Doença de Moyamoya

A doença de Moyamoya (DMM) é uma doença cerebrovascular crónica e oclusiva caracterizada por estenose progressiva na porção terminal da artéria carótida interna e por uma rede vascular anormal na base do cérebro. Embora a sua etiologia permaneça desconhecida, estudos genéticos recentes identificaram o RNF213 na região 17q25-ter como um importante gene de susceptibilidade da DMM nas populações da Ásia Oriental. Possivelmente devido a diferenças genéticas, a DMM é relativamente comum em pessoas que vivem em países da Ásia Oriental, como a Coreia e o Japão, em comparação com as do Hemisfério Ocidental. A prevalência da DMM parece ser ligeiramente inferior entre os chineses, em comparação com os coreanos ou japoneses. Existem dois picos de incidência com diferentes apresentações clínicas, por volta dos 10 anos e dos 30-40 anos. O pico parece ocorrer mais tarde nas mulheres do que nos homens. Nas crianças, os sintomas isquémicos, especialmente os ataques isquémicos transitórios, são predominantes. O declínio intelectual, as convulsões e os movimentos involuntários são também mais comuns neste grupo etário. Em contrapartida, os doentes adultos apresentam hemorragia intracraniana mais frequentemente do que os doentes pediátricos. Nos doentes com DMM, a hemorragia intracerebral é mais frequentemente acompanhada de hemorragia intraventricular do que nos doentes com hemorragia intracerebral hipertensiva. Estes diferentes picos etários e diferentes apresentações clínicas em cada grupo etário são também observados em doentes com DMM nos EUA. A angiografia por cateter é o método de diagnóstico de eleição.

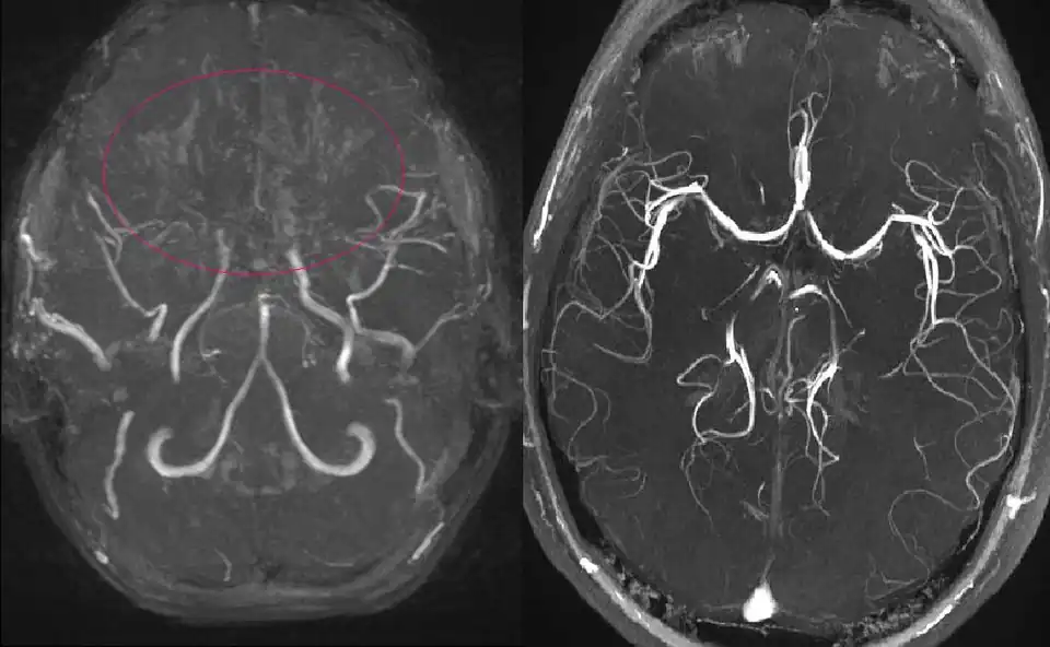
Ressonancia magnética de uma menina de 11 anos com Moyamoya

A angiografia por ressonância magnética (RM) e a angiografia por tomografia computorizada são métodos de diagnóstico não invasivos. As imagens de RM de alta resolução da parede do vaso também ajudam a diagnosticar a DMM, revelando um estreitamento concêntrico da parede do vaso com colaterais basais. A doença de Moyamoya (DMM), significa uma "nuvem de fumo" em japonês, também designada por oclusão espontânea do círculo de Willis, é uma doença cerebrovascular oclusiva crónica de etiologia desconhecida, caracterizada por alterações estenooclusivas na porção terminal da artéria carótida interna (ACI) e por uma rede vascular anormal na base do cérebro.[1] Tendo em conta o número crescente de doentes com envolvimento unilateral,[2] bem como a evidência de que um número substancial de casos unilaterais progride para uma apresentação bilateral,[3][4] os critérios de diagnóstico para a DMM definitiva foram revistos de modo a incluir doentes com apresentação bilateral e unilateral de estenose da ACI terminal com uma rede vascular anormal na base do cérebro (declaração do Comité de Investigação da DMM do Ministério da Saúde, Trabalho e Bem-Estar do Japão em 2015). Os critérios de diagnóstico também indicam que o diagnóstico definitivo da DMM requer uma angiografia por cateter nos casos unilaterais, ao passo que os casos bilaterais podem ser prontamente diagnosticados quer por angiografia por cateter quer por ressonância magnética/angiografia (RM/ARM). Quando há doenças causadoras ou condições associadas, termos como síndrome de moyamoya e moyamoya angiográfica são freqüentemente usados.[5] Embora incomum, a DMM é uma importante causa de doença arterial intracraniana não aterosclerótica, especialmente nos países do leste asiático. Nessas regiões, a estenose isolada da artéria cerebral média é observada em pacientes jovens, com eventual evolução para DMM.[6] A DMM é a causa mais importante de AVC ou ataque isquémico transitório (AIT) em crianças nesta parte do mundo.

Epidemiologia

Por uma razão desconhecida, a DMM é relativamente comum em pessoas que vivem em países da Ásia Oriental, como a Coreia e o Japão, em comparação com os países do Hemisfério Ocidental. De acordo com um inquérito realizado no Japão em 1995, a prevalência de DMM era de aproximadamente 3,16/100.000, com uma incidência estimada de 0,35/100.000.[7] Um inquérito posterior, realizado em 2004, mostrou que o número de doentes aumentou consideravelmente, com uma incidência estimada de 0,54/100 000 e uma prevalência de 6,03/100 000 em 2003.[8] Outro estudo realizado em Hokkaido, Japão,[8] mostrou que a incidência e a prevalência eram de 0,94/100.000 e 10,5/100.000, respectivamente, com base em 267 doentes com DMM recentemente diagnosticados entre 2002 e 2006. O rácio entre homens e mulheres foi de 1:1,8 ou 1:2,2 nestes estudos, e aproximadamente 10%-15% dos doentes tinham uma história familiar. O risco de ter DMM nos membros da família é cerca de 30-40 vezes superior ao da população em geral.[7][9] Registaram-se dois picos de incidência, aos 10-20 e 35-50 anos de idade.

Um estudo epidemiológico da Coreia, baseado em dados do Seguro Nacional de Saúde (NHI),[10] referiu que a prevalência de DMM aumentou de 6,3/100 000 em 2004 para 9,1/100 000 em 2008. A incidência foi de 1,0/100.000 em 2008. A partir de 2006, o NHI iniciou um programa de registo para 138 doenças raras, incluindo a DMM. Os doentes registados neste programa podem beneficiar de uma redução do co-pagamento. De acordo com um estudo que utilizou o conjunto de dados obtidos entre 2007 e 2011,[11] o número de casos incidentes de DMM aumentou de 848 para 1.192, sendo a incidência anual de 1,7 a 2,3/100.000. Em ambos os estudos, a proporção de mulheres para homens foi de 1,9, e houve dois picos de incidência; o pico no grupo pediátrico ocorreu na idade de 5 a 14 anos, representando 16,2% de todos os casos incidentes, e o pico no grupo adulto ocorreu na idade de 45 a 54 anos, representando 22,8%.[11] A prevalência global de DMM em 2011 foi de 16,1/100.000.

Embora a Coreia tenha uma incidência e prevalência aparentemente mais elevadas de DMM em comparação com o Japão, deve notar-se que é difícil fazer uma comparação directa pelas seguintes razões:

  • Houve diferenças nos métodos de recolha de dados e nas características da população;
  • os estudos japoneses utilizaram dados de inquéritos hospitalares, com uma taxa de resposta limitada.

Por outro lado, os estudos coreanos basearam-se em dados de seguros nacionais. Além disso, como os doentes registados foram apoiados financeiramente a partir de 2006, existe a possibilidade de sobrediagnóstico. Além disso, o estudo japonês analisou dados de 1995 e 2006, enquanto os estudos coreanos analisaram dados de 2004 a 2011. Assim, a progressão do tempo pode ser a razão para a prevalência aparentemente mais elevada na Coreia.

Recentemente, as bases de dados de internamento do programa NHI de Taiwan identificaram doentes com DMM durante 2000 a 2011.[12] Durante o período de 12 anos, foram identificados 422 pacientes, representando uma incidência anual de 0,15/100.000 pessoas-ano. Os adultos exibiram uma tendência ascendente, com uma taxa de incidência de 1,74 em 2010 a 2011 em comparação com 2000 a 2001. Assim, a incidência de DMM aumentou nos adultos, mas não nas crianças, de 2000 a 2011 em Taiwan. Por razões desconhecidas, em comparação com os doentes hospitalizados entre 2000 e 2005, os doentes identificados entre 2006 e 2011 apresentavam um rácio maior de mulheres para homens (1,7 vs. 1,1). Os estudos epidemiológicos na China continental são raros. Um estudo epidemiológico na área de Nanjing, a capital da província de Jiangsu, com uma população total de aproximadamente 6,2 milhões, mostrou que a prevalência foi de 3,92/100.000 durante 2000-2007,[13] o que foi geralmente mais baixo do que na Coreia ou no Japão. Ao contrário das séries da Coreia e do Japão, a hemorragia foi mais comum do que o AVC isquémico nesta coorte, provavelmente devido ao facto de o segundo pico (grupo de adultos) ser maior do que o primeiro (grupo pediátrico). No entanto, este estudo baseou-se em dados de uma pequena parte da China. Um estudo chinês mais recente sobre 802 doentes com DMM[14] mostrou que as apresentações clínicas são semelhantes às da Coreia e do Japão. Em ambos os estudos, a distribuição etária dos doentes com DMM teve uma ocorrência bimodal: entre os 5 e os 9 anos de idade e entre os 35 e os 39 anos. Apesar de fiáveis, ainda não estão disponíveis estudos epidemiológicos nacionais sobre a China continental; dada a menor incidência de DMM no estudo de Taiwan baseado em dados do NHI, a incidência de DMM na população chinesa pode ser inferior à da população coreana e japonesa. Mais surpreendentemente, ao contrário da Coreia e do Japão, não há diferença na distribuição por sexo da DMM nos doentes chineses.[13][14] No entanto, estes estudos não representam dados de toda a China. Além disso, o rácio de mulheres para homens aumentou ao longo do tempo de 1,1 (2000 a 2005) para 1,7 (2006-2011) num estudo de Taiwan.[12]

Por conseguinte, as conclusões devem ser tiradas com cautela. Além disso, a ocorrência familiar de DMM tem sido registada de forma variável: 1,5%[13] ou 5,2% na China,[14] e 10%-15% no Japão.[7][8] Embora os casos familiares tenham sido previamente descritos (em 1997) como sendo baixos (2%) na Coreia do Sul,[15] estudos mais recentes mostraram que a história familiar foi encontrada em 10%-15% dos doentes com DMM.[16][17] Um estudo chinês recente[18] rastreou 285 familiares directos de 245 doentes com DMM esporádica com Doppler transcraniano (DTC) e identificou 41 casos de DMM familiar. Assim, os casos familiares aumentaram de 7% (antes do rastreio) para 15% (após o rastreio). Uma vez que o DTC tem uma elevada concordância diagnóstica com a RMA, os autores recomendaram a implementação do rastreio com DTC em todos os familiares de doentes com DMM para detectar casos assintomáticos. Verifica-se um aumento da incidência e prevalência da DMM ao longo do tempo nos países da Ásia Oriental. Este resultado pode indicar um aumento efectivo da incidência de DMM nestes países. No entanto, uma explicação mais plausível seria um aumento de doentes recentemente diagnosticados devido ao recente advento de instrumentos de diagnóstico não invasivos, como a RMA. Outra explicação seria um número crescente de sobreviventes devido a um melhor tratamento. São raros os estudos efectuados fora da Ásia. No estado de Washington e na Califórnia, a incidência de DMM foi registada como sendo de 0,086/100 000, com base em 298 doentes. A incidência foi mais elevada nos asiáticos, seguindo-se os negros, os brancos e os hispânicos. A incidência nos asiático-americanos foi 4,6 vezes superior à dos brancos. Também se registou uma preponderância do sexo feminino.[19] Os afro-americanos tiveram um início de doença mais precoce, com uma idade média de 18 anos. No entanto, um estudo mais recente, baseado na base de dados Nationwide Inpatient Sample, referiu que a DMM parece estar distribuída entre as raças de acordo com as suas proporções relativas na população dos EUA.[20] De 2005 a 2008, estima-se que 7.473 pacientes (2.236 pediátricos e 5.237 adultos) foram internados com o diagnóstico de DMM nos EUA. Os doentes com DMM eram mais frequentemente caucasianos. Globalmente, o AVC isquémico foi o motivo mais comum de internamento, tanto em crianças como em adultos. O AVC hemorrágico foi mais frequente nos adultos do que nas crianças e registou-se uma distribuição etária bimodal com picos na primeira e quarta décadas de vida. O rácio entre mulheres e homens foi de 2,2. Assim, a DMM nos EUA não parece diferir da DMM da Ásia Oriental.

