Síndrome do bebê sacudido

A síndrome do bebê sacudido (SBS) ou trauma craniano violento pediátrico (TCV) é uma enfermidade composta por uma tríade clássica de achados clínicos, incluindo encefalopatia aguda, hematoma subdural e hemorragia retiniana.
A partir desses achados e com base no entendimento médico atual, alguns profissionais podem inferir a ocorrência de abuso infantil envolvendo o ato de sacudir o bebê de forma violenta e intencional. Na maioria dos casos, não há sinais de traumas visíveis externamente.[1]
Causas e efeitos
Apesar de uma pequena parte das ocorrências ter como causa brincadeiras inadequadas sem intenção de agressão feita por pessoas próximas ao bebê, a maioria dos casos é causada pelos próprios pais ou responsáveis em episódios de irritação com o choro incessante do bebê, que atravessam a linha tênue entre ninar e sacudir, mesmo que por alguns segundos.[2]
Esta síndrome pode ser fatal ou causar lesões cerebrais graves irreversíveis, resultando em deficiências para o resto da vida. A taxa de mortalidade estimada entre as crianças com SBS varia de 15% a 38% e a mediana está entre 20-25%.[3] Consequências não fatais da SBS incluem vários graus de danos visuais (incluindo perda da visão), deficiências motoras, paralisia cerebral, déficits cognitivos e convulsões.[4]
Sinais e sintomas
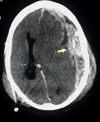
Lesões características associadas com SBS incluem hemorragia retiniana, fraturas múltiplas dos ossos longos e hematomas subdurais (hemorragia cerebral).[5] Estes sinais foram estabelecidos com os anos como os sinais aceitos e reconhecidos de maus-tratos infantis e síndrome do bebê sacudido. Os profissionais da área médica suspeitam desta patologia quando o recém-nascido, lactente jovem ou criança apresenta hemorragia retiniana, fraturas, lesões de tecidos moles ou hematoma subdural, que não podem ser explicados por trauma acidental ou outras afecções médicas.[6]
A maior parte dos casos ocorrem em lactentes, os quais têm uma desproporção excessiva entre o grande tamanho da cabeça em relação ao restante do corpo, e um tônus muscular insuficiente nos músculos do pescoço, que não lhes permite suportar o peso e as oscilações da cabeça. Por suas fragilidades inerentes a idade, após sacudida, ocorre hipóxia pela dificuldade respiratória, provocando alterações do centro respiratório troncoencefálico, muitas vezes formando edema cerebral e hemorragias subdurais, com pequenas contusões parenquimatosas e ou múltiplas hemorragias axiais adicionais.[7]
A hemorragia retiniana ocorre em cerca de 85% dos casos de SBS; sendo portanto, muito característico dessa condição, o que faz a sua observação muito útil para estabelecer o diagnóstico. Embora existam muitas outras causas de hemorragia retiniana além do SBS, há geralmente resultados adicionais (oculares e/ou sistémicos) que tornam evidentes os diagnósticos alternativos.[8]
Fraturas das vértebras, ossos longos e costelas também podem ser associadas com SBS.[9] Doutor John Caffey informou em 1972 de que avulsiões metafisiárias (pequenos fragmentos de osso tinham-se dilacerado onde o periósteo e o osso cortical estão fortemente ligados) e "ossos nos lados proximal e distal de uma articulação individual estão afetados, especialmente no joelho".[10]
Resultados adicionados de SBS são lesão axonal difusa, privação de oxigênio e edema cerebral,[11] o qual pode elevar a pressão dentro do crânio e danificar tecidos cerebrais delicados. As vítimas de SBS podem mostrar irritabilidade, crescimento insuficiente, alterações em padrões de alimentação, letargia, vômitos, convulsões, protuberância ou tensão nas fontanelas (os pontos macios na cabeça de um bebê), aumento do tamanho da cabeça, respiração alterada, e pupilas dilatadas.[7][12][13]
Trata-se de um amplo conjunto de signos e sintomas que podem variar de leves até severos e de inespecíficos até óbvios. A ressonância magnética pode ser útil para diagnosticar as hemorragias retinianas.[14] O médico deve suspeitar de abuso infantil diante da presença destas sinais e da incapacidade para os explicar por meio de traumatismos acidentais ou outras condições médicas.[7][13]
Fatores de risco
Os cuidadores em risco de se tornar abusadores frequentemente têm expectativas surrealistas da criança e podem manifestar uma "inversão de papéis" por esperar que a criança cumpra as necessidades do cuidador.[15] O abuso de drogas e a tensão emocional, resultado por exemplo de problemas económicos, são outros fatores de risco para a agressão e impulsividade em cuidadores.[15] Tanto homens como mulheres podem infligir SBS.[15] Embora cria-se anteriormente que SBS era um acontecimento isolado, a evidência de abuso infantil anterior é um achado comum em casos de SBS.[15] Calcula-se que em 33–40% dos casos, apresenta-se evidência de lesões cranianas anteriores, tal como antigos sangramentos intracranianos.
Mecanismo
Trata-se de um lactente com choro descontrolado, inconsolável, que uma pessoa sustenta pelo tórax e o sacode bruscamente, de modo que se produz um mecanismo de aceleração-desaceleração da cabeça que leva por uma parte a fraturas paravertebrais das costelas, a hemorragias intracranianas e a lesões oculares.
A lesão rotacional é especialmente prejudicial e é provável que aconteça em traumas por sacudida.[16] O tipo de lesões provocadas por sacudidas não estão habitualmente causadas por quedas e impactos próprios de um jogo normal, que são principalmente forças lineares.[16] Foi sugerido que o mecanismo de anomalias oculares está relacionado com tração vitreorretiniana, com movimentos do humor vítreo que contribuem ao desenvolvimento das características hemorragias retinianas, embora esto tem sido contestado.[17] Estas descobertas oculares têm correlação com anomalias intracranianas.[18]
Força
Houve uma longa controvérsia sobre a quantidade de força necessária para produzir o dano cerebral visto na síndrome do bebê sacudido. Embora haja um amplo consenso, mesmo entre os céticos, de que sacudir um bebê é perigoso e pode ser fatal,[19][20][21] a quantidade de força necessária para causar lesões permanece desconhecida.
