Linfoma de células T associado a enteropatia
| Linfoma de células T associado a enteropatia | |
|---|---|
![]() | |
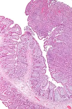
| Micrografia de um linfoma de células T associado a enteropatia (canto superior direito) | |
| Especialidade | oncologia |
| Classificação e recursos externos | |
| CID-11 | 2A90.7 |
| CID-10 | C86.2 |
| CID-9 | 202.70 |
| CID-CID-O | 9717/3 |
| MeSH | D058527 |
Linfoma de células T associado a enteropatia (EATL) é um tipo de linfoma das células T que afeta o intestino delgado. É o tipo mais comum de linfoma das células T gastrointestinais, partindo dos linfócitos T entre as células que revestem o intestino delgado.[1]
Ver também
Referências
- ↑ Isaacson PG (Outubro de 1994). «Gastrointestinal lymphoma». Hum. Pathol. 25 (10): 1020–9. PMID 7927306. doi:10.1016/0046-8177(94)90060-4