Apresentação e história natural

Os casos de doença de Moyamoya apresentam-se tipicamente de forma aguda com vários eventos cerebrovasculares, incluindo hemorragia intracraniana, AITs, enfarte cerebral e, por vezes, ataques epilépticos. O Ministério da Saúde e do Bem-Estar do Japão definiu 4 tipos de DMM com as seguintes percentagens de apresentação: isquémica 63,4%, hemorrágica 21,6%, epiléptica 7,6% e "outra" 7,5%.[21] Existem também casos assintomáticos em que a DMM é encontrada incidentalmente na angiografia.[22] Como já foi referido, o tipo isquémico de DMM predomina na infância, constituindo 69% dos casos em doentes com menos de 10 anos de idade. Alguns casos envolvem ≥ 1 sintoma, incluindo 40% dos doentes com AIT e 29% com enfarte, resultando em paresia motora e perturbações da consciência, fala e sensação.[22][23] Os sintomas isquémicos são frequentemente instigados pela hiperventilação. Os sintomas podem apresentar-se de forma repetitiva e podem resultar em afasia motora, cegueira cortical ou, alguns anos após o início da doença, até mesmo em estado vegetativo. O curso da doença leva frequentemente a atraso mental e a um QI baixo a longo prazo, especialmente em crianças.[24]

Além disso, como já foi referido, o tipo hemorrágico da DMM é mais característico do início na idade adulta. Sessenta e seis por cento dos casos em adultos apresentam hemorragias, com uma maior ocorrência no sexo feminino. Os sintomas incluem frequentemente perturbações da consciência, paresia motora e cefaleias. As hemorragias são frequentemente recorrentes, com intervalos de dias a 10 anos. As grandes hemorragias são frequentemente fatais. O tipo epiléptico é mais frequente em crianças com menos de 10 anos de idade.

A progressão da oclusão é mais comum em crianças do que em adultos. Num estudo de 120 casos japoneses em adultos, foi observada progressão ao longo de um período de 15 anos (1990-2004) em 15 de 120 doentes.[22] Apesar de uma baixa percentagem de casos ter progredido, este facto contradiz a noção anterior de que a doença era progressiva na infância, mas estável nos adultos.[25] Três destes casos apresentavam oclusão da ACP.[22] Quatro de 11 casos unilaterais apresentaram progressão da bifurcação carotídea contralateral, levando a um caso bilateral. A progressão da DMM iniciou-se, em média, mais de 1,5 anos após o início da doença para todos os tipos, embora significativamente mais cedo nos casos bilaterais. No estudo de Kuroda et al.,[22] nenhum dos seguintes factores foi considerado como preditor de progressão: idade de início, tipo de doença, sintomas no início ou cirurgia de bypass prévia. No entanto, 13 (32,5%) dos 40 casos do sexo feminino e 2 (8,7%) dos 23 casos do sexo masculino apresentaram progressão da doença, o que foi estatisticamente significativo. Globalmente, cerca de 20% de todos os casos de DMM em adultos progrediram.[22]

Aquando do diagnóstico, os adultos encontram-se normalmente numa fase mais avançada do que as crianças.[26][27] Os casos pediátricos parecem evoluir para casos de adultos, embora o processo ainda não seja claro. As crianças evoluem muito mais rapidamente do que os adultos. De acordo com o estudo de Ishii et al.,[27] os doentes infantis com DMM evoluíram dentro de 5-10 anos para estádios angiográficos mais graves, enquanto alguns dos casos progrediram após a adolescência. Alguns dos pacientes pediátricos apresentaram uma progressão lenta, revelando-se casos de adultos com início pediátrico. Todos estes casos tiveram um início de DMM após os 5 anos de idade. Embora a maioria dos casos adultos tenha sido estável, alguns apresentaram progressão mesmo após longos períodos de estabilidade angiográfica.[27]

Investigações recentes sobre casos assintomáticos de DMM demonstraram que a sua classificação é provavelmente um equívoco. Os doentes são geralmente considerados assintomáticos se tiverem DMM angiograficamente, mas não tiverem sofrido episódios isquémicos ou hemorrágicos.[22] Num estudo, cerca de 20% dos hemisférios "assintomáticos" de DMM tiveram um enfarte cerebral silencioso e 40% mostraram perturbações hemodinâmicas cerebrais durante um período médio de seguimento de 43,7 meses.[22] Estas perturbações hemodinâmicas incluíram o aumento da extracção de O2 e a diminuição do desempenho com o desafio de acetazolamida. Sete dos 34 doentes que não foram submetidos a cirurgia sofreram um AIT, AVC ou hemorragia intracraniana durante o seguimento, projectando um risco anual de 3,2% de enfarte na DMM assintomática. Além disso, 5 casos (20%) apresentaram progressão da doença, 4 dos quais envolveram um evento isquémico ou enfarte silencioso. Curiosamente, noutras séries de casos, nenhum dos doentes submetidos a revascularização cirúrgica apresentou quaisquer sintomas de DMM no seguimento.[22][24] A investigação recente sobre a DMM assintomática sugere que esta não é verdadeiramente assintomática, mas sim uma fase inicial ou uma forma menos grave de DMM. A prevalência de DMM assintomática favorece o sexo feminino numa proporção de 2:1, aproximadamente a mesma que nos casos sintomáticos.[22]

Investigações adicionais sobre a progressão da DMM unilateral para bilateral mostraram que nem os casos unilaterais nem a sua progressão para casos bilaterais são raros. Três estudos distintos analisaram um total de 512 doentes com DMM, 14% dos quais apresentavam doença unilateral aquando do diagnóstico. Trinta e dois (44%) dos 72 casos unilaterais originais evoluíram para casos bilaterais. Os 3 estudos mostraram um tempo médio de progressão entre 1,5 e 2,2 anos.[22][28][29] Os investigadores sugerem os seguintes factores de previsão de progressão: anomalias no angiograma inicial da ACA, ACI ou ACM contralateral; história prévia de anomalias cardíacas; irradiação craniana; herança asiática; ou história familiar de DMM. Uma idade de início mais jovem (menos de 7 anos) correspondeu a uma progressão mais rápida no estudo de Smith e Scott.[28] O único factor observado para prever a não progressão foi um angiograma normal do lado contralateral ao diagnóstico.

Fisiopatologia

Apesar das características genéticas da doença, a DMM de ocorrência esporádica continua a ser a forma mais comum. Embora a patogénese da DMM ainda não esteja completamente esclarecida, os achados gerais de espessamento da íntima dos ramos principais do círculo de Willis, vasos moyamoya e sintomas clínicos associados estão normalmente presentes.

Devido às colaterais formadas na DMM, os factores angiogénicos estão actualmente a ser estudados para analisar o seu potencial papel na doença. A investigação recente para determinar o papel do VEGF na DMM tem sido inconclusiva. O factor de crescimento endotelial vascular demonstrou ser um factor de permeabilidade vascular e de vasculogénese. No entanto, foi demonstrado que o VEGF conduz à angiogénese cerebral durante a isquemia, mas não na DMM.[30][31] A investigação demonstrou que a celularidade meníngea e as células VEGF-positivas são significativamente mais elevadas na dura-máter de doentes com DMM, mas não são responsáveis pelos vasos de moyamoya.[30] O factor básico de crescimento de fibroblastos, outro agente angiogénico, foi encontrado em 64,0 pg/ml no LCR, em média, nos casos de DMM e em 6,5 pg/ml, em média, nos casos de não-DMM.[32] Yoshimoto e colaboradores,[32] no estudo do bFGF, argumentam que o bFGF é específico da DMM e não de outros tipos de isquemia cerebral. Por conseguinte, o bFGF pode servir como um potencial marcador de DMM. O factor de crescimento dos hepatócitos tem sido sugerido na angiogénese dos vasos de moyamoya. Verificou-se que o nível do factor de crescimento dos hepatócitos em doentes com DMM estava elevado para 820,3 ± 319,0 pg/ml, em comparação com 408,2 ± 201,6 pg/ml e 443,2 ± 193,5 pg/ml em doentes com espondilose cervical e oclusão da ACI, respectivamente.47 O factor de crescimento derivado das plaquetas também foi indicado na patologia da DMM.[33]

Outro factor associado à DMM é o TGF-β. Foi demonstrado que o factor de crescimento transformador-β se encontra elevado no LCR e em expressão na ATS dos casos de DMM. Foi demonstrado que o factor de crescimento transformador-β aumenta a síntese de elastina, oferecendo um mecanismo potencial para o espessamento da íntima.[34][35] Além disso, verificou-se que o HIF-1α e a endoglina estavam significativamente mais elevados em doentes com DMM. A endoglina modula a resposta celular ao TGF-β e está envolvida na morfogénese vascular. A endoglina está sobre-regulada nas malformações arteriovenosas e nos hemangiomas cavernosos. O factor-1α induzido pela hipóxia regula a transcrição do TGF-β. Além disso, o HIF-1α na presença de bFGF ou factor de crescimento de hepatócitos, ambos elevados no LCR, promove a proliferação de células musculares lisas.[36] Acredita-se que estas substâncias têm um papel significativo no desenvolvimento vascular, e os seus níveis anormais em doentes com DMM podem ser um factor na sua patogénese.

Além disso, foi demonstrado que a molécula de adesão intercelular-1 e a molécula de adesão celular vascular-1 estão aumentadas no LCR de doentes com DMM.[37] Noutros casos, foram encontrados anticorpos contra a deficiência de proteína S, anticoagulante lúpico e anticardiolipina.[38] O anticorpo anticardiolipina liga-se ao fosfatidil-glicerol, um componente da membrana plasmática. A sua concentração mais elevada em doentes com DMM sugere um possível mecanismo auto-imune na DMM, uma vez que o anticorpo poderia contribuir para a formação de trombos em acidentes vasculares cerebrais.[39] O papel da prostaglandina E2 e da interleucina-1β está também a ser investigado em relação à proliferação das células do músculo liso intimal.[35]

O desenvolvimento de DMM é frequentemente observado com microtrombos na vasculatura estenótica. Os microtrombos podem causar lesão endotelial, conduzindo a um espessamento da íntima e à proliferação de células musculares lisas, tal como observado nos vasos de casos de DMM.[23] No entanto, um microtrombos não é exclusivo da DMM e, por conseguinte, não constitui a única explicação para a sua patogénese. Macrófagos e células T também foram encontrados em vasos de moyamoya, mas eles podem ser uma resposta e não uma causa da DMM. Uma nova hipótese é um possível agente patogénico infeccioso que precede o desenvolvimento da DMM70 , mas nenhum agente patogénico infeccioso foi implicado. No entanto, estudos epidemiológicos indicaram que a infecção na cabeça e no pescoço pode estar implicada no desenvolvimento da DMM70.

Patologia

A maioria das amostras de autópsia são obtidas de adultos que morreram de hemorragia intracraniana. A hemorragia intracerebral é frequentemente a principal causa de morte em doentes com DMM.[40] Existem duas causas principais de hemorragia intracraniana: a ruptura de vasos de moyamoya dilatados e frágeis ou a ruptura de aneurismas saculares no círculo de Willis ou em perfurantes dilatadas.[39] Foi identificada uma terceira causa - a ruptura de artérias colaterais dilatadas na superfície do cérebro - embora seja rara.[41]

Os vasos de moyamoya na base do cérebro são constituídos por artérias musculares de tamanho médio ou pequeno. Esses vasos se ramificam a partir do círculo de Willis, principalmente nas porções intracranianas das ACIs, artérias coroidais anteriores e APCs, formando canais complexos que se conectam com as porções distais das ACMs.[42] Os vasos desses canais entram na base do cérebro, correspondendo às artérias lenticulostriadas e talamoperfuradas. Yamashita et al.[43] realizaram autópsias em 22 cadáveres e descreveram dois tipos de artérias perfurantes: uma dilatada, com parede relativamente fina, e outra de parede espessa, com estenose luminal. O tipo dilatado foi considerado mais proeminente em crianças do que em adultos. A maioria dos vasos dilatados é fibrótica, tem a camada média atenuada e, frequentemente, apresenta segmentação da lâmina elástica.[44][23][45] No tipo estenótico, os vasos apresentam espessamento concêntrico da íntima com duplicação da lâmina elástica e fibrose da túnica média.[46][44][47][22][45][31] O espessamento fibrocelular da íntima é responsável pela estenose luminal tanto nas artérias grandes como nas perfurantes.[48][31]

Histopatologicamente, a íntima das grandes artérias apresenta espessamento laminado excêntrico. Essa espessura é 2 ou 3 vezes maior que a dos vasos correspondentes normais e tem aspecto ondulado, representando a descontinuidade da lâmina elástica.[43] Dados de Takagi et al.[36] mostraram que 20% dos pacientes com menos de 30 anos, 40% dos pacientes entre 30 e 40 anos e 11% dos pacientes com mais de 40 anos apresentavam lâminas elásticas internas anormais. Nos dados deste estudo, a espessura da íntima das ACMs de pacientes com DMM mostrou-se de 19,4 ± 9,7 μm, enquanto a dos pacientes sem DMM foi de 8,0 ± 4,7 μm. A íntima espessada contém um maior número de células musculares lisas, que são consideradas células musculares lisas de tipo sintético que migram da média.[40] O diâmetro externo do vaso é mais pequeno do que o habitual, embora a íntima esteja espessada. Os dados de Takagi et al.[36] revelaram que a espessura média na ACM de doentes com DMM era de 23,0 ± 7,7 μm, enquanto que nos doentes sem DMM a média era de 61,8 ± 30,4 μm.[36] Macrófagos contendo lípidos (células espumosas) e depósitos lipídicos foram encontrados na autópsia, mas são considerados mais provavelmente como resultado da aterosclerose.

