Espermatócito

Os espermatócitos são um tipo de gametócito masculino dos animais. São derivadas de células germinativas imaturas chamadas espermatogónias. Encontram-se nos testículos numa estrutura chamada túbulos seminíferos.[1] Existem dois tipos de espermatócitos: os primários e os secundários. Espermatócitos primários são células diploides que são formadas a partir de espermatogónias pelo processo mitótico de espermatocitogénese. Os espermatócitos primários sofrem a primeira divisão meiótica dando origem aos espermatócitos secundários haplóides com cromossomas de duas cromátides. Os espermatócitos secundários sofrem depois a segunda divisão meiótica, dando origem a espermatídeos haploides com cromossomas de uma cromátide.[2][1]
Em todos os animais, os machos produzem espermatócitos, mesmo nos animais hermafroditas como o verme nematóide Caenorhabditis elegans, que pode existir como macho ou hermafrodita. Mesmo em hermafroditas como os Caenorhabditis elegans produzem primeiro espermatozóides, que são armazenados na sua espermateca. Uma vez formados os óvulos, estes podem ser autofecundados com o referido esperma e produzir até 350 descendentes.[3]
Desenvolvimento
_Grasshopper_testes_(Spermatogonia).jpg)


Na puberdade, as espermatogónias localizadas nas paredes dos túbulos seminíferos dos testículos são ativadas e começam a dividir-se por mitose, formando dois tipos de células A que possuem um núcleo oval com um nucléolo ligado ao invólucro nuclear; um dos tipos é escuro ou Ad (escuro) e o outro é claro ou Ap (claro). As células Ad são espermatogónias que permanecem no compartimento basal (região externa do túbulo); estas células são uma reserva de células estaminais espermatogoniais que geralmente não sofrem mitoses. O tipo Ap são células estaminais espermatogónias em divisão ativa, que começam a diferenciar-se em espermatogónias do tipo B, que possuem núcleos arredondados e heterocromatina ligadas ao envelope nuclear e ao centro do nucléolo.[4] As células do tipo B deslocam-se para o compartimento adluminal (em direção à região interna do túbulo) e transformam-se em espermatócitos primários; este processo é concluído em 16 dias.[2][5]
Os espermatócitos primários são células diploides, que no interior do compartimento adluminal continuam a dividir-se, iniciando-se a primeira divisão meiótica na qual se originam duas células-filhas, os espermatócitos secundários haploides (com cromossomas de duas cromátides), processo que dura 24 dias. Cada espermatócito secundário forma duas espermatídeos durante a segunda divisão meiótica. As espermatídeos são também células haploides, mas com cromossomas de cromátide única.[1] Durante as divisões mitótica e meiótica das espermatogónias e dos espermatócitos, a citocinese (divisão do citoplasma) é incompleta e as células estão unidas por pontes citoplasmáticas formando sincícios. As espermatídeos finais são também sincícios e, uma vez que amadurecem em espermatozóides, desprendem-se desses sincícios e passam para o lúmen do túbulo seminífero.