Uma análise biomecânica publicada em 2005 informava de que uma "sacudida forte pode ferir gravemente ou matar um bebê, isso ocorre porque a coluna cervical se lesaria gravemente e não porque hematomas subdurais seriam causados por grandes acelerações rotacionais da cabeça. Uma cabeça infantil sujeita aos níveis de velocidade e aceleração rotacional citados na literatura do SBS experimentaria forças no pescoço infantil que excedem em muito os limites de uma falha estrutural da coluna cervical. Além disso, uma lesão por sacudida da coluna cervical pode ocorrer a níveis de velocidade e aceleração da cabeça muito menor do que os relatados para o SBS."[22] Outros autores mostraram-se críticos com a análise matemática de Bandak, mostrando preocupação quanto aos cálculos usados por o autor e concluindo que "Em vista dos erros numéricos nas estimativas de força cervical de Bandak, questionamos o teor decidido das conclusões de Bandak no sentido de que as lesões cervicais ocorreriam em todas as situações de sacudida."[23] Outros autores críticos com o modelo proposto por Bandak concluem que "o análogo mecânico proposto no artigo pode não ser inteiramente apropriado quando se usa para modelar o movimento da cabeça e pescoço de crianças quando um bebê é sacudido."[24] Bandak respondeu as críticas numa carta ao editor publicada em Forensic Science International em Fevereiro de 2006.[25]
Tríade
Os achados de SBS indicam-se geralmente como "tríade".[26] O processo de inferir sacudida violenta ou por abuso dos resultados clínicos de SBS tem também sido indicado como hipótese.[27][28]
Em 2000, Rob Parish, Diretor Adjunto do Centro Nacional de Síndrome do Bebê Sacudido, resumiu a tríade do seguinte modo:
Frequentemente designada por a “tríade”, o consenso continua a ser que um conjunto de 1: dano cerebral, manifestado por inflamação cerebral grave e/ou lesão axonal traumática difusa; 2: derrame sob as membranas que cobrem o cérebro, geralmente, derrame subdural e/ou subaracnóideo; e, 3: derrame nas camadas da retina, frequentemente acompanhado de outro dano ocular, quando se vê em crianças pequenas ou bebês, é praticamente diagnóstico de sacudida severa da cabeça por efeito de chicote.[29]
O SBS pode ser mal diagnosticado ou subdiagnosticado, e os cuidadores podem mentir ou não ser conscientes dos mecanismos da lesão.[15] Normalmente, não há sinais visíveis da afecção.[15] O exame do oftalmologista frequentemente é uma condição essencial para o diagnóstico da síndrome do bebê sacudido, pois formas particulares de derrame ocular são muito características.[30] -->[31] Imagens por ressonância magnética também podem mostrar hemorragia retiniana;[32] Pontualmente isto pode resultar útil sem um exame do oftalmologista demora-se ou não está disponível. Afeições que devem ser descartadas incluem hidrocefalia, síndrome de morte súbita do lactente (SMSL ou SMLS, em inglês), transtorno convulsivo, e doenças infecciosas ou congênitas como meningite e transtornos metabólicos.[16][33] Empregam-se tomografia axial computadorizada (exploração por TAC) e imagens por ressonância magnética para diagnosticar a afeição.[15] Afeições que podem acompanhar SBS incluem fraturas ósseas, lesão das vértebras cervicais (no pescoço), hemorragia retiniana, hemorragia cerebral ou atrofia, hidrocefalia, e papiledema (inchaço do disco óptico).[11]
Têm-se sugerido os termos traumatismo craniano não acidental ou lesão cerebral traumática infligida em vez de "SBS".[34]
Diagnóstico diferencial
Deficiência de vitamina C
Alguns autores sugeriram que certos casos de presumida síndrome de bebê sacudido podem ter origem em situações de deficiência de vitamina C[35][36][37] Esta controversa hipótese baseia-se numa especulativa afecção marginal, quase escorbútica ou na falta de recheio de nutrientes essenciais e um nível de histaminas potencialmente elevado. No entanto, os sintomas consistentes com aumento do nível de histaminas, tais como baixa pressão sanguínea e sintomas alérgicos, não se associam normalmente com escorbuto como uma deficiência de vitamina C clinicamente significativa. Uma revisão da literatura dessa hipótese na revista Pediatrics International concluiu o seguinte: "Da informação disponível na literatura, concluiu que não existia evidência convincente para concluir que a carência de vitamina C poda ser considerada a causa da síndrome de bebê sacudido."[38]
Os defensores de tais hipóteses questionam com frequência a adequação de níveis de nutrientes de tecidos, especialmente vitamina C,[39][40] para as crianças doentes ou convalescentes, com infecções bacterianas, maiores necessidades individuais, os que sofrem de problemas ambientais (p.ex. alergias), e talvez estresse transitório relacionado com vacinações.[41] Na medida em que os pacientes que apresentam um possível SBS constituíram só o grupo de crianças mais gravemente afetado por carências nutricionais, esperar-se-ia um número mais amplo de indivíduos observados com sintomas mais suaves. No momento da escrita este artigo, escorbuto infantil nos Estados Unidos é praticamente inexistente.[42] Não foi comunicado nem um só caso de escorbuto que imite o SBS ou a síndrome de morte súbita do lactente, e geralmente o escorbuto acontece mais tarde na infância, raras vezes causa morte ou hemorragia intracraniana, e está acompanhado doutras mudanças dos ossos e a pele e sempre um histórico alimentício anormalmente deficiente.[43][44]
Hemofilia
Praticamente todas as doenças que causam problemas de coagulação do sangue, ainda que pouco frequentes, podem ocasionar confusão com o diagnóstico de SBS, pelo que recomenda-se uma análise hematológica e a colaboração entre oftalmologistas, pediatras e hematologistas, para excluir essa possibilidade.[45]
Doença de Von Willebrand
A doença de von Willebrand, ou DvW, uma anomalia na coagulação de caráter hereditário devida a uma deficiência qualitativa ou quantitativa do fator de von Willebrand (FvW), uma proteína multimérica requerida para a adesão plaquetária, pode provocar lesões que se confundam com o SBS. Há quatro tipos de DvW. O dr. Michael Lapostata, patologista chefe do Vanderbilt University Hospital, publicou sobre o tema, serviu como testemunha perita e afirma que nos hospitais devem-se fazer testes de hemofilia antes de diagnosticar SBS.[46]
Meningite
A meningite causa uma inflamação das camadas exteriores do cérebro e as membranas da medula espinhal. Certas características desta infecção viral podem ser confundidas com alguns sintomas de SBS.[47]
Osteogénese imperfeita
A osteogénese imperfeita(OI) é uma doença genética que afeta a síntese de colágeno tipo I, o que origina ossos frágeis com fraturas frequentes, com sintomas clínicos que aparecem em variadas formas. Uma equipe de seis médicos espanhóis descreve o caso de um bebê de 3 meses com encefalopatia aguda com convulsões, hematoma subdural e hemorragias retinianas, assim como fraturas nas costelas. Diagnosticou-se osteogénese imperfeita confirmada por um estudo do colágeno nos fibroblastos da pele. A atitude dos pais e a existência de OI fez pensar que ter havido dano intencional.[48]
