Pólipo intestinal
| Colon polyps | |
|---|---|
![]() | |
| Polipo no cólon sigmoide revelado por colonoscopia. | |
| Especialidade | gastrenterologia |
| Classificação e recursos externos | |
| CID-10 | K63.5 & various |
| MedlinePlus | 000266 |
| eMedicine | med/414 |
| MeSH | D003111 |
Pólipo intestinal ou pólipo colônico é um pequeno aglomerado de células das paredes do intestino, geralmente benignos e inofensivos, porém, pólipos também podem se apresentar de forma maligna, tornando-se um fator de risco para câncer colorretal. Como medida de segurança os médicos removem e analisam todos pólipos suspeitos. Pólipos intestinais são bastante comuns em fumantes, obesos, maiores de 50 anos ou portadores de doenças inflamatórias intestinais.[1]
Tipos

Existem vários tipos de pólipos do cólon, incluindo[2]:
- Adenomas: A maioria dos pólipos são adenomatosos e a maioria dos adenomas nunca se tornam malignos, mas quase todos os pólipos que se tornam malignos são adenomatosos. Adenomas tubulares possuem um 5% de serem malignos enquanto os adenomas vilosos possuem 40% de serem malignos.
- Hiperplásicos ou serrilhados: O risco de câncer varia com o tamanho e localização. Pequenos pólipos serrilhados no cólon inferior, raramente são malignos. Pólipos serrilhados maiores que 1cm, tipicamente planos e difíceis de detectar, localizados no cólon superior são precancerosos e portanto devem ser removidos cirurgicamente.
- Inflamatório: Pólipos associados a colite ulcerativa ou doença de Crohn. Embora os pólipos em si raramente sejam cancerosos, ambas doenças estão associadas a um maior risco de câncer de intestino.
- Hamartomas: Geralmente associados a Síndrome de Peutz–Jeghers e na polipose juvenil. Os pólipos em si não tem risco de malignidade, mas ambos casos há um risco maior de adenocarcinoma intestinal (um tipo de câncer de intestino).
Causas
Mutações genéticas podem fazer com que as células continuem a se dividir, mesmo quando novas células não são necessárias. Quando este crescimento não regulado ocorre nas mucosas, como as paredes do tubo digestivo, são chamados de pólipos.[3]
Sinais e sintomas
Os pólipos intestinais geralmente não causam sintomas, mas várias síndromes se associam a pólipos. Sintomas de problemas intestinais incluem[4]:
- Sangramento intestinal,
- Fezes negras (melena),
- Dor abdominal,
- Fadiga,
- Náusea e vômito,
- Constipação ou diarreia.
Diagnóstico
O exame mais sensível e frequentemente usado para examinar pólipos e câncer intestinais é a colonoscopia. A colonoscopia tradicional é bastante invasiva e requer várias horas de preparação, mas permite tomar amostras de tecido (biópsias) para análise. Já a colonoscopia virtual (colonografia) não é invasiva, mas também requer preparação intestinal, usa considerável radiação ionizante e não permite sacar amostras.[5]
Outra opção é a sigmoidoscopia flexível. Um tubo fino iluminado é inserido pelo reto para examinar a parte final do intestino (reto e cólon sigmóide). Se um pólipo for encontrado, é necessário fazer colonoscopia para removê-lo. O exame de toque retal também pode detectar pólipos retais.
Tratamento
Pólipos com mais de 1 cm são removidos durante a colonoscopia e examinados ao microscópio. Se os pólipos são muito extensos ou inacessíveis para serem removidos na colonoscopia, pode ser necessário uma ressecção cirúrgica da mucosa. Se é detectado um câncer, pode exigir radioterapia e quimioterapia. Em algumas síndromes, toda a porção do intestino afetada pode ser removida de uma vez (colectomia). [6]
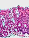
Histologia
Pólipo microvesicular hiperplastico. H&E.
Adenoma serrilhado traditional. H&E.
Adenoma viloso, tumor com alto risco de transformação maligna. H&E.
Adenoma tubular (a esquerda) e mucosa saudável (a direita). H&E.
Pólipo hamartomoso em Síndrome de Peutz-Jeghers. H&E.
Referências
- ↑ Instituto Nacional de la Diabetes y las Enfermedades Digestivas y Renales (2016). Pólipos del colon. https://medlineplus.gov/spanish/colonicpolyps.html
- ↑ Mayo Clinic Staff (2014). Colon polyps - Definition. http://www.mayoclinic.org/diseases-conditions/colon-polyps/basics/definition/con-20031957
- ↑ Mayo Clinic Staff (2014). Colon polyps - Causes. http://www.mayoclinic.org/diseases-conditions/colon-polyps/basics/causes/con-20031957
- ↑ Lehrer, Jenifer K. (2006-07-25). "Colorectal polyps". MedlinePlus.
- ↑ NHS Choices (2014). Bowel polyps. http://www.nhs.uk/Conditions/polyps-bowel/Pages/Introduction.aspx
- ↑ "How I Do It" — Removing large or sessile colonic polyps. Brian Saunders; St. Mark’s Academic Institute; Harrow, Middlesex, UK. http://www.omed.org/downloads/pdf/publications/how_i_doit/2007/omed_hid_removing_large_or_sessile_colonic_polyps.pdf Arquivado em 11 de abril de 2008, no Wayback Machine.