Estas alterações no vaso podem predispor à formação de microaneurismas. A frequência de aneurismas no sistema vertebrobasilar na DMM é muito superior à da população em geral.[49] Foram descritos três tipos de aneurismas em doentes com DMM.[50] Os aneurismas das artérias principais são aqueles que se desenvolvem a partir do círculo de Willis. Estes aneurismas são frequentemente encontrados no complexo arterial da artéria comunicante anterior - ACA - em doentes com DMM unilateral e na artéria basilar em doentes com DMM bilateral.[51] Histopatologicamente, a parede aneurismática é constituída por endotélio com camadas adventícias e desaparecimento da lâmina elástica interna e da média, o que é idêntico ao encontrado nos aneurismas saculares. Os aneurismas das artérias periféricas, o segundo tipo, são responsáveis pela hemorragia parenquimatosa. Existem dois tipos de aneurismas: os aneurismas saculares e os pseudoaneurismas, que são constituídos por fibrina e eritrócitos. O terceiro tipo, como mencionado anteriormente, é a ruptura de vasos de moyamoya dilatados ou artérias colaterais dilatadas na superfície cerebral.[52][39]

O espessamento intimal fibrocelular observado nas artérias intracranianas também é observado em outras artérias de pacientes com DMM. Essas artérias incluem artérias extracranianas, artérias pulmonares, artérias renais e artérias coronárias.[53] Relatos de casos com exames histológicos mostram artérias extracranianas com características semelhantes ao tipo de hiperplasia intimal da DMF. Este tipo de DMF apresenta espessamento fibrocelular concêntrico da íntima, constituído por fibras elásticas e células musculares lisas, em artérias de várias localizações do corpo.[53] Foi descrita a doença de Moyamoya com hipertensão renovascular associada, que frequentemente apresenta evidência angiográfica ou patológica de DMF.[54] Este achado sugere que a DMF ou lesões vasculares semelhantes à DMF podem estar presentes na DMM e que a hipertensão pode resultar destas lesões. A espessura da íntima das artérias extracranianas na autópsia em DMM avançada é maior do que nos controlos. A formação de trombos murais e sua organização também são observadas em artérias extracranianas de pacientes com DMM.[39]

No estudo de Hoshimaru e Kikuchi,[55] 13 dos 66 pacientes com DMM apresentavam ramos estenóticos da artéria carótida externa visíveis à angiografia. Nestes casos, 8 das estenoses encontravam-se no ramo meníngeo médio, 4 na ATS e 2 no ramo occipital.[55] Também nos casos pediátricos, a íntima da ATS foi medida em comparação com os controlos e revelou-se significativamente mais espessa.[33] As secções histológicas mostraram um espessamento fibrocelular da íntima com poucos lípidos e coloração intensa para fibras elásticas multicamadas na íntima. Os doentes do grupo de controlo apresentavam uma coloração ligeira das fibras elásticas na íntima.[33]

Características clínicas

As apresentações clínicas da DMM incluem AIT, AVC isquémico, AVC hemorrágico, convulsões, cefaleias e défice cognitivo. A incidência de cada sintoma varia de acordo com a idade dos pacientes.[56] Um evento isquémico é a manifestação clínica mais importante da DMM. A hipoperfusão cerebral devido à oclusão progressiva de grandes vasos resulta em AITs hemodinâmicos repetidos ou AVCs isquémicos em crianças ou adultos jovens. Assim, a DMM é um exemplo clássico de uma causa hemodinâmica de AVC. É frequente encontrarmos doentes que desenvolvem AITs repetidos quando estão a hiperventilar, a chorar, a comer massa quente ou a tocar harmónica ou flauta. A diminuição da PaCO2 arterial devido à hiperventilação pode possivelmente induzir a vasodilatação dos vasos normais e a subsequente hipoperfusão em áreas vulneráveis através de um fenómeno de roubo. O stress, a fadiga, a infecção e a desidratação também podem precipitar os sintomas isquémicos. Menos frequentemente, os doentes têm enfartes territoriais devido a embolia ou oclusão trombótica na distribuição da artéria cerebral média (ACM), artéria cerebral anterior (ACA) ou artéria cerebral posterior (ACP).[57] A circulação anterior é predominantemente envolvida, e o sintoma isquémico mais frequente é a hemiparesia, seguida de perturbações da fala e hemisensibilidade anormal.[25] Num estudo que examinou 410 casos pediátricos de DMM, os sintomas isquémicos foram atribuídos ao território ACM em 92, ao território ACA em 52 e ao território PCA em 10.[58] Embora o AVC da circulação posterior tenha sido considerado incomum, desenvolvendo-se no estágio tardio da DMM,[59] um estudo mais recente relatou que o envolvimento da PCA estava presente em 29% dos pacientes, com 17% demonstrando infarto do território da PCA.[60]

Inesperadamente, a prevalência de envolvimento da APC não foi muito diferente (26% vs. 33%) entre pacientes pediátricos e adultos. Embora o envolvimento da APC seja o processo natural da DMM, dada a observação de que a progressão da doença da APC ocorre frequentemente após procedimentos de revascularização da circulação anterior, alguns argumentam que a estenose secundária (involução da APC) também pode ocorrer, devido à melhoria das colaterais para a circulação anterior.[61] Independentemente da causa, o envolvimento da APC é um dos factores relacionados com o mau prognóstico na DMM.[58] Recentemente, foi demonstrada uma correlação entre a variante homozigótica c.14576G > A da proteína 213 do dedo anelar e o início precoce e o envolvimento agressivo da APC,[62] fornecendo mais provas da importância da estenose da APC como factor de prognóstico. Nos doentes com DMM, a topografia do enfarte não se enquadra frequentemente no território vascular clássico. Este facto deve-se, em parte, à presença concomitante de insuficiência hemodinâmica e, em parte, à alteração dos territórios vasculares secundária à oclusão de vasos principais de longa duração, juntamente com canais colaterais de desenvolvimento diverso. Num estudo,[63] os autores examinaram os padrões de RM ponderada em difusão de 91 enfartes cerebrais de 66 doentes com DMM. Cada lesão isquémica foi categorizada como sendo de um tipo invulgar (padrões giral, territorial atípico e favo de mel) ou de um tipo típico (normalmente observado em doentes com AVC) (padrão territorial, de pontos múltiplos, borderzone e lacunar profundo). O padrão de enfarte foi mais frequentemente atípico (giral, 44%, territorial atípico 13% e favo de mel 11%) do que típico (territorial 10%, pontos múltiplos 9%, zona fronteiriça 6% e lacunar profundo 8%). Os padrões giral e borderzone foram mais frequentemente observados em doentes com DMM em idade pediátrica (< 20 anos), enquanto um padrão em favo de mel foi mais comum em doentes adultos com estádios vasculares avançados, o que pode estar associado à vulnerabilidade do cérebro à isquemia específica da idade, ao estádio da arteriopatia ou a alterações das vias colaterais anormais. Aproximadamente 30% dos doentes com DMM apresentam hemorragia intracerebral (HIC) (ou, menos frequentemente, hemorragia subaracnoideia) secundária a vasos colaterais friáveis que albergam microaneurismas ou falsos aneurismas.[25]

As hemorragias ocorrem geralmente no território da circulação anterior. Embora qualquer região cerebral possa ser afectada, a hemorragia intraventricular ocorre mais frequentemente do que na hemorragia hipertensiva.[64] Em um estudo caso-controle que comparou 93 pacientes com HIC associada à DMM e aqueles com HIC primária,[65] a localização da hemorragia foi significativamente diferente entre os dois grupos. A ordem de frequência da localização foi putaminal (46,2%), talâmica (19,4%), pontina (14%), lobar (9,7%), cerebelar (4,3%), caudada (4,3%) e intraventricular pura (2,2%) na HIC primária, em comparação com intraventricular (37,6%), lobar (23,7%) e putaminal (22,6%) nos pacientes com DMM. A HIC na ponte e no cerebelo só ocorreu em doentes com HIC primária, enquanto a hemorragia calosa (4,3%) só ocorreu na HIC associada à DMM. A hemorragia intraventricular primária em doentes com DMM estava estreitamente associada a uma artéria coroidal anterior ipsilateral proeminente, sugerindo que a ruptura de microaneurismas focais nos ramos anormalmente dilatados da artéria coroidal anterior pode produzir hemorragias intraventriculares. Além disso, foi demonstrado que a RM gradiente-eco ponderada em T2* ou ponderada em susceptibilidade identifica micro-hemorragias cerebrais (CMBs) em 28%-46% dos doentes com DMM.[66][67] De acordo com Sun et al.,[67] os CMBs ocorrem mais frequentemente em áreas profundas e periventriculares, e estão associados a artérias comunicantes anteriores ou posteriores dilatadas. Eles levantaram a hipótese de que os CMBs representam glóbulos vermelhos que vazaram desses vasos dilatados e frágeis. Os CMBs periventriculares foram associados à ocorrência futura de hemorragias intraventriculares. Assim, deve suspeitar-se de DMM quando os doentes são jovens, sem factores de risco vascular, ou quando a localização da hemorragia é atípica. Por uma razão não esclarecida, os AVCs hemorrágicos são menos comuns em caucasianos do que em asiáticos.[64][68][69]

Com uma hipoperfusão cerebral significativa, pode desenvolver-se défice cognitivo, declínio intelectual ou atraso mental,[70][71] o que constitui um grave problema para as crianças em idade escolar. As convulsões ocorrem em cerca de 5% dos doentes, secundárias a uma lesão isquémica ou hipoperfusão, geralmente com início na infância. A cefaleia apresenta-se como um sintoma de DMM ou desenvolve-se recentemente após a cirurgia de bypass. Embora a prevalência de cefaléia na DMM tenha sido considerada baixa,[25] um estudo recente[72] relatou que 44 de 204 (21,6%) crianças com DMM sofriam de cefaléia, e náuseas/vômitos foram observados em 12. Em 4, a cefaleia desenvolveu-se durante a hiperventilação, e em 3, o AIT e a cefaleia ocorreram simultaneamente. A causa da cefaleia na DMM continua por esclarecer. A hipoperfusão cerebral pode possivelmente diminuir o limiar para o desenvolvimento da enxaqueca e aumentar o risco de propagação da depressão cortical.[73][74] Ocasionalmente, a cefaleia melhora após o processo de revascularização, sugerindo que a hipoperfusão cerebral está relacionada com a patogénese da cefaleia, pelo menos em alguns destes doentes. A experiência de cefaléia pré-operatória é um forte preditor de cefaléia pós-operatória.[72] Embora incomum, a DMM pode se apresentar com movimentos involuntários, geralmente em crianças;[72] em um estudo, 17 de 410 (4%) pacientes pediátricos com DMM desenvolveram movimentos involuntários.[58] Baik e Lee[75] estudaram 42 pacientes (38 descritos em estudos anteriores e 4 do seu hospital) que desenvolveram movimentos involuntários associados à DMM. Vinte e sete pacientes desenvolveram coreia; 4, distonia; 4, uma mistura de ambos; e 7, discinesia. Em 37 doentes, os estudos imagiológicos cerebrais mostraram lesões isquémicas, mas os restantes 5 não mostraram lesões parenquimatosas. Os estudos mostraram hipoperfusão cerebral nos gânglios basais e nas áreas corticais cerebrais do lado em causa. Na maioria dos doentes, os sintomas melhoraram independentemente do tratamento.

Existem dois picos de incidência com diferentes apresentações clínicas, por volta dos 10 anos e dos 30-40 anos, embora um estudo japonês tenha referido a existência de três picos.[9] O pico parece ocorrer mais tarde nas mulheres do que nos homens.[9] Nas crianças, os sintomas isquémicos, especialmente os AITs, são predominantes (70%).[58][76] O declínio intelectual, as convulsões e os movimentos involuntários são também mais comuns neste grupo etário. Em contraste, os doentes adultos apresentam hemorragia intracraniana mais frequentemente do que os doentes pediátricos. Estes diferentes picos etários e apresentações clínicas em cada grupo etário foram também observados em doentes com DMM residentes nos EUA.[19][20] Tem-se debatido se a DMM nos caucasianos europeus difere da dos asiáticos. Um estudo recente sobre 153 caucasianos europeus com DMM[77] mostrou que, apesar de também terem dois picos etários (11-18 e 40-49 anos), o último pico era mais longo do que nos doentes asiáticos. O pico mais tardio estava associado a uma maior preponderância feminina (2,9:1). Por outro lado, apenas 1,3% dos casos eram familiares. Apesar de uma população de doentes adultos relativamente predominante, o AVC hemorrágico ocorreu em geral com menos frequência (8,5%) do que nos doentes asiáticos e ocorreu mais frequentemente em doentes pediátricos (12%) do que em adultos (7,8%). No entanto, este facto deve ser interpretado com cautela, uma vez que não se tratou de um inquérito nacional e a maioria dos doentes eram doentes cirúrgicos pré-seleccionados.

Diagnóstico

Os critérios de diagnóstico exigiam anteriormente que a alteração esteno-oclusiva na ACI fosse evidente bilateralmente para o diagnóstico definitivo de DMM. No entanto, recentemente, os critérios de diagnóstico para a DMM definitiva foram revistos para incluir também doentes com esteno-oclusão unilateral da ACI terminal. O diagnóstico definitivo de DMM requer angiografia por cateter nos casos unilaterais, enquanto os casos bilaterais podem ser prontamente diagnosticados por angiografia por cateter ou ARM. Embora a angiografia por cateter seja o teste de diagnóstico mais importante, esta técnica relativamente invasiva está associada a complicações relacionadas com o procedimento, pelo que devem ser tomadas medidas pré-procedimento, incluindo hidratação suficiente, especialmente em doentes pediátricos. Com base em vários achados angiográficos, Suzuki e Takaku[1] propuseram 6 estágios de evolução angiográfica. No entanto, uma progressão gradual do estágio 1 ao estágio 6 foi observada em apenas um número limitado de pacientes,[73] e o valor prático da classificação permanece incerto. A ARM e a angiografia por tomografia computorizada são exames não invasivos que podem detectar a esteno-oclusão distal da ACI ou da ACM. No entanto, têm uma sensibilidade limitada na detecção de colaterais basais. As modernas ferramentas de diagnóstico de apoio são úteis para fazer um diagnóstico preciso da DMM, especialmente em doentes numa fase inicial do sistema de classificação angiográfica de Suzuki,[1] quando uma rede vascular anormal ainda não é evidente. Para melhorar a capacidade de diagnóstico, a RM da parede do vaso de alta resolução tem sido utilizada recentemente. Kaku e colegas propuseram uma teoria de remodelação constritiva em que o estreitamento do diâmetro exterior dos vasos intracranianos afectados era uma alteração característica precoce da DMM, como demonstrado pela interferência construtiva tridimensional (3D) na RM em estado estacionário (CIISS).[78] Yuan et al. também referiram que o adelgaçamento da parede vascular e o estreitamento do diâmetro exterior das artérias, demonstrados pela RM de alta resolução, poderiam ser alterações morfológicas precoces características da DMM.[79] Para além do estreitamento do diâmetro externo, foi observado um realce concêntrico dos segmentos sintomáticos em doentes com DMM.[80] Assim, a RM de alta resolução, incluindo o 3D-CIISS, pode fornecer informações de apoio para o diagnóstico exacto da DMM, especialmente na fase angiográfica inicial. Além disso, a análise genética, tal como descrita noutra revisão, poderia fornecer informações de apoio para o diagnóstico de DMM.

B. Quando a imagiologia por RM e a angiografia por RM demonstram claramente todos os achados descritos subsequentemente, a angiografia cerebral convencional não é obrigatória:

1. Estenose ou oclusão na porção terminal da ACI e na porção proximal das ACAs e MCAs na angiografia por RM.

2. Uma rede vascular anormal nos gânglios basais na angiografia por RM. Note-se que uma rede vascular anormal pode ser diagnosticada quando se observam mais de 2 flow voids aparentes num dos lados dos gânglios basais na RM.

