Tumor carcinoide de pulmão

Tumor carcinoide de pulmão
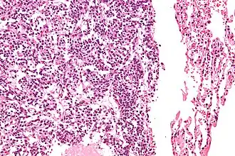
Micrografia de um típico tumor carcinoide pulmonar.
Especialidadeoncologia
Classificação e recursos externos
A Wikipédia não é um consultório médico. Leia o aviso médico 

Um tumor carcinoide pulmonar típico é uma massa tumoral maligno localizada no pulmão, com maior frequência nas vias aéreas centrais.[1]

Sintomas

O tumor carcinoide se apresenta, geralmente, com tosse ou hemoptise.[2] Sintomas que podem ser confundidos com um câncer de pulmão.

Diagnóstico

O diagnóstico definitivo é alcançado por um exame microscópico, após excisão. Os tumores carcinoides típicos apresentam células com cromatina pontilhada e uma quantidade moderada de citoplasma. Eles realizam menos mitoses e têm uma baixa necrose. Por definição, eles sã0 maiores do que 4 mm em sua maior dimensão.

O diagnóstico diferencial do tumor carcinoide pulmonar típico inclui: tumor carcinoide pulmonar atípico, tumorlet e adenocarcinoma de pulmão.

Tratamento

Os carcinoides típicos são, geralmente, tratados com excisão cirúrgica.

Ver também

Referências

  1. Meisinger, QC.; Klein, JS.; Butnor, KJ.; Gentchos, G.; Leavitt, BJ. (2011). «CT features of peripheral pulmonary carcinoid tumors.». AJR Am J Roentgenol. 197 (5): 1073-80. PMID 22021498. doi:10.2214/AJR.10.5954 
  2. Gungor, S.; Damadoglu, E.; Aybatli, A.; Yilmaz, A.; Kir, A.; Akkaya, E. (2006). «Typical pulmonary carcinoid tumors: presentation and outcome of 24 cases.». Med Sci Monit. 12 (7): CR315-8. PMID 16810137