Meduloblastoma
| Meduloblastoma | |
|---|---|
![]() | |
| Tomografia de um meduloblastoma em uma menina de 6 anos, causando hidrocefalia. | |
| Especialidade | oncologia |
| Classificação e recursos externos | |
| CID-11 | XH8P29 |
| CID-CID-O | 9470/3, 9503/3 |
| OMIM | 155255 |
| DiseasesDB | 31105 |
| eMedicine | neuro/624 ped/1396 radio/434 |
| MeSH | D008527 |
Meduloblastoma (do latim medulla, núcleo e do grego blasto, primitivo e -oma tumor) é um câncer do cerebelo, de crescimento rápido, pouco invasivo e mais comum em crianças. Se origina nas células neurológicas mais primitivas da medula do cerebelo.
Causas
É causado por mutações genéticas em genes no grupo WNT/Beta-catenina, na via SHH (Sonic hedgehog) ou em outros dois grupo de genes. Algumas síndromes genéticas raras, como a síndrome de Gorlin e síndrome de Turcot, aumentam o risco de desenvolver meduloblastoma. Mutações recorrentes nos genes CTNNB1, PTCH1, MLL2, SMARCA4, DDX3X, CTDNEP1, KDM6A e TBR1 foram identificadas em pacientes com meduloblastoma.[1]
Sinais e sintomas
Os sintomas mais comum deste tumor estão associados a um aumento da pressão intracraniana são[2]:
- Vômitos freqüentes e volumosos, especialmente na parte da manhã;
- Dor de cabeça, especialmente pela manhã;
- Náuseas e tontura,
- Perda da coordenação motora,
- Confusão mental,
- Alterações visuais, como visão dupla e movimentos oculares inusuais.
Diagnóstico
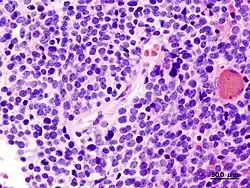
Histologicamente, o tumor é sólido, rosa cinzento e bem circunscrito. O tumor é muito celular, com muitas mitoses, pouco citoplasma e tem a tendência de formar aglomerados e rosetas.
Epidemiologia
Sua incidência anual é de 24,5 casos por cada 1 milhão de crianças. Representa cerca de 20% de todos os cânceres do sistema nervoso central em menores de 18 anos. Geralmente aparece em menores de 5 anos. A incidência aumentou nos últimos anos. Um terço dos meduloblastoma afetam adultos. É um pouco mais comum entre homens.[3]
Tratamento
O tratamento consiste na remoção cirúrgica do tumor, tanto quanto possível, radioterapia e, em seguida, quimioterapia (em crianças mais velhas e adultos). Esta combinação de terapias permite uma sobrevivência de 80% nos 5 anos após o diagnóstico. O prognóstico é melhor em crianças com mais de 3 anos e pior em adultos (60% de sobrevivência após 5 anos). Porém, efeitos colaterais do tratamento podem incluir comprometimento cognitivo, disturbios psiquiátricos, menor crescimento ósseo, perda auditiva ou doenças endócrinas.[4]
Ver também
Referências
- ↑ Jones, D. T.; Jäger, N; Kool, M; Zichner, T; Hutter, B; Sultan, M; Cho, Y. J.; Pugh, T. J.; Hovestadt, V; Stütz, A. M.; Rausch, T; Warnatz, H. J.; Ryzhova, M; Bender, S; Sturm, D; Pleier, S; Cin, H; Pfaff, E; Sieber, L; Wittmann, A; Remke, M; Witt, H; Hutter, S; Tzaridis, T; Weischenfeldt, J; Raeder, B; Avci, M; Amstislavskiy, V; Zapatka, M; et al. (Jul 2012). "Dissecting the genomic complexity underlying medulloblastoma". Nature. 488 (7409): 100–5. Bibcode:2012Natur.488..100J. doi:10.1038/nature11284
- ↑ http://www.cancer.net/cancer-types/medulloblastoma-childhood/symptoms-and-signs
- ↑ Neha Vapiwala, MD and John P. Plastaras, MD, PhD (2016) All About Medulloblastoma. https://www.oncolink.org/cancers/pediatric/information/brain-tumors/all-about-medulloblastoma Arquivado em 1 de janeiro de 2017, no Wayback Machine.
- ↑ Polkinghorn, W (2007). "Medulloblastoma: tumorigenesis, current clinical paradigm, and efforts to improve risk stratification.". Nat Clin Pract Oncol. 4: 295–304. doi:10.1038/ncponc0794.