Embora os espermatócitos em divisão sejam sensíveis à radiação e ao cancro, as células estaminais espermatogoniais não o são. Portanto, após a conclusão da radioterapia ou da quimioterapia, as células estaminais espermatogónias podem reiniciar a espermatogénese.[6]

Papel das hormonas
A formação de espermatócitos primários (processo denominado espermatogénese) começa nos humanos quando um macho atinge a maturidade sexual na puberdade, por volta dos 10 a 14 anos de idade nos humanos.[7] Esta formação é iniciada por pulsos da hormona hormona libertadora de gonadotrofina (GnRH) no hipotálamo, o que resulta na secreção da hormona folículo-estimulante (FSH) e da hormona luteinizante (LH) produzidas pela glândula hipófise anterior ]. A libertação de FSH nos testículos estimula a espermatogénese e leva ao desenvolvimento das células de Sertoli, que atuam como células alimentadoras onde as espermatídeos amadurecerão após a 2ª divisão meiótica. A LH promove a secreção de testosterona pelas células de Leydig nos testículos, que passa para o sangue, induz a espermatogénese e auxilia na formação de características sexuais secundárias no início da puberdade. A partir daí, a secreção de FSH e LH (induzindo a produção de testosterona) vai estimular a espermatogénese até que o homem morra.[8] Aumentar as hormonas FSH e LH nos homens não aumenta a taxa de espermatogénese. No entanto, com a idade, a taxa de produção diminui, mesmo que a quantidade de hormona segregada seja constante; isto deve-se às maiores taxas de degeneração das células germinativas durante a prófase meiótica.[1]
Resumo dos tipos de células
A tabela seguinte apresenta a ploidia, número de cópias e contagem de cromossomas/cromátides de uma única célula, geralmente antes da síntese de ADN e divisão (na G1 se aplicável). Os espermatócitos primários são interrompidos após a síntese de ADN e antes da divisão.[1][2]
| Célula | Tipo | Ploidía/Cromossomas em humanos | Número de cópias de ADN/cromátides em humanos | Processo em que a célula entra | Duração |
|---|---|---|---|---|---|
| espermatogónias (tipos Ad, Ap e B) | células germinativas | diploide (2N) / 46 | 2C / 46 | espermatocitogénese (Mitose) | 16 dias |
| espermatócito primário | gametócito masculino | diploide (2N) / 46 | 4C / 2x46 | espermatocitogénese (Meiose I ) | 24 dias |
| espermatócito secundário | gametófito masculino | haploide (N) / 23 | 2C / 46 | espermatidogénese (Meiose II ) | Poucas horas |
| espermatídeos | gâmeta masculino | haploide (N) / 23 | 1C / 23 | espermiogénese | 24 dias |
| espermatozoidess | esperma | haploide (N) / 23 | 1C / 23 | espermiação | 64 dias (total) |
Fisiologia
Danos, reparação e insuficiência
Os espermatócitos sofrem regularmente quebras de dupla fita no ADN e outros danos no ADN durante a prófase da meiose. Este dano pode ter origem na atividade programada da enzima Spo11, uma enzima utilizada na recombinação meiótica, bem como em quebras não programadas no ADN, como as causadas pelo radicais livres oxidativos originados como produtos do metabolismo normal. Estes danos são reparados pelas vias de recombinação homóloga e utilizam RAD1 e γH2AX, que reconhecem quebras de dupla fita e modificam cromatina, respetivamente. Como resultado, as quebras de dupla fita nas células meióticas, ao contrário das células mitóticas, levam frequentemente à apoptose ou morte celular.[9] A reparação por recombinação homóloga (HRR) de quebras de dupla fita ocorre em ratinhos durante fases sequenciais da espermatogénese, mas é mais frequente nos espermatócitos.[10] Nos espermatócitos, os eventos de HRR ocorrem principalmente no paquíteno da prófase meiótica e o tipo de conversão genética de HRR é predominante, enquanto que noutras fases da espermatogénese o tipo de troca recíproca de HRR é mais frequente.[10] Durante a espermatogénese do ratinho, as frequências de mutação de células em diferentes fases, incluindo os espermatócitos paquítenos, são de 5 a 0 vezes inferiores às frequências de mutação em células somáticas.[11] Devido à sua elevada capacidade de reparação do ADN, os espermatócitos desempenham provavelmente um papel central na manutenção destas taxas de mutação baixas e, portanto, na preservação da integridade genética da linha germinativa masculina.
