Corpo de Mallory

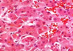
Histopatologia do fígado mostrando os corpos de Mallory característicos do abuso alcoólico.

Corpos de Mallory são inclusões patológicas encontradas no citoplasma das células do fígado.[1]

Condições associadas

Eles são mais comumente encontrados no fígado de pessoas que sofrem de hepatite alcoólica. Os corpos de Mallory também são vistos na esteatohepatite não-alcoólica (NASH).

Os corpos de Mallory também pode ser vistos na doença de Wilson, cirrose biliar primária, síndrome colestática crônica, hiperplasia nodular focal e carcinoma hepatocelular.

Referências