Endometrite
| Endometrite | |
|---|---|
| Sinónimos | Endometrite pós-parto |
![]() | |
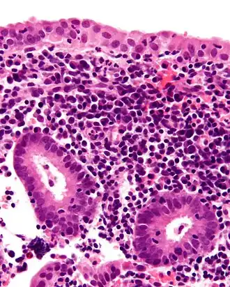
| Micrografia de endometrite crónica com plasmócitos característicos. Estão também presentes neutrófilos espalhados. Coloração H&E. | |
| Especialidade | Ginecologia, obstetrícia |
| Sintomas | Febre, dor abdominal inferior, hemorragia vaginal anormal, corrimento vaginal[1] |
| Tipos | Aguda, crónica[2] |
| Causas | Infeciosas[2] |
| Fatores de risco | Aborto, menstruação, parto, dispositivo intrauterino, duche vaginal[3][2] |
| Tratamento | Antibióticos[1] |
| Prognóstico | Bom com tratamento[4] |
| Frequência | 2% dos partos vaginais, 10% dos partos por cesariana[5] |
| Classificação e recursos externos | |
| CID-10 | N71 |
| CID-9 | 615.9 |
| DiseasesDB | 4283 |
| MedlinePlus | 001484 |
| eMedicine | med/676 ped/678 |
| MeSH | D004716 |
Endometrite é a inflamação do endométrio, o revestimento interior do útero.[6] Os sintomas mais comuns são febre, dor na parte inferior do abdómen, hemorragia vaginal ou corrimento vaginal.[1][4] É a causa mais comum de infeções pós-parto.[7][1] A doença faz parte das doenças do espectro de doença inflamatória pélvica.[8]
A endometrite é classificada nas formas aguda e crónica.[2] A forma aguda tem geralmente origem numa infeção que atravessa o colo do útero na sequência de um aborto ou de um parto, durante a menstruação ou como resultado de um duche vaginal ou colocação de um dispositivo intrauterino.[2][3] Entre os fatores de risco estão o parto por cesariana e a ruptura prematura das membranas.[1] A endometrite crónica é mais comum após a menopausa.[2] O diagnóstico pode ser confirmado com biópsia ao endométrio.[3] Em alguns casos pode ser usada ecografia para verificar que não há presença de tecidos retidos no útero.[4]
O tratamento geralmente consiste na administração de antibióticos.[1] As recomendações para o tratamento de endometrite pós-parto incluem a administração de clindamicina com gentamicina.[9] Está também recomendado o tratamento da gonorreia e clamídia em grupos de risco.[10] A doença crónica pode ser tratada com doxiciclina.[10] Com tratamento, o prognóstico é geralmente bom.[4]
A frequência de endometrite é de cerca de 2% nos partos vaginais e de 10% nos partos por cesariana agendada. Nos casos em que ocorre ruptura prematura das membranas e não são usados antibióticos de prevenção, a frequência é de cerca de 30%.[5] O termo "endomiometrite" pode ser usado na presença de inflamação tanto no endométrio como no miométrio.[11] A condição é também relativamente comum em outros mamíferos.[12]
Referências
- ↑ a b c d e f «Cover of Hacker & Moore's Essentials of Obstetrics and Gynecology». Hacker & Moore's essentials of obstetrics and gynecology 6 ed. [S.l.]: Elsevier Canada. 2015. pp. 276–290. ISBN 9781455775583
- ↑ a b c d e f Dallenbach-Hellweg, Gisela; Schmidt, Dietmar; Dallenbach, Friederike (2010). Atlas of Endometrial Histopathology (em inglês). [S.l.]: Springer Science & Business Media. p. 135. ISBN 9783642015410
- ↑ a b c Lobo, Rogerio A.; Gershenson, David M.; Lentz, Gretchen M.; Valea, Fidel A. (2016). Comprehensive Gynecology E-Book (em inglês). [S.l.]: Elsevier Health Sciences. p. 548. ISBN 9780323430036
- ↑ a b c d Ferri, Fred F. (2014). Ferri's Clinical Advisor 2015 E-Book: 5 Books in 1 (em inglês). [S.l.]: Elsevier Health Sciences. p. 423. ISBN 9780323084307
- ↑ a b Gabbe, Steven G. (2012). Obstetrics: Normal and Problem Pregnancies (em inglês). [S.l.]: Elsevier Health Sciences. p. 1146. ISBN 143771935X
- ↑ Crum, Christopher P.; Lee, Kenneth R.; Nucci, Marisa R. (2011). Diagnostic Gynecologic and Obstetric Pathology E-Book (em inglês). [S.l.]: Elsevier Health Sciences. p. 430. ISBN 145570895X
- ↑ Arora, Mala; Walavalkar, Rajalaxmi (2013). World Clinics: Obstetrics & Gynecology: Postpartum Hemorrhage (em inglês). [S.l.]: JP Medical Ltd. p. 237. ISBN 9789350904244
- ↑ «Sexually Transmitted Diseases & Pelvic Infections». Current diagnosis & treatment : obstetrics & gynecology 11 ed. [S.l.]: McGraw-Hill Education. 2012. p. Chapter 43. ISBN 978-0071638562
- ↑ Mackeen, AD; Packard, RE; Ota, E; Speer, L (2 de fevereiro de 2015). «Antibiotic regimens for postpartum endometritis.». The Cochrane Database of Systematic Reviews (2): CD001067. PMID 25922861. doi:10.1002/14651858.CD001067.pub3
- ↑ a b «8». Williams Gynecology 3 ed. [S.l.]: McGraw Hill Professional. 2016. ISBN 9780071849081
- ↑ Hubert Guedj; Baggish, Michael S.; Valle, Rafael Heliodoro (2007). Hysteroscopy: visual perspectives of uterine anatomy, physiology, and pathology. Hagerstwon, MD: Lippincott Williams & Wilkins. 488 páginas. ISBN 0-7817-5532-8
- ↑ Noakes, David E. (2009). Arthur's Veterinary Reproduction and Obstetrics E-Book (em inglês). [S.l.]: Elsevier Health Sciences. p. 411. ISBN 9780702039904
