Marcapasso transvenoso
O marcapasso transvenoso é um dispositivo usado para corrigir uma frequência cardíaca lenta quando ela está trazendo sintomas significativos[1]. Pode ser usado em casos que não respondem à atropina [2]. Muitas vezes esse ritmo é um bloqueio cardíaco completo [2]. Outras opções incluem epinefrina ou dopamina e estimulação transcutânea [2].
O procedimento de instalação do marcapasso é feito com a pessoa deitada de costas e com a cabeceira da cama abaixada[1]. Um introdutor é colocado na jugular interna direita e outras são seguidos para a completa instação do dispositivo[3].
Usos médicos
A estimulação transvenosa é usada para corrigir uma frequência cardíaca lenta que está resultando em sintomas significativos[1]. Geralmente, esse ritmo é um bloqueio cardíaco completo, que não responde a medicamentos[2]. Outras opções temporárias incluem epinefrina ou dopamina e estimulação transcutânea [2]. O benefício em relação à estimulação transcutânea é que, uma vez instalada, é menos dolorosa[2].
Contraindicações
Não há contraindicações absolutas, embora aqueles com sintomas leves, uma válvula tricúspide artificial, apresentem sinais de toxicidade a digoxina e que acabaram de ter um infarto e receberam anticoagulantes sejam relativamente contraindicados[2].
Técnica
Posicionamento
O procedimento é feito com a pessoa deitada de costas e com a cabeceira da cama abaixada[1]. O procedimento pode ser feito à beira do leito, com anestesia local ou em conjunto com sedação . É necessário pelo menos um assistente[1].
Passos

- O primeiro passo é colocar um introdutor de bainha[1]. Isso geralmente é feito na veia jugular interna direita[5].
- Para verificar o balão no aparelho, encha com 1,5 ml de ar e depois esvazie[5].
- Uma manga estéril é fixada ao cubo da bainha[5].
- Insira o dispositivo cerca de 20 cm (até as 2 linhas pretas) através do cubo e da manga com a bobina da ponta voltada para a esquerda da pessoa[5].
- Conecte o dispositivo ao gerador de energia e ligue o gerador[5]. O eletrodo positivo vai para o terminal positivo do conector e o eletrodo negativo vai para o terminal negativo do conector[2].
- Ajuste o gerador para 80 BPM e a saída para 20 mA[5][2]. A sensibilidade deve ser definida como assíncrona e no menor número de sensibilidade[2].
- Encha o balão e avance o marcapasso para o ventrículo direito[5]. Isso aparecerá como picos de marcapasso e um amplo complexo QRS no monitor[5].
- Ajuste a saída do gerador para o menor mA efetivo[5]. Diminua a taxa para 60 BPM[2]. A sensibilidade também pode ser aumentada[2].
- Desinfle o balão e prenda a manga e a bainha no lugar[5].
O dispositivo de estimulação também pode ser avançado através da veia sob orientação de eletrocardiografia (ECG) ou ultrassom [1][5]. Antes de puxar o dispositivo para trás, certifique-se de que o balão esteja vazio[2].
Ultrassonografia mostrando o dispositivo no ventrículo direito
Dispositivo passando de forma inadequada para a veia cava inferior
Configuração para fazer um ECG do dispositivo
Exemplo de ECG do dispositivo a) flutuando livremente no VD b) em contato com a parede do VD
É possível colocar o eletrodo no seio coronário, normal (esquerdo) dilatado (direito). Tal colocação é aceitável.
Solução de problemas
- Falha no ritmo

Isso faz com que o marcapasso não produza um impulso quando deveria[2]. As soluções podem envolver a verificação das baterias ou a ligação ao gerador de energia[2]. O dispositivo pode ser configurado para assíncrono com um mA máximo para descartar outras causas[2].
- Subsensibilização

Isso faz com que o marcapasso não se iniba quando ocorre um batimento cardíaco normal[2]. A preocupação é o risco de arritmias, como R em T. [2] A solução é diminuir a sensibilidade, tornando o marcapasso mais sensível[2].
- Supersensorização

Isso faz com que o marcapasso pense que uma batida ocorreu naturalmente no coração e, portanto, não consegue fornecer um impulso[2]. A solução é frequentemente aumentar a sensibilidade para tornar o marcapasso menos sensível ou alterá-lo para assíncrono[2].
- Falha na captura

Isso resulta em um pico de marcapasso não seguido de um complexo QRS (batimento do ventrículo)[2]. A solução geralmente é aumentar a corrente (mA)[2]. Outras medidas incluem a verificação de anormalidades eletrolíticas, a colocação da pessoa em uma posição diferente e o reposicionamento do dispositivo[2].
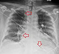
Pós-procedimento

Uma radiografia após o procedimento é obtida para confirmar a colocação do eletrodo de estimulação e descartar complicações como pneumotórax [2][3]. A desfibrilação e a cardioversão ainda podem ser realizadas em alguém com marcapasso temporário[2].
Complicações
As complicações incluem disritmias cardíacas e aquelas relacioniadas à colocação de um cateter venoso central, como o pneumotórax [3].
Referências
- 1 2 3 4 5 6 7 «Temporary Transvenous Cardiac Pacing • LITFL • CCC». Life in the Fast Lane • LITFL. 30 de janeiro 2019. Consultado em 19 de março 2021. Arquivado do original em 23 de janeiro 2021
- 1 2 3 4 5 6 7 8 9 10 11 12 13 14 15 16 17 18 19 20 21 22 23 24 25 26 «Identifying Complete Heart Block and the use of Temporary Cardiac Pacing in the Emergency Department». emDOCs.net - Emergency Medicine Education (em inglês). 22 de março 2016. Consultado em 19 de março 2021. Arquivado do original em 26 de janeiro 2021
- 1 2 3 Roberts and Hedges' clinical procedures in emergency medicine and acute care Seventh ed. Philadelphia, PA: Elsevier Health Sciences. 2019. pp. 288–303. ISBN 9780323547949
- ↑ Blanco, P (4 de abril 2019). «Temporary transvenous pacing guided by the combined use of ultrasound and intracavitary electrocardiography: a feasible and safe technique.». The ultrasound journal. 11 (1). 8 páginas. PMID 31359249. doi:10.1186/s13089-019-0122-y
- 1 2 3 4 5 6 7 8 9 10 11 «Transvenous Pacemaker». EM:RAP. Consultado em 19 de março 2021. Arquivado do original em 28 de outubro 2020
Ligações externas
- «EMRAP». Arquivado em 2021-08-29 no Wayback Machine