Célula gigante de Langhans
Célula gigante de Langhans | |
|---|---|
| Subclasse de | macrófago, célula gigante, célula anormal |
| MeSH | D015744 |

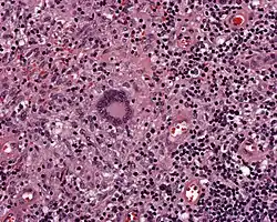
A célula gigante de Langhans ou célula de Langhans é um tipo celular encontrado em condições granulomatosas (granulomas).[1]
É formada pela fusão de células epitelióides (macrófagos) e caracterizada pela presença de vários núcleos arranjados ao redor da periferia celular.
Classicamente foi associada com a presença do granuloma da tuberculose, porém pode estar presente em infecções por outras micobactérias e mesmo em outras condições granulomatosas não associadas com infecção.
Referências
- ↑ «Tuberculose linfonodal: exemplo de inflamação crônica granulomatosa». UNICAMP. Consultado em 11 de maio de 2020