Oligodendroglioma anaplásico
O oligodendroglioma anaplásico é um tumor neuroepitelial que se acredita ter origem nos oligodendrócitos, um tipo de célula da glia. Na classificação de tumores cerebrais da Organização Mundial da Saúde (OMS), os oligodendrogliomas anaplásicos são classificados como grau III.[1] No curso da doença, pode degenerar em um oligodendroglioma altamente maligno de grau IV.[2] A grande maioria dos oligodendrogliomas ocorre esporadicamente, sem causa confirmada e sem herança familiar.
Sinais e sintoma
Os sintomas do oligodendroglioma anaplásico podem incluir:[4]
- Convulsão
- Dor de cabeça
- Fraqueza em um lado do corpo
- Dificuldades de idioma
- Mudanças de comportamento e personalidade
- Problemas de equilíbrio e movimento
- Problemas de memória.
Patogênese
O oligodendroglioma anaplásico (maligno) pertence ao grupo dos gliomas difusos e surge no sistema nervoso central (cérebro e medula espinhal) a partir de células-tronco precursoras dos oligodendrócitos. Este tumor ocorre principalmente na idade adulta média com pico de frequência na 4ª e 5ª década de vida.[5]
Diagnóstico
O procedimento diagnóstico mais importante é a ressonância magnética (RM).[5] Ocasionalmente, fora dos diagnósticos de rotina, o metabolismo no tecido é mostrado usando tomografia por emissão de pósitrons (PET). O diagnóstico é confirmado por um exame de tecido fino após uma operação. Os oligodendrogliomas anaplásicos geralmente mostram perda de material genético. Cerca de 50 a 70%[6] dos oligodendrogliomas anaplásicos de grau III da OMS combinam perdas de alelos no braço curto do cromossomo 1 (1p) e no braço longo do cromossomo 19 (19q). Essa alteração é mais conhecida como "1p / 19q Co Deletion". Pode ser visto como favorável para o paciente e torna mais provável uma resposta à radiação ou quimioterapia.[5] A designação de oligodendroglioma grau III (alto grau) geralmente engloba os diagnósticos prévios de oligodendroglioma anaplásico ou maligno.[1]
-
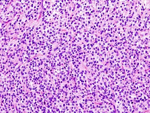
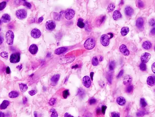
Imagem histopatológica de oligodendroglioma anaplásico no cérebro. Coloração de hematoxilina e eosina. -
Zoom, observe as formas irregulares de células e núcleos. -
IDH1 R132H em oligodendroglioma anaplásico.
Tratamento
A cirurgia pode ajudar a reduzir os sintomas causados pelo tumor. A remoção mais completa possível do tumor visível na ressonância magnética é preferida, desde que a localização do tumor permita isso. Como normalmente as células de um oligodendroglioma anaplásico já migraram para o tecido cerebral saudável circundante no momento do diagnóstico, a remoção cirúrgica completa de todas as células tumorais não é possível. O marcador "1p/19q Codeletion" desempenha um papel cada vez mais importante na seleção de terapia e combinações de terapia. Como esse tumor é uma "condição indolente" (uma condição médica lentamente progressiva associada a pouca ou nenhuma dor) e a morbidade potencial associada à neurocirurgia, quimioterapia e radioterapia, a maioria dos neurooncologistas inicialmente seguirá um curso de espera vigilante e tratará os pacientes sintomaticamente. O tratamento sintomático geralmente inclui o uso de anticonvulsivantes para convulsões e esteróides para inchaço cerebral. Para tratamento adicional, a radioterapia ou quimioterapia com temozolomida ou quimioterapia com Procarbazina, Lomustina e Vincristina (PCV) mostrou-se eficaz e foi o regime de quimioterapia mais comumente usado para o tratamento de oligodendrogliomas anaplásicos.[5][7]
Cyberknife pode ser usado para tratamentos de oligodendroglioma anaplásico.[8]
Prognóstico
Taxa de sobrevida relativa de 5 anos: 20 a 44 anos, 76%. Idade 45-54, 67%. Idade 55-64, 45%.[9][10] Procarbazina, lomustina e vincristina são usadas desde maio de 1975. Há 48 anos, novas opções terapêuticas têm sido testadas regularmente como parte de estudos terapêuticos para melhorar o tratamento do oligodendroglioma anaplásico.[11]
Pesquisar
Foi a descoberta de que as neoplasias se comunicam entre si em uma grande rede, trocam substâncias necessárias para a sobrevivência e, assim, podem evitar os efeitos da radiação ou da quimioterapia. A comunicação em rede também desempenha um papel importante na propagação da doença. As células cancerosas também se ligam às células nervosas saudáveis e recebem sinais diretos delas para que os tumores possam crescer mais rapidamente. Os mecanismos estudados não só oferecem explicações fundamentalmente novas para o crescimento muito agressivo deste tipo de tumor. Eles também oferecem abordagens para novos tratamentos para parar o crescimento de tumores cerebrais e tornar os tratamentos existentes mais eficazes. Portanto, parar ou mesmo destruir redes de células cancerosas está se tornando um princípio terapêutico totalmente novo em oncologia, com os primeiros ensaios clínicos baseados nessas descobertas.[12]
Literatura
- M. Weller, M. van den Bent, M. Preusser, E. Le Rhun, J. C. Tonn, G. Minniti, M. Bendszus, C. Balana, O. Chinot, L. Dirven, P. French, M. E. Hegi, A. S. Jakola, M. Platten, P. Roth, R. Rudà, S. Short, M. Smits, M. J. Taphoorn, A. von Deimling, M. Westphal, R. Soffietti, G. Reifenberger, W. Wick: EANO guidelines on the diagnosis and treatment of diffuse gliomas of adulthood. In: Nature reviews. Clinical oncology. Band 18, Nummer 3, 03 2021, S. 170–186, doi:10.1038/s41571-020-00447-z, PMID 33293629, PMC 7904519 (Review).
