Urinotórax

Urinotórax
Derrame pleural no lado direito causado por urinotórax
EspecialidadePneumologia
SintomasSemelhante a um derrame pleural
Início habitualHoras após o início da condição de acionamento
CausasUropatia obstrutiva, trauma
TratamentoTratar a doença subjacente
PrognósticoBom
FrequênciaExtremamente raro
Classificação e recursos externos
CID-10J94
A Wikipédia não é um consultório médico. Leia o aviso médico 

O urinotórax é definido como o encontro de urina na cavidade pleural que circunda os pulmões. Geralmente é causada por uropatia obstrutiva. É diagnosticado principalmente pela análise do líquido pleural. O tratamento envolve o tratamento da condição subjacente, que normalmente resulta na resolução do urinotórax. É uma causa extremamente rara de derrame pleural.

Sinais e sintomas

O urinotórax é causado pelo encontro de urina na cavidade pleural que circunda os pulmões.[1] As características das pessoas afetadas pelo urinotórax são mal definidas. Sintomas urológicos tendem a ocorrer, enquanto sintomas respiratórios são geralmente inexistentes ou leves.[2] Dificuldade respiratória, ocorrendo em moderados a grandes derrames pleurais, é o sintoma respiratório mais comum.[3] Outros sintomas incluem febre, dor abdominal, dor torácica e urinação reduzida.[2] Geralmente ocorre poucas horas após a condição causadora.[4]

Causas

O urinotórax é geralmente causado por uropatia obstrutiva. A uropatia obstrutiva pode estar no nível da bexiga ou da uretra.[5] As causas obstrutivas foram causadas por doença da próstata, cisto renal, fibrose retroperitoneal e rim supranumerário.[2] Casos traumáticos tendem a ocorrer em um lado, enquanto os casos obstrutivos tendem a ser bilaterais.[6] Nos casos causados por urinoma, o urinotórax geralmente fica do mesmo lado. Raramente, pode estar em ambos os lados ou no lado oposto do urinoma.[7] Também pode ser causado por biópsia renal, transplante renal, litotripsia, falha do tubo nefrostomia ou câncer do trato urinário.[5]

Mecanismo

Lesões no trato urinário podem resultar em acúmulo de líquido conhecido como urinoma,[3] que tem cheiro de urina normal.[4] A urina chega ao espaço pleural ou retroperitoneal (sob o peritônio) ou através do linfático retroperitoneal.[8] A urina pode atingir o espaço pleural direta ou indiretamente. Pode atingir diretamente, passando pelos poros do diafragma torácico devido a um gradiente de pressão, ou pela ruptura de um urinoma liberando o conteúdo no espaço pleural. Também pode atingir indiretamente, quando um urinoma drena para o espaço pleural por meio da ligação entre os vasos linfáticos das regiões retroperitoneal e pleural.[3]

Diagnóstico

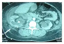
Tomografia computadorizada mostrando o tubo de nefrostomia, indicada pela linha branca no canto inferior esquerdo, em um caso de urinotórax em tratamento

Como os principais sintomas são geralmente urológicos em vez de respiratórios, a condição requer a exclusão de outras condições e a identificação de sintomas específicos antes do diagnóstico.[7] A análise do fluido pleural é uma forma de diagnosticar a condição. O líquido pleural é geralmente cor de palha e tem um cheiro distinto, como amônia. O fluido geralmente tem uma quantidade de células nucleadas de 50 a 1500 por cm3.[3] O pH do fluido é geralmente entre 5 e 7.[9] Os fatores primários para o diagnóstico de urinotórax pelo líquido pleural incluem baixo teor de proteína e alto teor de lactato desidrogenase.[10] Níveis baixos de glicose e acidez também são descritos, mas não são formas confiáveis de diagnosticar ou descartar o urinotórax.[6] O fator de diagnóstico químico mais importante do fluido é que a proporção de creatinina para soro é superior a 1 e geralmente superior a 10.[10]

Ultrassonografia abdominal e tomografia computadorizada podem ajudar a diagnosticar a condição subjacente do trato geniturinário. Se outros métodos forem inconclusivos, um diagnóstico preciso pode ser feito por uma cintilografia renal com tecnécio-99m, que mostra albumina marcada com 99Tc que se transloca para o espaço pleural a partir do trato geniturinário.[3]

Tratamento

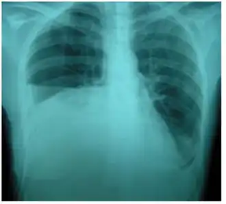
Radiografia de tórax mostrando o urinotórax desaparecendo após o tratamento

O tratamento consiste principalmente em tratar o distúrbio subjacente do trato geniturinário.[6] Requer uma equipe multidisciplinar que inclui um pneumologista e urologista. Um tubo de nefrostomia ou cateter de Foley podem ser usados para aliviar qualquer obstrução subjacente. Quaisquer ferimentos são reparados.[11] Quando o distúrbio subjacente é tratado, o urinotórax se resolve rapidamente. Cirurgia torácica geralmente não é necessária,[3] especialmente se os sintomas respiratórios forem mínimos ou inexistentes.[6] Pleurodese também é ineficaz.[11]

Prognóstico

O urinotórax geralmente desaparece espontaneamente, sem recorrência, após o tratamento do distúrbio do trato urinário subjacente.[11]

Epidemiologia

O urinotórax continua sendo um diferencial raro, possivelmente subdiagnosticado, no caso de derrame pleural transudativo. Até janeiro de 2006, havia apenas 58 casos notificados. Na literatura, há menos de 100 casos notificados.[8]

Notas

  • Este artigo foi inicialmente traduzido, total ou parcialmente, do artigo da Wikipédia em inglês cujo título é «Urinothorax».