3. (1) e (2) são observados bilateralmente.

C. Dado que a origem desta doença é desconhecida, a doença cerebrovascular com as seguintes doenças ou condições de base deve ser eliminada:

1. Arteriosclerose

2. Doença auto-imune

3. Meningite

4. Neoplasia cerebral

5. Síndrome de Down

6. Doença de Recklinghausen

7. Traumatismo craniano

8. Irradiação da cabeça

9. Outros (doença falciforme, esclerose tuberosa, etc.)

D. Achados patológicos elucidativos:

1. O espessamento da íntima e a consequente estenose ou oclusão do lúmen são observados na porção terminal da ACI e à sua volta, geralmente em ambos os lados. Ocasionalmente, observam-se depósitos lipídicos na íntima em proliferação.

2. As artérias que constituem o círculo de Willis, como as ACAs, as MCAs e as artérias comunicantes posteriores, apresentam frequentemente estenose de vários graus ou oclusão associada a espessamento fibrocelular da íntima, ondulação da lâmina elástica interna e atenuação da média.

3. Numerosos pequenos canais vasculares (perfurantes e ramos anastomóticos) são observados à volta do círculo de Willis.

4. Observam-se frequentemente conglomerados reticulares de pequenos vasos na pia-máter.

Diagnóstico: Relativamente aos pontos A-D acima referidos, os critérios de diagnóstico são classificados da seguinte forma Os casos de autópsia não submetidos a angiografia cerebral devem ser investigados separadamente no que se refere a D.

1. Caso definitivo: Um caso que preenche os critérios A ou B e C. Nas crianças, no entanto, um caso que preenche A-1 e A-2 (ou B-1 e B-2) num lado e com estenose notável na porção terminal da ACI no lado oposto também está incluído.

2. Caso provável: Um caso que preenche os critérios A-1 e A-2 (ou B-1 e B-2) e C (envolvimento unilateral).

A. Quando a imagiologia por RM e a angiografia por RM demonstram claramente todos os achados descritos abaixo, a angiografia cerebral convencional não é obrigatória:

1. Estenose ou oclusão na porção terminal da ACI intracraniana e na porção proximal das ACAs e CAs.

2. Uma rede vascular anormal nos gânglios basais.

3. 1) e 2) são observados bilateralmente.


B. Métodos de imagiologia e avaliação:

1. Recomenda-se uma intensidade de campo magnético superior a 1,0 T.

2. Não existem restrições relativamente aos métodos de imagiologia de angiografia por RM.

3. Os parâmetros de imagiologia, tais como a intensidade do campo magnético, os métodos de imagiologia e a utilização de meios de contraste, devem ser claramente documentados.

4. Pode ser diagnosticada uma rede vascular anormal quando se observam mais de dois flow voids aparentes num dos lados dos gânglios basais na imagiologia por RM.

5. A lesão pode ser sobrestimada ou subestimada de acordo com as condições de imagiologia. Para evitar um diagnóstico falso-positivo, apenas os casos definitivos devem ser diagnosticados com base nos resultados da imagiologia por RM e da angiografia por RM.

C. Uma vez que lesões vasculares semelhantes secundárias a outras doenças são por vezes indistinguíveis desta doença em adultos, um diagnóstico baseado em imagiologia por RM e angiografia por RM sem angiografia convencional só é recomendado em casos pediátricos.

A angiografia convencional de subtracção digital continua a ser a técnica de imagem de referência e é a que melhor demonstra as características, embora não patognomónicas, de uma angiopatia esteno-oclusiva crónica localizada predominantemente nas ACIs supraclinóides e nas ACAs/MCAs proximais. Embora as próprias lesões estenóticas possam ser indistinguíveis do ateroma não calcificado e de outras angiopatias cerebrovasculares (Quadro 1), a DMM é sugerida pela idade mais jovem dos doentes, pelas lesões bilaterais/simétricas e pelo padrão de colateralização arterial. A proeminente rede vascular colateral, que representa tanto a hipertrofia dos ramos perfurantes como uma verdadeira neoangiogénese em torno do círculo de Willis (muitas vezes referida como uma "rete" ou "trela" de vasos), resulta no rubor angiográfico denso e transitório que ocorre na fase arterial, responsável pela descrição da "baforada de fumo" que dá nome à doença. Outras vias colaterais podem ocorrer através de anastomoses pial-piais de outros territórios menos comprometidos, particularmente da circulação posterior, ou, em casos mais avançados, através de parasitismo dural-pial, este último constituindo o padrão "vault MMD".[81] [82]O equilíbrio entre essas vias colaterais varia entre os pacientes. Suzuki e Takaku[83] listaram 6 estágios angiográficos da DMM que aparecem com a progressão da doença (Quadro 3).

Estágio Achados angiográficos
1 estenose da ACI supra-selar, geralmente bilateral
2 desenvolvimento de vasos de moyamoya na base do cérebro
3 aumento da estenose da ACI e proeminência dos vasos de moyamoya (a maioria dos casos diagnosticados nesta fase)
4 todo o círculo de Willis e PCAs ocluídos, colaterais extracranianos começam a aparecer, os vasos de moyamoya começam a diminuir
5 progressão adicional do estágio 4
6 ausência completa dos vasos de moyamoya e das artérias cerebrais principais

A tomografia computorizada é rápida, facilmente disponível e é normalmente a primeira linha de avaliação de um doente que sofre um ictus agudo. A tomografia computadorizada é relativamente insensível ao infarto agudo nas primeiras 24 horas, mas pode efetivamente excluir emergências neurocirúrgicas, como hemorragia e grandes lesões de massa. Os enfartes, tipicamente distribuídos em bacias hidrográficas entre os principais territórios, aparecem inicialmente como uma perda de diferenciação entre a substância cinzenta e branca, tornando-se progressivamente mais bem definidos com menor atenuação ao longo de vários dias e demonstrando perda de volume ao longo de várias semanas. Os enfartes subcorticais e profundos da substância branca estão também relacionados com a hipoperfusão regional e são subestimados na TC em comparação com a RM, tal como os enfartes lacunares dos gânglios basais e do tálamo; estes últimos tendem a ocorrer na DMM do adulto, mas são raros nas crianças. A TC pós-contraste demonstra um realce mal definido relacionado com a neovascularização das perfurantes basais,[82] enquanto a angiografia por TC pode definir melhor algumas das colaterais maiores das perfurantes. Esta última poderia substituir a imagiologia/angiografia por RM, mas não está actualmente incluída nas orientações do comité de investigação (Tabela 1). A perfusão por tomografia computorizada pode ser efectuada com ou sem acetazolamida, tendo sido demonstrado que o tempo médio de trânsito se correlaciona significativamente com o estádio angiográfico da doença.[82]

A tomografia computorizada de emissão de fotão único é um estudo de perfusão axial de radioisótopos do cérebro inteiro, há muito estabelecido, que fornece uma perfusão relativa em comparação com o lado oposto. A sua principal limitação é a resolução espacial muito fraca.[84] A tomografia computorizada por emissão de fotões simples envolve a injecção de um radioisótopo radioactivo ligado a um fármaco lipofílico que pode atravessar a barreira hemato-encefálica, como 99mTc-hexametil propilenoamina oxima, 99mTc-bicisato de etilo cisteinato dímero e 123I-iodoanfetamina, e pode ser realizada com ou sem acetazolamida. A acetazolamida ajuda a determinar a reserva de CBF e, portanto, ajuda a monitorizar os estádios progressivos da doença.[85] A utilização de SPECT na DMM mostra baixa perfusão nas regiões frontal superior e inferior, parietal e temporal, especialmente em casos nos estádios 2 e 3. A tomografia computadorizada por emissão de fóton único ajuda a medir o rCBF, especialmente em vasos que não podem ser visualizados angiograficamente.

Nos últimos anos, os agentes à base de tecnécio tornaram-se mais amplamente disponíveis do que a 123I-iodoanfetamina. Os dois agentes podem ser utilizados numa única sessão, um para a medição do fluxo sanguíneo basal e o outro para a medição do fluxo sanguíneo pós-acetazolamida com scanners de 3 cabeças, utilizando janelas separadas para os valores de keV do 99mTc e do 123I para fornecer dados precisos com menos injecções e eliminar a necessidade de técnicas de subtracção.11 Embora extremamente improvável, deve ter-se cuidado ao utilizar a acetazolamida para evitar provocar uma lesão isquémica em doentes com DMM, que têm uma reserva cerebrovascular marginal.[86]

Os exames de tomografia por emissão de positrões na DMM mostram um rCBF significativamente reduzido, mas não um CBF absoluto significativamente mais baixo em comparação com os controlos. Os exames de tomografia por emissão de positrões podem demonstrar uma elevação da rOEF, o que implica uma "má perfusão" nas regiões da ACM e uma elevação da rCBV consistente com neovascularização no striatum.[87][88] Apesar do aumento da rOEF, a taxa metabólica cerebral regional de O2 tende a diminuir devido à maior influência da rCBF reduzida. Os doentes com DMM isquémica apresentaram uma VFC significativamente mais elevada do que os controlos na maioria das regiões cerebrais, sugerindo uma vasodilatação territorial compensatória.[88] Não existem variações do rCBF, da taxa metabólica cerebral regional de O2 ou da rOEF na região da ACM entre os tipos hemorrágico e isquémico nos casos adultos. No entanto, a rCBV no striatum foi maior nos casos adultos isquémicos. Os doentes adultos, tanto do tipo hemorrágico como do tipo isquémico, apresentaram rOEF e rCBV nos territórios MCA e rCBV no striatum significativamente mais baixos do que as crianças com apresentação isquémica. Todos os casos adultos apresentavam um défice hemodinâmico cerebral.[87] As fracções de extracção de oxigénio nos córtices frontal, parietal e temporal eram significativamente mais elevadas nos casos isquémicos do que nos controlos. O tipo hemorrágico apresentou metabolismo diminuído com EEF normal.[88] A oclusão da ACI e o EEF elevado aumentaram o risco de enfarte cerebral em comparação com a oclusão da ACI e o EEF normal. Estes dados serviram de base a um segundo estudo para avaliar a eficácia do bypass extracraniano-intracraniano, exigindo a presença de um EOF elevado para a entrada.[89] Estudos PET anteriores sugerem uma importância semelhante do EOF em doentes com DMM.[90][90]

A ressonância magnética e a angiografia por RM podem demonstrar pequenas lesões subcorticais que são frequentemente indetectáveis na TC. A ressonância magnética e a angiografia provaram ser úteis porque a DMM envolve frequentemente enfartes pequenos e múltiplos. Essas modalidades de imagem permitem a visualização das porções distais ocluídas da ACI. Os vasos de Moyamoya aparecem como vasos finos incomuns na angiografia por RM ou como um vazio de sinal na imagem por RM. No entanto, tanto a imagem por RM como a angiografia por RM visualizam mal os vasos de moyamoya mais pequenos. A ressonância magnética pode ser usada como substituta da angiografia convencional em crianças, de acordo com os critérios diagnósticos da DMM (Tabelas 1 e 2), se a oclusão for claramente observada bilateralmente.[91][82][92] A angiografia por ressonância magnética pode detectar algumas lesões não observadas na RM, mas muitas vezes superestima a extensão da lesão. O aumento do sinal obtido com magnetos 3-T mais potentes fornece detalhes angiográficos significativamente maiores.[93] Além disso, a angiografia por RM pode ser usada no pós-operatório para determinar o estado do fluxo colateral e a patência dos enxertos de bypass extracraniano e intracraniano. A angiografia por ressonância magnética é limitada na resolução espacial e na avaliação da direcção do fluxo; embora esta última possa ser avaliada na angiografia por RM resolvida no tempo, esta técnica continua a sofrer de uma resolução espacial muito fraca.[94] Em termos gerais, a imagiologia por RM e a angiografia por RM são bons métodos para detectar a DMM, especialmente quando esta se encontra na fase 3 ou 4, mas não são muito eficazes como meio de estadiamento da doença.[95]


O sinal e a resolução mais elevados dos sistemas de RM de 3 T têm sido utilizados para uma melhor selecção das artérias de bypass, através de uma visualização mais clara das artérias dadoras e receptoras candidatas a cirurgia de revascularização.[81] As imagens fornecidas pelo íman de 3 T permitem um melhor tratamento pós-operatório dos doentes. Num estudo de caso após um bypass extracranianointracraniano, as imagens de RM e a angiografia por RM com um íman de 3 T mostraram uma dilatação do bypass e colaterais locais não evidentes com um íman de 1,5 T. Este achado indicava uma potencial hiperperfusão da área, que foi confirmada por SPECT. O doente apresentava os défices neurológicos correspondentes e o tratamento imediato e agressivo da pressão arterial aliviou os sintomas até que o estado do doente voltou ao normal.[96]

A RM dependente do nível de oxigénio no sangue pode ser utilizada para mapear a reactividade cerebrovascular em casos de doença esteno-oclusiva arterial. A RM dependente do nível de oxigénio no sangue baseia-se na diminuição das alterações do sinal T2 que ocorre com o aumento da concentração de desoxihemoglobina intravoxel, o que está relacionado com a redução da perfusão ou com o aumento da actividade metabólica.[97] A arterial spin labeling é uma técnica alternativa de perfusão sem contraste que utiliza um pulso de inversão para marcar magneticamente os protões de água intravascular a montante da região de interesse e tem sido amplamente estudada devido à sua natureza não invasiva.[98] Tanto a arterial spin labeling como a imagem de susceptibilidade dinâmica com contraste, esta última explorando o efeito de encurtamento em T2 do Gd concentrado, são limitadas pelos tempos de trânsito marcadamente prolongados (frequentemente > 5 segundos) na DMM, o que leva a sensibilidade destas técnicas aos seus limites, resultando em maior artefacto.[99] A RM ponderada em perfusão permite a análise de 3 parâmetros de OEF: Rácio CBF, rácio CBV e tempo médio de trânsito. A RM ponderada em perfusão também gera mapas paramétricos com uma resolução mais elevada do que os mapas PET, revelando assim falhas de perfusão focais ao nível de cada giro individual.[100]

