Blob (ser vivo)

Physarum polycephalum
Physarum polycephalum formando-se sobre um pedaço de árvore
Physarum polycephalum formando-se sobre um pedaço de árvore
Classificação científica
Domínio: Eukaryota
Reino: Protista
Filo: Mycetozoa
Classe: Myxogastria
Ordem: Physarales
Família: Physaraceae
Gênero: Physarum
Espécie: P. polycephalum
Nome binomial
Physarum polycephalum
The life cycle of Physarum polycephalum. The outer circuit illustrates the natural cycle alternating between the haploid amoebal stage and diploid plasmodial stage. The inner circuit illustrates the fully haploid "apogamic" life cycle. Both cycles exhibit all developmental stages.
O ciclo de vida de Physarum polycephalum. O circuito externo ilustra o ciclo natural alternando entre o estágio amebal haplóide e o estágio plasmodial diplóide. O circuito interno ilustra o ciclo de vida "apogâmico" totalmente haplóide. Ambos os ciclos exibem todos os estágios de desenvolvimento.

Blob (Physarum polycephalum), também conhecido como bolor limoso (embora não seja um fungo)[1], é um protista com diversas formas celulares e ampla distribuição geográfica. O apelido vem do clássico filme de terror The Blob (A Bolha Assassina) de 1988 sobre uma criatura pegajosa extraterrestre que devora tudo em seu caminho[1].

Era, até a década de 1990, considerado como pertencente ao reino Fungi, a partir de quando foi foi incluído aos mixomicetos, um grupo de protistas[1].

Durante estágio plasmodial do seu ciclo de vida esse organismo vivo é um sincício multinucleado (Physarum polycephalum quer dizer "bolor de várias cabeças"[1]) macroscópico amarelo brilhante. Esta fase do ciclo de vida, juntamente com a sua preferência por habitats sombrios úmidos, provavelmente contribuiu para a descaracterização original do organismo como um fungo. P. polycephalum é usado como um organismo modelo para pesquisas em motilidade, diferenciação celular, quimiotaxia, compatibilidade celular e ciclo celular.

Ciclo de vida e características

Os dois tipos de células vegetativas, amebas e plasmodia, diferem acentuadamente em morfologia, fisiologia e comportamento. As amebas são microorganismos, tipicamente haplóides, que vivem principalmente no solo, onde fagocitam as bactérias. No laboratório, as amebas são cultivadas em gramados vivos ou mortos de Escherichia coli, em placas de ágar de nutrientes, onde podem se multiplicar indefinidamente. A cultura axênica das amebas foi alcançada através da seleção de mutantes capazes de crescimento axênico.[2] Sob condições de inanição ou desidratação, as amebas se diferenciam reversivelmente em esporos adormecidos com paredes celulares. Quando imersas em água, as amebas se diferenciam reversivelmente em células flageladas, o que envolve uma grande reorganização do citoesqueleto.[3]

O plasmódio é tipicamente diplóide e se propaga através do crescimento e da divisão nuclear sem citocinese, resultando no sincício multinucleado macroscópico. Enquanto os nutrientes estiverem disponíveis, o plasmódio pode crescer até 30cm ou mais de diâmetro. Como as amebas, o plasmódio pode consumir micróbios inteiros, mas também cresce axenicamente em culturas líquidas, placas de ágar de nutrientes e em superfícies umedecidas com nutrientes. Quando os nutrientes são fornecidos de maneira uniforme, os núcleos no plasmódio se dividem de forma síncrona, respondendo pelo interesse em usar P. polycephalum como organismo modelo para estudar o ciclo celular, ou mais especificamente o ciclo de divisão nuclear.

