Hemangioblastoma
| Hemangioblastoma | |
|---|---|
![]() | |
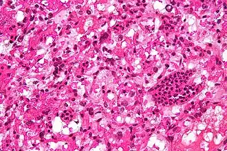
| Micrografia de um hemangioblastoma cerebellar. | |
| Especialidade | oncologia |
| Classificação e recursos externos | |
| CID-11 | XH6810 |
| CID-10 | D33.4, D33.7 |
| CID-CID-O | 9161/1 |
| DiseasesDB | 31512 |
| eMedicine | 340994 |
| MeSH | D018325 |
Hemangioblastomas são tumores do sistema nervoso central originados do sistema vascular, geralmente na meia-idade. Às vezes, esses tumores ocorrem em outros locais, como a medula espinhal e a retina.[1] Podem estar associados a outras doenças, como policitemia (quantidade elevada de células sanguíneas), cistos pancreáticos e síndrome de Von Hippel-Lindau. Os hemangioblastomas são comumente compostos de células estromais em pequenos vasos sanguíneos e geralmente ocorrem no cerebelo, no tronco cerebral ou na medula espinhal. Eles são classificados como tumores de grau um sob o sistema de classificação da Organização Mundial de Saúde.[2]
Epidemiologia
Hemangioblastoma estão entre os mais raros tumores do sistema nervoso central, representando menos de 2% dos casos. Geralmente ocorrem em adultos, mas os podem aparecer na Síndrome de Von Hippel-Lindau em jovens. Embora possam ocorrer em qualquer parte do sistema nervoso central, geralmente ocorrem no cerebelo, no tronco cerebral ou medula espinhal.[2][3]
Ver também
Referências
- ↑ Lindsay, Kenneth W; Ian Bone; Robin Callander; J. van Gijn. Neurology and Neurosurgery Illustrated. [S.l.: s.n.] ISBN 0-443-04345-0
- 1 2 Louis, David N. WHO Classification of Tumors of the Central Nervous System. [S.l.: s.n.] ISBN 92-832-2430-2
- ↑ «Haemangioblastoma of the central nervous system in von Hippel-Lindau disease. French VHL Study Group». J. Intern. Med. 243. PMID 9681857
Ligações externas
| Classificação | |
|---|---|
| Fontes externas |
