Célula sustentacular
Célula sustentacular | |
|---|---|
| Subclasse de | célula |
| Cell Ontology | CL_0000703 |

A célula sustentacular é um tipo de célula associada principalmente a um suporte estrutural, podendo ser encontrada em diversos tecidos.[1]
- As células sustentaculares do epitélio olfatório (também chamadas de células de suporte) estão envolvidas na fagocitose de neurônios mortos,[2] na transformação de odorantes[3] e metabolização de xenobióticos.[4]
- Um tipo de célula sustentacular é a célula de Sertoli, no testículo. Ele está localizado nas paredes dos túbulos seminíferos e fornece nutrientes aos espermatozoides.[5] Eles são responsáveis pela diferenciação das espermátides, pela manutenção da barreira hemato-testicular e pela secreção de inibina, proteína de ligação a andrógenos e fator inibidor de Muller.
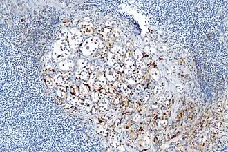
- Cerca de 40% dos tumores carcinoides apresentam dispersões de células sustentaculares, que se coram positivamente para S-100.[6]
Referências
- ↑ «Sustentacular cell - Biology-Online Dictionary | Biology-Online Dictionary». www.biology-online.org. Consultado em 18 de março de 2019
- ↑ Suzuki, Yuko; Takeda, Masako; Farbman, Albert I. (1996). «Supporting cells as phagocytes in the olfactory epithelium after bulbectomy». Journal of Comparative Neurology. 376: 509–517. ISSN 1096-9861. PMID 8978466. doi:10.1002/(sici)1096-9861(19961223)376:4<509::aid-cne1>3.0.co;2-5
- ↑ Heydel, Jean-Marie; Coelho, Alexandra; Thiebaud, Nicolas; Legendre, Arièle; Bon, Anne-Marie Le; Faure, Philippe; Neiers, Fabrice; Artur, Yves; Golebiowski, Jérôme (setembro de 2013). «Odorant-Binding Proteins and Xenobiotic Metabolizing Enzymes: Implications in Olfactory Perireceptor Events: Odorant-Binding Proteins and Metabolizing Enzymes». The Anatomical Record. 296: 1333–1345. PMID 23907783. doi:10.1002/ar.22735

- ↑ Zhuo, Xiaoliang; Gu, Jun; Behr, Melissa J.; Swiatek, Pam J.; Cui, Huadong; Zhang, Qing-Yu; Xie, Yingqiu; Collins, Doris N.; Ding, Xinxin (fevereiro de 2004). «Targeted Disruption of the Olfactory Mucosa-Specific Cyp2g1 Gene: Impact on Acetaminophen Toxicity in the Lateral Nasal Gland, and Tissue-Selective Effects on Cyp2a5 Expression». Journal of Pharmacology and Experimental Therapeutics. 308: 719–728. ISSN 0022-3565. PMID 14610229. doi:10.1124/jpet.103.060301
- ↑ Jones, Richard E.; Lopez, Kristin H. (2014). «The Male Reproductive System». Human Reproductive Biology. [S.l.: s.n.] pp. 67–83. ISBN 978-0-12-382184-3. doi:10.1016/B978-0-12-382184-3.00004-0
- ↑ Burke, AP; Sobin, LH; Federspiel, BH; Shekitka, KM (novembro de 1989). «Appendiceal carcinoids: correlation of histology and immunohistochemistry». Modern Pathology. 2: 630–7. PMID 2479945