Hipocampo

Hipocampo é uma estrutura localizada nos lobos temporais do cérebro humano, considerada a principal sede da memória e importante componente do sistema límbico. Além disso é relacionado com a navegação espacial.[1]
Seu nome deriva de seu formato curvado apresentado em secções coronais do cérebro, se assemelhando a um cavalo-marinho (Grego: hippos = cavalo, kampos = monstro marinho).[1]
Funções
Esta estrutura parece ser muito importante para converter a memória a curto prazo em memória a longo prazo. O hipocampo atua em interação com a amígdala e está mais envolvida no registro e decifração dos padrões perceptuais do que nas reações emocionais.[2]
Lesões no hipocampo impedem a pessoa de construir novas memórias e a pessoa tem a sensação de viver num lugar estranho onde tudo o que experimenta simplesmente se dissipa, mesmo que as memórias mais antigas anteriores à lesão permaneçam intactas.[2]
Imagens adicionais
-
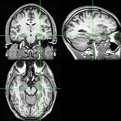
Diversos cortes de ressonância magnética com a localização do hipocampo (cruzamento das linhas verdes). -
Superficial dissection of brain-stem. Lateral view. -
Coronal section of brain immediately in front of pons. -
Posterior and inferior cornua of left lateral ventricle exposed from the side. -
Inferior and posterior cornua, viewed from above. -
The fornix and corpus callosum from below.
Referências
- ↑ a b «Hipocampo». Kenhub. Consultado em 21 de setembro de 2019
- ↑ a b Vanderah, Todd W.,; Nolte, John. Nolte's The human brain : an introduction to its functional anatomy Seventh edition ed. Philadelphia, PA: [s.n.] ISBN 9781455728596. OCLC 895731173