Plasmodium vivax
Plasmodium vivax
| |||||||||||||||||
|---|---|---|---|---|---|---|---|---|---|---|---|---|---|---|---|---|---|
| Classificação científica | |||||||||||||||||
| |||||||||||||||||
| Nome binomial | |||||||||||||||||
| Plasmodium vivax Grassi & Feletti 1890 | |||||||||||||||||
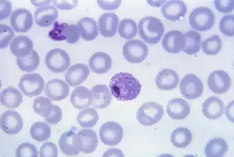
Plasmodium vivax é um parasita protozoário e um patogeno humano. É a causa mais comum e disseminada de malária recorrente e uma das seis espécies de parasitas de malária que infectam o ser humano.[1] É menos virulento do que o Plasmodium falciparum, o mais mortal entre os seis, embora a malária vivax possa ter complicações graves que resultem na morte.[2][3] O P. vivax é transportado pela fêmea do mosquito Anopheles, uma vez que são apenas as fêmeas da espécie que picam para se alimentar.
Referências
- ↑ White, NJ (15 de janeiro de 2008). «Plasmodium knowlesi: the sixth human malaria parasite.». Clinical infectious diseases : an official publication of the Infectious Diseases Society of America. 46 (2): 172–3. PMID 18171246
- ↑ Baird, J. Kevin (1 de novembro de 2007). «Neglect of Plasmodium vivax malaria». Trends in Parasitology. 23 (11): 533–539. doi:10.1016/j.pt.2007.08.011
- ↑ Anstey, NM; Douglas, NM; Poespoprodjo, JR; Price, RN (2012). «Plasmodium vivax: clinical spectrum, risk factors and pathogenesis.». Advances in parasitology. 80: 151–201. PMID 23199488