Quando o plasmodium está morrendo de fome, ele tem duas vias alternativas de desenvolvimento. No escuro, o plasmódio normalmente se diferencia reversivelmente em um "esclerócio" adormecido (o mesmo termo é usado para formas adormecidas de micélios fúngicos,[4] mas o esclerotio mixomiceto é uma estrutura muito diferente). Quando exposto à luz, o plasmódio faminto diferencia-se irreversivelmente em esporângios que se distinguem de outras espécies de Physarum por suas múltiplas cabeças (daí o polycephalum ). A meiose ocorre durante o desenvolvimento dos esporos, resultando em esporos haplóides adormecidos. Após a exposição a condições de nutrientes úmidos, os esporos se transformam em amebas ou, em suspensão aquosa, em flagelados. O ciclo de vida é concluído quando amebas haplóides com diferentes tipos de acasalamento se fundem para formar um zigoto diplóide que se desenvolve por crescimento e divisão nuclear na ausência de citocinesia no plasmódio multinucleado.[5]

Em cepas de laboratório portadoras de uma mutação no locus do tipo acasalamento matA, a diferenciação de plasmodia de P. polycephalum pode ocorrer sem a fusão de amebas, resultando em plasmodia haplóide que é morfologicamente indistinguível da forma diplóide mais típica.[6] Isso permite a fácil análise genética de características plasmodiais que, de outra forma, exigiriam retrocesso para alcançar homozigose para análise de mutações recessivas em diplóides. Os esporângios dos plasmódios haplóides geram esporos com baixa fertilidade, e supõe-se que esporos viáveis se desenvolvam a partir da meiose de núcleos diplóides raros nos plasmódios de P. polycephalum. O desenvolvimento apogâmico também pode ocorrer na natureza em várias espécies de mixomicetos.[7] Na figura do ciclo de vida de P. polycephalum, o típico ciclo sexual haplóide-diplóide é representado no circuito externo e o ciclo apogâmico no circuito interno. Observe que uma ameba apogâmica mantém sua especificidade do tipo de acasalamento matA1 e ainda pode se fundir sexualmente com uma ameba de um tipo de acasalamento diferente para formar um plasmódio heterozigótico diplóide - outra característica que facilita a análise genética.

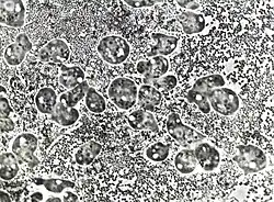
P. polycephalum amoebae growing on lawns of live E. coli. The bacterial cells are approx 1 micron in diameter, amoebae are approx 10 microns in diameter. Bright circular structures inside the amoebae are vacuoles, nuclei are pale grey circles each containing a darker nucleolus. (Phase contrast microscopy.)
Amebas de P. polycephalum crescendo em gramados de E. coli vivos. As células bacterianas têm aproximadamente 1 mícron de diâmetro, as amebas têm aproximadamente 10 mícrons de diâmetro. Estruturas circulares brilhantes dentro das amebas são vacúolos, núcleos são círculos cinza pálido, cada um contendo um nucléolo mais escuro. (Microscopia de contraste de fase).

Como o diagrama do ciclo de vida indica, amebas e plasmodia diferem acentuadamente em seu potencial de desenvolvimento. Uma diferença ainda mais notável é o mecanismo da mitose. As amebas exibem “mitose aberta”, durante a qual a membrana nuclear se decompõe, como é típico das células animais, antes da remontagem após a telófase. Os plasmódios exibem “mitose fechada” durante a qual a membrana nuclear permanece intacta. Presumivelmente, isso impede que a fusão nuclear ocorra durante a mitose no sincício multinucleado. Em apoio a essa inferência, as amebas mutantes defeituosas na citocinese desenvolvem-se em células multinucleadas e fusões nucleares durante a mitose são comuns nesses mutantes.[8]

Conduta de transmissão

O movimento de P. polycephalum é denominado streaming shuttle (para o português brasileiro seria uma "transmissão reciproca"). O streaming shuttle é caracterizado pelo fluxo rítmico de "vai e volta" do protoplasma; o intervalo de tempo é de aproximadamente dois minutos. As forças da transmissão variam para cada tipo de microplasmodium:

  • A força na microplasmodia amebóide é gerada pela contração e relaxamento de uma camada membranosa provavelmente constituída por actina (um tipo de filamento associado à contração). A camada de filamento cria um gradiente de pressão, sobre o qual o protoplasma flui dentro dos limites da periferia celular.
  • A força por trás do fluxo na microplasmodia em forma de haltere é gerada por alterações de volume na periferia da célula e no sistema de invaginação da membrana celular.

