Tecido adiposo da medula óssea
Tecido adiposo da medula óssea | |
|---|---|
![]() Os adipócitos da medula óssea são derivados da diferenciação de células estaminais mesenquimais (MSC). |
O Tecido Adiposo da Medula Óssea (TAMO), também referido como Tecido Adiposo da Medula (TAM), é um tipo de tecido adiposo (depósito de gordura) encontrado dentro da medula óssea.
O TAMO aumenta em condições associadas à baixa densidade óssea, tais como: osteoporose,[1][2] anorexia nervosa e restrição calórica,[3][4] ausência de peso esquelética, como a que ocorre durante o voo espacial.[5][6] Também tem sido associado a certas terapias anti-diabéticas.[7]
Por outro lado, a BMAT diminui em condições como a anemia, leucemia e insuficiência cardíaca hipertensiva; em resposta a hormonas como o estrogénio, a leptina e a hormona do crescimento; com perda de peso induzida pelo exercício ou pela cirurgia bariátrica; após exposição crónica ao frio; e após tratamento com agentes farmacológicos como bifosfonatos, teriparatida e metformina..[8]
Anatomia
Os adipocitos da medula óssea (BMAds) [9] têm origem de progenitoras de células-tronco mesenquimais (MSC) que também dão origem aos osteoblastos, entre outros tipos de células.[10] Por conseguinte, pensa-se que o TAMO resulta da diferenciação preferencial das Células Estaminais Mesenquimais (MSC) na linhagem dos adipócitos, em vez da linhagem dos osteoblastos, no contexto da osteoporose. Uma vez que o TAMO aumenta no contexto da obesidade,[11][12][13] e diminui através de exercícios de resistência,[14][11][15][16] ou vibração,[17] é provável que a fisiologia do BMAT, no cenário do input/exercício mecânico, se aproxime do tecido adiposo branco (WAT).
- Métodos para Quantificação do Tecido Adiposo da Medula Óssea (BMAT)
Esta figura demonstra o uso do método de μCT com ósmio e processamento de imagem avançado para quantificar o tecido adiposo da medula óssea (BMAT). Nesta figura, observa-se que o exercício de corrida suprime o BMAT apesar do uso de um agonista de PPARγ. O ósmio, um agente de ligação à gordura, é visualizado por meio de μCT (A) em n = 5 por grupo, com imagens sobrepostas. A quantificação do ósmio como BMAT/volume ósseo em todo o fêmur é mostrada. a, significativo devido à rosiglizaona. b, significativo devido ao exercício. Rosi = rosiglizaona, CTL = controle, E = exercício.
Esta figura demonstra o uso de imagens de ressonância magnética (scanner de 9,4T) juntamente com processamento de imagem avançado para quantificar a densidade mineral óssea (BMAT). As imagens e o gráfico demonstram que a BMAT é maior em camundongos obesos em comparação com camundongos magros. Camundongos B6 foram alimentados com dieta rica em gordura (HFD) desde as 4 semanas até as 16 semanas de idade. A BMAT foi quantificada por ressonância magnética. A) São mostradas imagens médias sobrepostas de n=10 grupos. B) BMAT normalizada para o volume ósseo em cada grupo.
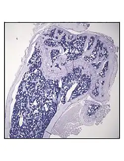
Secção histológica representativa da porção distal do fêmur de um camundongo C57BL/6 saudável de 16 semanas de idade, demonstrando uma quantidade típica de adipócitos na medula óssea.
Secção histológica representativa da porção distal do fêmur de um camundongo C57BL/6 de 16 semanas de idade, após 6 semanas de restrição calórica, demonstrando um aumento na quantidade de adipócitos na medula óssea.
Referências
Este artigo incorpora texto de Gabriel M. Pagnotti e Maya Styner, disponível sob a licença CC BY 4.0.
- ↑ Cohen A, Dempster DW, Stein EM, Nickolas TL, Zhou H, McMahon DJ, et al. (agosto de 2012). «Increased marrow adiposity in premenopausal women with idiopathic osteoporosis». The Journal of Clinical Endocrinology and Metabolism. 97 (8): 2782–2791. PMC 3410269
. PMID 22701013. doi:10.1210/jc.2012-1477 - ↑ Meunier P, Aaron J, Edouard C, Vignon G (outubro de 1971). «Osteoporosis and the replacement of cell populations of the marrow by adipose tissue: A quantitative study of 84 iliac bone biopsies». Clinical Orthopaedics and Related Research. 80: 147–154. PMID 5133320. doi:10.1097/00003086-197110000-00021
- ↑ Fazeli PK, Horowitz MC, MacDougald OA, Scheller EL, Rodeheffer MS, Rosen CJ, Klibanski A (março de 2013). «Marrow fat and bone – new perspectives». The Journal of Clinical Endocrinology and Metabolism. 98 (3): 935–945. PMC 3590487
. PMID 23393168. doi:10.1210/jc.2012-3634 - ↑ McGrath C, Sankaran JS, Misaghian-Xanthos N, Sen B, Xie Z, Styner MA, et al. (janeiro de 2020). «Exercise degrades bone in caloric restriction, despite suppression of marrow adipose tissue (MAT)». Journal of Bone and Mineral Research. 35 (1): 106–115. PMC 6980282
. PMID 31509274. doi:10.1002/jbmr.3872 - ↑ Ahdjoudj S, Lasmoles F, Holy X, Zerath E, Marie PJ (abril de 2002). «Transforming growth factor beta2 inhibits adipocyte differentiation induced by skeletal unloading in rat bone marrow stroma». Journal of Bone and Mineral Research. 17 (4): 668–677. PMID 11918224. doi:10.1359/jbmr.2002.17.4.668