A espectroscopia por RM de protões pode ser utilizada para examinar de forma não invasiva o metabolismo cerebral, mas actualmente a sua utilização como instrumento de investigação ainda é limitada. Um estudo demonstrou que 3 metabolitos cerebrais (colina, creatina e N-acetilaspartato) de doentes com DMM se encontravam dentro dos valores normais e não apresentavam diferenças entre os hemisférios mais e menos afectados. Após cirurgias de revascularização, todos os 3 metabólitos mostraram ter aumentado significativamente em todos os hemisférios.[84]

Tratamento

O tratamento da DMM depende frequentemente da agressividade da sua evolução. Os casos com sintomas mais ligeiros são normalmente tratados de forma mais conservadora. Os casos sintomáticos mais graves são normalmente tratados através de procedimentos de revascularização. A maioria dos casos (77%) é tratada cirurgicamente, uma vez que se demonstrou ser mais eficaz do que o tratamento não cirúrgico.[101][82]

Os tratamentos médicos propostos incluem vasodilatadores, agentes antiplaquetários, agentes antifibróticos e agentes fibrinolíticos.[102] No entanto, a eficácia dos tratamentos médicos ainda não foi comprovada em ensaios clínicos. Os casos de epilepsia têm sido tratados com anticonvulsivantes. Os episódios isquémicos e a trombose podem ser controlados com antiplaquetas, o que também pode prevenir a progressão da DMM.[82]

Os tratamentos cirúrgicos dividem-se em 3 grupos: directo, indirecto e combinado/outros métodos. O bypass directo inclui enxertos venosos e anastomose extracraniana-intracraniana da ATS para a ACM (anastomose ATS-ACM). O bypass extracraniano e intracraniano foi realizado pela primeira vez em 1972 por Yaşargil. O bypass indirecto pode envolver qualquer um de vários procedimentos, incluindo encefaloduroarteriosinangiose, encefalomiossinangiose, encefalomioarteriosinangiose, encefaloarteriosinangiose, durapexia, múltiplos orifícios cranianos e transplante de omento.[101][103]Os procedimentos indirectos trazem circulação para as regiões intracranianas através da introdução de uma nova vasculatura desenvolvida a partir de tecido suturado. As cirurgias indirectas são mais indicadas para doentes sem ramos corticais candidatos a anastomose. Estes procedimentos podem não ser suficientes para evitar mais isquemia, pelo que é geralmente preferível uma combinação de procedimentos directos e indirectos.

Foi demonstrado que a revascularização directa melhora drasticamente o FSC e, por conseguinte, previne potencialmente o enfarte cerebral.[104] O bypass também descarrega os vasos de moyamoya em tensão, diminuindo assim potencialmente o risco de hemorragia. O bypass direto é geralmente limitado a adultos ou crianças mais velhas devido ao pequeno calibre da ATS em crianças pequenas. As crianças mais jovens são, portanto, melhores candidatas a métodos de bypass indirecto combinados, como a encefaloduroarteriossinangiose com encefalomiossinangiose e/ou encefalomioarteriossinangiose.[105] No entanto, uma investigação recente de Fujimura et al.[106] sugeriu que a anastomose directa do STAMCA é segura e eficaz em crianças de todas as idades, tendo estes autores relatado resultados bons e excelentes em doentes com uma idade média de 6,2 anos.

Os procedimentos de bypass extracraniano-intracraniano têm sido objecto de escrutínio desde que o grupo de estudo extracraniano-intracraniano, em 1985, relatou a incapacidade desta cirurgia para reduzir o risco de AVC.[107] No entanto, as imagens fisiológicas PET (rCBF e OEF) não constituíam um requisito para a entrada no estudo. Estudos japoneses e americanos mais recentes demonstraram que os doentes submetidos a revascularização cirúrgica não tiveram episódios isquémicos após a cirurgia no estudo japonês, e menos episódios isquémicos do que no pré-operatório no estudo americano.[108][109] Em crianças com DMM, o bypass extracraniano-intracraniano directo e indirecto tem demonstrado melhorar os sintomas, reverter os défices neurológicos, prevenir novos episódios isquémicos, permitir o desenvolvimento normal da inteligência, diminuir a actividade convulsiva e resultar no desaparecimento de movimentos involuntários.[110] Em adultos, estes procedimentos têm resultado na prevenção de episódios isquémicos e na melhoria dos sintomas e da hemodinâmica cerebral.

A eficácia destes procedimentos nos casos hemorrágicos não está tão bem estudada quanto nos casos de isquemia. Tem sido sugerido que os procedimentos de bypass podem descarregar o "stress" nos vasos perfurantes e, assim, diminuir o risco subsequente de hemorragia. Existem, no entanto, alguns dados que justificam a revascularização para a prevenção de hemorragias. Um estudo de 1997 de pacientes com DMM hemorrágica mostrou que 28,3% dos pacientes sem cirurgia tiveram hemorragia recorrente durante o acompanhamento, em comparação com 19,1% daqueles que foram operados.[111] Yoshida et al.[112] realizaram uma pesquisa com 28 pacientes com DMM hemorrágica com um período médio de acompanhamento de 14,2 anos. O ressangramento foi observado em 1 de 8 pacientes submetidos à cirurgia de bypass e em 5 de 13 que não foram submetidos à cirurgia.[112] Esse achado sugere que o ressangramento foi menos provável de ocorrer em pacientes submetidos à cirurgia de bypass. No entanto, não houve diferença significativa no rácio de ressangramento ou na taxa de mortalidade entre os doentes com e sem cirurgia de revascularização.[112] O papel da cirurgia de bypass extracraniano e intracraniano na DMM hemorrágica parece ser promissor. Em um estudo, 11 de 22 pacientes foram tratados cirurgicamente, sendo 6 submetidos a bypass STA-MCA e os outros 5 a encefaloduroarteriosinangiose.[113] Os pacientes foram acompanhados entre 0,8 e 15,1 anos. A incidência de AVC hemorrágico e isquémico foi significativamente menor nos doentes submetidos a bypass STA-MCA, quando comparados com os doentes submetidos a encefaloduroarteriosinangiose ou a terapêutica conservadora.[113] Na população pediátrica, pode também haver benefício da revascularização; Suyama et al.[114] relataram 3 doentes com DMM hemorrágica, 2 dos quais foram submetidos a anastomoses STA-MCA com encefalomiossinangiose. Nestes 2 doentes não se verificou qualquer evidência subsequente de episódios isquémicos ou hemorragia no follow-up.

Entre um dos estudos mais recentes do Japão, Byval'tsev e Suzuki[115] relataram os resultados de tratamentos directos e indirectos em 140 doentes com DMM. As suas conclusões mostram resultados clínicos bons e excelentes em 92,9% dos casos e normalização da circulação cerebral em 97,1% dos doentes. Estes resultados de 2007 sugerem o benefício do tratamento cirúrgico adaptado a cada caso individual de DMM.

Melhores resultados na cirurgia de revascularização podem agora ser possíveis devido a melhorias nos métodos operatórios. No intra-operatório, houve vários desenvolvimentos para avaliar a permeabilidade do enxerto de bypass. Um método promissor é a utilização da angiografia intra-operatória por vídeo fluorescência, que envolve o uso de um traçador fluorescente (indocianina verde) e microscópios cirúrgicos especialmente equipados, capazes de visualizar a luz no espectro do infravermelho próximo. Woitzik et al.[116] demonstraram que a angiografia intra-operatória foi útil na identificação de enxertos de bypass não funcionais e estenóticos. No pós-operatório, o aprimoramento das técnicas de imagem permite o diagnóstico de hiperperfusão e outros possíveis efeitos colaterais da cirurgia, possibilitando o tratamento imediato.

Prognóstico

São vários os factores que determinam o prognóstico. Foi realizado um grande estudo prospectivo em adultos com DMM que foram tratados de forma conservadora. Foram identificados três factores independentes de mau prognóstico - origem asiática, história de AIT e diminuição da reserva cerebrovascular.[117] Nas crianças, devido a uma maior prevalência de enfarte cerebral, o prognóstico continua a ser mau. Nos adultos, o envolvimento da PCA nos episódios isquémicos e o ressangramento na apresentação hemorrágica significam um prognóstico sombrio.[118] O estudo JAM demonstrou o efeito do bypass directo na redução do ressangramento na DMM hemorrágica, melhorando assim o prognóstico.[119] Foi efectuada uma meta-análise para avaliar o impacto da cirurgia nos resultados funcionais a longo prazo em doentes com DMM. Foi registada uma taxa de bons resultados funcionais de 82% com base na categoria de Kim. De acordo com a meta-análise, a cirurgia combinada teve melhores resultados do que os procedimentos de revascularização indirecta.[120]

Conclusões

A DMM é uma doença oclusiva cerebrovascular com potencial para causar acidentes vasculares cerebrais, epilepsia e défices neurológicos tanto em adultos como em crianças. O cromossoma 17 (RNF213) desempenha um papel na patogénese, mas o mecanismo molecular exacto ainda não foi confirmado. O desenvolvimento de um repositório genético da doença tem sido lento e são necessários estudos bem fundamentados para a descoberta de genes. O estudo angiográfico é necessário para efectuar o diagnóstico. Os procedimentos de revascularização directa e indirecta são utilizados para prevenir a recorrência dos sintomas tanto na DMM isquémica como na hemorrágica. Os procedimentos combinados continuam a ganhar popularidade porque proporcionam uma reperfusão imediata do cérebro juntamente com uma revascularização sustentada. É necessária mais investigação para estabelecer o papel dos marcadores bioquímicos, como o bFGF, na avaliação do estado da angiogénese pós-revascularização. Apesar dos avanços efectuados no tratamento médico e cirúrgico nas últimas 6 décadas, o prognóstico da DMM ainda não é muito favorável.

Estudos epidemiológicos recentes confirmaram que a DMM é mais comum nos países da Ásia Oriental, como a Coreia e o Japão. Embora a prevalência de DMM pareça ser ligeiramente inferior entre os chineses, são ainda necessários estudos epidemiológicos nacionais de maior dimensão na China. Nos países da Ásia Oriental, as características clínicas da DMM são semelhantes; existem dois picos de incidência, por volta dos 10 anos e dos 30-40 anos, com diferentes apresentações clínicas. Nas crianças, predominam os sintomas isquémicos, especialmente o AIT, ao passo que a hemorragia intracraniana é mais comum nos doentes adultos. Nos países asiáticos, a incidência de DMM parece aumentar com o tempo. Os doentes com DMM são descritos com menos frequência no Ocidente e parece haver uma menor incidência de casos familiares. Estas diferenças podem ser atribuídas ao papel mais significativo da susceptibilidade genética da DMM nos asiáticos orientais do que nos caucasianos. No entanto, são ainda necessários estudos fiáveis para compreender a epidemiologia, a fisiopatologia e a genética da DMM.

Com os avanços na imagiologia e noutros meios de diagnóstico, a incidência e a prevalência da DMM estão a aumentar. Uma análise molecular mais aprofundada dos vasos de moyamoya melhorará a compreensão da DMM e conduzirá a um diagnóstico mais precoce com tratamento subsequente. Prevê-se que os procedimentos de bypass para a DMM sejam cada vez mais necessários nos principais centros de tratamento.

