Coloração de Field

Coloração de Field é um método histológico para coloração de esfregaços de sangue. É utilizada para a coloração de esfregaços de sangue espesso, a fim de descobrir parasitas da malária.[1] A coloração de Field é uma versão da coloração de Romanowsky, usada para o processamento rápido dos espécimes.[2]
A coloração de Field usa azul de metileno e Azure 1 dissolvidos em solução tampão de fosfato e Eosina Y em solução tampão. A coloração de Field é nomeado devido ao médico John William Field, que a desenvolveu em 1941.[3]
Soluções corantes
A partir dos reagentes
Preparação das soluções 1 (ou A) e 2 (ou B) da coloração de Field a partir dos reagentes:[4]
Solução de Field 1 (ou A)
- Dissolver 1,6 g de azul de metileno em um litro de água destilada.
- Dissolver 2,6 g de Na2HPO4 (anidro) na solução do passo 1.
- Dissolver 1 g de azure 1 na solução do passo 2.
- Dissolver 2,6 g de KH2PO4 na solução do passo 3.
- Coloque a solução resultante sob aquecimento moderado (sem fervura) com agitação por 45 minutos a 1 hora,
- Deixe a solução descansar em temperatura ambiente por 24 horas.
- Filtre. Envase em frasco de vidro âmbar anotando a data de preparação.
Solução de Field 2 (ou B)
- Dissolver 2 g de eosina Y em um litro de água destilada.
- Dissolver 2,6 g de Na2HPO4 (anidro) na solução do passo 1.
- Dissolver 2,6 g de KH2PO4 na solução do passo 2.
- Filtre. Envase em frasco de vidro âmbar anotando a data de preparação.
A partir de misturas corantes prontas
Preparação da solução corante de Field 1 (ou A) e 2 (ou B) utilizando a mistura corante em pó comercialmente disponível.[5]
Solução de Field 1 (ou A)
- Pesa-se corante de Field 1 (ou A) em pó: 5 gramas
- Aquece-se 600 mL de água destilada a 80 ° C ou manteve-se a 60 ° C durante 30 minutos.
- Mistura-se o pó na água quente até se dissolver.
- Filtra-se a solução. Envase em frasco de vidro âmbar anotando a data de preparação.
Solução de Field 2 (ou B)
- Pesa-se corante de Field 2 (ou B) em pó: 4,8 gramas
- Aquece-se 600 mL de água destilada a 80 ° C ou manteve-se a 60 ° C durante 30 minutos.
- Mistura-se o pó na água quente até se dissolver.
- Filtra-se a solução. Envase em frasco de vidro âmbar anotando a data de preparação.
Solução A (ingredientes por litro de metanol)
- Fosfato dissódico 2,6 g
- Fosfato monopotássico 2,6 g
- Azul de metileno 1,6 g
- Azure I (Azure B) 1,6 g
Solução B (ingredientes por litro de metanol)
- Eosin Y 2,0 g
Protocolos de coloração
Protocolo de coloração para esfregaços sanguíneos [9]
- Preencher duas cubas de coloração ou outro frasco de boca larga adequado com, respectivamente:
- 1.1.Solução de Field A (corante azul).
- 1.2.Solução de Field B (corante vermelho).
- Faça o esfregaço sanguíneo sobre uma lâmina para microscopia e seque ao ar.
- Fixe em metanol por um minuto ou com a aplicação de algum fixador em spray.
- Seque ao ar.
- Mergulhe o esfregaço na solução corante de Field B (corante vermelho) por 5 a 6 segundos (este tempo, com a prática, pode ser ajustado).
- Lavar em água de torneira corrente.
- Mergulhe o esfregaço na solução corante de Field A (corante azul) por 10 a 30 segundos (este tempo, com a prática, pode ser ajustado).
- Lavar novamente em água de torneira corrente.
- Secar ao ar e o esfregaço está pronto para o exame ao microscópio.
Variação com coloração direta sobre a lâmina [10]
- Fixe o esfregaço em metanol anidro por um minuto. Deixe secar por evaporação.
- Dilua a solução corante de Field B na proporção de 1:5 com água tamponada com pH levemente alcalino.
- Cubra o esfregaço com a solução corante Field B diluída.
- Imediatamente, adicione um volume igual de solução de Field A.
- Misture por meio de inclinações alternadas da lâmina e deixe corar por um minuto.
- Lave a solução corante com água com cuidado.
- Limpe a superfície inferior da lâmina e deixe secar ao ar a preparação.
Protocolo para protozoários em esfregaços fecais [11]
Prepare uma diluição em pequena quantidade da solução corante B (vermelho) diluída a uma parte para 4 com água (por exemplo, 1 mL de corante para 4 mL de água).
- Prepare um esfregaço fecal fino na lâmina e seque ao ar.
- Fixe em metanol por alguns minutos.
- Remova o metanol e cubra o esfregaço com 1 mL (aproximadamente 20 gotas) da solução corante B diluída recentemente preparada.
- Imediatamente, adicione 1 mL (novamente, aproximadamente 20 gotas) da solução corante A e deixe misturar cuidadosamente os dois corantes.
- Permita que a coloração ocorra por um período de tempo de 1 a 2 minutos e lave cuidadosamente com água e seque ao ar.
Núcleos e flagelos são coloridos de vermelho, citoplasma em azul. Alterações morfológicas de células inflamatórias podem ser também examinadas por aplicação deste mesmo método.
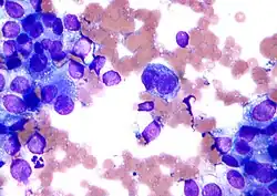
Imagens adicionais
-
Adenocarcinoma colorretal. Coloração de Field. -
Granuloma. Coloração de Field.
Referências
- ↑ Philip Bejon, Laura Andrews, Angela Hunt-Cooke, Frances Sanderson, Sarah C Gilbert and Adrian VS Hill; Thick blood film examination for Plasmodium falciparum malaria has reduced sensitivity and underestimates parasite density; Malar J. 2006; 5: 104. doi: 10.1186/1475-2875-5-104 - PMCID: PMC1636647
- ↑ Chunge, CN.; Ngige, S.; Bwibo, CR.; Mulega, PC.; Kilonzo, JF.; Kibati, F.; Owate, J. (agosto de 1989). «A rapid staining technique for Leishmania parasites in splenic aspirate smears.». Ann Trop Med Parasitol. 83 (4): 361–4. PMID 2481429
- ↑ «Obituaries» (PDF). Medical Journal of Malaysia. Junho de 1981. Consultado em 4 de maio de 2015
- ↑ Field's Stain Recipe - www.thelabrat.com
- ↑ Field’s stain A & Field’s stain B - www.applichem.com
- ↑ Pirehma, M., et al. 1999. Field's stain - a rapid staining method for Acanthamoeba spp. Parasitol. Res.; 85:791-793.
- ↑ Afzan, M.Y., et al. 2010. Modified Field's staining - a rapid stain for Trichomonas vaginalis. Diagn. Microbiol. Infect. Dis.; 68:159-162.
- ↑ MODIFIED FIELD'S STAIN KIT - catalog.hardydiagnostics.com
- ↑ Field Stain A and B and Preparation of the Solution - www.labpedia.net
- ↑ Ochei et al; Medical Laboratory Science: Theory And Practice; Tata McGraw-Hill Education, 2000. pg 963
- ↑ Gordon Charles Cook,Alimuddin Zumla; Manson's Tropical Diseases; Elsevier Health Sciences, 2009. - pg 1604
Ligações externas
- Field stain receipe - thelabrat.com; (uma formulação da coloração de Field)