Fratura do escafoide

Fratura do escafoide
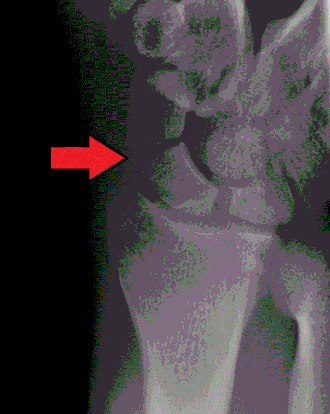
Raio-X de uma fratura do escafoide
Especialidademedicina de urgência
Classificação e recursos externos
CID-11NC53.0
CID-10S62.0
CID-9814.x1
eMedicineemerg/844 radio/747 plastic/318 pmr/127
A Wikipédia não é um consultório médico. Leia o aviso médico 

As fraturas do escafoide ocorrem na maioria das vezes em acidentes com a mão dorsifletida, como em quedas ao solo com a mão espalmada ou por golpes de objetos pesados nesta posição, como por exemplo em goleiros no futebol de salão. Quando as fraturas ocorrem em acidentes de baixa energia como nas quedas ao solo o indivíduo refere dor discreta no punho no dorso no lado radial (dor no dorso do escafoide ou na tabaqueira anatômica). Os paciente podem referir, ainda, dor à compressão longitudinal do polegar. A estes sintomas na fase inicial do atendimento é imputada sensibilidade de 100%.

No entanto, a dor tende a desaparecer espontaneamente em poucos dias, mesmo na presença de fraturas. Muitas vezes a fratura não é vista em radiografias iniciais, por isso há necessidade de uso de exames de tomografia computadorizada ou ressonância magnética (RMN) para sua detecção imediata ou a realização sistemática de radiografias com três e seis semanas para comprovar a ausência de fratura.

O escafoide é um osso muito solicitado mecanicamente, pois liga a primeira fileira de ossos do carpo a segunda fileira. Quando ocorre a sua fratura, instala-se instabilidade do carpo, com consequente desarranjo entre os ossos desta região. O seu fragmento proximal (junto ao rádio) desvia-se junto com o osso semilunar em direção ao lado dorsal da mão, enquanto que o seu fragmento distal (junto com os ossos trapézio e trapezóide) gira para o lado palmar da mão. O afastamento dos dois fragmentos do escafoide impede a sua consolidação podendo instalar-se uma condição denominada pseudartrose ("falsa articulação").

Complicações

A necrose avascular é uma complicação comum da fratura do escafoide. O risco de necrose avascular depende da localização da fratura.

  • Fraturas no 1/3 proximal possuem uma maior incidência de necrose avascular.
  • Fraturas no 1/3 médio possuem risco moderado.
  • Fraturas no 1/3 distal são raramente complicadas por necrose avascular.