Célula de Paneth
Célula de Paneth | |
|---|---|
![]() | |
| Subclasse de | célula endoepitelial |
| Nomeada em referência a | Josef Paneth |
| Localização anatômica | intestino delgado |
| Cell Ontology | CL_0000510 |
| MeSH | D019879 |
| Foundational Model of Anatomy | 62897 |
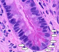
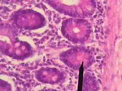
Celulas de Paneth são células do intestino delgado com função antibacteriana, antifúngica e antiviral. Possuem grânulos que contêm hidratos de carbono, proteínas e zinco radioactivos.[1] Vivem de 18 a 23 dias, enquanto as outras células do intestino vivem de 3 a 5 dias.
Localização
São encontradas de 5 a 12 células de Paneth no fundo das criptas de Lieberkühn no epitélio do intestino delgado de diversos animais, inclusive do homem. Também podem ser encontradas no apêndice. Costumam ficar próximas a células multipotentes, provavelmente para protegê-las, garantindo uma constante formação de novas células saudáveis.[1]
Secreção
Células de Paneth são estimuladas a secretar defensinas alfa entéricas (criptidina), lisozima e fosfolipase A2 quando expostas a ambos os tipos de bactérias (gram-positivas e gram-negativas) ou aos produtos bacterianos (como lipopolissacarídeos, dipeptídeos e lipídio A).[2]
Também produzem fator de necrose tumoral alfa, para destruir células possivelmente cancerígenas[3] e angiogenina 4, que também possui função antibacteriana e antifúngica. [4]
Referências
- 1 2 http://www.britannica.com/EBchecked/topic/441200/Paneths-cell
- ↑ http://www.vivo.colostate.edu/hbooks/pathphys/digestion/smallgut/paneth.html
- ↑ Kierszenbaum, Abraham L. (2002). Histology and cell biology : an introduction to pathology. St. Louis [u.a.]: Mosby. p. 434. ISBN 0-323-01639-1.
- ↑ http://gut.bmj.com/content/54/12/1802.full