- ↑ Wronski TJ, Morey ER (1 de janeiro de 1982). «Skeletal abnormalities in rats induced by simulated weightlessness». Metabolic Bone Disease & Related Research. 4 (1): 69–75. PMID 7121257. doi:10.1016/0221-8747(82)90011-X
- ↑ Rubin MR, Manavalan JS, Agarwal S, McMahon DJ, Nino A, Fitzpatrick LA, Bilezikian JP (outubro de 2014). «Effects of rosiglitazone vs metformin on circulating osteoclast and osteogenic precursor cells in postmenopausal women with type 2 diabetes mellitus». The Journal of Clinical Endocrinology and Metabolism. 99 (10): E1933–E1942. PMID 24905061. doi:10.1210/jc.2013-3666

- ↑ Cohen A, Dempster DW, Stein EM, Nickolas TL, Zhou H, McMahon DJ, et al. (agosto de 2012). «Increased marrow adiposity in premenopausal women with idiopathic osteoporosis». The Journal of Clinical Endocrinology and Metabolism. 97 (8): 2782–2791. PMC 3410269
. PMID 22701013. doi:10.1210/jc.2012-1477 - ↑ Bravenboer N, Bredella MA, Chauveau C, Corsi A, Douni E, Ferris WF, et al. (2020). «Standardised Nomenclature, Abbreviations, and Units for the Study of Bone Marrow Adiposity: Report of the Nomenclature Working Group of the International Bone Marrow Adiposity Society». Frontiers in Endocrinology. 10: 923. PMC 6993042
. PMID 32038486. doi:10.3389/fendo.2019.00923
- ↑ Cohen A, Dempster DW, Stein EM, Nickolas TL, Zhou H, McMahon DJ, et al. (agosto de 2012). «Increased marrow adiposity in premenopausal women with idiopathic osteoporosis». The Journal of Clinical Endocrinology and Metabolism. 97 (8): 2782–2791. PMC 3410269
. PMID 22701013. doi:10.1210/jc.2012-1477 - 1 2 Styner M, Thompson WR, Galior K, Uzer G, Wu X, Kadari S, et al. (julho de 2014). «Bone marrow fat accumulation accelerated by high fat diet is suppressed by exercise». Bone. 64: 39–46. PMC 4041820
. PMID 24709686. doi:10.1016/j.bone.2014.03.044 - ↑ Meunier P, Aaron J, Edouard C, Vignon G (outubro de 1971). «Osteoporosis and the replacement of cell populations of the marrow by adipose tissue: A quantitative study of 84 iliac bone biopsies». Clinical Orthopaedics and Related Research. 80: 147–154. PMID 5133320. doi:10.1097/00003086-197110000-00021
- ↑ Fazeli PK, Horowitz MC, MacDougald OA, Scheller EL, Rodeheffer MS, Rosen CJ, Klibanski A (março de 2013). «Marrow fat and bone – new perspectives». The Journal of Clinical Endocrinology and Metabolism. 98 (3): 935–945. PMC 3590487
. PMID 23393168. doi:10.1210/jc.2012-3634 - ↑ Styner M, Pagnotti GM, Galior K, Wu X, Thompson WR, Uzer G, et al. (agosto de 2015). «Exercise Regulation of Marrow Fat in the Setting of PPARγ Agonist Treatment in Female C57BL/6 Mice». Endocrinology. 156 (8): 2753–2761. PMC 4511140
. PMID 26052898. doi:10.1210/en.2015-1213 - ↑ Styner M, Pagnotti GM, McGrath C, Wu X, Sen B, Uzer G, et al. (agosto de 2017). «Exercise Decreases Marrow Adipose Tissue Through β-Oxidation in Obese Running Mice». Journal of Bone and Mineral Research. 32 (8): 1692–1702. PMC 5550355
. PMID 28436105. doi:10.1002/jbmr.3159 - ↑ Pagnotti GM, Styner M, Uzer G, Patel VS, Wright LE, Ness KK, et al. (junho de 2019). «Combating osteoporosis and obesity with exercise: leveraging cell mechanosensitivity». Nature Reviews. Endocrinology. 15 (6): 339–355. PMC 6520125
. PMID 30814687. doi:10.1038/s41574-019-0170-1 - ↑ Ahdjoudj S, Lasmoles F, Holy X, Zerath E, Marie PJ (abril de 2002). «Transforming growth factor beta2 inhibits adipocyte differentiation induced by skeletal unloading in rat bone marrow stroma». Journal of Bone and Mineral Research. 17 (4): 668–677. PMID 11918224. doi:10.1359/jbmr.2002.17.4.668

Leitura complementar
- «Why are our bones full of fat? The secrets of bone marrow adipose tissue». Society for Endocrinology. Inverno de 2017
_differentiation._.tif.png)