Dermatofibrosarcoma protuberans
| Dermatofibrosarcoma protuberans | |
|---|---|
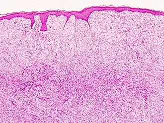
| Histopatologia de uma recorrência em H&E | |
| Especialidade | oncologia |
| Classificação e recursos externos | |
| CID-11 | XH9V92 |
| CID-10 | C49 (ILDS C49.M24) |
| CID-9 | 8832/3 |
| CID-CID-O | 8833/3, 8832/3 |
| OMIM | 607907 |
| DiseasesDB | 31601 |
| eMedicine | derm/97 |
| MeSH | D018223 |
Dermatofibrosarcoma protuberans ou é um câncer de pele não-melanoma raro e com baixo potencial maligno.
Causa
É causado por um defeito genético, geralmente uma translocação recíproca entre o cromossoma 17 e o cromossoma 22 ou excesso de anéis a nível de 17q22 e 22q12. Se origina de células mesenquimáticas e pode se diferenciar em fibroblastos, histiócitos ou neuroectoderme.[1]
Sinais e sintomas
Começa como um pequeno nódulo firme vermelho ou roxo de 1cm que cresce lentamente (por meses ou anos) até formar uma placa vermelha ou roxa, dura, cada vez mais extensa, geralmente no tronco (40 a 70%) ou nos ombros ou coxas (16 a 30%). Pode formar nódulos, ulcerar e sangrar conforme cresce. Apenas 3% fazem metástase.[2]
Epidemiologia
Afeta entre 1 e 5 a cada milhão de habitantes por ano, sendo mais comum entre os 20 e os 50 anos, sem preferência por sexo e, ao contrário de outros cânceres de pele, é quase duas vezes mais comum em negros.[3]
Tratamento
No primeiro caso pode-se tentar extrair cirurgicamente e radioterapia. Em recorrências (25 a 90%) se trata com Imatinib, um inibidor da tirosina quinase, em doses de 400 a 800mg diárias.[4]