Plexo submucoso

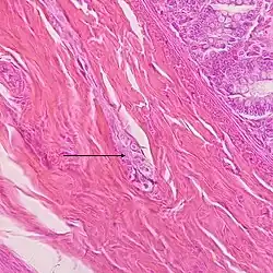
A seta aponta o plexo submucoso em corte histológico de intestino delgado.

O plexo submucoso ou plexo de Meissner faz parte do sistema nervoso entérico. É formado por uma cadeia de neurônios interconectados que controlam principalmente a secreção gastrointestinal e o fluxo sanguíneo local. Situa-se na camada submucosa em todo o trato gastrointestinal . Suas funções estão ligadas à região mais interna da parede do intestino, controlando a secreção local, absorção, e contração do músculo submucoso, que é capaz de formar pregas na parede.[1]

Ver também

Referências

  1. GUYTON, Arthur C. HALL, John E. Tratado de Fisiologia Médica. 9ª ed. Guanabara Koogan. 1997. Pgs. 717, 718.