Esquizencefalia

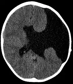
A esquizencefalia é uma rara malformação congênita que se caracteriza por fenda unilateral ou bilateral nos hemisférios cerebrais. Essa fenda normalmente se estende do córtex à região periventricular.
Pode pertencer ao tipo I, quando as duas corticais são justapostas (denominada esquizencefalia de lábios fechados) ou ao tipo II, quando a fenda é preenchida por líquido cefalorraquidiano (denominada esquizencefalia de lábios abertos).[1]
O quadro clínico varia de acordo com a localização e extensão das fendas[2], sendo as manifestações mais recorrentes: déficit motor (hemiparesia, tetraparesia ou hipertonia), crises convulsivas e retardo mental. Há relatos, no entanto, de pacientes que não apresentam alterações neurológicas.[1]
A causa mais aceita da doença está associada a uma falha segmentar na migração de neuroblastos primitivos ou então na formação de porção da matriz germinativa. No entanto, outras etiologias como a própria genética, infecções ultrainterinas ou mesmo danos de origem tóxica não podem ser inteiramente descartados.[3]
A tomografia computadorizada é capaz de detectar a anomalia, embora a ressonância magnética seja mais recomendada por proporcionar análise mais detalhada.[2]
Referências
- ↑ a b AMARAL, João Guilherme Pires do et al. Esquizencafalia: relato de onze casos. Arq. Neuro-Psiquiatr., São Paulo, v. 59, n. 2A, June 2001. Disponível em <http://www.scielo.br/scielo.php?script=sci_arttext&pid=S0004-282X2001000200019&lng=en&nrm=iso>. Acesso em 17 de Maio de 2014.
- ↑ a b RODRIGUES, Maria do Carmo de Souza et al. Aspectos clínicos em 16 pacientes com diagnóstico tomográfico de esquizencefalia. Radiol Bras, São Paulo, v. 39, n. 5, Oct. 2006. Disponível em <http://www.scielo.br/scielo.php?script=sci_arttext&pid=S0100-39842006000500005&lng=en&nrm=iso>. Acesso em 17 de Maio de 2014.
- ↑ Yakovlev PI, Wadsworth RC. Schizencephalies: a study of the congenital clefts in the cerebral mantle. I. Clefts with fused lips. J Neuropathol Exp Neurol 1946;5:116–130.