Ver também

Referências

  1. 1 2 3 Suzuki, Jiro (1 de março de 1969). «Cerebrovascular "Moyamoya" Disease». Archives of Neurology (3). 288 páginas. ISSN 0003-9942. doi:10.1001/archneur.1969.00480090076012. Consultado em 9 de junho de 2023
  2. Hayashi, Kentaro; Horie, Nobutaka; Izumo, Tsuyoshi; Nagata, Izumi (setembro de 2014). «A nationwide survey on unilateral moyamoya disease in Japan». Clinical Neurology and Neurosurgery: 1–5. ISSN 0303-8467. doi:10.1016/j.clineuro.2014.06.010. Consultado em 9 de junho de 2023
  3. Hayashi K, Horie N, Izumo T, Nagata I. A nationwide survey on unilateral moyamoya disease in Japan. Clin Neurol Neurosurg. 2014;124:1–5.
  4. Kuroda, Satoshi; Ishikawa, Tatsuya; Houkin, Kiyohiro; Nanba, Rina; Hokari, Masaaki; Iwasaki, Yoshinobu (outubro de 2005). «Incidence and Clinical Features of Disease Progression in Adult Moyamoya Disease». Stroke (10): 2148–2153. ISSN 0039-2499. doi:10.1161/01.str.0000182256.32489.99. Consultado em 9 de junho de 2023
  5. Natori, Yoshihiro; Ikezaki, Kiyonobu; Matsushima, Toshio; Fukui, Masashi (outubro de 1997). «`Angiographic Moyamoya' its definition, classification, and therapy». Clinical Neurology and Neurosurgery: S168–S172. ISSN 0303-8467. doi:10.1016/s0303-8467(97)00052-8. Consultado em 9 de junho de 2023
  6. Choi, H.-Y; Lee, J. E.; Jung, Y. H.; Cho, H. J.; Kim, D. J.; Heo, J. H. (19 de março de 2007). «Progression of isolated middle cerebral artery stenosis into moyamoya disease». Neurology (12): 954–954. ISSN 0028-3878. doi:10.1212/01.wnl.0000244412.18039.03. Consultado em 9 de junho de 2023
  7. 1 2 3 Wakai, Kenji; Tamakoshi, Akiko; Ikezaki, Kiyonobu; Fukui, Masashi; Kawamura, Takashi; Aoki, Rie; Kojima, Masayo; Lin, Yingsong; Ohno, Yoshiyuki (outubro de 1997). «Epidemiological features of Moyamoya disease in Japan: findings from a nationwide survey». Clinical Neurology and Neurosurgery: S1–S5. ISSN 0303-8467. doi:10.1016/s0303-8467(97)00031-0. Consultado em 9 de junho de 2023
  8. 1 2 3 Baba, T; Houkin, K; Kuroda, S (1 de agosto de 2008). «Novel epidemiological features of moyamoya disease». Journal of Neurology, Neurosurgery & Psychiatry (8): 900–904. ISSN 0022-3050. doi:10.1136/jnnp.2007.130666. Consultado em 9 de junho de 2023
  9. 1 2 3 Kuriyama, Shinichi; Kusaka, Yasuko; Fujimura, Miki; Wakai, Kenji; Tamakoshi, Akiko; Hashimoto, Shuji; Tsuji, Ichiro; Inaba, Yutaka; Yoshimoto, Takashi (janeiro de 2008). «Prevalence and Clinicoepidemiological Features of Moyamoya Disease in Japan». Stroke (1): 42–47. ISSN 0039-2499. doi:10.1161/strokeaha.107.490714. Consultado em 9 de junho de 2023
  10. Yim, Sang Hyuk; Cho, Chul Bum; Joo, Won Il; Chough, Chung Kee; Park, Hae Kwan; Lee, Kyung Jin; Rha, Hyoung Kyun (2012). «Prevalence and Epidemiological Features of Moyamoya Disease in Korea». Journal of Cerebrovascular and Endovascular Neurosurgery (2). 75 páginas. ISSN 2234-8565. doi:10.7461/jcen.2012.14.2.75. Consultado em 9 de junho de 2023
  11. 1 2 Ahn, Il Min; Park, Dong-Hyuk; Hann, Hoo Jae; Kim, Kyoung Hoon; Kim, Hyun Jung; Ahn, Hyeong Sik (abril de 2014). «Incidence, Prevalence, and Survival of Moyamoya Disease in Korea». Stroke (4): 1090–1095. ISSN 0039-2499. doi:10.1161/strokeaha.113.004273. Consultado em 9 de junho de 2023
  12. 1 2 Chen, Pei-Chun; Yang, Shih-Hung; Chien, Kuo-Liong; Tsai, I-Ju; Kuo, Meng-Fai (maio de 2014). «Epidemiology of Moyamoya Disease in Taiwan». Stroke (5): 1258–1263. ISSN 0039-2499. doi:10.1161/strokeaha.113.004160. Consultado em 9 de junho de 2023
  13. 1 2 3 Miao, Wei; Zhao, Peng-Lai; Zhang, Yan-Song; Liu, Hong-Yi; Chang, Yi; Ma, Jun; Huang, Qing-Jiu; Lou, Zheng-Xiang (abril de 2010). «Epidemiological and clinical features of Moyamoya disease in Nanjing, China». Clinical Neurology and Neurosurgery (3): 199–203. ISSN 0303-8467. doi:10.1016/j.clineuro.2009.11.009. Consultado em 9 de junho de 2023
  14. 1 2 3 Duan, Lian; Bao, Xiang-Yang; Yang, Wei-Zhong; Shi, Wan-Chao; Li, De-Sheng; Zhang, Zheng-Shan; Zong, Rui; Han, Cong; Zhao, Feng (janeiro de 2012). «Moyamoya Disease in China». Stroke (1): 56–60. ISSN 0039-2499. doi:10.1161/strokeaha.111.621300. Consultado em 9 de junho de 2023
  15. Ikezaki K, Han DH, Kawano T, Kinukawa N, Fukui M. A clinical comparison of definite moyamoya disease between South Korea and Japan. Stroke. 1997;28:2513–2517.
  16. Yeon, Je Young; Shin, Hyung Jin; Kong, Doo-Sik; Seol, Ho Jun; Kim, Jong-Soo; Hong, Seung-Chyul; Park, Kwan (outubro de 2011). «The Prediction of Contralateral Progression in Children and Adolescents With Unilateral Moyamoya Disease». Stroke (10): 2973–2976. ISSN 0039-2499. doi:10.1161/strokeaha.111.622522. Consultado em 9 de junho de 2023
  17. Jo, Kyung-Il; Yeon, Je Young; Hong, Seung-Chyul; Kim, Jong-Soo (2014). «Clinical Course of Asymptomatic Adult Moyamoya Disease». Cerebrovascular Diseases (2): 94–101. ISSN 1015-9770. doi:10.1159/000356350. Consultado em 9 de junho de 2023
  18. Han, Cong; Feng, Hui; Han, Yi-Qin; Liu, Wei-Wei; Zhang, Zheng-Shan; Yang, Wei-Zhong; Duan, Lian (19 de fevereiro de 2014). «Prospective Screening of Family Members with Moyamoya Disease Patients». PLoS ONE (2): e88765. ISSN 1932-6203. doi:10.1371/journal.pone.0088765. Consultado em 9 de junho de 2023
  19. 1 2 Uchino, K.; Johnston, S. C.; Becker, K. J.; Tirschwell, D. L. (26 de setembro de 2005). «Moyamoya disease in Washington State and California». Neurology (6): 956–958. ISSN 0028-3878. doi:10.1212/01.wnl.0000176066.33797.82. Consultado em 9 de junho de 2023
  20. 1 2 Kainth, Daraspreet; Chaudhry, Saqib A.; Kainth, Hunar; Suri, Fareed K.; Qureshi, Adnan I. (2013). «Epidemiological and Clinical Features of Moyamoya Disease in the USA». Neuroepidemiology (4): 282–287. ISSN 0251-5350. doi:10.1159/000345957. Consultado em 9 de junho de 2023
  21. Fukui, Masashi (fevereiro de 1997). «Current state of study on moyamoya disease in Japan». Surgical Neurology (2): 138–143. ISSN 0090-3019. doi:10.1016/s0090-3019(96)00358-8. Consultado em 9 de junho de 2023
  22. 1 2 3 4 5 6 7 8 9 10 11 12 Kuroda, Satoshi; Hashimoto, Nobuo; Yoshimoto, Takashi; Iwasaki, Yoshinobu (maio de 2007). «Radiological Findings, Clinical Course, and Outcome in Asymptomatic Moyamoya Disease». Stroke (5): 1430–1435. ISSN 0039-2499. doi:10.1161/strokeaha.106.478297. Consultado em 9 de junho de 2023
  23. 1 2 3 Masuda, Junichi; Ogata, Jun; Yamaguchi, Takenori (2004). «Moyamoya Disease». Elsevier: 603–618. Consultado em 9 de junho de 2023
  24. 1 2 Fujii, K; lkezaki, K; Irikura, K; Miyasaka, Y; Fukui, M (outubro de 1997). «The efficacy of bypass surgery for the patients with hemorrhagic Moyamoya disease». Clinical Neurology and Neurosurgery: S194–S195. ISSN 0303-8467. doi:10.1016/s0303-8467(97)00078-4. Consultado em 9 de junho de 2023
  25. 1 2 3 4 Suzuki, J; Kodama, N (janeiro de 1983). «Moyamoya disease--a review.». Stroke (1): 104–109. ISSN 0039-2499. doi:10.1161/01.str.14.1.104. Consultado em 9 de junho de 2023
  26. Semensato, Bárbara Ilze. «As capacidades dinâmicas para a inovação e os padrões de internacionalização de empresas de base tecnológica: um estudo de casos múltiplos com PMEs brasileiras». Consultado em 9 de junho de 2023
  27. 1 2 3 Ishii, Keisuke; Isono, Mitsuo; Kobayashi, Hidenori; Kamida, Tohru (junho de 2003). «Temporal profile of angiographical stages of Moyamoya disease: When does Moyamoya disease progress?». Neurological Research (4): 405–410. ISSN 0161-6412. doi:10.1179/016164103101201571. Consultado em 9 de junho de 2023
  28. 1 2 Smith, Edward R.; Scott, R. Michael (fevereiro de 2008). «Progression of disease in unilateral moyamoya syndrome». Neurosurgical Focus (2): E17. ISSN 1092-0684. doi:10.3171/foc/2008/24/2/e17. Consultado em 9 de junho de 2023
  29. Kelly, Michael E.; Bell-Stephens, Teresa E.; Marks, Michael P.; Do, Huy M.; Steinberg, Gary K. (2006). «Progression of Unilateral Moyamoya Disease: A Clinical Series». Cerebrovascular Diseases (2-3): 109–115. ISSN 1015-9770. doi:10.1159/000093238. Consultado em 9 de junho de 2023
  30. 1 2 Sakamoto, Shigeyuki; Kiura, Yoshihiro; Yamasaki, Fumiyuki; Shibukawa, Masaaki; Ohba, Shinji; Shrestha, Prabin; Sugiyama, Kazuhiko; Kurisu, Kaoru (3 de outubro de 2007). «Expression of vascular endothelial growth factor in dura mater of patients with moyamoya disease». Neurosurgical Review (1): 77–81. ISSN 0344-5607. doi:10.1007/s10143-007-0102-8. Consultado em 9 de junho de 2023
  31. 1 2 3 Takekawa, Yoshinori; Umezawa, Takehiko; Ueno, Yuichi; Sawada, Tatsuo; Kobayashi, Makio (setembro de 2004). «Pathological and immunohistochemical findings of an autopsy case of adult moyamoya disease». Neuropathology (3): 236–242. ISSN 0919-6544. doi:10.1111/j.1440-1789.2004.00550.x. Consultado em 9 de junho de 2023
  32. 1 2 Yoshimoto, Tetsuyuki; Houkin, Kiyohiro; Takahashi, Akihiro; Abe, Hiroshi (dezembro de 1996). «Angiogenic Factors in Moyamoya Disease». Stroke (12): 2160–2165. ISSN 0039-2499. doi:10.1161/01.str.27.12.2160. Consultado em 9 de junho de 2023
  33. 1 2 3 Aoyagi, Masaru; Fukai, Naomi; Yamamoto, Mari; Matsushima, Yoshiharu; Yamamoto, Kiyotaka (outubro de 1997). «Development of intimal thickening in superficial temporal arteries in patients with Moyamoya disease». Clinical Neurology and Neurosurgery: S213–S217. ISSN 0303-8467. doi:10.1016/s0303-8467(97)00046-2. Consultado em 9 de junho de 2023
  34. Hojo, Masato; Hoshimaru, Minoru; Miyamoto, Susumu; Taki, Waro; Nagata, Izumi; Asahi, Minoru; Matsuura, Nobuki; Ishizaki, Ryuji; Kikuchi, Haruhiko (outubro de 1998). «Role of transforming growth factor—β1 in the pathogenesis of moyamoya disease». Journal of Neurosurgery (4): 623–629. ISSN 0022-3085. doi:10.3171/jns.1998.89.4.0623. Consultado em 9 de junho de 2023
  35. 1 2 Yamamoto, Mari; Aoyagi, Masaru; Tajima, Shingo; Wachi, Hiroshi; Fukai, Naomi; Matsushima, Yoshiharu; Yamamoto, Kiyotaka (setembro de 1997). «Increase in Elastin Gene Expression and Protein Synthesis in Arterial Smooth Muscle Cells Derived From Patients with Moyamoya Disease». Stroke (9): 1733–1738. ISSN 0039-2499. doi:10.1161/01.str.28.9.1733. Consultado em 9 de junho de 2023
  36. 1 2 3 4 TAKAGI, Yasushi; KIKUTA, Ken-ichiro; NOZAKI, Kazuhiko; HASHIMOTO, Nobuo (2007). «Histological Features of Middle Cerebral Arteries From Patients Treated for Moyamoya Disease». Neurologia medico-chirurgica (1): 1–4. ISSN 0470-8105. doi:10.2176/nmc.47.1. Consultado em 9 de junho de 2023
  37. Soriano, Sulpicio G.; Cowan, Douglas B.; Proctor, Mark R.; Scott, R. Michael (março de 2002). «Levels of Soluble Adhesion Molecules Are Elevated in the Cerebrospinal Fluid of Children with Moyamoya Syndrome». Neurosurgery (3): 544–549. ISSN 0148-396X. doi:10.1227/00006123-200203000-00022. Consultado em 9 de junho de 2023
  38. Bonduel, Mariana; Hepner, Mirta; Sciuccati, Gabriela; Torres, Aurora Feliú; Tenembaum, Silvia (agosto de 2001). «Prothrombotic Disorders in Children With Moyamoya Syndrome». Stroke (8): 1786–1792. ISSN 0039-2499. doi:10.1161/01.str.32.8.1786. Consultado em 9 de junho de 2023
  39. 1 2 3 4 Kuroda, Satoshi; Houkin, Kiyohiro (novembro de 2008). «Moyamoya disease: current concepts and future perspectives». The Lancet Neurology (11): 1056–1066. ISSN 1474-4422. doi:10.1016/s1474-4422(08)70240-0. Consultado em 9 de junho de 2023
  40. 1 2 Fukui, Masashi; Kono, Shinji; Sueishi, Katsuo; Ikezaki, Kiyonobu (setembro de 2000). «Moyamoya disease». Neuropathology (s1): 61–64. ISSN 0919-6544. doi:10.1046/j.1440-1789.2000.00300.x. Consultado em 9 de junho de 2023
  41. Osanai, Toshiya; Kuroda, Satoshi; Nakayama, Naoki; Yamauchi, Tomohiro; Houkin, Kiyohiro; Iwasaki, Yoshinobu (fevereiro de 2008). «Moyamoya disease presenting with subarachnoid hemorrhage localized over the frontal cortex: case report». Surgical Neurology (2): 197–200. ISSN 0090-3019. doi:10.1016/j.surneu.2007.01.070. Consultado em 9 de junho de 2023
