Luxação da anca
| Luxação da anca | |
|---|---|
| Sinónimos | Luxação do quadril |
![]() | |
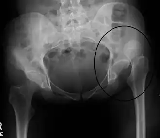
| Radiografia em que se observa deslocação da articulação na anca esquerda | |
| Especialidade | Ortopedia |
| Sintomas | Dor e dificuldade em mover a anca[1] |
| Complicações | Necrose avascular, artrite[1] |
| Tipos | Anterior, posterior[1] |
| Causas | Trauma[1] |
| Método de diagnóstico | Confirmado por radiografia[2] |
| Condições semelhantes | Fratura da anca, displasia de desenvolvimento da anca[3] |
| Prevenção | Cinto de segurança[1] |
| Tratamento | Redução da anca sob anestesia[1] |
| Prognóstico | Variável[4] |
| Frequência | Pouco comum[5] |
| Classificação e recursos externos | |
| CID-11 | NC73.0 |
| OMIM | 142700 |
| DiseasesDB | 3056 |
| eMedicine | 823471, 86930 |
| MeSH | D006617 |
Uma luxação da anca (português europeu) ou luxação do quadril (português brasileiro) é uma deslocação da articulação entre o fémur e a bacia.[1] De forma mais específica, é quando a extremidade esférica do fémur se desencaixa do acetábulo da bacia onde está normalmente encaixada.[1] Os sintomas geralmente consistem em dor e incapacidade em mover a anca.[1] Entre as possíveis complicações estão a necrose avascular da anca, lesões no nervo ciático ou artrite.[1]
As luxações são geralmente causadas por traumatismos significativos, como os que resultam de acidentes de viação ou quedas de elevada altura.[1] Em muitos casos ocorrem também outras lesões associadas.[2][6] As luxações da anca podem também ser o resultado de uma substituição da anca ou de uma anomalia do desenvolvimento denominada displasia de desenvolvimento da anca.[7] O diagnóstico é geralmente confirmado com radiografias simples.[2]
Entre as medidas de prevenção está a utilização do cinto de segurança.[1] O tratamento de emergência geralmente segue os procedimentos de suporte avançado de vida no trauma,[2] geralmente seguido de redução ortopédica da anca realizada sob anestesia.[1] Posteriormente à redução, recomenda-se a realização de uma TAC para excluir complicações.[8] Quando não é possível reduzir a articulação por outros meios pode ser necessária cirurgia.[2] Em muitos casos a recuperação demora meses.[1] [9]
As luxações da anca são pouco comuns.[5] A condição afeta mais homens do que mulheres.[3] A ocorrência de luxações traumáticas é mais comum entre os 16 e 40 anos de idade.[4] As primeiras descrições da condição na literatura médica datam do início do século XIX.[2]
Referências
- ↑ a b c d e f g h i j k l m n «Hip Dislocation». AAOS. Junho de 2014. Consultado em 7 de junho de 2018
- ↑ a b c d e f Beebe, MJ; Bauer, JM; Mir, HR (julho de 2016). «Treatment of Hip Dislocations and Associated Injuries: Current State of Care.». The Orthopedic Clinics of North America. 47 (3): 527–49. PMID 27241377. doi:10.1016/j.ocl.2016.02.002
- ↑ a b Blankenbaker, Donna G.; Davis, Kirkland W. (2016). Diagnostic Imaging: Musculoskeletal Trauma E-Book (em inglês). [S.l.]: Elsevier Health Sciences. p. 495. ISBN 9780323442954
- ↑ a b 1967-, Egol, Kenneth A. (2015). Handbook of fractures. Koval, Kenneth J., Zuckerman, Joseph D. (Joseph David), 1952-, Ovid Technologies, Inc. 5th ed. Philadelphia: Wolters Kluwer Health. p. Chapter 27. ISBN 9781451193626. OCLC 960851324
- ↑ a b «Hip Dislocation». www.orthobullets.com (em inglês). Consultado em 7 de junho de 2018
- ↑ Clegg, TE; Roberts, CS; Greene, JW; Prather, BA (abril de 2010). «Hip dislocations--epidemiology, treatment, and outcomes.». Injury. 41 (4): 329–34. PMID 19796765. doi:10.1016/j.injury.2009.08.007
- ↑ Callaghan, John J.; Rosenberg, Aaron G.; Rubash, Harry E. (2007). The Adult Hip (em inglês). [S.l.]: Lippincott Williams & Wilkins. p. 1032. ISBN 9780781750929
- ↑ «Hip Dislocations». Merck Manuals Professional Edition (em inglês). Agosto de 2017. Consultado em 7 de junho de 2018
- ↑ Clarke, Sonya; Santy-Tomlinson, Julie (2014). Orthopaedic and Trauma Nursing: An Evidence-based Approach to Musculoskeletal Care (em inglês). [S.l.]: John Wiley & Sons. p. 292. ISBN 9781118438848
Ligações externas
- Luxação da anca no Manual Merck
