Penfigóide gestacional
| Gestational pemphigoid | |
|---|---|
![]() | |
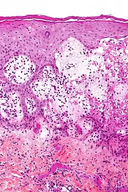
| Micrografia do penfigoide gestacional com as bolhas sub-epidérmicas características e eosinófilos abundantes. | |
| Especialidade | obstetrícia |
| Classificação e recursos externos | |
| CID-11 | JA65.10 |
| CID-10 | O26.4 |
| CID-9 | 646.8 |
| eMedicine | derm/178 |
| MeSH | D006559 |
Penfigóide gestacional é uma dermatose da gravidez. É uma doença autoimune e bolhosa da pele que ocorre durante a gravidez, geralmente no segundo ou terceiro trimestre e/ou imediatamente após o nascimento. Era inicialmente denominada herpes gestacional devido à aparência semelhante, embora não tenha nenhuma associação com o herpesvírus.[1][2][3]
Referências
- ↑ Ambros-Rudolph CM, Müllegger RR, Vaughan-Jones SA, Kerl H, Black MM (Março de 2006). «The specific dermatoses of pregnancy revisited and reclassified: results of a retrospective two-center study on 505 pregnant patients». J. Am. Acad. Dermatol. 54 (3): 395–404. PMID 16488288. doi:10.1016/j.jaad.2005.12.012
- ↑ Kroumpouzos G, Cohen LM (julho de 2001). «Dermatoses of pregnancy». J. Am. Acad. Dermatol. 45 (1): 1–19; quiz 19–22. PMID 11423829. doi:10.1067/mjd.2001.114595
- ↑ Boulinguez S, Bédane C, Prost C, Bernard P, Labbé L, Bonnetblanc JM (2003). «Chronic pemphigoid gestationis: comparative clinical and immunopathological study of 10 patients». Dermatology (Basel). 206 (2): 113–9. PMID 12592077. doi:10.1159/000068467
