Isquemia mesentérica
| Isquemia mesentérica | |
|---|---|
| Sinónimos | doença vascular mesentérica |
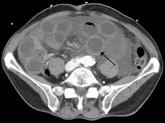
| tomografia computadorizada mostrando o intestino delgado dilatado com paredes afinadas (seta preta), mostrando características da isquemia do intestino devido a uma trombose da veia mesentérica superior. | |
| Especialidade | Gastroenterologia |
| Sintomas | Aguda: dor aguda severa[1] Crônica: dor abdominal após comer, perda de peso não intencional, vômito[2][1] |
| Início habitual | > 60 anos de idade[3] |
| Tipos | Aguda, crônica[1] |
| Fatores de risco | Fibrilação atrial, insuficiência cardíaca, insuficiência renal, trombofilia, infarto do miocárdio anterior[2] |
| Método de diagnóstico | Angiografia, tomografia computadorizada[1] |
| Tratamento | Implante de Stent, medicação para quebrar o coágulo, cirurgia[1][2] |
| Prognóstico | ~80% de risco de morte[3] |
| Classificação e recursos externos | |
| DiseasesDB | 29034 |
| MedlinePlus | 001156 |
| MeSH | D065666 |
A isquemia mesentérica é uma condição médica na qual ocorre uma lesão no intestino delgado devido à falta de suprimento de sangue.[2] Pode surgir subitamente, conhecida como isquemia mesentérica aguda, ou gradualmente, conhecida como isquemia mesentérica crônica. A doença aguda apresenta-se frequentemente com dor repentina.[1] Sintomas podem surgir mais lentamente em pacientes com aguda na doença crônica. Sinais e sintomas da doença crônica incluem dor abdominal depois de comer, perda de peso não intencional, vômitos, e medo de comer.[1][2]
Fatores de risco incluem fibrilação auricular, insuficiência cardíaca, insuficiência renal crônica, sendo propenso à formação de coágulos de sangue, e infarto do miocárdio anteriores.[2] Existem quatro mecanismos pelos quais a má circulação sanguínea ocorre: um coágulo de sangue a partir de outro local ficando alojado em uma artéria, uma nova formação de coágulo de sangue em uma artéria, um coágulo de sangue se formando na veia mesentérica superior, e o fluxo insuficiente de sangue devido a pressão arterial baixa ou espasmos das artérias.[3][4] A doença crônica é um fator de risco para doença aguda.[5] O melhor método diagnóstico é a angiografia, com a tomografia computadorizada a ser utilizada quando esta não está disponível.[1]
O tratamento da isquemia aguda pode incluir implante de stent ou medicamentos para quebrar o coágulo fornecido no local da obstrução por radiologia intervencionista. Cirurgia aberta também pode ser usada para remover ou ignorar a obstrução e pode ser necessária para remover qualquer intestinos que possam ter morrido. Se não for rapidamente tratada, os resultados muitas vezes são ruins.[1] Entre os afetados, mesmo com o tratamento, o risco de morte é de 70% a 90%.[3] Em pessoas com a doença crônica, a cirurgia de bypass é o tratamento escolhido.[1] Aqueles que têm a trombose da veia podem ser tratados com anticoagulantes, como heparina e varfarina, com a cirurgia sendo usada se eles não melhorarem.[2][6]
A isquemia mesentérica aguda afeta cerca de cinco por cem mil pessoas por ano em países desenvolvidos.[7] A doença crônica afeta cerca de um por cem mil pessoas.[8] A maioria das pessoas afetadas têm mais de 60 anos de idade. As taxas são praticamente iguais entre homens e mulheres da mesma idade.[3] A isquemia mesentérica foi descrita pela primeira vez em 1895.[1]
Referências
- 1 2 3 4 5 6 7 8 9 10 11 Bobadilla, JL (Agosto de 2013). «Mesenteric ischemia.». The Surgical clinics of North America. 93 (4): 925–40, ix. PMID 23885938. doi:10.1016/j.suc.2013.04.002
- 1 2 3 4 5 6 7 Yelon, Jay A. (2014). Geriatric Trauma and Critical Care Aufl. 2014 ed. New York: Springer Verlag. p. 182. ISBN 9781461485018. Cópia arquivada em 8 de setembro de 2017
- 1 2 3 4 5 Britt, L.D. (2012). Acute care surgery 1st ed. Philadelphia: Wolters Kluwer Health/Lippincott Williams & Wilkins. p. 621. ISBN 9781608314287. Cópia arquivada em 8 de setembro de 2017
- ↑ Creager, Mark A. (2013). Vascular medicine : a companion to Braunwald's heart disease 2nd ed. Philadelphia, PA: Elsevier/Saunders. pp. 323–324. ISBN 9781437729306. Cópia arquivada em 8 de setembro de 2017
- ↑ Sreenarasimhaiah, J (Abril de 2005). «Chronic mesenteric ischemia.». Best practice & research. Clinical gastroenterology. 19 (2): 283–95. PMID 15833694. doi:10.1016/j.bpg.2004.11.002
- ↑ Liapis, C.D. (2007). Vascular surgery. Berlin: Springer. p. 420. ISBN 9783540309567. Cópia arquivada em 8 de setembro de 2017
- ↑ Geoffrey D. Rubin (2012). CT and MR Angiography: Comprehensive Vascular Assessment. [S.l.]: Lippincott Williams & Wilkins. p. 318. ISBN 9781469801834. Cópia arquivada em 8 de setembro de 2017
- ↑ Gustavo S. Oderich (2014). Mesenteric Vascular Disease: Current Therapy. [S.l.]: Springer. p. 105. ISBN 9781493918478. Cópia arquivada em 8 de setembro de 2017