Colite microscópica
| Colite microscópica | |
|---|---|
![]() | |
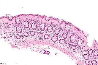
| Micrografia de colite colegenosa, um tipo de colite microscópica. | |
| Especialidade | gastrenterologia |
| Classificação e recursos externos | |
| CID-11 | DB33.1 |
| CID-10 | K52.8 |
| CID-9 | 558.9 |
| DiseasesDB | 30087 |
| eMedicine | med/1351 |
| MeSH | D046728 |
Colite microscópica refere-se a duas condições médicas que causam diarreia: colite colagenosa e colite linfocítica, caracterizadas pela seguinte tríada de características clinico-patológicas: diarreia aquosa crónica, colonoscopia normal, histopatologia característica (células inflamatórias).[1]
Referências
- ↑ eMedecine. «Collagenous and Lymphocytic Colitis». Consultado em 17 de novembro de 2014
