Actinomyces
Actinomyces
| |||||||||||||
|---|---|---|---|---|---|---|---|---|---|---|---|---|---|
![]() | |||||||||||||
| Classificação científica | |||||||||||||
| |||||||||||||
| Espécies | |||||||||||||
| A. bovis A. bowdenii | |||||||||||||
Actinomyces é um gênero de actinobactérias gram-positivas, anaeróbias ou anaeróbias facultativas, não formam esporos, e, enquanto as bactérias individuais são esféricas (cocos), as colônias formam estruturas semelhantes às hifas dos fungos.[1] São capazes de reduzir nitratos e nitritos. Foram definidos por Harz em 1877. Quinze espécies são flora normal das mucosas humanas e seis são patógenos oportunistas, especialmente de inflamações bucais.[2]
Algumas espécies são responsáveis pelo cheiro da terra e planta, particularmente perceptível após cortar a grama e depois de uma chuva.[3] Eles produzem uma série de enzimas que degradam que a lignina e a quitina de materiais orgânicos vegetais, e assim sua presença é importante para a formação de compostas vegetais.
Cultivo

Podem ser coletadas da pele e mucosas de mamíferos e crescem lentamente em culturas sob condições anaeróbias. As colônias parecem brancas, com a superfície de cúpula que pode se tornar irregular quando a incubação dura mais de uma semana. Nos casos típicos aparecem formas filamentosas delicadas, semelhante a hifas fúngicas, quando detectado em amostras clínicas ou isolado em cultura.[4]
Patologias
.jpg)
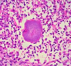
Actinomyces israelii é o mais frequente causador de actinomicose, mas cinco outros (A. gerencseriae, A. naeslundii, A.viscosus, A. odontolyticus e A. meyeri) também podem causá-la com os mesmos sintomas. Esta doença é caracterizada pela formação de abcessos fibrosos geralmente e, sinergia com outras bactérias na boca, tubo digestivo, pulmões ou o trato genital feminino e que são muito parecidos com neoplasias (tumores) em exames por imagem. Raramente também podem infectar pele, ossos ou sistema nervoso central.[5]
Infecções na boca geralmente estão associadas à má higiene, lesões na gengiva e procedimentos dentais recentes. Causam abcessos dolorosos, fibrosos, que crescem e danificam os dentes. Com o tempo podem formar grânulos amarelos endurecidos descritos como similares a "pedras de enxofre" (mas que não contem enxofre).[6]
Tratamento
O tratamento de escolha para actinomicoses profundas é feito com penicilina em altas doses, penicilina G intravenosa no primeiro mês e outra penicilina oral por mais 6 a 12 meses, é importante para garantir a penetração do fármaco aos grânulos e evitar reincidências e resistência. Resultados terapêuticos podem ser insatisfatórios quando há presença de espécies bacterianas resistentes concomitantes.[2]
Por sua aparência, frequentemente são confundidos com tumores ou micoses e tratados erroneamente.
Referências
- ↑ Holt, John G. (1994). Bergey's Manual of Determinative Bacteriology (em inglês). [S.l.]: Lippincott Williams & Wilkins. ISBN 9780683006032
- 1 2 McNeil, M.D., Michael M.; Schaal, Klaus P. «Actinomyces species (Actinomycoses)- Infectious Disease and Antimicrobial Agents». www.antimicrobe.org. antimicrobe. Consultado em 30 de novembro de 2017
- ↑ Elliott, Debbie (11 de agosto de 2007). «The Sweet Smell of Rain». NPR.org (em inglês)
- ↑ Sánchez Hernández, José Antonio; Mercado Carrillo, Noé Ángel; Chilaca Rosas, Fátima; José Antonio, Rivera Tapia (2004). «Uso del DIU asociado a la infección secundaria por Actinomyces en tracto genital femenino». Revista Española de Patologia
- ↑ Madigan, Michael T.; Martinko, John M. (2006). Brock Biology of Microorganisms (em inglês). [S.l.]: Pearson Prentice Hall. ISBN 9780131443297
- ↑ «Manual of clinical microbiology.». www.ncbi.nlm.nih.gov. NLM Catalog - NCBI. Consultado em 30 de novembro de 2017