Links da web
- «Diagnóstico molecular». Centro de Neuropatologia e Pesquisa de Príons – Ludwig-Maximilians-Universität München. Consultado em 23 de outubro de 2021
Referências
- ↑ a b Louis DN, Ohgaki H, Wiestler OD, Cavenee WK, Burger PC, Jouvet A, Scheithauer BW, Kleihues P (agosto de 2007). «The 2007 WHO classification of tumours of the central nervous system». Acta Neuropathol. 114. PMC 1929165
. PMID 17618441
- ↑ Radboud universitair medisch centrum. «highly malignant oligodendroglioma, grade IV» (PDF). www.radboudumc.nl/ (em neerlandês)
- ↑ «Treatment Recommendations for Anaplastic Oligodendrogliomas That Are Codeleted». Oncology. 4 de janeiro de 2021
- ↑ Sandberg, Julian (6 de março de 2022). «Oligodendrogliom, hjärntumör: orsaker, symtom och behandlingar» [Oligodendroglioma brain tumor: causes, symptoms and treatments]
- ↑ a b c d Schweizerische Hirntumor Stiftung. «Anaplastisches Oligodendrogliom». www.swissbraintumorfoundation.com/ (em alemão)
- ↑ administrador (5 de fevereiro de 2020). «Anaplastic oligodendroglioma, IDH-mutant & 1p/19q-codeleted» (em inglês)
- ↑ Engelhard HH, Stelea A, Mundt A (novembro de 2003). «Oligodendroglioma and anaplastic oligodendroglioma: clinical features, treatment, and prognosis». Surg Neurol. 60 (5): 443–56. PMID 14572971. doi:10.1016/s0090-3019(03)00167-8
- ↑ «Radiosurgery/Cyberknife». Stanford School of Medicine. Cópia arquivada em
|arquivourl=requer|arquivodata=(ajuda) 🔗 Parâmetro desconhecido|access-data=ignorado (ajuda); Parâmetro desconhecido|archive-data=ignorado (ajuda) - ↑ «Survival Rates for Selected Adult Brain and Spinal Cord Tumors». American Cancer Society. Consultado em 8 de janeiro de 2021
- ↑ Ostrom QT, Gittleman H, Xu J,; et al. (7 de novembro de 2017). «Survival Rates for Selected Adult Brain and Spinal Cord Tumors». CBTRUS statistical report: Primary brain and other central nervous system tumors diagnosed in the United States in 2009-2013. Neuro Oncol. 2016;18 Suppl 5:v1−v75.
- ↑ Gutin PH, Wilson CB, Kumar AR, Boldrey EB, Levin V, Powell M, Enot KJ (Maio, 1975). «Phase II study of procarbazine, CCNU, and vincristine combination chemotherapy in the treatment of malignant brain tumors». Cancer. 35 (5): 1398–404. PMID 1122488. doi:10.1002/1097-0142(197505)35:5<1398::aid-cncr2820350524>3.0.co;2-c
- ↑ Winkler F, Venkatesh HS, Amit M, Batchelor T, Demir IE, Deneen B, Gutmann DH, Hervey-Jumper S, Kuner T, Mabbott D, Platten M, Rolls A, Sloan EK, Wang TC, Wick W, Venkataramani V, Monje M (abril 2023). «Cancer Neuroscience: State of the Field, Emerging Directions». Cell. 186 (8): 1689–1707. doi:10.1016/j.cell.2023.02.002