Afogamento disfágico
Se um bebê sofre um episódio de afogamento enquanto alimenta-se ou tem algo na boca, pode sofrer uma obstrução das vias respiratórias, apneia, mudança de cor na pele, do tônus muscular, o que pode causar pânico nos seus cuidadores e manobras de ressuscitação improvisadas. P.D. Barnes et al. descrevem o caso de um menino de 4 meses que ingressou na urgência após ser encontrado sem sinais respiratórios nem pulso pelo serviço médico de emergência. O bebê desenvolveu coagulopatia intravascular disseminada e morreu. O TAC e a ressonância magnética mostraram hemorragia subdural, subaracnoide e retiniana, além de encefalopatia hipóxica isquêmica. Diagnosticou-se lesão não acidental com SBS. A autópsia indicou alterações difusos anóxicos do sistema nervoso central ademais das hemorragias associadas com SBS. Entretanto não se pode excluir lesão não acidental, a autópsia forneceu evidências de que a lesão do bebê podia ser o resultado de um acontecimento crítico causado por afogamento disfágico, tal como os seus cuidadores relataram.[49]
Problemas durante a gestação
Problemas durante a gestação que afetem à mãe e ao feto, o processo do parto, prematuridade e deficiências nutricionais podem apressar patologias esqueléticas e hemorrágicas que também podem imitar SBS, incluso antes do parto.[50]
Hematomas espontâneos
O estudo da anatomia cerebral e a hematologia dos recém-nascidos experimentou importantes progressos nos últimos anos. Alguns neuropatologistas acreditam que os hematomas subdurais de camada fina vistos frequentemente em crianças muito pequenas poderiam representar uma filtração desde a dura-máter imatura -que é muito diferente da dos adultos, ou incluso da dos bebês- mais que uma clara hemorragia desde as veias-ponte. "Alterações de pressão, congestão, e hemorragia intradural poderiam ser responsáveis do achado comum de pequenos volumes de SDH (hemorragia subdural) após o parto ou potencialmente nos primeiros meses de vida pós-natal enquanto a anatomia da dura-máter permanece imatura".[51] Um estudo do 2008 usando scanners mais potentes do que os anteriores (de 1,5 T de força de campo magnético) achou hemorragias subdurais de camada fina em quase a metade dos recém-nascidos assintomáticos. "Confirmamos os relatórios de que SDH (hemorragia subdural) ocorre em neonatos assintomáticos após o parto. A incidência de SDH (46%) é significativamente mais alta em nosso estudo que em anteriores relatórios."[52]
Hemorragias recorrentes de lesões prévias
Sangramentos ou hemorragias recorrentes após uma possível lesão no momento do parto ou talvez mesmo antes tem sido propostas como explicação da síndrome do bebê sacudido. Uma lesão não advertida ao princípio começaria a sangrar novamente de modo natural ou por um leve golpe ou sacudida. Segundo Ronald Uscinski, neurocirurgião na faculdade de medicina da George Washington University, frequentemente contratado pelas defesas em casos de SBS "o sangramento pode ocorrer com um trauma mínimo ou sem ele. Podem ocorrer espontaneamente." Nesse caso os hematomas subdurais observados no TAC seriam crônicos e não agudos. Um recente estudo de bebês e fetos mortos por lesões do parto ou doenças (e que não podiam ter sido sacudidos porque nunca deixaram o hospital) revelou que muitos de eles tinham hematomas subdurais, que mais tarde poderiam ter sido confundidos com sinais de abuso se tivessem vivido.[carece de fontes]
Quedas acidentais
Os pediatras reconhecem que um grande número de crianças sofrem quedas cada dia e supõem que só um pequeno número de quedas de curta distância, talvez "uma em um milhão", causam lesões sérias ou por vezes fatais. Numa população infantil numerosa, podemos supor que quedas graves ocorrem cada dia. A maioria dos pais procurarão assistência médica para os seus filhos só em caso de quedas acidentais graves ou de aparência muito perigosa. Estas quedas podem causar lesões graves. Pode ocorrer que um pequeno conjunto de quedas acidentais dentro dum grande denominador de quedas acidentais cause dano cerebral grave, ainda que seja resultado de mecanismos inocentes e acidentais. Em 1997 os doutores Greenes e Schutzman observaram num estudo que entre crianças trasladadas a emergências após quedas de menos de três pés (91,44 centímetros) aproximadamente o 18% sofria trauma intracraniano grave ou fratura de crânio.[53]
Tratamento
O tratamento envolve monitorizar a pressão intracraniana (a pressão dentro do crânio), drenar o fluido desde os ventrículos cerebrais, e, se está presente um hematoma intracraniano, drenar o sangue acumulado.[11]
Prognóstico
O prognóstico depende da gravidade e pode variar desde uma recuperação total até uma deficiência grave até morte quando a lesão é muito grave.[11] Um terço desses doentes morrem, outro terço sobrevive com uma importante afecção neurológica, e só uma terceira parte sobrevive em bom estado. As deficiências neurológicas mais frequentes são incapacidade de aprendizagem, convulsões , incapacidade de falar, hidrocefalia, paralisia cerebral, e transtornos da visão.[16]
Epidemiologia
As crianças muito pequenas acham-se num risco particularmente elevado do abuso que causa o SBS, em virtude da grande diferença de tamanho entre um menino e um adulto.[15] SBS usualmente ocorrem em criança abaixo de dois anos, mas podem ocorrer em menores de cinco.[15]
História
Em 1968, o neurocirurgião Ayub Ommaya realizou a cabo um experimento com macacos rhesus que amarrou numa cadeira e submeteu a uma rápida aceleração e súbita desaceleração, para o comparar com os efeitos do "chicote cervical" nos acidentes automobilísticos. O experimento concluiu que o "chicote cervical" podia causar concussão cerebral e lesão cerebral, incluindo hemorragia na superfície do cérebro. Ommaya chamou a atenção contra a aplicação a humanos de conclusões extraídas em experimentos com macacos.[54]
Em 1971, o neurocirurgião Norman Guthkelch teorizou que a lesão por chicote cervical poderia explicar hemorragias subdurais e edemas cerebrais no caso de crianças hospitalizadas por crises neurológicas, sem sinais de lesões externas, devido ao rompimento das veias do espaço subdural. A síndrome foi descrita pela primeira vez pelo radiologista pediátrico John Caffey em 1972 como uma forma de abuso físico infantil devido a traumatismos intracranianos que envolvem um conjunto de alterações clínico-patológicas bem definidas, acompanhado ou não de sinais externos de abuso.[55]
Quando essa ideia se difundiu entre a comunidade científica, os doutores começaram a considerar que os hematomas subdurais eram sempre o resultado dum trauma.
