Desmoplasia

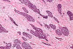
Em medicina, desmoplasia é o crescimento de tecido conjuntivo ou fibroso geralmente associado a neoplasias malignas. Pode ocorrer à volta de uma neoplasia, causando fibrose densa em volta do tumor,[1] ou tecido cicatricial no abdómen após cirurgia abdominal.[1]
A identificação da desmoplasia auxilia patologistas a determinar se um tumor é maligno. A desmoplasia é comum em casos de câncer e raramente é observada em tumores benignos (não cancerosos). Por isso, a presença de desmoplasia fornece fortes indícios de que o tumor examinado é um câncer invasivo, e não um câncer não invasivo em estágio inicial ou uma condição benigna.[2]
Referências
- ↑ a b «Definition of Desmoplasia». MedicineNet. 19 de março de 2012
- ↑ «Desmoplasia – MyPathologyReport». www.mypathologyreport.ca. Consultado em 4 de junho de 2025