Criptococose
| Cryptococcosis | |
|---|---|
![]() | |
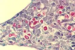
| Micrografia mostrando a cápsula grossa característica do cryptococcus. | |
| Especialidade | infecciologia |
| Classificação e recursos externos | |
| CID-11 | 1F27 |
| CID-10 | B45 |
| CID-9 | 117.5 |
| DiseasesDB | 3213 |
| MedlinePlus | 001328 |
| eMedicine | med/482 |
| MeSH | D003453 |
Criptococose é uma micose causada pelo fungo Cryptococcus neoformans ou pelo Cryptococcus gattii. É a única levedura encapsulada que causa doenças conhecidas atualmente, um fator importante para seu diagnóstico com microscópio.[1] Podem afetar pele, próstata, olhos, ossos, trato urinário e sangue.
Causas

A levedura encapsulada oportunista Cryptococcus neoformans causa pneumonia ou meningoencefalite em imunodeprimidos, enquanto o Cryptococcus gattii também afeta imunocompetentes. Em sua fase infecciosa se reproduzem de forma assexuada, mas possuem variedades teleomórficas (sexuadas) que correspondem ao Filobasidiella neoformans e F. bacillispora respectivamente.[2]
Epidemiologia
Existe em todo o mundo e causa um caso de meningite a cada um milhão de habitantes por ano. A infecção se dá pela inalação de esporos, frequentemente em detritos de pombos e o contagio não acontece de pessoa para pessoa. Quase 80% dos casos apareceram em pessoas com AIDS.[2]
Progressão, Sinais e Sintomas
- Pneumonia
Após inalação, as leveduras multiplicam-se no pulmão, onde não causam sintomas em 1/3 dos casos. Quando causam sintomas predominam[3]:
- Tosse com muco (54%);
- Febre (26%);
- Tosse com sangue (18%);
- Derrame pleural (menos de 10%);
- Suores noturnos, emagrecimento e fraqueza também podem estar presentes.
- Meningite
Mais tarde, se o indivíduo estiver debilitado, disseminam-se pelo sangue, especialmente para o cérebro. O sistema imunitário destrói os organismos sanguíneos, mas não detecta aqueles já presentes no líquido cefalorraquidiano (uma vez que é muito pobre em linfócitos). O resultado mais frequente é a multiplicação das leveduras nesse liquido rico em glicose gerando inflamação das membranas que envolvem o cérebro, ou seja, meningite. 5 [4]Os sintomas são os mesmos de todas as meningites, mas ao contrário da meningite bacteriana podem durar várias semanas:
- Dor de cabeça,
- Náuseas e vômitos;
- Rigidez da nuca;
- Fotofobia (sensibilidade exagerada à luz).
Em indivíduos imunodeficientes (como, por exemplo, SIDA/AIDS, pacientes em uso de corticosteroides ou aqueles com outra patologia crônica associada) a condição é mais grave e persistente e pode cursar com encefalite potencialmente mortal. Pode ainda causar lesões na pele e ossos.[5]
Diagnóstico
Amostras de liquido cefalorraquidiano são observadas ao microscópio, mas a cultura pode ser necessária para a identificação. A sorologia, com detecção de anticorpos específicos contra o fungo é usada também[6].
Tratamento
O tratamento vai depender do local da infecção e da disseminação. Geralmente é feita com o fármaco antifúngico anfotericina B (0,5-1,0 mg/kg/dia) e seus derivados lipídicos ou com a combinação de fluconazol (400 mg/dia) e 5-flucitosina (100 mg/kg/dia).
Referências
- ↑ «CRIPTOCOCOSE: DUAS DOENÇAS?» (PDF). Universidade Federal do Rio Grande do Sul. 1993. 1 páginas. Consultado em 5 de janeiro de 2012.
Criptococose é a infecção causada por Cryptococcus neoformans [...], que tudo indica é a única espécie patogênica do gênero Cryptococcus [...]. Nos tecidos do hospedeiro o fungo apresenta-se como levedura encapsulada, fato que o torna único entre os fungos patogênicos [...].
- ↑ a b [1]
- ↑ Consenso em criptococose – 2008 Revista da Sociedade Brasileira de Medicina Tropical 41(5):524-544, set-out, 2008
- ↑ Mora, Delio José; Fortunato, Laila Rigolin; Andrade-Silva, Leonardo Eurípedes; Ferreira-Paim, Kennio; Rocha, Ivonete Helena; Vasconcelos, Rakel Rocha; Silva-Teixeira, David Nascimento; Nascentes, Gabriel Antonio Nogueira; Silva-Vergara, Mario León (23 de março de 2015). «Cytokine Profiles at Admission Can Be Related to Outcome in AIDS Patients with Cryptococcal Meningitis». PLOS ONE. 10 (3): e0120297. ISSN 1932-6203. doi:10.1371/journal.pone.0120297
- ↑ Mora, Delio José; da Cunha Colombo, Eduardo Rodrigues; Ferreira-Paim, Kennio; Andrade-Silva, Leonardo Eurípedes; Nascentes, Gabriel Antonio Nogueira; Silva-Vergara, Mario León (1 de dezembro de 2011). «Clinical, Epidemiological and Outcome Features of Patients with Cryptococcosis in Uberaba, Minas Gerais, Brazil». Mycopathologia. 173 (5-6): 321–327. ISSN 0301-486X. doi:10.1007/s11046-011-9504-9
- ↑ Mora, Delio José; Pedrosa, André Luiz; Rodrigues, Virmondes; Leite Maffei, Claudia Maria; Trilles, Luciana; Santos Lazéra, MáRcia Dos; Silva-Vergara, Mario León (junho de 2010). «Genotype and mating type distribution within clinicalCryptococcus neoformansandCryptococcus gattiiisolates from patients with cryptococcal meningitis in Uberaba, Minas Gerais, Brazil». Medical Mycology. 48 (4): 561–569. ISSN 1369-3786. doi:10.3109/13693780903358317