Em 1987, a neurocirurgião residente Duhaime na universidade de Pennsylvania e vários engenheiros biomecânicos tentaram validar a hipótese do SBS medindo a força duma sacudida e a comparando com o umbral aceite de lesão cerebral. Adultos voluntários a sacudir modelos infantis equipados de sensores foram incapazes de atingir o umbral de aceleração angular que se supunha necessário para causar hematomas subdurais, lesão axonal difusa, ou coma em crianças pequenas. Embora este temporão experimento foi rudimental, indicou que a força gerada por sacudida a uma criança ficava muito mais abaixo dos critérios estabelecidos para traumatismo craniano e só era uma quinquagésima parte da força gerada por impacto. "Nossa conclusão é que a síndrome do bebê sacudido, ao menos na sua forma mais aguda, não é causado geralmente só por sacudida. Apesar da sacudida poder ser, de fato, parte do processo, é mais provável que tais crianças pequenos sofram um impacto contundente. A hipótese mais comum é que uma criança é sacudida, depois lançada em ou contra um berço ou outra superfície."[56]
No 2004, a neuropatologista J.F.Gedders e o patologista forense J. Plunkett publicaram um artigo destacando que no campo do SBS a possibilidade de experimentação científica e testes controlados não existe, isto é, não se pode sacudir um grupo de bebês para observar si desenvolvem hemorragias subdurais; portanto, na sua opinião, os critérios para estabelecer diagnósticos de sacudida careciam de "evidência científica para chegar a uma conclusão firme na maior parte de aspectos de causa, diagnóstico, tratamento, ou qualquer outra questão".[57]
Em 2005, o engenheiro biomecánico Faris Bandak guiou uma análise dos níveis de velocidade rotacional e aceleração da cabeça para os efeitos lesivos na cabeça e pescoço do bebê. As forças resultantes compararam-se com dados experimentais dos limites de falho estrutural das cervicais em vários modelos de animais bem como em modelos de cadáveres de humanos recém-nascidos. Determinaram que uma cabeça infantil sometida aos níveis de velocidade rotacional e aceleração mencionados na literatura anterior sobre SBS, sofreria forças no pescoço muito superiores às que poderia aguentar sem lesionar-se. Mais ainda, lesões das cervicais por sacudidas ocorreriam com níveis de velocidade e aceleração muito inferiores aos dados para o SBS.[58]
Em 2012, o dr. Norman Guthkelch publicou um artigo no que propunha a utilização do termo "hemorragia retiniana-dural infantil com lesão externa mínima" em vez de "síndrome de bebê sacudido" ou denominações semelhantes, argumentando que o nome duma síndrome devia basear-se nas suas características físicas e evitar assim conotações tanto de causa, "sacudida", como de intenção, "por abuso ". "Isso nos permitia investigar as causas sem que pareça que assumimos que já conhecemos a resposta".[59]
Em 2015 mais de trinta especialistas do mundo da medicina, das leis e da luta contra o abuso infantil publicaram uma "Carta Aberta sobre o Síndrome do Bebê Sacudido e os Tribunais", na que afirmavam que existia um sério desacordo entre os peritos sobre a realidade da síndrome e pediam aos juízes prudência antes de tomar medidas draconianas e que a diversidade de opinião dos peritos fora devidamente representada ante os tribunais.[60]
Aspectos jurídicos
O 1 de Agosto de 1998, a revista The Lancet publicou um editorial no que pedia cautela contra diagnósticos prematuros e o sobrediagnóstico desta síndrome. "Nenhuma imagem nem investigação clínica pode diferenciar com certeza entre lesão acidental e dano intencional."[61]
Desde 1972 produziram-se centenas de condenações ao ano contra pais e prestadores de cuidados por sacudir violentamente bebês ou crianças pequenas. Contudo, na última década nova investigação científica pôs em causa os fundamentos científicos da SBS e numerosas condenações foram revistas em países como a Grã-Bretanha, Canadá, os Estados Unidos, Alemánia, Suécia...[carece de fontes]
No 2015, a professora de direito Deborah Tuerkheimer publicou o seu livro "Flawed Convictions, "Shaken Baby Syndrom" and the Intertie of Injustice", no que analisava a história judicial da síndrome, destacando que, ao contrário do quem acontece noutro tipo de casos, as condenações baseavam-se só no testemunho dos peritos médicos, e examinando o que acontece quando "a certeza médica subjacente a uns processamentos baseados na ciência dissipa-se".[62]
No ao menos o 30% dos casos, o diagnóstico é relativamente claro, porque há evidência prévia de abuso. Para a maioria dos casos restantes, a causa é muito mais confusa, em parte porque outras possíveis explicações são igualmente controvertidas e ambíguas. Como consequência, SBD é basicamente um diagnóstico de exclusão e significa descartar doenças pouco comuns que os médicos podem não ter visto nunca.[63]
Em Julho do 2005, o Tribunal de Recuro do Reino Unido atendeu quatro recursos de condenações por SBS: descartou-se um caso, reduziu-se a sentença em outro, e confirmou dois condenações.[64] O tribunal considerou que a clássica tríade de hemorragia retiniana, hematoma subdural, e encefalopatia aguda não constituem 100% dum diagnóstico de SBS e que a história clínica também é importante. A decisão do tribunal confirmou o conceito de SBS mas excluiu um caso e reduziu outro de assassinato a homicídio.[64] Nas suas próprias palavras: "Si bem um forte indicador de TCNA [traumatismo craniano não acidental] em si mesmo não cremos possível declarar que deve conduzir automaticamente e necessariamente a um diagnóstico de NAHI. Todas as circunstâncias, incluindo o quadro clínico, devem ser tidas em conta."[65]