  42. Ge, Peicong; Ye, Xun; Zhang, Qian; Liu, Xingju; Deng, Xiaofeng; Zhao, Meng; Wang, Jia; Wang, Rong; Zhang, Yan (outubro de 2020). «Clinical features, surgical treatment, and outcome of intracranial aneurysms associated with moyamoya disease». Journal of Clinical Neuroscience: 274–279. ISSN 0967-5868. doi:10.1016/j.jocn.2020.09.006. Consultado em 9 de junho de 2023
  43. 1 2 Yamashita, M; Oka, K; Tanaka, K (janeiro de 1983). «Histopathology of the brain vascular network in moyamoya disease.». Stroke (1): 50–58. ISSN 0039-2499. doi:10.1161/01.str.14.1.50. Consultado em 9 de junho de 2023
  44. 1 2 KAWAI, MIE; NISHIKAWA, TOSHIO; TANAKA, MASATO; ANDO, AKIKO; KASAJIMA, TAKESHI; HIGA, TAKASHI; TANIKAWA, TATSUYA; KAGAWA, MIZUO; MOMMA, KAZUO (fevereiro de 1993). «An autopsied case of Williams syndrome complicated by moyamoya disease». Pediatrics International (1): 63–67. ISSN 1328-8067. doi:10.1111/j.1442-200x.1993.tb03009.x. Consultado em 9 de junho de 2023
  45. 1 2 Amino, Akiyoshi; Nagasaka, Takamura; Shindo, Kazumasa; Tsunoda, Shin-ichi; Shiozawa, Zenji (janeiro de 1995). «Effect of thyrotropin-releasing hormone on post-prandial hypotension in three cases of multiple system atrophy (Shy-Drager syndrome)». Journal of the Autonomic Nervous System (3). 380 páginas. ISSN 0165-1838. doi:10.1016/s0165-1838(95)90124-8. Consultado em 9 de junho de 2023
  46. Coakham, H M; Duchen, L W; Scaravilli, F (1 de abril de 1979). «Moya-moya disease: clinical and pathological report of a case with associated myopathy.». Journal of Neurology, Neurosurgery & Psychiatry (4): 289–297. ISSN 0022-3050. doi:10.1136/jnnp.42.4.289. Consultado em 9 de junho de 2023
  47. Kono, S; Oka, K; Sueishi, K (julho de 1990). «Histopathologic and morphometric studies of leptomeningeal vessels in moyamoya disease.». Stroke (7): 1044–1050. ISSN 0039-2499. doi:10.1161/01.str.21.7.1044. Consultado em 9 de junho de 2023
  48. Takagi, Yasushi; Kikuta, Ken-ichiro; Nozaki, Kazuhiko; Fujimoto, Motoaki; Hayashi, Junya; Imamura, Hirotoshi; Hashimoto, Nobuo (fevereiro de 2007). «EXPRESSION OF HYPOXIA-INDUCING FACTOR-1α AND ENDOGLIN IN INTIMAL HYPERPLASIA OF THE MIDDLE CEREBRAL ARTERY OF PATIENTS WITH MOYAMOYA DISEASE». Neurosurgery (2): 338–345. ISSN 0148-396X. doi:10.1227/01.neu.0000249275.87310.ff. Consultado em 9 de junho de 2023
  49. KWAK, Ryungchan; ITO, Shotaro; YAMAMOTO, Nobutaka; KADOYA, Satoru (1984). «Significance of Intracranial Aneurysms Associated with Moyamoya Disease (Part I)». Neurologia medico-chirurgica (2): 97–103. ISSN 0470-8105. doi:10.2176/nmc.24.97. Consultado em 9 de junho de 2023
  50. KWAK, Ryungchan; EMORI, Takumi; NAKAMURA, Tsutomu; KADOYA, Satoru (1984). «Significance of Intracranial Aneurysms Associated with Moyamoya Disease (Part II)». Neurologia medico-chirurgica (2): 104–109. ISSN 0470-8105. doi:10.2176/nmc.24.104. Consultado em 9 de junho de 2023
  51. Herreman, Fernando; Nathal, Edgar; Yasui, Nobuyuki; Yonekawa, Yasuhiro (1994). «Intracranial Aneurysms in Moyamoya Disease: Report of Ten Cases and Review of the Literature». Cerebrovascular Diseases (5): 329–336. ISSN 1015-9770. doi:10.1159/000108503. Consultado em 9 de junho de 2023
  52. Kawaguchi, S.; Sakaki, T.; Morimoto, T.; Kakizaki, T.; Kamada, K. (novembro de 1996). «Characteristics of intracranial aneurysms associated with moyamoya disease». Acta Neurochirurgica (11): 1287–1294. ISSN 0001-6268. doi:10.1007/bf01411057. Consultado em 9 de junho de 2023
  53. 1 2 Ou, Phalla; Dupont, Peggy; Bonnet, Damien (20 de setembro de 2006). «Fibromuscular dysplasia as the substrate for systemic and pulmonary hypertension in the setting of Moya-Moya disease». Cardiology in the Young (5): 495–497. ISSN 1047-9511. doi:10.1017/s104795110600045x. Consultado em 9 de junho de 2023
  54. Ellison, P. H.; Largent, J. A.; Popp, A. J. (1 de julho de 1981). «Moya-Moya Disease Associated With Renal Artery Stenosis». Archives of Neurology (7): 467–467. ISSN 0003-9942. doi:10.1001/archneur.1981.00510070101025. Consultado em 9 de junho de 2023
  55. 1 2 Hoshimaru, Minoru; Kikuchi, Haruhiko (setembro de 1992). «Involvement of the External Carotid Arteries in Moyamoya Disease». Neurosurgery (3): 398???400. ISSN 0148-396X. doi:10.1097/00006123-199209000-00002. Consultado em 9 de junho de 2023
  56. «Guidelines for Diagnosis and Treatment of Moyamoya Disease (Spontaneous Occlusion of the Circle of Willis)». Neurologia medico-chirurgica (5): 245–266. 2012. ISSN 0470-8105. doi:10.2176/nmc.52.245. Consultado em 9 de junho de 2023
  57. Horn, Peter; Bueltmann, Eva; Buch, Christoph V.; Schmiedek, Peter (18 de maio de 2004). «Arterio-embolic ischemic stroke in children with moyamoya disease». Child's Nervous System (2): 104–107. ISSN 0256-7040. doi:10.1007/s00381-004-0962-y. Consultado em 9 de junho de 2023
  58. 1 2 3 4 Kim, Seung-Ki; Cho, Byung-Kyu; Phi, Ji Hoon; Lee, Ji Yeoun; Chae, Jong Hee; Kim, Ki Joong; Hwang, Yong-Seung; Kim, In-One; Lee, Dong Soo (20 de janeiro de 2010). «Pediatric moyamoya disease: An analysis of 410 consecutive cases». Annals of Neurology (1): 92–101. ISSN 0364-5134. doi:10.1002/ana.21981. Consultado em 9 de junho de 2023
  59. Kim, J-M; Lee, S-H; Roh, J-K (1 de maio de 2008). «Changing ischaemic lesion patterns in adult moyamoya disease». Journal of Neurology, Neurosurgery & Psychiatry (1): 36–40. ISSN 0022-3050. doi:10.1136/jnnp.2008.145078. Consultado em 9 de junho de 2023
  60. Hishikawa, Tomohito; Tokunaga, Koji; Sugiu, Kenji; Date, Isao (outubro de 2013). «Assessment of the difference in posterior circulation involvement between pediatric and adult patients with moyamoya disease». Journal of Neurosurgery (4): 961–965. ISSN 0022-3085. doi:10.3171/2013.6.jns122099. Consultado em 9 de junho de 2023
  61. Lee, Ji Yeoun; Kim, Seung-Ki; Phi, Ji Hoon; Wang, Kyu-Chang (2015). «Posterior Cerebral Artery Insufficiency in Pediatric Moyamoya Disease». Journal of Korean Neurosurgical Society (6). 436 páginas. ISSN 2005-3711. doi:10.3340/jkns.2015.57.6.436. Consultado em 9 de junho de 2023
  62. Miyatake, S.; Miyake, N.; Touho, H.; Nishimura-Tadaki, A.; Kondo, Y.; Okada, I.; Tsurusaki, Y.; Doi, H.; Sakai, H. (13 de março de 2012). «Homozygous c.l4576G>A variant of RNF213 predicts early-onset and severe form of moyamoya disease». Neurology (11): 803–810. ISSN 0028-3878. doi:10.1212/wnl.0b013e318249f71f. Consultado em 9 de junho de 2023
  63. Cho, H. J.; Jung, Y. H.; Kim, Y. D.; Nam, H. S.; Kim, D. S.; Heo, J. H. (28 de junho de 2010). «The different infarct patterns between adulthood-onset and childhood-onset moyamoya disease». Journal of Neurology, Neurosurgery & Psychiatry (1): 38–40. ISSN 0022-3050. doi:10.1136/jnnp.2009.181487. Consultado em 9 de junho de 2023
  64. 1 2 Chiu, David; Shedden, Peter; Bratina, Patti; Grotta, James C. (julho de 1998). «Clinical Features of Moyamoya Disease in the United States». Stroke (7): 1347–1351. ISSN 0039-2499. doi:10.1161/01.str.29.7.1347. Consultado em 9 de junho de 2023
  65. Nah, Hyun-Wook; Kwon, Sun U.; Kang, Dong-Wha; Ahn, Jae-Sung; Kwun, Byung-Duk; Kim, Jong S. (julho de 2012). «Moyamoya Disease-Related Versus Primary Intracerebral Hemorrhage». Stroke (7): 1947–1950. ISSN 0039-2499. doi:10.1161/strokeaha.112.654004. Consultado em 9 de junho de 2023
  66. Kikuta, Ken-ichiro; Takagi, Yasushi; Nozaki, Kazuhiko; Sawamoto, Nobukatsu; Fukuyama, Hidenao; Hashimoto, Nobuo (janeiro de 2008). «THE PRESENCE OF MULTIPLE MICROBLEEDS AS A PREDICTOR OF SUBSEQUENT CEREBRAL HEMORRHAGE IN PATIENTS WITH MOYAMOYA DISEASE». Neurosurgery (1): 104–112. ISSN 0148-396X. doi:10.1227/01.neu.0000311067.41239.e6. Consultado em 9 de junho de 2023
  67. 1 2 Sun, Wen; Yuan, Cuiping; Liu, Wenhua; Li, Yongkun; Huang, Zhixin; Zhu, Wusheng; Li, Min; Xu, Gelin; Liu, Xinfeng (2013). «Asymptomatic Cerebral Microbleeds in Adult Patients with Moyamoya Disease: A Prospective Cohort Study with 2 Years of Follow-Up». Cerebrovascular Diseases (5): 469–475. ISSN 1015-9770. doi:10.1159/000350203. Consultado em 9 de junho de 2023
  68. Yilmaz, Engin Y.; Pritz, Michael B.; Bruno, Askiel; Lopez-Yunez, Alfredo; Biller, José (1 de agosto de 2001). «Moyamoya». Archives of Neurology (8). 1274 páginas. ISSN 0003-9942. doi:10.1001/archneur.58.8.1274. Consultado em 9 de junho de 2023
  69. Hallemeier, Christopher L.; Rich, Keith M.; Grubb, Robert L.; Chicoine, Michael R.; Moran, Christopher J.; Cross, DeWitte T.; Zipfel, Gregory J.; Dacey, Ralph G.; Derdeyn, Colin P. (junho de 2006). «Clinical Features and Outcome in North American Adults With Moyamoya Phenomenon». Stroke (6): 1490–1496. ISSN 0039-2499. doi:10.1161/01.str.0000221787.70503.ca. Consultado em 9 de junho de 2023
  70. Ikezaki, Kiyonobu; Matsushima, Toshio; Kuwabara, Yasuo; Suzuki, Satoshi O.; Nomura, Tomojiro; Fukui, Masashi (dezembro de 1994). «Cerebral circulation and oxygen metabolism in childhood moyamoya disease: a perioperative positron emission tomography study». Journal of Neurosurgery (6): 843–850. ISSN 0022-3085. doi:10.3171/jns.1994.81.6.0843. Consultado em 9 de junho de 2023
  71. Imaizumi, Ch.; Imaizumi, T.; Osawa, M.; Fukuyama, Y.; Takeshita, M. (dezembro de 1999). «Serial Intelligence Test Scores in Pediatric Moyamoya Disease». Neuropediatrics (06): 294–299. ISSN 0174-304X. doi:10.1055/s-2007-973508. Consultado em 9 de junho de 2023
  72. 1 2 3 Seol, Ho Jun; Wang, Kyu-Chang; Kim, Seung-Ki; Hwang, Yong-Seung; Kim, Ki Joong; Cho, Byung-Kyu (novembro de 2005). «Headache in pediatric moyamoya disease: review of 204 consecutive cases». Journal of Neurosurgery: Pediatrics (5): 439–442. ISSN 1933-0707. doi:10.3171/ped.2005.103.5.0439. Consultado em 9 de junho de 2023
  73. 1 2 Olesen, Jes; Friberg, Lars; Olsen, Tom Skyhøj; Andersen, Allan Renard; Lassen, Niels A.; Hansen, Per Evald; Karle, Agnete (1993). «Ischaemia-induced (symptomatic) migraine attacks may be more frequent than migraine-induced ischaemic insults». Brain (1): 187–202. ISSN 0006-8950. doi:10.1093/brain/116.1.187. Consultado em 9 de junho de 2023
  74. Park-Matsumoto, Y. C.; Tazawa, T.; Shimizu, J. (29 de janeiro de 2009). «Migraine with aura-like headache associated with moyamoya disease». Acta Neurologica Scandinavica (2): 119–121. ISSN 0001-6314. doi:10.1111/j.1600-0404.1999.tb01050.x. Consultado em 9 de junho de 2023
  75. Baik, Jong Sam; Lee, Myung Sik (14 de maio de 2010). «Movement disorders associated with moyamoya disease: A report of 4 new cases and a review of literatures». Movement Disorders (10): 1482–1486. ISSN 0885-3185. doi:10.1002/mds.23130. Consultado em 9 de junho de 2023
  76. Kim, Seung-Ki; Seol, Ho Jun; Cho, Byung-Kyu; Hwang, Yong-Seung; Lee, Dong Soo; Wang, Kyu-Chang (abril de 2004). «Moyamoya Disease among Young Patients: Its Aggressive Clinical Course and the Role of Active Surgical Treatment». Neurosurgery (4): 840–846. ISSN 0148-396X. doi:10.1227/01.neu.0000114140.41509.14. Consultado em 9 de junho de 2023
  77. Acker, G.; Goerdes, S.; Schneider, U. C.; Schmiedek, P.; Czabanka, M.; Vajkoczy, P. (6 de abril de 2015). «Distinct clinical and radiographic characteristics of moyamoya disease amongst European Caucasians». European Journal of Neurology (6): 1012–1017. ISSN 1351-5101. doi:10.1111/ene.12702. Consultado em 9 de junho de 2023
  78. Kaku, Yasuyuki; Morioka, Motohiro; Ohmori, Yuki; Kawano, Takayuki; Kai, Yutaka; Fukuoka, Hirofumi; Hirai, Toshinori; Yamashita, Yasuyuki; Kuratsu, Jun-ichi (31 de agosto de 2012). «Outer-diameter narrowing of the internal carotid and middle cerebral arteries in moyamoya disease detected on 3D constructive interference in steady-state MR image: is arterial constrictive remodeling a major pathogenesis?». Acta Neurochirurgica (12): 2151–2157. ISSN 0001-6268. doi:10.1007/s00701-012-1472-4. Consultado em 9 de junho de 2023
