Sinostose radioulnar
| Sinostose radioulnar | |
|---|---|
![]() | |
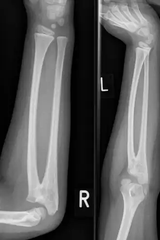
| Sinostose radioulnar congênita em um menino de 7 anos | |
| Especialidade | genética médica |
| Classificação e recursos externos | |
| CID-11 | LB90.3 |
| CID-10 | Q74.0 |
| CID-9 | 755.53 |
| OMIM | 179300 |
| MeSH | C562408 |
A sinostose radioulnar é uma condição rara em que existe uma ligação anormal entre os ossos do antebraço rádio e ulna.[1] Pode estar presente no nascimento (congênito), quando é o resultado de uma falha na formação dos ossos ou após uma lesão (pós-traumática).[2]
Normalmente causa restrição de movimento do antebraço, em particular rotação (pronação e supinação), embora geralmente não seja doloroso, a menos que cause subluxação da cabeça do rádio.[1] Ela pode estar associada ao deslocamento da cabeça do rádio, o que leva à extensão limitada do cotovelo.[2]
Referências
- ↑ a b Wurapa, Raymond (4 de junho de 2020). «Radioulnar Synostosis: Practice Essentials, Pathophysiology, Etiology». EMedicine. Consultado em 16 de julho de 2021
- ↑ a b «Congenital radioulnar synostosis | Genetic and Rare Diseases Information Center (GARD) – an NCATS Program». rarediseases.info.nih.gov. Consultado em 16 de julho de 2021