Referências

  1. Salcedo, Jose R. (abril de 1986). «Urinothorax: Report of 4 Cases and Review of the Literature». Journal of Urology. 135 (4): 805–808. PMID 3514964. doi:10.1016/S0022-5347(17)45862-9 
  2. a b c Toubes, María E.; Lama, Adriana; Ferreiro, Lucía; Golpe, Antonio; Álvarez-Dobaño, José M.; González-Barcala, Francisco J.; San José, Esther; Rodríguez-Núñez, Nuria; Rábade, Carlos; Lourido, Tamara; Valdés, Luis (maio de 2017). «Urinothorax: a systematic review». Journal of Thoracic Disease. 9 (5): 1209–1218. PMC 5465116Acessível livremente. PMID 28616270. doi:10.21037/jtd.2017.04.22 
  3. a b c d e f Austin, Adam; Jogani, Sidharth Navin; Brasher, Paul Bradley; Argula, Rahul Gupta; Huggins, John Terrill; Chopra, Amit (julho de 2017). «The Urinothorax: A Comprehensive Review With Case Series». The American Journal of the Medical Sciences. 354 (1): 44–53. ISSN 1538-2990. PMID 28755732. doi:10.1016/j.amjms.2017.03.034 
  4. a b Light, Richard W. (2013). Pleural Diseases (em inglês). [S.l.]: Wolters Kluwer Health/Lippincott Williams & Wilkins. 149 páginas. ISBN 978-1-4511-7599-8 
  5. a b Fishman, Jay A.; Kotloff, Robert; Grippi, Michael A.; Pack, Allan I.; Senior, Robert M.; Elias, Jack A. (14 de abril de 2015). Fishman's Pulmonary Diseases and Disorders, 2-Volume Set, 5th edition (em inglês). [S.l.]: McGraw-Hill Education. 1166 páginas. ISBN 978-0-07-180728-9 
  6. a b c d Wei, Benjamin; Takayama, Hiroo; Bacchetta, Matthew D. (2009). «Urinothorax: An uncommon cause of pleural effusion». Respiratory Medicine CME. 2 (4): 179–180. doi:10.1016/j.rmedc.2009.01.009 
  7. a b Laskaridis, Leonidas; Kampantais, Spyridon; Toutziaris, Chrysovalantis; Chachopoulos, Basileios; Perdikis, Ioannis; Tahmatzopoulos, Anastasios; Dimitriadis, Georgios (16 de outubro de 2012). «Urinothorax—An Underdiagnosed Cause of Acute Dyspnea: Report of a Bilateral and of an Ipsilateral Urinothorax Case». Case Reports in Emergency Medicine (em inglês). Consultado em 23 de janeiro de 2021 
  8. a b Wunderle, Kathryn; Kim, Suil; Chiovaro, Joseph (15 de março de 2017). «Urinothorax: A Rare Case of Pleural Effusion». Journal of General Internal Medicine. 32 (9): 1058–1059. PMC 5570734Acessível livremente. PMID 28299602. doi:10.1007/s11606-017-4032-z 
  9. Garcia-Pachon, Eduardo; Romero, Santiago (julho de 2006). «Urinothorax: a new approach». Current Opinion in Pulmonary Medicine (em inglês). 12 (4): 259–263. ISSN 1070-5287. PMID 16825877. doi:10.1097/01.mcp.0000230628.65515.86 
  10. a b Chandra, Alka; Pathak, Amrendra; Kapur, Anu; Russia, Neha; Bhasin, Nikhil (2014). «Urinothorax: A rare cause of severe respiratory distress». Indian Journal of Critical Care Medicine. 18 (5): 320–322. PMC 4047695Acessível livremente. PMID 24914262. doi:10.4103/0972-5229.132501 
  11. a b c Ramahi, Ahmad; Aburayyan, Kanana Mohammad; Alqahtani, Ali; Said Ahmed, Tamer S; Taleb, Mohammad (2019). «Shortness of Breath: An Unusual Presentation of Bladder Injury. A Case Report and Literature Review of Urinothorax». Cureus. 11 (4): e4559. ISSN 2168-8184. PMC 6597132Acessível livremente. PMID 31281743. doi:10.7759/cureus.4559 

Ligações externas

  • Media relacionados com Urinotórax no Wikimedia Commons