Comportamento situacional

Plasmódio P. polymodphalum cultivado em duas "ilhas" de substrato de ágar sobrepostas em uma lamela de vidro.

Foi demonstrado que o Physarum polycephalum exibe características semelhantes às observadas em criaturas unicelulares e insetos eusociais. Por exemplo, uma equipe de pesquisadores japoneses e húngaros mostrou que P. polycephalum pode resolver o problema do caminho mais curto. Quando cultivado em um labirinto com farinha de aveia em dois pontos, o blob se recolhe de qualquer parte do labirinto, exceto da rota mais curta que liga as duas fontes alimentares.[9]

Quando apresentado com mais de duas fontes alimentares, o blob aparentemente resolve um problema de transporte mais complicado. Com mais de duas fontes, a ameba também produz redes eficientes.[10] Em um artigo de 2010, flocos de aveia foram dispersos em uma representação de Tóquio e 36 cidades vizinhas.[11][12] O P. polycephalum criou uma rede semelhante ao sistema ferroviário existente com eficiência, tolerância a falhas e custo comparáveis. Resultados semelhantes foram mostrados com base nas redes rodoviárias no Reino Unido[13] e na península Ibérica (Espanha e Portugal).[14] Nesse sentido, o blob não apenas pode resolver esses problemas computacionais, mas também exibe alguma forma de memória. Fazendo repetidamente o ambiente de teste de uma amostra de P. polycephalum frio e seco em intervalos de 60 minutos, os biofísicos da Universidade Hokkaido descobriram que o mofo aparenta antecipar o padrão reagindo às condições quando eles não repetem as condições para o próximo intervalo. Ao repetir as condições, o blob reagiria esperando os intervalos de 60 minutos, bem como testado com intervalos de 30 e 90 minutos.[15][16]

Foi demonstrado também que o P. polycephalum é realocado dinamicamente para aparentemente manter níveis constantes de diferentes nutrientes simultaneamente.[17][18] Em um exemplo particular, um espécime colocado no centro de uma placa de Petri foi realocado espacialmente sobre combinações de fontes de alimentos, cada uma com diferentes proporções de proteína-carboidrato. Depois de 60 horas, a área de mofo sobre cada fonte de alimento foi medida. Para cada amostra, os resultados foram consistentes com a hipótese de que a ameba equilibraria a ingestão total de proteínas e carboidratos para atingir níveis particulares que eram invariantes às proporções reais apresentadas ao molde de limo.

Como o blob não possui sistema nervoso capaz de explicar esses comportamentos inteligentes, houve um interesse interdisciplinar considerável em entender as regras que governam seu comportamento. Os cientistas estão tentando modelar o mofo usando várias regras simples e distribuídas. Por exemplo, P. polycephalum foi modelado como um conjunto de equações diferenciais inspiradas em redes elétricas. Este modelo pode ser mostrado para poder calcular caminhos mais curtos.[19] Um modelo muito semelhante pode ser mostrado para resolver o problema da árvore de Steiner.[20] No entanto, atualmente esses modelos não fazem sentido biologicamente, pois, por exemplo, assumem a conservação de energia dentro do molde de limo do blob. Para criar modelos mais realistas, é necessário reunir mais dados sobre a construção da rede do molde de limo desse organismo. Para esse fim, os pesquisadores estão analisando a estrutura de rede do P. polycephalum cultivado em laboratório.[21]

