Neurocisticercose

Neurocisticercose (NCC) é uma infecção do sistema nervoso central (SNC) pela forma larvária da Taenia solium, sendo problema particularmente comum em países latino-americanos, asiáticos e africanos. É uma doença de origem parasita e potencialmente endêmica e ocasiona, sobretudo, epilepsia crônica. Em humanos, esta enfermidade pode se dar pela ingestão de água ou alimentos contaminados com ovos viáveis de Taenia solium. Se tratada a tempo, possui um bom prognóstico. A quantidade de cisticercos pode variar de 1 a 500 ou mais e seu tamanho de 1-7 ou mais cm de diâmetro.
Etiologia
A cisticercose é causada pela forma larvária da Taenia solium chamada cisticerco, que se alberga, principalmente, na musculatura de suínos que são hospedeiros intermediários. O hospedeiro definitivo desta Taenia é o homem, no qual a forma adulta do parasita se aloja no Intestino Delgado. No entanto, o homem pode também ser hospedeiro intermediário se ingerir ovos da Taenia procedente de fezes de portadores humanos do parasita. As larvas dessa espécie de cestoda tem um nome específico em latim: Cistycercus cellulosae. Esse nome tem origem no fato de que a presença das larvas nas carnes dos suínos era atribuída a uma espécie de verme própria desse hospedeiro, quando ainda não se conhecia o ciclo do parasita. Mais tarde, estudos demonstraram que as 'canjiquinhas', como são chamadas as larvas presentes nas carnes dos suínos, eram na verdade, as larvas da Taenia solium, parasita do intestino do homem.
Etiopatogenia
Os porcos se infestam ao ingerir fezes humanas que contém ovos da Taenia solium, os quais se transformam em larvas (cisticercos) e se instalam nos músculos onde produzem cisticercose e no cérebro onde produzem neurocisticercose. Quando as pessoas comem a carne do porco mal cozida, infectada com cisticercos, desenvolvem a Teníase Intestinal, porém não a Cisticercose do SNC. Ao ingerir os ovos da Taenia, o indivíduo pode desenvolver cisticercose.
Epidemologia
A presença da doença está associada à zonas pobres, onde se come carne de porco e onde esses animais são criados de forma extensiva, à larga, isto é, soltos nas ruas e lixões.
A falta de higiene e de saneamento básico eficaz, a utilização de águas contaminadas com fezes humanas, sem tratamento adequado, facilitam a propagação da enfermidade.
O abate clandestino dos suínos destinados ao consumo, sem a devida inspeção feita por profissionais médicos veterinários em abatedouros oficiais, e a posterior ingestão de carnes contaminadas com os cisticercos, é também importante fator para a manutenção da doença.
Sintomas
- Convulsão: é a forma mais comum de apresentação da NCC.
- Hidrocefalia: sintomas da hidrocefalia são deteriorizão cognitiva, incontinência esfincteriana e dificuldade de marcha. Cefaleia é agregada quando hipertensão intracraniana está associada.
- Infarto Cerebral:(AVE) surge em conseqüência da vasculite criada pelo cisticerco.
- Pseudo-Tumorais: cistos gigantes irão simular tumor ou abcesso cerebral.
- Movimentos anormais como parkinsonismo, ataxia, e coréia[1]
Fisiopatologia
O cisticerco é viável por tempo indefinido e só morre se produzida uma reação granulosa.
Estudos experimentais mostram que no corpo do porco, os eosinófilos cercam e atacam os cisticercos; depois se observam linfócitos e células plasmáticas formando grupo ao redor do parasita e finalmente os macrófagos fagocitam dejetos celulares e corpúsculos calcários.
Os cisticercos vivos se mantém mesmo com a presença de anticorpos, devido ao seu mecanismo de evasão imune, desvio de moléculas imunossupressoras e mascaramento por imunoglobinas.
Foi observado que a resposta imune do enfermo é diferente na corrente sanguínea e no líquido cefalorraquidiano, mas a classe de anticorpos contra os cisticercos mais frequente é IgG.
Diagnóstico
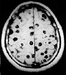
É diagnosticada por meio da Ressonância Magnética e da Tomografia Axial Computadorizada, os quais são de alta confiabilidade, permitindo saber a etiologia e definir o número, localização e extensão das lesões. Também se faz o diagnóstico através do estudo citológico e bioquímico do Líquido Cefaloraquideo (LCR)
Há também o método de imunoeletrotransferência.
Tratamento
Com o emprego de drogas sintomáticas (DAE e corticoides) associadas ou não a agentes cisticidas; uso de Albendazol.
Observação: O tratamento prolongado é tóxico para o fígado e a medula, os quais devem ser monitorados...
Referências
- UFSC - Neurologia[ligação inativa]
- ↑ Rissardo, JamirPitton; Caprara, AnaLetícia Fornari; Durante, Ícaro (2020). «Neurocysticercosis and movement disorders: A literature review». Brain Circulation (em inglês) (4). 225 páginas. ISSN 2394-8108. PMC 7821807
. PMID 33506145. doi:10.4103/bc.bc_48_20. Consultado em 22 de outubro de 2021