Sabe-se que rearranjos cromossómicos heterozigotos causam comprometimento ou falha espermatogénica; no entanto, os mecanismos moleculares que a provocam não estão bem esclarecidos. Tem sido sugerido que uma possível causa é um mecanismo passivo que envolve um agrupamento de regiões assinápticas nos espermatócitos. As regiões assinápticas estão associadas à presença de BRCA1, a quinase ATR e γH2AX nos espermatócitos paquítenos.[12]
Mutações específicas

O gene STRA8 (gene 8 estimulado pelo ácido retinóico) é necessário para o funcionamento da via de sinalização do ácido retinóico nos humanos, o que leva ao início da meiose. A expressão de STRA8 é maior nos espermatócitos pré-leptótenos (o estádio inicial da prófase I da meiose) do que nas espermatogónias. Os espermatócitos mutantes STRA8 podem iniciar a meiose, mas não conseguem completar o processo. Mutações nos espermatócitos em leptóteno podem resultar na condensação prematura dos cromossomas.[13]
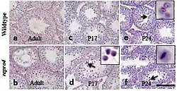
Mutações em Mtap2, uma proteína associada aos microtúbulos, como a observada nos espermatócitos mutantes repro4, fazem com que a progressão da espermatogénese seja interrompida durante a prófase da 1ª divisão meiótica. Isto é observado por uma redução do número de espermatídeos nos mutantes repro4.[14]
As mutações que afectam a recombinação podem ocorrer nos genes Spo11, DMC1, ATM e MSH5 nos espermatócitos. Estas mutações envolvem uma distorção da reparação da quebra da dupla fita, o que pode resultar na interrupção da espermatogénese no estádio IV do ciclo do epitélio seminífero.[15]
Historia
.jpg)
O processo de espermatogénese foi elucidado ao longo de muitos anos, à medida que os investigadores dividiram o processo em vários estágios ou fases e estudaram a sua dependência de fatores intrínsecos (células germinativas e de Sertoli) e extrínsecos (hormonas FSH e LH).[16] O processo de espermatogénese nos mamíferos como um todo, que envolve a transformação celular, a mitose e a meiose, foi bem estudado e documentado desde as décadas de 1950 até 1980. No entanto, durante as décadas de 1990 e 2000, os investigadores concentraram-se em aumentar o conhecimento da regulação da espermatogénese por genes, proteínas e vias de sinalização, e nos mecanismos bioquímicos e moleculares que atuam no processo. Mais recentemente, os efeitos ambientais na espermatogénese tornaram-se o foco das atenções, à medida que a infertilidade masculina se tornou mais comum.[17]
Uma descoberta importante no processo de espermatogénese foi a identificação do ciclo do epitélio seminífero em mamíferos, trabalho realizado por C.P. Leblound e Y. Clermont em 1952, que estudaram as camadas de espermatogónias, espermatócitos e espermatídeos em túbulos seminíferos de ratos. Outra descoberta crítica foi que a cadeia hormonal hipotálamo-hipófise-testicular desempenha um papel na regulação da espermatogénese, que foi estudada por R. M. Sharpe em 1994.[17]
Referências
- 1 2 3 4 5 Boron, Walter F., MD, Ph.D., Editor; Boulpaep, Emile L. (2012). «54». Medical physiology a cellular and molecular approach (Print) Updated second ed. Philadelphia: Saunders Elsevier. ISBN 978-1-4377-1753-2
- 1 2 3 Schöni-Affolter, Dubuis-Grieder, Strauch, Franzisk, Christine, Erik Strauch. «Spermatogenesis». Consultado em 22 de março de 2014. Arquivado do original em 1 de fevereiro de 2022
