Cisto aracnoide
| Cisto aracnoide | |
|---|---|
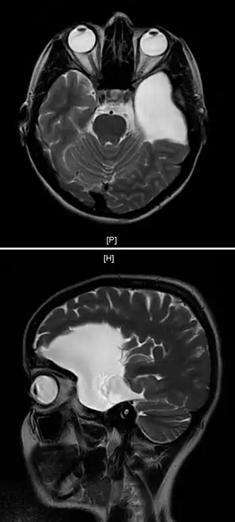
![]() | |
| Uma ressonância magnética de uma mulher de 25 anos com um cisto aracnoide no lobo frontal esquerdo. | |
| Especialidade | neurocirurgia |
| Classificação e recursos externos | |
| CID-11 | 8D67 |
| CID-10 | G93.0 |
| CID-9 | 348.0 |
| OMIM | 207790 |
| DiseasesDB | 33219 |
| eMedicine | radio/48 |
| MeSH | D016080 |
Cisto aracnoide é uma lesão congênita na membrana aracnoide que se expande com as secreções do líquido cefalorraquidiano. Corresponde aproximadamente a 1% de todas as lesões intracraniais nos adultos e a 3% nas crianças. Na distribuição do sexo é proeminente nos homens na relação de 3:1.
É um saco de líquido na membrana aracnóide que cobre o cérebro e a medula espinal. Há três membranas que cobrem as partes do sistema nervoso central: a dura-máter, a aracnoide e a pia-máter. Os cistos aracnoides aparecem na membrana aracnoide (espaço subaracnoide). Os lugares mais comuns dos cistos aracnoides intracraniais são na fossa média (perto do lobo temporal), na região da sela túrcica (perto do terceiro ventrículo) e na fossa posterior, com o cerebelo, o ponte, e a medula oblonga.
Morfologia
O cisto pode ser de vários tamanhos, de muito pequeno, sem efeito de massa ao muito grande, com um efeito de massa e a erosão do osso; alguns são estáveis, outros podem crescer e se expandir. Os lugares mais comuns são na fissura silviana e na fossa media do crânio (49% dos casos), a cisterna da sela túrcica (9%). Encontra-se uma porcentagem menor dentro dos ventrículos. Os cistos na medula espinal são muito raros.
Classificação
A classificação divide os cistos, os primeiros (congênitos) ou secundários (traumáticos ou de origem infecciosa). Os três tipos de cistos:
- Tipo I: são pequenos e assintomáticos;
- Tipo II: tem alguns efeito de massa, com erosões do osso;
- Tipo III: tem uma deformação de uma grande área do sistema nervoso central e dos ossos.
Na maioria dos casos, os cistos aracnoides não causam sintomas (assintomáticos). São comuns os casos onde há, dores de cabeça, tonturas e uma acumulação excessiva do fluido cérebro-espinhal no cérebro (hidrocéfalo). A causa exata do cisto aracnoide não é conhecida.
Eles são assintomáticos quando são pequenos, entretanto os cistos podem aumentar de tamanho, o que cria sintomas, especialmente se eles pressionam um nervo craniano, o cérebro, ou na medula espinal; quando eles são maiores, podem causar hipertensão intracranial, relacionada com o hidrocéfalo. Os cistos grandes podem desencadear tonturas e dores de cabeça.
Causas
A causa exata do cisto aracnoide ainda é desconhecida. O pesquisadores acreditam que a maior parte dos casos de cisto aracnoide são malformações que aparecem de inexplicáveis divisões ou rasgos na membrana aracnoide. De acordo com a literatura médica, casos de cistos aracnoides tem aparecidos em famílias sugerindo que uma predisposição genética pode ser causa no desenvolvimento de cistos aracnoides em alguns indivíduos.
Em alguns casos, os cistos aracnoides na fossa media são acompanhados de um «subdesenvolvimento» (hipoplasia) ou compressão do lobo temporal. O papel exato que as anormalidades no lobo temporal tem no desenvolvimento do cisto aracnoide é desconhecido.
Algumas complicações dos cistos aracnoides podem ocorrer quando um cisto é prejudicado por um trauma menor na cabeça. O trauma físico pode fazer com que o fluido do cisto vaze para outras áreas (por exemplo, o espaço subaracnoide). Os vasos sanguíneos da superfície do cisto podem partir-se e sangrar para dentro do cisto (hemorragia intracística), ocasionando o seu aumento. Se um vaso sanguíneo sangrar para fora do cisto, pode resultar em um hematoma. Nos casos de hemorragias intracisticas e hematomas, o indivíduo pode ter sintomas de aumento de pressão no crânio e sinais de compressão perto do tecido neural.
Os cistos aracnoides podem aparecer secundariamente a outras doenças como a síndrome de Marfan, aracnoidite, agenesis do corpo caloso. O diagnóstico do cisto aracnoide é freqüentemente acidental, principalmente durante o exame de pessoas com tonturas. Os cistos aracnoides são facilmente vistos nos exames de tomografia e na ressonância magnética da cabeça.
Sintomas
Alguns deles não causam sintomas e são descobertos por acaso num exame de tomografia da cabeça. Letargia, parestesia, disestesia e ataxia já foram relatadas. Os cistos aracnoides na medula espinal também estão associados com fraqueza progressiva das pernas, escoliose, dores na costas, espasmos nas pernas e, mais raramente, paralisia das pernas (paraplegia).
O cisto aracnoide também pode estar associado a um hematoma subdural, pois as veias conectoras que atravessam o espaço subaracnoíde são longas e frágeis.
Tratamento
Nenhum tratamento é necessário para o cisto aracnoide assintomático. Nos casos onde o tratamento é necessário, a terapia normalmente consiste na drenagem do cisto através de inserção cirúrgica de uma pequena válvula (shunt) para fornecer a passagem do fluido do cisto para um dos reservatórios de fluidos corporais. Isto reduz a pressão no cisto e pode prevenir a reincidência. Em alguns casos um procedimento cirúrgico mais invasivo pode ser necessário para diminuir o cisto aracnoide.
Se o espaço subaracnoíde ficar bloqueado por um cisto aracnoide, pode ser necessário colocar um shunt entre o ventrículo e o espaço entre as camadas da membrana que fica na cavidade do corpo (cavidade peritoneal). Isto irá liberar a obstrução e promoverá uma passagem adequada para o fluido cérebro-espinhal circular.
Se o cisto não está causando pressão no cérebro ou não existe sintomas, o tratamento normalmente não é necessário porque os cistos são benignos e nem sempre crescem. Novas ressonâncias podem ser necessárias para verificar se o cisto não esta crescendo. Dentre as opções de tratamento:
- Trepanação;
- Craniotomia;
- Shunt cisto-peritoneal.
Ver também
Referências
Ligações externas
- (em inglês)
.jpg)