Esofagite eosinofílica
| Esofagite eosinofílica | |
|---|---|
![]() | |
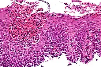
| Esofagite eosinofílica vista sob microscópio. | |
| Especialidade | gastrenterologia |
| Classificação e recursos externos | |
| CID-11 | DA24.1 |
| CID-10 | K20.0, K20 |
| CID-9 | 530.13 |
| OMIM | 610247, 613412 |
| MedlinePlus | 007717 |
| MeSH | D057765 |
Esofagite eosinofílica é uma doença inflamatória crônica do esôfago. Geralmente cursa com disfagia.
Deve ser suspeitada quando uma doença do refluxo gastroesofágico (DRGE) não responde à terapia medicamentosa.
Diagnóstico
O diagnóstico se baseia nos sintomas e nas biópsias do esôfago, que são obtidas através de endoscopia digestiva alta. As amostras obtidas pelas biópsias devem ser examinadas por um patologista, que faz o diagnóstico de esofagite eosinofílica quando encontra mais de 15 eosinófilos em campo de grande aumento.
Ver também
Referências: Fey A, ;Kotze LM, ;Serapião M. ; Esofagite eosinofílica: revisão de literatura. Revista On-line da Associação Catarinense de Medicina. 2012; V41 N2: 89-92.