Em Dezembro do 2011, a Corte Suprema de Londres decidiu que Jayden Al Alas Wray, morta aos quatro meses de idade, considerada vítima de SBS, como demostrava a clássica tríade de lesões bem como fraturas em múltiplos pontos do seu corpo, tinha morto na verdade por uma grave deficiência de vitamina D (raquitismo), pelo que absolveu os seus pais e lhes devolveu o cuidado da sua outra filha, que achava-se ao cuidado dos serviços sociais.[66]
O 6 de Janeiro do 2011, o Crown Prosecution Service, o Serviço da Procuradoria da Coroa de Grã- Bretanha e Gales publicou um guia atualizado para os procuradores que tratem com Non-Accidental Head Injury (NAHI) (Traumatismo Craniano Não Acidental, em português) que envolvam crianças, antes conhecido como "Síndrome do Bebê Sacudido". Neste guia afirmava-se: "Quando se acham as três lesões internas cranianas fundamentais num caso de NAHI, o procurador sempre considerará todas as circunstâncias que o rodeiem e a evidência em cada caso antes de tomar uma decisão. O guia deixa claro que é improvável que se poda justificar um homicídio ou tentativa de assassinato ou delito de agressão quando a única evidência disponível seja a tríade de lesões."[67]
O tribunal invalidou a "hipótese unificada" proposta por a patologista britânica J. F. Geddes e os seus colegas como um mecanismo alternativo para as hemorragias subdural e retiniana achadas en casos suspeitos de SBS.[64] A hipótese unificada propõe que a hemorragia não estava causada por o rompimento de veias subdurais ou retinianas mas sim por hipoxia, pressão intracraniana elevada e pressão elevada nos vasos sanguíneos do cérebro.[64] O tribunal informou de que "a hipótese unificada já não se (podia) considerar como uma causa creível ou alternativa da tríade de lesões": hemorragia subdural, derrame retiniano e encefalopatia devidos a hipoxemia (pouco oxigênio no sangue) achados em SBS.[64]
O 31 de Janeiro do 2008, o Tribunal de Recursos de Wisconsin concedeu a Audrey A. Edmunds um novo juízo baseado em "pareceres médicos competentes e críveis para determinar si existe realmente uma dúvida razoável sobre a culpa de Edmunds." Expressamente, o tribunal achou que "Edmunds apresenta evidência que não tinha sido descoberta até depois da sua condenação, na forma de testemunho médico perito, de que um debate significativo e legítimo desenvolveu-se nos últimos dez anos sobre a possibilidade de lesar e ferir mortalmente uma criança pequena só mediante sacudida, si uma criança pequena pode sofrer um traumatismo cranioencefálico e, mesmo assim, experimentar um período significativo de lucidez que antecede à morte, e se outras causas podem imitar os sintomas tradicionalmente vistos como indicadores da síndrome do bebê sacudido ou síndrome de sacudida e impacto."[68][69]
Em Fevereiro de 2011, The New York Times Magazine publicou um extenso artigo sobre polêmicas condenações, revisões e disputas dos peritos e médicos especialistas nos tribunais em torno da SBS,[70] centrando-se nas dificuldades para se defender duma imigrante peruviana, Trudy Eliana Muñoz Rueda, e na vitória legal de Audrey A. Edmunds, recolhendo argumentos a favor e contra da comunidade científica.
Em 2008, a pedido do chefe de patologia forense da província, a Procuradoria de Ontario, Canadá, começou uma revisão de 48 condenações por bebê sacudido. Segundo o comitê criado especialmente para a ocasião: "Os resultados de alguns estudos refutaram a presunção de que a tríade represente uma prova concludente de sacudida manual. O diagnóstico de SBS tornou-se no foco de controvérsia e debate significativos."[71]
Em 20 de Março do 2015, The Washington Post começou a publicar uma comprida série de artigos sobre as discussões científicas e os problemas legais em torno desta síndroma nos Estados Unidos. O artigo foi produto dum estudo dum ano de duração, em colaboração com jornalistas do Medill Justice Project, da Northwestern University, utilizaram-se registros dos tribunais e relatos dos meios de comunicação para rastrear os registros de uns 1800 casos no país desde 2001 que aparentemente envolviam sacudida. Também obtiveram informação do National Registry of Exonerations da University of Michigan Law School e das blogueiras especializadas no tema Sue Luttner e Susan Anthony. Foram revisados os processos de tribunais em mais de 800 condados dos E.E.U.U. abrangendo o 75 por cento da povoação nacional. Em várias dezenas de casos rejeitados, os jornalistas examinaram milhares de páginas e gravações policiais, incluindo relatórios médicos e autópsias. Foram realizadas entrevistas com familiares, advogados, acusados de prisão e médicos em ambos lados do debate científico. O jornal também encarregou um estudo a uma firma de engenharia nos arredores de Detroit, Design Research Engineering, para comparar a aceleração entre quedas e sacudidas.[72]
Um dos argumentos mais usados pelos advogados da defesa em juízos deste tipo é pôr em causa a identificação do agressor. Com o estudo de mais e mais casos, descobriu-se que é possível que uma criança sofra uma lesão cerebral e permaneça consciente. A criança pode estar letárgica ou irritável, pode deixar de comer ou dormir de modo normal durante horas ou dias, enquanto a hemorragia subdural ou outras lesões se agravam, para terminar em crises agudas. Dada a impossibilidade de certificar o momento da lesão, mesmo que os médicos estejam certos de que tem existido abuso, existe o risco de condenar um inocente e não o verdadeiro culpado. John Leventhal, pediatra professor de Yale com grande experiência no estudo do abuso infantil, afirmou para o New York Times: "A polícia quer que determinemos o momento dentro de uma a três horas. Porém às vezes só podemos determinar o momento dentro de dias".
