Tumor do seio endodérmico

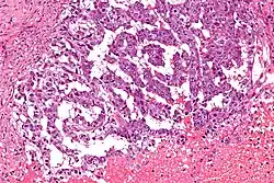
Tumor de células germinativas misto ao microscópio: carcinoma embrionário (à direita) e tumor do saco vitelino (à esquerda).

Tumor do seio endodérmico (TSE), tumor do saco vitelino ou ainda carcinoma embrionário infantil é um tumor de células germinativas maligno raro. Pode aparecer em um testículo ou em um ovário, raramente em ambos. É o câncer de testículo mais comum em crianças menores de 3 anos. Nessa faixa etária tem uma elevada sobrevivência e responde bem à quimioterapia. [1]

Sinais e sintomas

As vezes pode ser palpado como uma massa macia, imóvel e assimétrica no testículo. No ovário não é palpável. É um câncer agressivo, mas geralmente sem sintomas, que só é diagnosticado depois que os sintomas da metástases para pulmões, abdômen ou sistema nervoso aparecem. As metástases podem causar problemas respiratórios, sangramento e dor causando choro inconsolável.

Diagnóstico

Por biópsia e microscopia. Secreta alfafetoproteína (AFP) que pode ser detectada em um exame de sangue. Em contraste com a forma pura que aparece nos bebês, os tumores do seio endodérmico dos adultos são frequentemente encontrados em combinação com outros tipos de tumor de células germinativas (tumor misto), especialmente com um teratoma ou um carcinoma embrionário.[2]

Tratamento

A maioria dos tratamentos envolve alguma combinação de cirurgia para remover o testículo (orquidectomia) e quimioterapia com cisplatina, etoposide e bleomicina.[3]

Referências

  1. tumor de saco vitelino
  2. Luther N, Edgar MA, Dunkel IJ, Souweidane MM (Aug 2006). "Correlation of endoscopic biopsy with tumor marker status in primary intracranial germ cell tumors". J. Neurooncol. 79 (1): 45–50. doi:10.1007/s11060-005-9110-0. PMID 16598424.
  3. Motegi M, Takakura S, Takano H, Tanaka T, Ochiai K (February 2007). "Adjuvant chemotherapy in a pregnant woman with endodermal sinus tumor of the ovary". Obstet Gynecol. 109 (2 Pt2): 537–40. doi:10.1097/01.AOG.0000245450.62758.47. PMID 17267887.