Em alguns livros[22] e várias obras impressas que não foram cientificamente revisadas por pares,[23] foi afirmado que, como os plasmódios parecem reagir de maneira consistente aos estímulos, eles são o "substrato" ideal para futuros e emergentes "dispositivos de bio-computação". Um esboço foi apresentado mostrando como é possível apontar, orientar e clivar com precisão o plasmódio usando fontes de luz e alimentos, especialmente a raiz de valeriana.[24] Além disso, foi relatado que os plasmodia podem ser elaborados para formar portas lógicas, permitindo a construção de computadores biológicos. Em particular, os plasmodia colocados nas entradas de labirintos geometricamente especiais surgiriam nas saídas do labirinto que eram consistentes com as tabelas de verdade para certos conectivos lógicos primitivos. No entanto, como essas construções são baseadas em modelos teóricos do molde de limo do blob, na prática esses resultados não são dimensionados para permitir o cálculo real. Quando as portas lógicas primitivas são conectadas para formar funções mais complexas, o plasmódio deixa de produzir resultados consistentes com as tabelas verdadeiras esperadas.

Embora cálculos complexos usando Physarum como substrato não sejam possíveis no momento, os pesquisadores usaram com sucesso a reação do organismo ao seu ambiente em um sensor USB[25] e para controlar um robô.[26]