Em 2024, no dia 17/10 o americano Robert Roberson foi executado, condenado pelo homicídio da filha de dois anos em 2002 devido a SBS[73]
[carece de fontes]
Em 2012, o dr. A. Norman Guthkelch, o neurocirurgião ao que geralmente lhe é atribuído o "descobrimento” do SBS,[74] publicou um artigo "depois de quarenta anos de consideração," que é duramente crítico com as acusações de bebê sacudido baseadas simplesmente na tríade de lesões.[28] Novamente, no 2012, o dr. Guthkelch declarou numa entrevista, "creio que necessitamos começar de novo por o início e realizar uma avaliação mais completa desses casos fatais, e apostaria... que vamos achar em cada caso –ou ao menos na grande maioria dos casos, que a criança tinha outra doença grave de algum tipo que tinha passado despercebida até que já foi tarde demais."[75] Mais ainda, em 2015, o dr. Guthkelch chegou a afirmar que, "eu era contrário a definir aquelo como uma síndrome em primeiro lugar. Ir e dizer cada vez que o vês, é um crime... Tornou-se num modo fácil de ir ao cárcere."[76]
Pelo contrário, a Teri Covington, que dirige o National Center for Child Death Review Policy and Practice (Centro Nacional para a Política e Prática de Revisão da Morte Infantil), o preocupa que tal preocupação tenha conduzido a um número crescente de casos de abuso infantil nos que não se castiga o agressor.
Síndrome em adultos
Deram-se informações sobre casos duma síndrome semelhante em adultos. [77]
Referências
- ↑ Kliegman, R.M.; Stanton, B.F.; St. Geme, J.W.; Schor, N. F.; Behrman, R. E. (2011). «37». Nelson Textbook of Pediatrics 19 ed. Philadelphia: Elsevier Saunders. p. 139. ISBN 978-1-4377-0755-7
- ↑ Oliveira, Isadora Froeder; Fortes, Clarisse Pereira Dias Drumond; Mól, Viviane Soldati; Rezende, Rosemary; Costa, Luciano Rodrigues; Machado, Thaísa (2019). «Síndrome do Bebê Sacudido - Um Relato de Caso». Revista de pediatria SOPERJ (2): 46–49. doi:10.31365/issn.2595-1769.v19i2p46-49. Consultado em 6 de abril de 2022
- ↑ American Academy of Pediatrics: Committee on Child Abuse and Neglect (2001). «Shaken baby syndrome: rotational cranial injuries-technical report». Pediatriacs. 108 (1). pp. 206–10. PMID 11433079
- ↑ Lopes, N. R.; Eisenstein, E.; Williams, L.C (2013). «Abusive head trauma in children: a literature review». J Pediatr (Rio J). 89 (5). pp. 426–33. PMID 23850113. doi:10.1016/j.jped.2013.01.011
- ↑ «NINDS Shaken Baby Syndrome information page». National Institute of Neurological Disorders and Stroke. 14 de fevereiro de 2014. Consultado em 13 de dezembro de 2015. Arquivado do original em 29 de maio de 2014
- ↑ B.G.Brogdon,Tor Shwayder,Jamie Elifritz Child Abuse and its Mimics in Skin and Bone
- ↑ a b c «Cuadernos de Medicina Forense - El síndrome del niño sacudido»
- ↑ Levin AV (novembro de 2010). «Retinal hemorrhage in abusive head trauma». Pediatrics. 126 (5): 961–70. PMID 20921069. doi:10.1542/peds.2010-1220
- ↑ Kempe CH, Silverman FN, Steele BF, Droegemueller W, Silver HK (julho de 1962). «The battered-child syndrome». JAMA. 181: 17–24. PMID 14455086. doi:10.1001/jama.1962.03050270019004
- ↑ Caffey, John (1 de agosto de 1972). «On the Theory and Practice of Shaking Infants: Its Potential Residual Effects of Permanent Brain Damage and Mental Retardation». American Journal of Diseases of Children (em inglês). 124 (2). 161 páginas. ISSN 0002-922X. doi:10.1001/archpedi.1972.02110140011001. Consultado em 3 de janeiro de 2022
- ↑ a b c d «Shaken Baby Syndrome». Journal of Forensic Nursing. Consultado em 27 de abril de 2011
- ↑ «Types of brain injury: Shaken baby syndrome». web.archive.org. Brain Injury Association of America. Retrieved on September 24, 2007.
- ↑ a b «Síndrome del Niño Zarandeado» (PDF). DIF Jalisco. Arquivado do original (PDF) em 3 de março de 2016
- ↑ Zuccoli, Giulio; Panigrahy, Ashok; Haldipur, Anshul; Willaman, Dennis; Squires, Janet; Wolford, Jennifer; Sylvester, Christin; Mitchell, Ellen; Lope, Lee Ann (1 de julho de 2013). «Susceptibility weighted imaging depicts retinal hemorrhages in abusive head trauma». Neuroradiology (em inglês). 55 (7): 889–893. ISSN 1432-1920. PMC 3713254
. PMID 23568702. doi:10.1007/s00234-013-1180-7. Consultado em 3 de janeiro de 2022
- ↑ a b c d e f g h i American Academy of Pediatrics: Committee on Child Abuse and Neglect (julho de 2001). «Shaken baby syndrome: rotational cranial injuries-technical report». Pediatrics. 108 (1): 206–10. PMID 11433079. doi:10.1542/peds.108.1.206
- ↑ a b c d Oral R (agosto de 2003). «Intentional head trauma in infants: Shaken baby syndrome» (Archived). Virtual Children's Hospital. Consultado em 9 de outubro de 2006. Cópia arquivada em 14 de fevereiro de 2005
- ↑ «Vitreoretinal traction is a major factor in causing the haemorrhagic retinopathy of abusive head injury? – No». www.nature.com Eye, Clarke M.P.
