplicam tais métodos alternativos. Normalmente são administradas logo após a cirurgia, iniciando em conjunto com o protocolo padrão de tratamento.
Importante destacar também é a demanda dos recursos requeridos pelo glioblastoma, que incluem em sua maioria novos vasos sanguíneos (que carregam nutrientes, oxigênio, etc.), e um dos fatores por trás do tratamento alternativo é justamente inibir a angiogênese (criação de novos vasos). Medicamentos inibidores da enzima COX-2, por exemplo, têm esta característica. Outras substâncias também são administradas, com características citotóxicas ao tumor.
Em 2009, o quimioterápico mais utilizado para este caso é o TEMODAL® (temozolomida), cuja ação básica é "intoxicar" o organismo, incluindo as células tumorais. Seu custo é elevado, porém há meios legais de adquiri-lo. Apesar de ser uma droga nova e com poucos efeitos colaterais, sua eficácia é limitada. De fato sua intenção é aumentar a sobrevida do paciente, que é o chamado "Progression Free Survival" (PFS). O PFS nada mais é que o "Tempo de Vida sem Progressão" do tumor, que é o grande problema neste caso. Entretanto hoje é indicado formalmente para os GBM recidivantes , ou seja, para todos após a cirurgia (que promove a citoredução, ou seja, redução do número de células tumorais) + radioterapia e/ou quimioterapia, mas não aprovado ainda oficialmente como terapia inicial. Também é contra-indicado para gestantes, mulheres amamentando e pacientes com mielossupressão.
As células aberrantes têm características especiais, inclusive possuem comportamento muito parecido com o das células fetais, cujo crescimento é extremamente rápido. Genes responsáveis pela apoptose (morte celular programada) comumente encontram-se inativos, o que "beneficia" o tumor.
Há raríssimos casos de metástase, e também há situações em que ele é inoperável. Dependerá basicamente em que região do cérebro se encontra, profundidade da lesão, risco de sequelas imediatas e demais fatores como idade do paciente, histórico clínico, etc.
Um caso isolado é de um pesquisador norte-americano, Ben Williams, que ao saber seu próprio diagnóstico sobre GBM, iniciou uma série de estudos e pesquisas e está vivo desde 1995. Há diversos artigos publicados, inclusive um livro publicado.
Um outro exemplo de longevidade (cerca de 20 anos após o diagnóstico) nesta patologia foi o caso neuropsiquiatra francês, David Servan-Schreiber que no início dos anos 1990 foi diagnosticado com um câncer no cérebro. E que em junho de 2010 ele fez uma recaída grave, vítima de um glioblastoma em deslumbrante lobo frontal. No tempo que mediou entre descoberta da doença e o falecimento, publicou o livro anticâncer que é bestseller mundial, no qual explica de forma acessível o que aprendeu e aplicou a si, tudo isso resultado da sua imensa investigação.
No Brasil há também poucos casos de pessoas com um tempo razoável de sobrevida, na faixa de 1-2 anos. Estatisticamente está dentro da faixa dos sobreviventes dessa moléstia, grande oponente da neurocirurgia.
Prognóstico
Até o presente não existe cura para este tipo de tumor, porém terapias alternativas em conjunto com o tratamento padrão (neurocirurgia, quimioterapia e radioterapia) podem aumentar estatisticamente a sobrevida do paciente para além de um ano.
O tempo de sobrevida média a partir do diagnóstico em pacientes sem tratamento é de 3 meses, mas com tratamento a sobrevida de 1-2 anos é comum. Pacientes com idade avançada (>60 anos de idade) possuem um pior risco prognóstico. A morte geralmente ocorre devido a edema cerebral ou hipertensão intracraniana.[13]
Referências
- ↑ Bleeker et al 2012, p. 11-27.
- ↑ a b c d Young et al 2015, p. 121.
- ↑ a b c d International Agency for Research on Cancer (2014). «5.16». World Cancer Report 2014 1ª ed. Genebra: World Health Organization. 512 páginas. ISBN 978-9283204299
- ↑ a b c d e f g Gallego 2015, p. e273-e281.
