Medula adrenal
Medula da glândula suprarrenal
| |
|---|---|
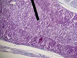
![]() Medula legendada na zona inferior direita.
| |
| Detalhes | |
| Sistema | Endócrino |
| Vascularização | A. suprarrenal superior, A. supra-renal média, A. suprarrenal inferior |
| Drenagem venosa | Veia suprarrenal |
| Inervação | Plexo celíaco, plexo renal |
| Drenagem linfática | Gânglios lombares |
| Precursor | Crista neural |
| Identificadores | |
| Latim | Medulla glandulae suprarenalis |
| Gray | pág.1280 |
| MeSH | Adrenal+Medulla |
A medula da suprarrenal é a parte central da glândula adrenal, sendo rodeada pelo córtex adrenal.
Histologia
A medula da suprarrenal apresenta dois tipos celulares: as células cromafins e as células ganglionares. Quando corada em H+E, a medula da suprarrenal é composta por cordões de células com citoplasma ligeiramente basófilo e granular e com numerosos capilares, no estroma. Os canais venosos que drenam os sinosóides do córtex passam através da medula em direção à veia medular central.
Células cromafins
As células cromafins são as mais abundantes e podem ser consideradas neurônios simpáticos pós-ganglionares, uma vez que são estimuladas pela acetilcolina libertada de neurônios simpáticos pré-ganglionares, em casos de stress agudo físico ou psicológico. Estas células produtoras de catecolaminas apresentam um núcleo grande, um complexo de Golgi bem desenvolvido e grânulos secretores de catecolaminas. Quando corados com sais de crômio, os grânulos secretores oxidam e apresentam uma coloração castanha, daí o seu nome, cromafins. A maioria das células produz adrenalina.[1]
Células ganglionares parassimpáticas
São escassas e têm as características típicas de células ganglionares autônomas. Possuem um grande núcleo com cromatina dispersa e nucléolo proeminente e um citoplasma basófilo extenso.[1]
Hormônios
Catecolaminas
As catecolaminas se referem aos hormônios adrenalina e noradrenalina. Quando a medula adrenal é estimulada pelo sistema nervoso simpático, aproximadamente 80% da secreção é adrenalina e 20% noradrenalina, estes percentuais variam de acordo com diferentes condições psicológicas;
Os efeitos combinados incluem:
- aumento da frequência e força de contração cardíacas;
- aumento da taxa metabólica;
- aumento da glicogenólise hepática e muscular;
- aumento da liberação de glicose e ácidos graxos livres no sangue;
- redistribuição do sangue aos músculos esqueléticos (vasodilatação dos vasos que suprem os músculos e vasoconstrição dos vasos da pele e vísceras);
- aumento da pressão arterial;
- aumento da frequência respiratória.
A diminuição dos níveis de catecolaminas com o treinamento justifica, em parte, a bradicardia.
Bioquímica
As catecolaminas são compostos orgânicos com um catecol (benzeno e dois grupos laterais hidroxilo) e uma cadeia lateral amina. São produzidas pelas células cromafins, a partir dos aminoácidos tirosina e fenilalanina, e libertadas para a corrente sanguínea em situações de stress físico ou psicológico ou de estimulação simpática.

A Fenilalanina pode ser convertida a Tirosina pela enzima fenilalanina hidroxilase. O primeiro passo da biossíntese das catecolaminas é também o seu passo limitante e consiste nas sua hidroxilação a L-Dopa pela enzima Tirosina Hidroxilase. Esta enzima precisa de cobre como co-fator e é inibida pela AMPT (α-metil-p-tirosina). O L-Dopa é o precursor comum de todas as catecolaminas. A primeira catecolamina a ser sintetizada a partir deste precursor é a Dopamina. De seguida, a Dopamina pode ser convertida, pela Dopamina β-hidroxilase, a noradrenalina e esta é, por fim, convertida a adrenalina. Estas duas últimas são as catecolaminas produzidas pela Suprarrenal.
Em circulação, as catecolaminas têm uma meia-vida biológica de poucos minutos. Podem ser degradadas por metilação, pela COMT (catecol-O-metiltransferase), ou por desaminação, pela MAO (monoamina oxidase).
Patologia
Geralmente, as patologias da medula da suprarrenal estão associadas a tumores, que podem ser estimuladores ou inibidores da produção de catecolaminas.
Uma das principais patologias desta zona da glândula é o feocromocitoma, tumores que estimulam, de forma descontrolada, a produção de catecolaminas, podendo ser benignos ou malignos.