- ↑ «Post Mortem Findings». www.ajo.com
- ↑ The Royal College of Pathologists. «Report Of A Meeting On The Pathology Of Traumatic Head Injury In Children» (PDF). Consultado em 21 de dezembro de 2015. Arquivado do original (PDF) em 2 de junho de 2013
- ↑ Findley KA, Barnes PD, Moran DA, Squier W (30 de abril de 2012). «Shaken Baby Syndrome, Abusive Head Trauma, and Actual Innocence: Getting It Right». Houston Journal of Health Law and Policy
- ↑ Squier W. «"Shaken Baby Syndrome" and Forensic Pathology». Forensic Science , Medicine and Pathology. 10 (2): 248–250. doi:10.1007/s12024-014-9533-z
- ↑ Bandak FA (2005). «Shaken Baby Syndrome: A biomechanical analysis of injury mechanisms». 151: 71–79
- ↑ Margulies S; Prange M; Myers BS; et al. (dezembro de 2006). «Shaken baby syndrome: a flawed biomechanical analysis». Forensic Science International. 164 (2–3): 278–9; author reply 282–3. PMID 16436323. doi:10.1016/j.forsciint.2005.12.018
- ↑ Rangarajan N, Shams T (dezembro de 2006). «Re: shaken baby syndrome: a biomechanics analysis of injury mechanisms». Forensic Science International. 164 (2–3): 280–1; author reply 282–3. PMID 16497461. doi:10.1016/j.forsciint.2005.12.017
- ↑ Bandak F (dezembro de 2006). «Response to the Letter to the Editor». Forensic Science International. 157 (1): 282–3. doi:10.1016/j.forsciint.2006.01.001 which refers to
Margulies S; Prange M; Myers BS; et al. (dezembro de 2006). «Shaken baby syndrome: a flawed biomechanical analysis». Forensic Science International. 164 (2–3): 278–9; author reply 282–3. PMID 16436323. doi:10.1016/j.forsciint.2005.12.018 - ↑ «Título ainda não informado (favor adicionar)». link.springer.com“Shaken baby syndrome” and forensic pathology Forensic Science, Medicine, and Pathology June 2014, Volume 10, Issue 2, pp 253-255
- ↑ «'Shaken Baby Syndrome' – a response by Dr Waney Squier Family Law Week 2010». www.familylawweek.co.uk
- ↑ a b «Título ainda não informado (favor adicionar)» (PDF). globalwrong.files.wordpress.com
- ↑ «'Executive Summary of the Third National Conference on Shaken Baby Syndrome'» (PDF). www.dontshake.org. Consultado em 23 de dezembro de 2015. Arquivado do original (PDF) em 23 de janeiro de 2015, p. 2
- ↑ «Shaken Baby Syndrome Resources». American Academy of Ophthalmology. Consultado em 24 de dezembro de 2015. Arquivado do original em 1 de outubro de 2006
- ↑ «Shaken Baby Syndrome Resources». American Academy of Ophthalmology. Consultado em 24 de dezembro de 2015. Arquivado do original em 1 de outubro de 2006
- ↑ «Título ainda não informado (favor adicionar)». www.ncbi.nlm.nih.gov
- ↑ Togioka BM, Arnold MA, Bathurst MA, et al. (2009). «Retinal hemorrhages and shaken baby syndrome: an evidence-based review». J Emerg Med. 37: 98–106. doi:10.1016/j.jemermed.2008.06.022
- ↑ Minns RA, Busuttil A (março de 2004). «Patterns of presentation of the shaken baby syndrome: Four types of inflicted brain injury predominate». BMJ. 328 (7442). 766 páginas. PMC 381336
. PMID 15044297. doi:10.1136/bmj.328.7442.766
- ↑ Clemetson CAB (julho de 2004). «Capillary Fragility as a Cause of Substantial Hemorrhage in Infants» (PDF). Medical Hypotheses and Research. 1 (2/3): 121–129. Consultado em 19 de maio de 2009. Arquivado do original (PDF) em 4 de março de 2009
- ↑ Johnston, C.S. (1996). «Chapter 10) The Antihistamine Action of Ascorbic Acid». Ascorbic Acid; Biochemistry and Biomedical Cell Biology. 25. [S.l.]: Plenum Press. p. 189. ISBN 978-0-306-45148-5
- ↑ Majno G, Palade GE, Schoefl GI (dezembro de 1961). «STUDIES ON INFLAMMATION : II. The Site of Action of Histamine and Serotonin along the Vascular Tree: A Topographic Study». The Journal of Biophysical and Biochemical Cytology. 11 (3): 607–26. PMC 2225127
. PMID 14468625. doi:10.1083/jcb.11.3.607
- ↑ Fung EL, Nelson EA (dezembro de 2004). «Could Vitamin C deficiency have a role in shaken baby syndrome?». Pediatrics International. 46 (6): 753–5. PMID 15660885. doi:10.1111/j.1442-200x.2004.01977.x
- ↑ Dettman G (março de 1978). «Factor "X", sub-clinical scurvy and S.I.D.S. Historical. Part 1». The Australasian Nurses Journal. 7 (7): 2–5. PMID 418769
- ↑ Kalokerinos A, Dettman G (julho de 1976). «Sudden death in infancy syndrome in Western Australia». The Medical Journal of Australia. 2 (1): 31–2. PMID 979792
- ↑ Institute of Medicine (IOM) (1991). «Chapter 6) Evidence Concerning Pertussis Vaccines and Other Illnesses and Conditions -- Protracted Inconsolable Crying and Screaming». Adverse Effects of Pertussis and Rubella Vaccines. [S.l.]: The National Academies Press. p. 165. ISBN 0-309-04499-5
- ↑ Lee RV (1983). «Scurvy: a contemporary historical perspective». Connecticut Medicine. 47 (10): 629–32, 703–4. PMID 6354581
- ↑ Weinstein M, Babyn Phil, Zlotkin S (2001). «An Orange a Day Keeps the Doctor Away: Scurvy in the Year 2000». Pediatrics. 108 (3): e55. PMID 11533373. doi:10.1542/peds.108.3.e55
- ↑ Rajakumar K (2001). «Infantile Scurvy: A Historical Perspective». Pediatrics. 108 (4): e76. PMID 11581484. doi:10.1542/peds.108.4.e76
- ↑ Pinto, F. C.; et al. (dezembro de 2003). «hemophilia and child abuse as possible causes of epidural hematoma: case report». arquivos de neuro-psiquiatria (61(4)): 1023-5
