Coloração de Field

Coloração de Field é um método histológico para coloração de esfregaços de sangue. É utilizada para a coloração de esfregaços de sangue espesso, a fim de descobrir parasitas da malária.[1] A coloração de Field é uma versão da coloração de Romanowsky, usada para o processamento rápido dos espécimes.[2]
A coloração de Field usa azul de metileno e Azure 1 dissolvidos em solução tampão de fosfato e Eosina Y em solução tampão. A coloração de Field é nomeado devido ao médico John William Field, que a desenvolveu em 1941.[3]
Soluções corantes
A partir dos reagentes
Preparação das soluções 1 (ou A) e 2 (ou B) da coloração de Field a partir dos reagentes:[4]
Solução de Field 1 (ou A)
- Dissolver 1,6 g de azul de metileno em um litro de água destilada.
- Dissolver 2,6 g de Na2HPO4 (anidro) na solução do passo 1.
- Dissolver 1 g de azure 1 na solução do passo 2.
- Dissolver 2,6 g de KH2PO4 na solução do passo 3.
- Coloque a solução resultante sob aquecimento moderado (sem fervura) com agitação por 45 minutos a 1 hora,
- Deixe a solução descansar em temperatura ambiente por 24 horas.
- Filtre. Envase em frasco de vidro âmbar anotando a data de preparação.
Solução de Field 2 (ou B)
- Dissolver 2 g de eosina Y em um litro de água destilada.
- Dissolver 2,6 g de Na2HPO4 (anidro) na solução do passo 1.
- Dissolver 2,6 g de KH2PO4 na solução do passo 2.
- Filtre. Envase em frasco de vidro âmbar anotando a data de preparação.
A partir de misturas corantes prontas
Preparação da solução corante de Field 1 (ou A) e 2 (ou B) utilizando a mistura corante em pó comercialmente disponível.[5]
Solução de Field 1 (ou A)
- Pesa-se corante de Field 1 (ou A) em pó: 5 gramas
- Aquece-se 600 mL de água destilada a 80 ° C ou manteve-se a 60 ° C durante 30 minutos.
- Mistura-se o pó na água quente até se dissolver.
- Filtra-se a solução. Envase em frasco de vidro âmbar anotando a data de preparação.
Solução de Field 2 (ou B)
- Pesa-se corante de Field 2 (ou B) em pó: 4,8 gramas
- Aquece-se 600 mL de água destilada a 80 ° C ou manteve-se a 60 ° C durante 30 minutos.
- Mistura-se o pó na água quente até se dissolver.
- Filtra-se a solução. Envase em frasco de vidro âmbar anotando a data de preparação.
Solução A (ingredientes por litro de metanol)
- Fosfato dissódico 2,6 g
- Fosfato monopotássico 2,6 g
- Azul de metileno 1,6 g
- Azure I (Azure B) 1,6 g
Solução B (ingredientes por litro de metanol)
- Eosin Y 2,0 g
Protocolos de coloração
Protocolo de coloração para esfregaços sanguíneos [9]
- Preencher duas cubas de coloração ou outro frasco de boca larga adequado com, respectivamente:
- 1.1.Solução de Field A (corante azul).
- 1.2.Solução de Field B (corante vermelho).
- Faça o esfregaço sanguíneo sobre uma lâmina para microscopia e seque ao ar.
- Fixe em metanol por um minuto ou com a aplicação de algum fixador em spray.
- Seque ao ar.
- Mergulhe o esfregaço na solução corante de Field B (corante vermelho) por 5 a 6 segundos (este tempo, com a prática, pode ser ajustado).
- Lavar em água de torneira corrente.
- Mergulhe o esfregaço na solução corante de Field A (corante azul) por 10 a 30 segundos (este tempo, com a prática, pode ser ajustado).
- Lavar novamente em água de torneira corrente.
- Secar ao ar e o esfregaço está pronto para o exame ao microscópio.
Variação com coloração direta sobre a lâmina [10]
- Fixe o esfregaço em metanol anidro por um minuto. Deixe secar por evaporação.
- Dilua a solução corante de Field B na proporção de 1:5 com água tamponada com pH levemente alcalino.
- Cubra o esfregaço com a solução corante Field B diluída.
- Imediatamente, adicione um volume igual de solução de Field A.
- Misture por meio de inclinações alternadas da lâmina e deixe corar por um minuto.
- Lave a solução corante com água com cuidado.
- Limpe a superfície inferior da lâmina e deixe secar ao ar a preparação.
Protocolo para protozoários em esfregaços fecais [11]
Prepare uma diluição em pequena quantidade da solução corante B (vermelho) diluída a uma parte para 4 com água (por exemplo, 1 mL de corante para 4 mL de água).
- Prepare um esfregaço fecal fino na lâmina e seque ao ar.
- Fixe em metanol por alguns minutos.
- Remova o metanol e cubra o esfregaço com 1 mL (aproximadamente 20 gotas) da solução corante B diluída recentemente preparada.
- Imediatamente, adicione 1 mL (novamente, aproximadamente 20 gotas) da solução corante A e deixe misturar cuidadosamente os dois corantes.
- Permita que a coloração ocorra por um período de tempo de 1 a 2 minutos e lave cuidadosamente com água e seque ao ar.
Núcleos e flagelos são coloridos de vermelho, citoplasma em azul. Alterações morfológicas de células inflamatórias podem ser também examinadas por aplicação deste mesmo método.
Imagens adicionais
Adenocarcinoma colorretal. Coloração de Field.
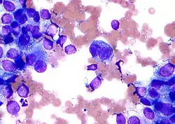
Granuloma. Coloração de Field.
Referências
- ↑ Philip Bejon, Laura Andrews, Angela Hunt-Cooke, Frances Sanderson, Sarah C Gilbert and Adrian VS Hill; Thick blood film examination for Plasmodium falciparum malaria has reduced sensitivity and underestimates parasite density; Malar J. 2006; 5: 104. doi: 10.1186/1475-2875-5-104 - PMCID: PMC1636647
- ↑ Chunge, CN.; Ngige, S.; Bwibo, CR.; Mulega, PC.; Kilonzo, JF.; Kibati, F.; Owate, J. (agosto de 1989). «A rapid staining technique for Leishmania parasites in splenic aspirate smears.». Ann Trop Med Parasitol. 83 (4): 361–4. PMID 2481429
- ↑ «Obituaries» (PDF). Medical Journal of Malaysia. Junho de 1981. Consultado em 4 de maio de 2015
- ↑ Field's Stain Recipe - www.thelabrat.com
- ↑ Field’s stain A & Field’s stain B - www.applichem.com
- ↑ Pirehma, M., et al. 1999. Field's stain - a rapid staining method for Acanthamoeba spp. Parasitol. Res.; 85:791-793.
- ↑ Afzan, M.Y., et al. 2010. Modified Field's staining - a rapid stain for Trichomonas vaginalis. Diagn. Microbiol. Infect. Dis.; 68:159-162.
- ↑ MODIFIED FIELD'S STAIN KIT - catalog.hardydiagnostics.com
- ↑ Field Stain A and B and Preparation of the Solution - www.labpedia.net
- ↑ Ochei et al; Medical Laboratory Science: Theory And Practice; Tata McGraw-Hill Education, 2000. pg 963
- ↑ Gordon Charles Cook,Alimuddin Zumla; Manson's Tropical Diseases; Elsevier Health Sciences, 2009. - pg 1604
Ligações externas
- Field stain receipe - thelabrat.com; (uma formulação da coloração de Field)