- ↑ Riddle, DL; Blumenthal, T; Meyer, B.J.; et al., eds. (1997). C. elegans II 2nd ed. Cold Spring Harbor. NY: Cold Spring Harbor Laboratory Press. Consultado em 13 de abril de 2014
- ↑ Boitani, Carla; Di Persio, Sara; Esposito, Valentina; Vicini, Elena (5 de março de 2016). «Spermatogonial cells: mouse, monkey and man comparison». Seminars in Cell & Developmental Biology. 59: 79–88. ISSN 1096-3634. PMID 26957475. doi:10.1016/j.semcdb.2016.03.002
- ↑ Y, Clermont (1966). «Renewal of spermatogonia in man». American Journal of Anatomy. 118 (2): 509–524. PMID 5917196. doi:10.1002/aja.1001180211
- ↑ Tres, Abraham L. Kierszenbaum, Laura L. (2012). Histology and cell biology : an introduction to pathology 3ª ed. Philadelphia, PA: Saunders. pp. Capítulo 20. ISBN 9780323078429
- ↑ Starr, Taggart, Evers, Starr, Cecie, Ralph, Christine, Lisa (1 de Janeiro de 2012). Estrutura e função animal. [S.l.]: Cengage Learning. 736 páginas. ISBN 9781133714071
- ↑ Sherwood, Lauralee (2010). Human physiology : from cells to systems 7th ed. Australia: Brooks/Cole, Cengage Learning. p. 751. ISBN 978-0495391845
- ↑ Matulis S, Handel MA (agosto de 2006). «Spermatocyte responses in vitro to induced DNA damage». Molecular Reproduction and Development. 73 (8): 1061–72. PMID 16700071. doi:10.1002/mrd.20508
- 1 2 Srivastava N, Raman MJ (2007). «Homologous recombination-mediated double-strand break repair in mouse testicular extracts and comparison with different germ cell stages». Cell Biochem. Funct. 25 (1): 75–86. PMID 16989005. doi:10.1002/cbf.1375
- ↑ Walter CA, Intano GW, McCarrey JR, McMahan CA, Walter RB (1998). «Mutation frequency declines during spermatogenesis in young mice but increases in old mice». Proc. Natl. Acad. Sci. U.S.A. 95 (17): 10015–9. Bibcode:1998PNAS...9510015W. PMC 21453
. PMID 9707592. doi:10.1073/pnas.95.17.10015 - ↑ Sciurano RB, Rahn MI, Rey-Valzacchi G, Coco R, Solari AJ (agosto de 2012). «The role of asynapsis in human spermatocyte failure». International Journal of Andrology. 35 (4): 541–9. PMID 21977946. doi:10.1111/j.1365-2605.2011.01221.x
- ↑ Mark, Manuel; Hugues Jacobs; Mustapha Oulad-Abdelghani; Christine Dennefeld; Betty Feret; Nadege Vernet; Carmen-Alina Codreanu; Pierre Chambon; Norbert Ghyselinck (7 de julho de 2008). «STRA8-deficient spermatocytes initiate, but fail to complete, meiosis and undergo premature chromosome condensation». Journal of Cell Science. 121 (19): 3233–3242. PMID 18799790. doi:10.1242/jcs.035071
- ↑ Sun, Fengyun; Mary Ann Handel (10 de janeiro de 2011). «A Mutation in Mtap2 is Associated with Arrest of Mammalian Spermatocytes before the First Meiotic Division». Genes. 2 (1): 21–35. PMC 3909985
. PMID 24501684. doi:10.3390/genes2010021 - ↑ Barchi, Marco; S. Mahadevaiah; M. Di Giacomo; F. Baudat; D. de Rooij; P. Burgoyne; M. Jasin; S. Keeney (agosto de 2005). «Surveillance of Different Recombination Defects in Mouse Spermatocytes Yields Distinct Responses despite Elimination at an Identical Developmental Stage». Molecular and Cellular Biology. 25 (16): 7203–7215. PMC 1190256
. PMID 16055729. doi:10.1128/MCB.25.16.7203-7215.2005 - ↑ Cheng, C. Yan, ed. (2008). Molecular mechanisms in spermatogenesis. New York: Springer Science+Business Media. pp. Chapter 1, page 1. ISBN 978-0-387-79990-2
- 1 2 Cheng, C. Yan; Dolores D. Mruk (19 de abril de 2010). «The biology of spermatogenesis: the past, present and future». Phil. Trans. R. Soc. B. 1546. 365 (1546): 1459–1463. PMC 2871927
. PMID 20403863. doi:10.1098/rstb.2010.0024