- ↑ Laposata, Mixhael (2005). «Shaken Baby Syndrome Case Study» (PDF) (em inglês). truthinjustice
- ↑ Carrega-Woodby, Christina (7 de junho de 2015). «Dad jailed for infant's death insists meningitis, not shaken baby syndrome, killed daughter». New York Daily News
- ↑ CabrerizodeDiago, R (2005). «Shaken baby syndrome and osteogeneis imperfecta» (em espanhol). revistadeneurología
- ↑ Barnes, Patrick D.; et al. (2010). «Infant acute life-threatening event--dysphagic choking versus nonaccidental injury». PubMed.gov: 5
- ↑ Looney CB, Smith JK, Merck LH, et al. (fevereiro de 2007). «Intracranial hemorrhage in asymptomatic neonates: prevalence on MR images and relationship to obstetric and neonatal risk factors». Radiology. 242 (2): 535–41. PMID 17179400. doi:10.1148/radiol.2422060133
- ↑ Squier, Waney; Mack, Julie (9 de fevereiro de 2009). «The neuropathology of infant subdural haemorrhage». Forensic Science International. 187: 6-13. doi:10.1016/j.forsciint.2009.02.005 Share on mendeley Verifique
|doi=(ajuda) - ↑ Rooks, Veronica; et al. (3 de abril de 2008). «Prevalence and Evolution of Intracranial Hemorrhage in Asymptomatic term infants» (PDF). American Journal of Neuroradiology. 28: 1082-1089. doi:10.3174/ajnr.A1004
- ↑ Greenes, D.S.; Schutzman, S.A. (setembro de 1997). «Infants with isolated skull fracture: what are their clinical characteristics, and do they require hospitalization?». Annals of emergency medicine (30(3)): 253-9
- ↑ Yamell, P.; Ommaya, A. K. (janeiro de 1969). «Experimental cerebral concussion in the rhesus monkey». Bulletin of the New York Academy of Medicine. 45(1): 39-45
- ↑ American Academy of Pediatrics: Committee on Child Abuse and Neglect (julho de 2001). «Shaken baby syndrome: Rotational cranial injuries. Technical report». Pediatrics. 108 (1): 206–10. PMID 11433079
- ↑ Duhaime, Ann-Christine; et al. (1987). «The shaken baby syndrome: a clinical, pathological, and biomechanical study». Journal of Neurosurgery. 112 (2): 409-415
- ↑ Geddes, J.F.; Plunkett, J. (27 de abril de 2004). «The evidence base for shaken baby syndrome; We need to question the diagnostic criteria». British Medical Journal (328(7442)): 719-720
- ↑ Bandak, Faris A. (30 de maio de 2005). «Shaken baby syndrome: a biomechanics analysis of injury mechanims». Forensic Science International. 151 (1): 71-79. doi:10.1016/j.forsciint.2005.02.033
- ↑ Guthkelch, Norman (2012). «Problems of Infant Retino-Dural Hemorraghe with Minimal External Injury» (PDF). Houston Journal of Health Law & Policy. 12: 201-208
- ↑ Wrenall, Lynne; Bache, Bill; Pragnell, Charles; Cohen, Marta (2015). «Carta Abierta sobre o Síndrome del Bebé Sacudido y los Tribunales: Una premisa falsa y defectuosa». carta al editor. revista electrónica de autopsias
- ↑ «Shaken babies» (PDF). The Lancet. 352 (9125): 335. 1 de agosto de 1998
- ↑ Tuerkheimer, Deborah (2014). Flawed Convictions; the "Shaken Baby Syndrome" and the Inertie of the Injustice (PDF). [S.l.]: Oxfor University Press. pp. 17–27 [1]
- ↑ Svalavitz, Maia (17 de janeiro de 2012). «The Shaky Science of Shaken Baby Syndrom». Time.com. Healthlandtime.com
- ↑ a b c d e De Leeuw M, Jacobs W (2007). «Shaken baby syndrome: The classical clinical triad is still valid in recent court rulings». Critical Care. 11 (Supplement 2): 416. doi:10.1186/cc5576
- ↑ «Shaken baby convictions overturned». Special Reports. Guardian Unlimited. 21 de julho de 2005. Consultado em 15 de outubro de 2006
- ↑ Borland, Sophie (29 de janeiro de 2012). «Is a rise in rickets being mistaked for chil abuse? Parents being wrongly accused because of vitamin D deficiency». Daily Mail
- ↑ Crown Prosecution Service. «CPS published guidance to Non-Accidental Head Injury cases involving infants» (em inglês). gobierno do Reino Unido. Consultado em 11 de fevereiro de 2016. Arquivado do original em 18 de novembro de 2016
- ↑ «Court of Appeals decision - State of Wisconsin v. Audrey A. Edmonds». Wisconsin Court Opinions. Findlaw. 31 de janeiro de 2008. Consultado em 25 de setembro de 2009
- ↑ «Keith A. Findley Co‐Director, Wisconsin Innocence Project Clinical Professor, University of Wisconsin Law School Litigating Postconviction Challenges to Shaken Baby Syndrome Convictions» (PDF). www.nacdl.org
- ↑ Bazelon, Emily (2 de fevereiro de 2011). «Shaken-Baby Syndrome Faces New Questions in Court». The New York Times Magazine
- ↑ Ebbs, Donald A.; Pollanen, Michel; et al. (4 de março de 2011). «Shaken Baby Death Review» (PDF). informe para el fiscal general de Ontario
- ↑ Scroeder, Lauryn; et al. (20 de março de 2015). «The unsettled science of shaken baby syndrome». The Washington Post
- ↑ «Justiça do Texas nega recurso e mantém execução de homem condenado por morte da filha com 'síndrome do bebê sacudido'». G1. 16 de outubro de 2024. Consultado em 20 de outubro de 2024
- ↑ «Título ainda não informado (favor adicionar)». www.npr.org
- ↑ «Título ainda não informado (favor adicionar)». onsbs.com
- ↑ «The Nanny Murder Trial: Retro Report Voices: The Lawyer». New York Times. Consultado em 14 de setembro de 2015
- ↑ Carrigan, T D. «Domestic Violence: The Shaken Adult Syndrome» (PDF). Journal of Accident and Emergency Medicine. Consultado em 26 de setembro de 2013