  79. Yuan, Min; Liu, Zhi-qiang; Wang, Zhi-qiang; Li, Bin; Xu, Li-jun; Xiao, Xin-lan (janeiro de 2015). «High-resolution MR imaging of the arterial wall in moyamoya disease». Neuroscience Letters: 77–82. ISSN 0304-3940. doi:10.1016/j.neulet.2014.10.021. Consultado em 9 de junho de 2023
  80. Ryoo, Sookyung; Cha, Jihoon; Kim, Suk Jae; Choi, Jin Wook; Ki, Chang-Seok; Kim, Keon Ha; Jeon, Pyoung; Kim, Jong-Soo; Hong, Seung-Chyul (agosto de 2014). «High-Resolution Magnetic Resonance Wall Imaging Findings of Moyamoya Disease». Stroke (8): 2457–2460. ISSN 0039-2499. doi:10.1161/strokeaha.114.004761. Consultado em 9 de junho de 2023
  81. 1 2 Kikuta, Ken-ichiro. «Experiences using 3-tesla magnetic resonance imaging in the treatment of Moyamoya disease». Vienna: Springer Vienna: 123–126. ISBN 978-3-211-76588-3. Consultado em 10 de junho de 2023
  82. 1 2 3 4 5 6 Masuda, Junichi; Ogata, Jun; Yamaguchi, Takenori (2004). «Moyamoya Disease». Elsevier: 603–618. Consultado em 10 de junho de 2023
  83. Suzuki, Jiro (1 de março de 1969). «Cerebrovascular "Moyamoya" Disease». Archives of Neurology (3). 288 páginas. ISSN 0003-9942. doi:10.1001/archneur.1969.00480090076012. Consultado em 10 de junho de 2023
  84. 1 2 Shimizu, Hiroaki; Shirane, Reizo; Fujiwara, Satoru; Takahashi, Akira; Yoshimoto, Takashi (outubro de 1997). «Proton magnetic resonance spectroscopy in children with Moyamoya disease». Clinical Neurology and Neurosurgery: S64–S67. ISSN 0303-8467. doi:10.1016/s0303-8467(97)00059-0. Consultado em 10 de junho de 2023
  85. NAGAMACHI, S.; NISHIKAWA, T.; ONO, S.; AGETA, M.; MATSUO, T.; JINNOUCHI, S.; HOSHI, H.; OHNISHI, T.; FUTAMI, S. (junho de 1994). «Regional cerebral blood flow in diabetic patients». Nuclear Medicine Communications (6): 455–460???460. ISSN 0143-3636. doi:10.1097/00006231-199406000-00010. Consultado em 10 de junho de 2023
  86. Kuwabara, Yasuo; Ichiya, Yuichi; Sasaki, Masayuki; Yoshida, Tsuyoshi; Masuda, Kouji; Matsushima, Toshio; Fukui, Masashi (abril de 1997). «Response to Hypercapnia in Moyamoya Disease». Stroke (4): 701–707. ISSN 0039-2499. doi:10.1161/01.str.28.4.701. Consultado em 10 de junho de 2023
  87. 1 2 Iwama, Toru; Akiyama, Yoshinori; Morimoto, Masafumi; Kojima, Akio; Hayashida, Kohei (novembro de 1998). «Comparison of positron emission tomography study results of cerebral hemodynamics in patients with bleeding- and ischemic-type moyamoya disease». Neurosurgical Focus (5): E5. ISSN 1092-0684. doi:10.3171/foc.1998.5.5.6. Consultado em 10 de junho de 2023
  88. 1 2 3 Nariai, T (1 de maio de 2005). «Severe haemodynamic stress in selected subtypes of patients with moyamoya disease: a positron emission tomography study». Journal of Neurology, Neurosurgery & Psychiatry (5): 663–666. ISSN 0022-3050. doi:10.1136/jnnp.2003.025049. Consultado em 10 de junho de 2023
  89. «Failure of Extracranial–Intracranial Arterial Bypass to Reduce the Risk of Ischemic Stroke». New England Journal of Medicine (19): 1191–1200. 7 de novembro de 1985. ISSN 0028-4793. doi:10.1056/nejm198511073131904. Consultado em 10 de junho de 2023
  90. 1 2 Adams, Harold P.; Powers, William J.; Grubb, Robert L.; Clarke, William R.; Woolson, Robert F. (julho de 2001). «Preview of a New Trial of Extracranial-to-Intracranial Arterial Anastomosis: The Carotid Occlusion Surgery Study». Neurosurgery Clinics of North America (3): 613–624. ISSN 1042-3680. doi:10.1016/s1042-3680(18)30047-0. Consultado em 10 de junho de 2023
  91. HOUKIN, Kiyohiro; YOSHIMOTO, Tetsuyuki; KURODA, Satoshi; ISHIKAWA, Tatsuya; TAKAHASHI, Akihiro; ABE, Hiroshi (1996). «Angiographic Analysis of Moyamoya Disease —How Does Moyamoya Disease Progress?—». Neurologia medico-chirurgica (11): 783–788. ISSN 0470-8105. doi:10.2176/nmc.36.783. Consultado em 10 de junho de 2023
  92. Yamada, I; Suzuki, S; Matsushima, Y (julho de 1995). «Moyamoya disease: comparison of assessment with MR angiography and MR imaging versus conventional angiography.». Radiology (1): 211–218. ISSN 0033-8419. doi:10.1148/radiology.196.1.7784569. Consultado em 10 de junho de 2023
  93. Zimmerman, R.A.; Bilaniuk, L.T. (maio de 2007). «3T magnetic resonance arteriography in pediatric cerebrovascular disease». Journal of Neuroradiology (2): 95–100. ISSN 0150-9861. doi:10.1016/j.neurad.2007.01.128. Consultado em 10 de junho de 2023
  94. Lettau, M.; Sartor, K.; Heiland, S.; Hähnel, S. (17 de julho de 2008). «3T High-Spatial-Resolution Contrast-Enhanced MR Angiography of the Intracranial Venous System with Parallel Imaging». American Journal of Neuroradiology (1): 185–187. ISSN 0195-6108. doi:10.3174/ajnr.a1147. Consultado em 10 de junho de 2023
  95. Houkin, K; Aoki, T; Takahashi, A; Abe, H (novembro de 1994). «Diagnosis of moyamoya disease with magnetic resonance angiography.». Stroke (11): 2159–2164. ISSN 0039-2499. doi:10.1161/01.str.25.11.2159. Consultado em 10 de junho de 2023
  96. Kohama, Misaki; Fujimura, Miki; Mugikura, Shunji; Tominaga, Teiji (12 de junho de 2008). «Temporal change of 3-T magnetic resonance imaging/angiography during symptomatic cerebral hyperperfusion following superficial temporal artery–middle cerebral artery anastomosis in a patient with adult-onset moyamoya disease». Neurosurgical Review (4): 451–455. ISSN 0344-5607. doi:10.1007/s10143-008-0147-3. Consultado em 10 de junho de 2023
  97. Mandell, Daniel M.; Han, Jay S.; Poublanc, Julien; Crawley, Adrian P.; Stainsby, Jeff A.; Fisher, Joseph A.; Mikulis, David J. (julho de 2008). «Mapping Cerebrovascular Reactivity Using Blood Oxygen Level-Dependent MRI in Patients With Arterial Steno-occlusive Disease». Stroke (7): 2021–2028. ISSN 0039-2499. doi:10.1161/strokeaha.107.506709. Consultado em 10 de junho de 2023
  98. Deibler, A.R.; Pollock, J.M.; Kraft, R.A.; Tan, H.; Burdette, J.H.; Maldjian, J.A. (27 de março de 2008). «Arterial Spin-Labeling in Routine Clinical Practice, Part 1: Technique and Artifacts». American Journal of Neuroradiology (7): 1228–1234. ISSN 0195-6108. doi:10.3174/ajnr.a1030. Consultado em 10 de junho de 2023
  99. Calamante, F.; Ganesan, V.; Kirkham, F.J.; Jan, W.; Chong, W.K.; Gadian, D.G.; Connelly, A. (dezembro de 2001). «MR Perfusion Imaging in Moyamoya Syndrome». Stroke (12): 2810–2816. ISSN 0039-2499. doi:10.1161/hs1201.099893. Consultado em 10 de junho de 2023
  100. Tanaka, Yoji; Nariai, Tadashi; Nagaoka, Tsukasa; Akimoto, Hideaki; Ishiwata, Kiichi; Ishii, Kenji; Matsushima, Yoshiharu; Ohno, Kikuo (27 de julho de 2005). «Quantitative Evaluation of Cerebral Hemodynamics in Patients with Moyamoya Disease by Dynamic Susceptibility Contrast Magnetic Resonance Imaging—Comparison with Positron Emission Tomography». Journal of Cerebral Blood Flow & Metabolism (2): 291–300. ISSN 0271-678X. doi:10.1038/sj.jcbfm.9600187. Consultado em 10 de junho de 2023
  101. 1 2 Fukui, Masashi (fevereiro de 1997). «Current state of study on moyamoya disease in Japan». Surgical Neurology (2): 138–143. ISSN 0090-3019. doi:10.1016/s0090-3019(96)00358-8. Consultado em 10 de junho de 2023
  102. WANIFUCHI, Hiroshi; TAKESHITA, Mikihiko; IZAWA, Masahiro; AOKI, Nobuo; KAGAWA, Mizuo (1993). «Management of Adult Moyamoya Disease». Neurologia medico-chirurgica (5): 300–305. ISSN 0470-8105. doi:10.2176/nmc.33.300. Consultado em 10 de junho de 2023
  103. Reis, Cassius V. C.; Safavi-Abbasi, Sam; Zabramski, Joseph M.; Gusmão, Sebastião N. S.; Spetzler, Robert F.; Preul, Mark C. (junho de 2006). «The history of neurosurgical procedures for moyamoya disease». Neurosurgical Focus (6): 1–5. ISSN 1092-0684. doi:10.3171/foc.2006.20.6.7. Consultado em 10 de junho de 2023
  104. MIYAMOTO, Susumu; The Japan Adult Moyamoya Trial Group (2004). «Study Design for a Prospective Randomized Trial of Extracranial-Intracranial Bypass Surgery for Adults With Moyamoya Disease and Hemorrhagic Onset-The Japan Adult Moyamoya Trial Group-». Neurologia medico-chirurgica (4): 218–219. ISSN 0470-8105. doi:10.2176/nmc.44.218. Consultado em 10 de junho de 2023
  105. Fukui M, , Kono S, , Sueishi K, & Ikezaki K: Moyamoya disease. Neuropathology 20:Suppl S61–S64, 2000. (Fr)
  106. Fujimura M, , Kaneta T, & Tominaga T: Efficacy of superficial temporal artery-middle cerebral artery anastomosis with routine postoperative cerebral blood flow measurement during the acute stage in childhood moyamoya disease. Childs Nerv Syst 24:827–832, 2008
  107. The EC/IC Bypass Study Group: Failure of extracranial-intracranial arterial bypass to reduce the risk of ischemic stroke. Results of an international randomized trial. N Engl J Med 313:1191–1200, 1985
  108. Mesiwala AH, , Sviri G, , Fatemi N, , Britz GW, & Newell DW: Long-term outcome of superficial temporal artery-middle cerebral artery bypass for patients with moyamoya disease in the US. Neurosurg Focus 24:2 E15, 2008
  109. Okada Y, , Shima T, , Nishida M, , Yamane K, , Yamada T, & Yamanaka C: Effectiveness of superficial temporal artery-middle cerebral artery anastomosis in adult moyamoya disease: cerebral hemodynamics and clinical course in ischemic and hemorrhagic varieties. Stroke 29:625–630, 1998
  110. Vilela MD, & Newell DW: Superficial temporal artery to middle cerebral artery bypass: past, present, and future. Neurosurg Focus 24:2 E2, 2008
  111. Fujii, K; lkezaki, K; Irikura, K; Miyasaka, Y; Fukui, M (outubro de 1997). «The efficacy of bypass surgery for the patients with hemorrhagic Moyamoya disease». Clinical Neurology and Neurosurgery: S194–S195. ISSN 0303-8467. doi:10.1016/s0303-8467(97)00078-4. Consultado em 10 de junho de 2023
  112. 1 2 3 Yoshida, Yasuko; Yoshimoto, Takashi; Shirane, Reizo; Sakurai, Yoshiharu (novembro de 1999). «Clinical Course, Surgical Management, and Long-Term Outcome of Moyamoya Patients With Rebleeding After an Episode of Intracerebral Hemorrhage». Stroke (11): 2272–2276. ISSN 0039-2499. doi:10.1161/01.str.30.11.2272. Consultado em 10 de junho de 2023
  113. 1 2 Kawaguchi, Shoichiro; Okuno, Shuzo; Sakaki, Toshisuke (setembro de 2000). «Effect of direct arterial bypass on the prevention of future stroke in patients with the hemorrhagic variety of moyamoya disease». Journal of Neurosurgery (3): 397–401. ISSN 0022-3085. doi:10.3171/jns.2000.93.3.0397. Consultado em 10 de junho de 2023
  114. Suyama, Kazuhiko; Yoshida, Koichi; Takahata, Hideaki; Toda, Keisuke; Baba, Hiroshi; Ishikawa, Yasunari; Hirose, Makoto; Nagata, Izumi (março de 2008). «Pediatric moyamoya disease presenting with intracerebral hemorrhage—Report of three cases and review of the literature». Clinical Neurology and Neurosurgery (3): 270–275. ISSN 0303-8467. doi:10.1016/j.clineuro.2007.10.006. Consultado em 10 de junho de 2023
  115. Shulgina, A.A.; Lukshin, V.A.; Usachev, D.Yu.; Korshunov, A.E.; Belousova, O.B.; Pronin, I.N. (2021). «Combined cerebral revascularization for moyamoya disease». Voprosy neirokhirurgii imeni N.N. Burdenko (2). 47 páginas. ISSN 0042-8817. doi:10.17116/neiro20218502147. Consultado em 10 de junho de 2023
  116. Woitzik, Johannes; Horn, Peter; Vajkoczy, Peter; Schmiedek, Peter (abril de 2005). «Intraoperative control of extracranial—intracranial bypass patency by near-infrared indocyanine green videoangiography». Journal of Neurosurgery (4): 692–698. ISSN 0022-3085. doi:10.3171/jns.2005.102.4.0692. Consultado em 10 de junho de 2023
  117. Predictors of clinical or cerebral lesion progression in adult moyamoya angiopathy. Hervé D, Ibos-Augé N, Calvière L, et al. Neurology. 2019;93:388–397.
  118. Moyamoya disease: a review of clinical research. Hishikawa T, Sugiu K, Date I. Acta Med Okayama. 2016;70:229–236.
  119. Effects of extracranial-intracranial bypass for patients with hemorrhagic moyamoya disease: results of the Japan Adult Moyamoya Trial. Miyamoto S, Yoshimoto T, Hashimoto N, et al. Stroke. 2014;45:1415–1421.
  120. Effect of surgery on the long-term functional outcome of moyamoya disease: a meta-analysis. Yao Z, You C. Turk Neurosurg. 2019;29:171–179.