- ↑ International Agency for Research on Cancer (2014). «3.8». World Cancer Report 2014 1ª ed. Genebra: World Health Organization. 512 páginas. ISBN 978-9283204299
- ↑ a b Badke et al 2014, p. 45-51.
- ↑ Departamento de Gestão e Incorporação de Tecnologias em Saúde (2014). Temozolomida para o tratamento adjuvante de pacientes portadores de Gliomas de Alto Grau (PDF). Brasília: Ministério da Saúde do Brasil. 34 páginas. Consultado em 16 de Agosto de 2016
- ↑ Khosla 2016, p. 54.
- ↑ Van Meir et al 2010, p. 166-193.
- ↑ «With Immunotherapy, Glimmers of Progress against Glioblastoma». National Cancer Institute. U.S. Department of Health and Human Services - National Institutes of Health. 2015. Consultado em 16 de Agosto de 2016
- ↑ Rees 2007, p. 1336.
- ↑ Smirniotopoulos, J. G.; Murphy, F. M.; Rushing, E. J.; Rees, J. H.; Schroeder, J. W. (2007). «From the Archives of the AFIP: Patterns of Contrast Enhancement in the Brain and Meninges». Radiographics. 27 (2): 525–51. PMID 17374867. doi:10.1148/rg.272065155
- ↑ Krex, D.; Klink, B.; Hartmann, C.; Von Deimling, A.; Pietsch, T.; Simon, M.; Sabel, M.; Steinbach, J. P.; Heese, O. (2007). «Long-term survival with glioblastoma multiforme». Brain. 130 (Pt 10): 2596–606. PMID 17785346. doi:10.1093/brain/awm204
Bibliografia
- Badke, G.L.; Panagopoulos, A.T.; Aguiar, A.B.; Veiga, J.C.E. (2014). «Glioblastoma multiforme em idosos: uma revisão sobre seu tratamento com ênfase na abordagem cirúrgica» (PDF). Arquivos Brasileiros de Neurocirurgia. 33 (1): 45-51. ISSN 0103-5355. Consultado em 16 de agosto de 2016
- Bleeker, F.E.; Molenaar, R.J.; Leenstra, S. (maio de 2012). «Recent advances in the molecular understanding of glioblastoma». Journal of Neuro-Oncology. 108 (1): 11-27. ISSN 1573-737 Verifique
|issn=(ajuda). Consultado em 15 de agosto de 2016 - Gallego, O. (agosto de 2015). «Nonsurgical treatment of recurrent glioblastoma». Current Oncology. 22 (4): e273-e281. ISSN 1718-7729. Consultado em 16 de agosto de 2016
- Khosla, D. (fevereiro de 2016). «Concurrent therapy to enhance radiotherapeutic outcomes in glioblastoma». Annals of Translational Medicine. 4 (3). 54 páginas. ISSN 2305-5847. Consultado em 16 de agosto de 2016
- Rees, J. (2007). «Capítulo 98: Tumors of the Brain». In: Schapira, A.H.V. Neurology and Clinical Neuroscience. Filadélfia: Mosby Elsevier. 1336 páginas. ISBN 978-0-323-03354-1
- Young, R.M.; Jamshidi, A.; Davis, G. (junho de 2015). «Current trends in the surgical management and treatment of adult glioblastoma». Annals of Translational Medicine. 38 (9). 121 páginas. ISSN 2305-5847. Consultado em 15 de agosto de 2016
- Van Meir, E.G.; Hadjipanayis, C.G.; Norden, A.D.; Shu, H.K.; Wen, P.Y.; Olson, J.J. (2010). «Exciting New Advances in Neuro-Oncology - The Avenue to a Cure for Malignant Glioma». CA: A Cancer Journal for Clinicians. 60 (3). 121 páginas. ISSN 1542-4863. Consultado em 16 de agosto de 2016