Referências

  1. 1 2 3 4 «Nem bicho, nem planta, nem fungo: por que blob é um ser único na Terra». Tilt. 1 de abril de 2023. Consultado em 25 de junho de 2023
  2. McCullough. «Genetic Factors Determining the Growth of Physarum polycephalum Amoebae in Axenic Medium» (PDF). Journal of General Microbiology. 106: 297–306. doi:10.1099/00221287-106-2-297 via MicrobiologyResearch.org
  3. Wright. «Microtubule cytoskeleton and morphogenesis in the amoebae of the myxomycete Physarum polycephalum». Biology of the Cell. 63: 239–248. PMID 3060203. doi:10.1016/0248-4900(88)90061-5 via Science Direct
  4. «Sclerotium». Wikipedia
  5. Dee. «A Mating-type System in an Acellular Slime-mould». Nature. 185: 780–781. Bibcode:1960Natur.185..780D. doi:10.1038/185780a0
  6. Wheals. «A homothallic strain of the myxomycete Physarum Polycephalum». Genetics. 66: 623–633
  7. Clark and Collins. «Studies on the Mating Systems of Eleven Species of Myxomycetes». American Journal of Botany. 63: 783–789. JSTOR 2442036. doi:10.1002/j.1537-2197.1976.tb11867.x
  8. Burland. «Analysis of development and growth in a mutant of Physarum polycephalum with defective cytokinesis». Developmental Biology. 85: 26–38. PMID 7250516. doi:10.1016/0012-1606(81)90233-5
  9. «Intelligence: Maze-solving by an amoeboid organism». Nature. 407. 470 páginas. 2000. Bibcode:2000Natur.407..470N. PMID 11028990. doi:10.1038/35035159
  10. «Obtaining multiple separate food sources: Behavioural intelligence in Physarum plasmodium». Proceedings of the Royal Society B. 271: 2305–2310. PMC 1691859Acessível livremente. PMID 15539357. doi:10.1098/rspb.2004.2856
  11. «Rules for biologically inspired adaptive network design» (PDF). Science. 327: 439–442. Bibcode:2010Sci...327..439T. PMID 20093467. doi:10.1126/science.1177894. Consultado em 6 de janeiro de 2020. Cópia arquivada (PDF) em 21 de abril de 2013
  12. «Brainless Slime Mold Builds a Replica Tokyo Subway». Discover Magazine. Consultado em 6 de janeiro de 2020
  13. «Road planning with slime mould: If Physarum built motorways it would route M6/M74 through Newcastle». International Journal of Bifurcation and Chaos. 20: 3065–3084. 2010. Bibcode:2010IJBC...20.3065A. arXiv:0912.3967Acessível livremente. doi:10.1142/S0218127410027568
  14. «Rebuilding Iberian motorways with slime mould». Biosystems. 5: 89–100. PMID 21530610. doi:10.1016/j.biosystems.2011.03.007
  15. «Amoebae Anticipate Periodic Events» (PDF). Physical Review Letters. 100. 018101 páginas. 2008. Bibcode:2008PhRvL.100a8101S. PMID 18232821. doi:10.1103/PhysRevLett.100.018101
  16. «#71: Slime Molds Show Surprising Degree of Intelligence». Discover Magazine. Consultado em 6 de janeiro de 2020
  17. «Amoeboid organism solves complex nutritional challenges». PNAS. 107: 4607–4611. 2010. Bibcode:2010PNAS..107.4607D. PMC 2842061Acessível livremente. PMID 20142479. doi:10.1073/pnas.0912198107
  18. «Brainless behavior: A myxomycete chooses a balanced diet». PNAS. 107: 5267–5268. 2010. Bibcode:2010PNAS..107.5267B. PMC 2851763Acessível livremente. PMID 20332217. doi:10.1073/pnas.1000861107
  19. Becchetti, Luca; Bonifaci, Vincenzo; Dirnberger, Michael; Karrenbauer, Andreas; Mehlhorn, Kurt (2013). Physarum Can Compute Shortest Paths: Convergence Proofs and Complexity Bounds (PDF). Col: Lecture Notes in Computer Science. 7966. [S.l.: s.n.] pp. 472–483. ISBN 978-3-642-39211-5. doi:10.1007/978-3-642-39212-2_42. Consultado em 6 de janeiro de 2020. Cópia arquivada (PDF) em 13 de agosto de 2017
  20. «On the Solution of the Steiner Tree NP-Hard Problem via Physarum BioNetwork» (PDF). IEEE/ACM Transactions on Networking. PP: 1092–1106. 2015. doi:10.1109/TNET.2014.2317911. Consultado em 6 de janeiro de 2020. Cópia arquivada (PDF) em 6 de agosto de 2020
  21. Dirnberger, M.; Kehl, T.; Neumann, A. (2015). «NEFI: Network Extraction From Images». Scientific Reports (em inglês). 5 (1): 1–10. ISSN 2045-2322. PMID 26521675. doi:10.1038/srep15669
  22. Adamatzky, Andrew (2010). Physarum Machines: Computers from Slime Mould. World Scientific. Col: World Scientific Series on Nonlinear Science, Series A. 74. [S.l.: s.n.] ISBN 978-981-4327-58-9.
  23. Andrew (2010). «Slime mould logical gates: Exploring ballistic approach». Applications, Tools, and Techniques on the Road to Exascale Computing. 2012: 41–56. Bibcode:2010arXiv1005.2301A. arXiv:1005.2301Acessível livremente
  24. Adamatzky, Andrew (31 de maio de 2011). «On attraction of slime mould Physarum polycephalum to plants with sedative properties». Nature Precedings (em inglês): 1–1. ISSN 1756-0357. doi:10.1038/npre.2011.5985.1
  25. Knight, Will. «Bio-sensor puts slime mould at its heart». New Scientist (em inglês). Consultado em 6 de janeiro de 2020
  26. Knight, Will. «Robot moved by a slime mould's fears». New Scientist (em inglês). Consultado em 6 de janeiro de 2020
  • «Studies on microplasmodia of Physarum polycephalum». Cell and Tissue Research. 209: 71–86. 1980. PMID 7191783. doi:10.1007/bf00219924 
  • Henry Stempen; Steven L. Stevenson (1994). Myxomycetes. A Handbook of Slime Molds. Timber Press. [S.l.: s.n.] ISBN 978-0-88192-439-8 

Ligações externas

  • «PhysarumPlus». An internet resource for students of Physarum polycephalum and other a-cellular slime molds 
  • «NEFI». Software that can be used to extract networks from images of Physarum.