Colpocefalia


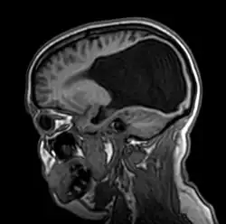
A colpocefalia é um trastorno no qual se evidencia um crescimento anormal dos sulcos ocipitais - a porção posterior dos ventrículos laterais (as cavidades ou compartimentos) do cérebro. Este crescimento anormal ocorre quando ocorre um subdesenvolvimento ou uma falta de espessamento na substância branca do cérebro posterior. A microcefalia (cabeça anormalmente pequena) e o retardo mental são característicos de uma colpocefalia. Outras condições incluem anormalidades motoras, espasmos musculares e convulsões. Ainda que a causa seja desconhecida, os pesquisadores acham que o trastorno resulta de um problema intrauterino que ocorre entre o segundo e sexto mês de gravidez. A colpocefalia pode-se diagnosticar numa fase avançada da gravidez, ainda que com freqüência se diagnostica erroneamente como hidrocefalia (um acúmulo excessivo do líquido cerebroespinhal no cérebro). Pode ser diagnosticada mais exatamente após o nascimento quando se evidenciam mostras de atraso mental, microcefalia e convulsões. Não há tratamento definitivo para a colpocefalia. Medicamentos anticonvulsivos podem-se administrar para prevenir convulsões e os médicos costumam prevenir contraturas (a contração ou encurtamento dos músculos). O prognóstico para os indivíduos com colpocefalia depende da gravidade das condições associadas e do grau de desenvolvimento anormal do cérebro. A educação especial pode beneficiar a alguns meninos.