Struma ovarii
| Struma ovarii | |
|---|---|
![]() | |
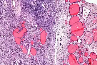
| Lâmina histológica de um struma ovarii. Pode-se observar folículos tireoideanos na direita, e estroma ovariano na esquerda. | |
| Especialidade | oncologia |
| Classificação e recursos externos | |
| CID-11 | XH22M4 |
| CID-CID-O | 9090/0 |
| DiseasesDB | 33030 |
| eMedicine | article/256937 |
| MeSH | D013330 |
Struma ovarii é um tumor do ovário, geralmente benigno e unilateral. Ele é uma variante de teratoma maduro, composta por mais de 50% de tecido tireoideano maduro. Corresponde a cerca de 1% de todos tumores de ovário e 2,7% dos teratomas maduros.[1]
Sinais e sintomas
As pacientes com Struma ovarii podem ser assintomáticas. Em algumas pode haver dor na região do baixo ventre, um tumor palpável ou sangramentos vaginais.
Também é possível que haja sinais de hipertireoidismo, já que o tumor pode produzir hormônios tireoideanos. Além disso pode se observar acúmulo de líquido na cavidade abdominal (ascite) e cavidade pleural (derrame pleural).
Prognóstico
Por ser uma neoplasia benigna, o Struma ovarii apresenta um bom prognóstico. Em 2% dos casos, no entanto, pode ocorrer uma degeneração e desenvolvimento de câncer de tireoide do tipo papilífero.
Ver também
Referências
- ↑ «UpToDate». www.uptodate.com. Consultado em 15 de julho de 2025
